Xóa đốm trắng trên răng bằng Icon DMG: Nha khoa SV quận 3 là một trong những phương pháp hiện đại và hiệu quả nhất hiện nay để giải quyết tình trạng đốm trắng trên răng. Tình trạng này không chỉ ảnh hưởng đến vẻ ngoài của bạn mà còn có thể gây ra nhiều vấn đề về tâm lý. Hãy cùng Nha khoa SV quận 3 tìm hiểu về công nghệ này nhé.
Đốm trắng trên răng là gì?
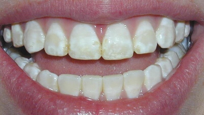
Bạn có nhận thấy những đốm trắng trên răng của mình hoặc trẻ em, dù đã vệ sinh kỹ và cạo vôi răng nhưng vẫn không hết? Đây là tình trạng phổ biến có thể xảy ra ở cả trẻ em và người lớn. Nhiều nguyên nhân gây ra đốm trắng trên răng thường gặp như:
- Sâu răng giai đoạn sớm: Tổn thương màu trắng đục, sần sùi hoặc thấy mờ hơn men răng xung quanh
- Kém khoáng hóa men răng do chấn thương hoặc bệnh lý: Thường thấy đốm trắng, đốm vàng, nâu ở răng cửa và/ hoặc răng hàm.
- Răng bị nhiễm Fluor: Thường thấy xuất hiện ở một nhóm răng, đối xứng; có thể ở dạng sọc hoặc biến dạng lớn mất hoàn toàn phần bên ngoài men răng.
.jpg)
Hình ảnh giới thiệu về tình trạng đốm trắng trên răng
Tác động của đốm trắng đến sức khỏe tâm lý
Những đốm trắng trên răng không chỉ ảnh hưởng đến vẻ bề ngoài mà còn có thể tác động đến tâm lý của người mắc phải. Nhiều người cảm thấy xấu hổ và tự ti về nụ cười của họ, từ đó dẫn đến sự thiếu tự tin trong giao tiếp hàng ngày.
Điều này có thể làm giảm cơ hội nghề nghiệp và ảnh hưởng tiêu cực đến các mối quan hệ xã hội. Vì vậy, việc điều trị sớm là vô cùng cần thiết.
Icon DMG: Giải pháp điều trị đốm trắng răng hiệu quả
Phương pháp Icon DMG không chỉ đơn thuần là một giải pháp xóa đốm trắng, mà còn là một phần của chăm sóc sức khỏe răng miệng tổng thể.
Giới thiệu về Icon Vestibular
Icon là giải pháp tẩy đốm trắng được sử dụng hiệu quả cho nhiều trường hợp: Đốm trắng xuất hiện khi chỉnh nha, đốm trắng do nhiễm fluorosis, đốm trắng do chấn thương, đốm trắng do kém khoáng hoá răng cối lớn – răng cửa (MIH)
- Xuất xứ: DMG - Đức
- Quy cách: Hộp bao gồm
- 1 tuýp 0.45ml Icon-Etch
- 1 tuýp 0.45 ml Icon-Dry
- 1 tuýp 0.45 ml Icon-Infiltrant
- 6 đầu tip
- Chỉ định: Chất tẩy trắng tại phòng nha
![]()
Hình ảnh vật liệu xóa đốm trắng ICon Vestibular
Tại sao nên chọn ICON DMG?
Icon điều trị dựa trên nguyên lý thẩm thấu rất đơn giản. Sau khi etching bằng Icon-Etch, chất thẩm thấu là nhựa resin không hạt độn, có tính chảy lỏng cao, được bôi vào vùng răng bị đốm trắng. Nguyên lý mao dẫn đưa chất này thẩm thấu sâu vào trong men xốp, giúp khóa chặt các tổn thương sâu răng chưa tạo hốc.
Một tác dụng ưu việt nữa của nhựa resin này là màu trắng đục của các tổn thương biến mất trong và sau khi thẩm thấu nhờ vào tính khúc xạ ánh sáng. Khúc xạ ánh sáng trên nhựa resin lúc này trở nên giống với trên men khỏe mạnh.
Bằng cách này, các tổn thương có thể được ngụy trang và dễ dàng cải thiện thẩm mỹ mà không phải xâm lấn với mũi khoan. Và mô răng được bảo tồn tối đa.

