Chỉnh nha hay còn gọi là niềng răng (cách gọi dân gian) là một trong những phương pháp phổ biến dùng để điều chỉnh và khắc phục những khuyết điểm của các răng mọc không đều trên cung hàm như: hàm trên nhô ra ngoài nhiều hơn hàm dưới (hô) hoặc hàm dưới đưa ra ngoài nhiều hơn hàm trêm (móm), răng mọc sai vị trí và kích thước răng không phù hợp với xương hàm. Những điều này khiến bạn rất khó khăn trong việc giữ vệ sinh răng miệng, ảnh hưởng thẩm mỹ và chức năng nhai. Thông thường sẽ từ 1 năm rưỡi đến 2 năm, phụ thuộc vào khoảng cách và vị trí các răng của bạn, vấn đề tuổi tác, tính chất công việc. Một số trường hợp khó, việc chỉnh nha có thể tốn nhiều thời gian hơn, khoảng 2 năm rưỡi hoặc 3 năm
Niềng răng thẩm mỹ là gì?
Niềng răng thẩm mỹ hay còn gọi là chỉnh nha thẩm mỹ. Đây là kỹ thuật điều chỉnh răng hô, móm, răng mọc lệch lạc… về đúng vị trí khớp cắn chuẩn. Bằng cách sử dụng những khí cụ nha khoa như: mắc cài, dây cung, thun cao su, minivis, khay niềng răng... Niềng răng thẩm mỹ là phương pháp khắc phục các khiếm khuyết trên răng phổ biến và hiệu quả nhất hiện nay. Những khiếm khuyết trên răng, những lệch lạc khiến cho nụ cười kém thẩm mỹ sẽ được khắc phục một cách tối ưu nhất thông qua các phương pháp niềng răng thẩm mỹ.

Đối tượng nào không nên niềng răng?
Đối tượng chính của niềng răng là những trường hợp răng mọc sai vị trí về phương, chiều và sai lệch so với cung hàm với mục đích để điều chỉnh chức năng và thẩm mỹ của bộ răng thông thường như là:
Người bị sai lệch hoặc có nguy cơ sai lệch khớp cắn của bộ răng.
Người sai khớp cắn hoặc xương hàm do tai biến hoặc mắc bệnh lý
Răng hô, móm, vẩu: trường hợp răng hàm trên bị chìa ra gây mất thẩm mỹ cho khuôn mặt hoặc răng hàm dưới nhô ra và lệch so với răng hàm trên.
Răng mọc lộn xộn, khấp khểnh.
Sai lệch khớp cắn: phổ biến là khớp cắn ngập, khớp cắn ngược, khớp cắn chéo.
Răng thưa, khoảng cách giữa các răng lớn hay xa cách nhau.
Chỉnh hình các răng khểnh mọc lệch khỏi răng hàm.
Phương pháp niềng răng đòi hỏi nha sĩ phải có kiến thức về sự phát triển và tăng trưởng của hệ thống sọ mặt, các kiểu sai lệch về hình thái của răng và xương hàm cũng như hiểu biết được tác động cơ học của từng loại khí cụ mới có thể vận dụng linh hoạt phương pháp niềng răng để đem lại kết quả tối ưu nhất.
Trường hợp nào không được niềng răng?

Để đảm bảo có kết quả chỉnh nha tốt nhất và hạn chế những hậu quả không đáng có bạn phải nhớ kỹ các trường hợp tuyệt đối không niềng răng nếu không có chỉ dẫn của nha sĩ.
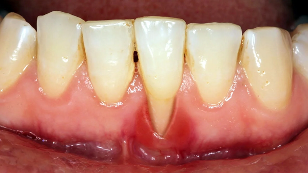
Mắc bệnh viêm nha chu quá nặng

Viêm nha chu là bệnh lý khá phổ biến xảy ra ở các tổ chức xung quanh răng, nguyên nhân xuất phát từ viêm nướu mãn tính, thời gian lâu dần sẽ phát triển và phá hủy các mô nâng đỡ của răng. Khi tổ chức này bị viêm nhiễm, gây ra tình trạng tụt nướu và tiêu xương ổ răng, làm răng yếu đi. Khi nướu bị tụt xuống đồng nghĩa rằng chân răng không thể còn sự vững chắc nữa. Hoặc khi phần xương răng bị tiêu, răng bị yếu đi và phần lợi không còn nơi để bám víu nữa, thì việc niềng răng sẽ không thể thực hiện được nữa vì niềng răng mắc cài là 1 kỹ thuật nắn chỉnh răng bằng sự kết hợp lực của mắc cài, dây cung trong 1 thời gian dài.
`Trước khi tiến hành niềng răng, nha sĩ sẽ tiến hành thăm khám để đảm bảo răng của bạn khỏe mạnh, ổn định. Nếu bạn đang mắc các bệnh lý về răng miệng, bác sĩ sẽ khuyên bạn điều trị để đạt được hiệu quả niềng răng tốt nhất.
Trồng răng giả và răng bọc sứ
Với niềng răng mắc cài là ta sẽ phải khí cụ lên trên bề mặt răng để tạo lực làm răng di chuyển.Tuy nhiên do không phải lúc nào phần cùi răng thật và răng sứ cũng đồng bộ với nhau nên nếu phần bọc sứ không được gắn chặt vào cùi răng thật bên trong thì khi có lực kéo của niềng răng, răng sứ sẽ rất dễ bị tuột ra, gây ê buốt, khó chịu cho người bệnh. Mặt khác, răng sứ, răng giả đã được tạo 1 độ bóng nhất định ở mặt ngoài nên không có độ bám dính tốt như răng thật. không thể thực hiện được gắn keo để cố định mắc cài trên răng. Tuy nhiên, trong một vài trường hợp, nha sĩ vẫn sẽ chỉ định cho bạn niềng răng. Điều này tùy thuộc rất nhiều vào tình trạng răng của bạn.
Người có xương hàm quá yếu và tiêu xương

Đây là trường hợp đặc biệt mang tính cá nhân, do cơ địa có cấu trúc và nền tảng xương hàm quá yếu. Không đủ điều kiện đảm bảo trong quá trình niềng răng được an toàn cũng như hiệu quả. Vì nền răng và xương yếu, thể tích không đảm bảo sẽ không thể đáp ứng được yêu cầu di chuyển theo lực của mắc cài.
Chính vì thế có những trường hợp niềng sau khi kết thúc quá trình điều trị và đeo niềng răng vẫn có thể lệch lạc trở lại ban đầu do quá trình ăn nhai. Ngoài ra, khi niềng răng sẽ khiến bệnh nhân bị ê buốt, đau đớn
Mắc bệnh lý toàn thân

Những người mắc 1 số bệnh lý toàn thân như động kinh, tâm thần, tim mạch nặng, bệnh tiểu đường, căn bệnh ác tính như ung thư máu… thì nha sĩ khuyên bạn không nên niềng răng.
Vì khả năng chống lây nhiễm của những người này rất kém, việc xử lý vấn đề ở răng có thể tạo ra vết thương khó liền, rất dễ gây nhiễm trùng nặng.Ngoài ra, do sự căng thẳng, đau đớn trong quá trình thực hiện, điều trị có thể gây ra chứng khó thở, tim đập nhanh, suy tim.. hay khiến người bệnh tái phát cơn động kinh bất cứ lúc nào.
Đã thực hiện cấy ghép Implant

Với phương pháp cấy ghép implant, một trụ răng titanum sẽ được cấy ghép vào xương hàm. Vì vậy, khi tiến hành niềng răng có khả năng làm lung lay chân giả này do lực kéo tạo ra từ khí cụ chỉnh nha, mặt khác, độ chắc chắn của trụ răng Implant có thể khiến quá trình chỉnh nha thất bại. Vì vậy, nếu có răng cấy ghép implant mà muốn niềng răng, bạn nên thăm khám tại các trung tâm nha khoa uy tín. Nếu bác sĩ xác định cấu trúc hàm răng của bạn có thể niềng răng được thì bạn mới tiến hành niềng răng.
Quy trình niềng răng chuẩn quốc tế tại SV và những điều cần lưu ý