.Sự khúc xạ ánh sáng của phần men khỏe mạnh và sang thương có màu trắng đục là khác nhau. (Hình 1 & 2)
.Nhựa thẩm thấu len lỏi và phủ quanh các mô xốp của sang thương, làm khúc xạ của sang thương trở nên giống của men khỏe mạnh, và màu sắc nhìn thấy là như nhau. (Hình 3)
Cơ chế hoạt động
- Icon-Etch: Icon-Etch sửa soạn răng cho quá trình thẩm thấu. Gel HCL 15% được sử dụng để xói mòn & loại bỏ bề mặt cứng bên trên. Chỉ khi lớp này bị loại bỏ, chất thẩm thấu mới xâm nhập vào lớp men xốp bên dưới.
- Icon-Dry: Một môi trường khô ráo (được xử lý bởi Icon-Dry và thổi hơi) là cần thiết để đánh giá trực quan tình trạng đốm trắng sau khi etching cũng như để quá trình thẩm thấu tiếp theo có thể thực hiện được.
- Icon-Infiltrant: Nhựa xâm nhập có độ nhớt thấp được sử dụng để thẩm thấu đi sâu vào men răng thông qua hoạt động của mao mạch, sau đó được chiếu đèn trùng hợp. Tổn thương sau khi được thẩm thấu có tính chất cơ học và biểu hiện màu sắc như men răng khỏe mạnh.
![]()
Hình ảnh trước và sau khi xóa đốm trắng trên răng bằng ICON
Sự an toàn của ICON-DMG
Một trong những ưu điểm lớn nhất của ICON DMG là tính an toàn của nó. Không giống như các phương pháp truyền thống yêu cầu phải mài hoặc khoan răng, ICON chỉ áp dụng một lớp nhựa mỏng lên bề mặt răng mà không gây ảnh hưởng đến cấu trúc bên trong của răng.
Phương pháp này thích hợp cho nhiều đối tượng, kể cả trẻ em và người lớn tuổi. Bệnh nhân có thể hoàn toàn yên tâm về mức độ đau đớn cũng như thời gian phục hồi.
>>Xem thêm: Niềng răng là gì? Địa chỉ niềng răng uy tín tại quận 3- Nha khoa SV
Nha khoa SV quận 3: Xóa đốm trắng răng bằng ICON- DMG
Quy trình điều trị bằng ICON tại Nha khoa SV quận 3
Tẩy trắng răng
Các trường hợp trên răng có đốm nâu, sọc nâu, vàng… cần được điều trị tẩy trắng răng trước khi can thiệp với ICON để bảo tồn tối đa mô răng dù đã nhiễm màu mà vẫn đạt được hiệu quả tối ưu.
Cách ly vùng răng điều trị với đê cao su
Đảm bảo an toàn cho nướu và bộc lộ hoàn toàn thân răng để có thể can thiệp điều trị dễ dàng.

Cách ly vùng răng điều trị với đê cao su
Vệ sinh răng miệng
Làm sạch bề mặt răng, sử dụng hệ thống thổi cát chuyên biệt chuẩn bị cho quá trình thẩm thấu nhựa.
Sử dụng vật liệu ICON
Thực hiện từng bước theo quy trình sử dụng nhựa xâm nhập ICON đến khi đốm trắng trên răng biến mất.


Sử dụng vật liệu ICON để xóa đốm trắng răng
Chiếu đèn quang trùng hợp
Quy trình trùng hợp đúng và đủ thời gian để đảm bảo nhựa xâm nhập ICON được trùng hợp hoàn toàn, hạn chế bị nhiễm màu sau điều trị.
Đánh bóng
Hoàn thiện bề mặt răng, mang lại vẻ bóng mượt tự nhiên và đảm bảo hiệu quả điều trị lâu dài.