Tại SV Dental, một quy trình niềng răng chuẩn sẽ cần trải qua 9 bước cơ bản sau đây:
Bước 1: Thăm khám và nhận tư vấn từ bác sĩ
Trong lần gặp đầu tiên của bác sĩ và bệnh nhân, bạn sẽ được bác sĩ chỉ định chụp X – quang khoang miệng, khám tổng quát răng miệng. Sau đó, dựa vào những kết quả trên, bác sĩ sẽ tiến hành phân tích nguyên nhân và tư vấn phác đồ điều trị phù hợp.
Bước 2: Lấy dấu hàm để làm mẫu răng
Đối với Niềng răng mắc cài bằng máng hoặc quét kỹ thuật số Cad/cam, riêng đối với lấy dấu dành cho niềng răng trong suốt là dấy dấu bằng quét trên máy iTero.
Bước 3: Lên phác đồ điều trị
Sau khi lấy dấu, các bác sỹ sẽ đưa ra được lộ trình chi tiết khi điều trị để chia sẻ với bệnh nhân. Theo từng tháng, từng quý để soạn hợp đồng gửi khách hàng.
Bước 4: Chọn loại mắc cài
Bác sỹ sẽ tư vấn loại mắc cài phù hợp với tình trạng răng và tình hình tài chính của bạn. Bạn có thể chọn hình thức thanh toán trả ngay hoặc trả góp.
Bước 5: Làm sạch răng miệng của bạn
Khi bắt đầu chỉnh nha, trước đó bệnh nhân cần làm sạch răng miệng bằng cách lấy cao và loại bỏ đi các mảng bám. Với những ai có răng sâu, răng sứt mẻ sẽ cần xử lý kỹ càng để tạo điều kiện thuận lợi cho quá trình niềng răng.Bước 6: Tạo khoảng trống cho răng:Để tạo khoảng trống, các bác sỹ sẽ áp dụng bao gồm các phương pháp như: Nong hàm, nhổ răng, mài kẽ răng,… Tuỳ vào tình trạng khách hàng.
Bước 7: Lắp mắc cài, đi dây cung
Đây chính là bước bạn bắt đầu vào thời kỳ niềng răng, lắp đặt mắc cài, dây cung và chỉnh lại chính xác trong khoang miệng. Giai đoạn này, bệnh nhân sẽ mất khoảng vài ngày để làm quen.
Bước 8: Tái khám và theo dõi
Người bệnh cần cố gắng tuân thủ đúng và tái khám theo lịch hẹn của bác sĩ để thường xuyên được kiểm tra xem răng đã dịch chuyển như thế nào. Đồng thời, những lần tái khám này cũng sẽ thực hiện những điều chỉnh như siết dây cung, thay chun để đi đúng phác đồ điều trị.
Bước 9: Kết thúc quá trình chỉnh nha
Khi hàm răng đã đều đẹp, đạt đúng mong muốn của bệnh nhân và chuẩn theo phác đồ ban đầu, ta sẽ tiến hành tháo niềng. Sau đó, người bệnh cần đeo hàm duy trì thêm một thời gian nữa nhằm giữ được kết quả điều trị, ngăn chặn răng di chuyển về vị trí cũ.
Ba giai đoạn thay đổi rõ rệt khi niềng cần có:
Trước khi niềng: răng lệch, khấp khểnh, hô móm.
Trong khi niềng: Răng sẽ trải qua giai đoạn làm dàn đều, kéo ra những khoảng khấp khểnh, mọc lệch, hô răng, răng móm. Sau đó là quá trình siết răng để kéo chúng lại gần nhau hơn.
Sau khi niềng: Bạn sẽ sở hữu một hàm răng đẹp đều, đây là kết quả xứng đáng cho một quá trình dài rắc rối và mệt mỏi.