Hình ảnh răng của khách hàng sau khi xóa đốm trằng bằng ICON- DMG
Lợi ích của việc sử dụng ICON-DMG tại Nha khoa SV quận 3
- Không đau: Đây là một trong những ưu điểm lớn nhất của phương pháp ICON. Không cần phải khoan hay gây tê, bệnh nhân sẽ cảm thấy thoải mái hơn trong suốt quá trình điều trị.
- Thẩm mỹ cao: Sau khi điều trị, màu sắc của răng được cải thiện rõ rệt, giúp hàm răng trở nên đều màu và tự nhiên hơn.
- Bảo tồn mô răng thật: Phương pháp này giúp bảo toàn tối đa mô răng thật, tránh việc phải lấy đi phần răng khỏe mạnh như ở những phương pháp truyền thống.
- Thời gian điều trị nhanh chóng: Thông thường, mỗi lần điều trị chỉ kéo dài từ 30 phút đến 1 giờ, giúp khách hàng tiết kiệm thời gian.
- Kết quả lâu dài: Nếu được chăm sóc đúng cách, kết quả từ phương pháp ICON có thể duy trì trong thời gian dài, giúp bạn duy trì nụ cười tự tin.
Chăm sóc răng miệng sau điều trị
Khi hoàn thành liệu trình điều trị với Icon DMG, việc chăm sóc răng miệng đúng cách là rất quan trọng để giữ gìn kết quả đạt được. Bạn nên:
Đánh răng ít nhất hai lần một ngày bằng kem đánh răng chứa fluoride.
Sử dụng chỉ nha khoa để làm sạch giữa các kẽ răng.
Tránh ăn uống quá nhiều đồ ngọt và acid để bảo vệ men răng.
>>Xem thêm: Dịch vụ điều trị tủy răng - Nha khoa SV quận 3
Tại sao nên điều trị dịch vụ ICON DMG tại Nha khoa SV quận 3
Điều trị dịch vụ ICON DMG tại Nha khoa SV quận 3 mang lại nhiều lợi ích cho bệnh nhân. Dưới đây là một số lý do tại sao bạn nên chọn dịch vụ này:
- Công nghệ hiện đại: Dịch vụ ICON sử dụng công nghệ tiên tiến giúp điều trị các vấn đề về răng miệng như sâu răng và vết nứt mà không cần phải khoan hay tiêm thuốc tê, giảm thiểu đau đớn cho bệnh nhân.
- Đội ngũ bác sĩ chuyên môn: Tại Nha khoa SV quận 3, bạn sẽ được chăm sóc bởi đội ngũ bác sĩ có tay nghề cao, giàu kinh nghiệm trong lĩnh vực nha khoa thẩm mỹ và điều trị bằng công nghệ ICON.
- Giá cả hợp lý: Dịch vụ tại Nha khoa SV quận 3 được cung cấp với mức giá hợp lý, phù hợp với nhiều đối tượng khách hàng, cùng với chính sách hỗ trợ tài chính linh hoạt.
- Dịch vụ chăm sóc khách hàng tận tình: Nha khoa SV quận 3 cam kết mang đến dịch vụ chăm sóc khách hàng chu đáo, sẵn sàng lắng nghe và giải đáp mọi thắc mắc của bạn.

Xóa đốm trắng răng bằng Icon DMG tại Nha khoa SV quận 3 là một lựa chọn tuyệt vời
Tóm lại, nếu bạn đang tìm kiếm một phương pháp điều trị hiệu quả, an toàn và ít xâm lấn cho các vấn đề về răng miệng thì phương pháp Icon DMG tại Nha khoa SV quận 3 là lựa chọn tuyệt vời mà bạn không nên bỏ qua.
Kết luận
Xóa đốm trắng trên răng bằng Icon DMG: Nha khoa SV quận 3 đã chứng tỏ được hiệu quả và tính an toàn của mình trong việc điều trị đốm trắng trên răng. Hiểu rõ về đốm trắng trên răng là gì và lợi ích của việc điều trị sẽ giúp bạn có những lựa chọn sáng suốt trong việc chăm sóc sức khỏe răng miệng. Nếu bạn đang tìm kiếm một giải pháp an toàn và hiệu quả, Icon DMG chắc chắn là một phương pháp đáng để thử nghiệm. Hãy đến Nha khoa SV quận 3 để được tư vấn và trải nghiệm dịch vụ chất lượng cao.
>>Xem thêm: Người lớn tuổi có nên trồng răng implant không? Nha khoa SV quận 3
>>Xem thêm: Tẩy trắng răng có hại cho men răng không? Nha khoa SV quận 3
>>Xem thêm: Tại sao nên cạo vôi răng? Địa chỉ cạo vôi răng tại quận 3, TP HCM
Nha khoa SV Quận 3
Địa chỉ: 99 Cao Thắng, Phường 03, Quận 3, TP. Hồ Chí Minh
Hotline: 0933381675 - 02389292525
Email: nhakhoasv@gmail.com
Giờ làm việc:
Thứ 2-Thứ 6: 8h00 – 20h00
Thứ 7: 8h00 – 18h00
Chủ Nhật: 8h00 – 12h00

.png)