Năm giai đoạn niềng răng cơ bản:
+ Giai đoạn làm thẳng hàm răng: Đây là giai đoạn niềng răng đầu tiên khi bác sĩ đã gắn mắc cài cũng như dây cung lên răng của bệnh nhân. Từ đó dây cung dần dần tạo ra lực kéo giúp cho răng di chuyển, đưa những chiếc răng mọc lệch, chen chúc, khấp khểnh,… trải ra thành hàng thẳng. Thông thường giai đoạn này vào khoảng 2 – 6 tháng. Bệnh nhận sẽ cảm thấy đau nhức nhẹ khi dây cung bắt đầu hoạt động, nhưng cũng chỉ đau trong khoảng 3 ngày đầu.
+ Giai đoạn chỉnh chân răng: Sau khi hàm răng đã được dàn thẳng ra thì các bác sĩ sẽ chuyển qua chỉnh chân răng cho bệnh nhân. Lúc này, những tác động của dây cung sẽ từ từ đưa chân răng về vị trí vốn có của nó, làm chuẩn những trục răng. Bệnh nhân sẽ cần 2 – 4 tháng cho toàn giai đoạn này.
+ Giai đoạn đóng khoảng: Khi đã hoàn thành xong 2 giai đoạn trên mà không có trở ngại nào, chúng ta tiếp tục tiến đến giai đoạn đóng khoảng trong niềng răng – Bước quan trọng nhất trong cả quá trình chỉnh nha. Ở thời điểm này, dây Stainless sẽ thay thế cho các dây cung thông thường nhằm tăng độ cứng. Bên cạnh đó, bác sĩ cũng dùng thêm chun đóng khoảng với lò xo để móc răng hàm và răng cửa với nhau. Mục đích là để kéo răng di chuyển theo phác đồ đề ra. Đây được coi là giai đoạn niềng răng có những thay đổi rõ nhất: Răng hô sẽ được kéo lùi về đằng sau, hàm răng định hình đều đặn hơn. Trung bình, bệnh nhân sẽ mất khoảng 4 – 8 tháng cho bước này.
+ Giai đoạn đóng khớp theo chiều đứng: Chức năng ăn nhai của bạn sau niềng răng như thế nào sẽ phụ thuộc vào bước đóng khớp này. Bác sĩ sẽ thực hiện các bước gắn chun hàm trên với hàm dưới theo ở chiều thẳng đứng để chúng được tiếp xúc với nhau. Chỉ mất khoảng 2 – 8 tuần để nhìn thấy kết quả về việc răng hở hoặc không kín khớp cắn, ảnh hưởng đến quá trình ăn nhai.
+ Giai đoạn duy trì: Chỉnh nha là một quá trình dài và gian nan. Vì vậy, để duy trì kết quả này, sau khi niềng xong, bệnh nhân cần đeo hàm duy trì một thời gian.Đây không phải là một vấn đề khó khăn, bạn đừng ngại nhé! Nếu như bạn là người bận rộn, thường xuyên phải giao tiếp, cần niềng răng mà vẫn đảm bảo tính thẩm mỹ, không tái khám thường xuyên được, ngại đau đớn và ăn nhai khó. Bạn có thể tham khảo phương pháp niềng răng trong suốt với những ưu điểm vượt trội hơn
Các loại niềng răng hiện nay?

Hiện nay có đa dạng nhiều loại hình niềng răng phổ biến nhưng nha khoa SV sẽ giới thiệu với các bạn một vài loại hình niềng răng chính như sau:
1. Niềng răng mắc cài
NIỀNG RĂNG MẮC CÀI SỨ.

Sự khác biệt của niềng răng mắc cài sứ với các loại niềng răng thông thường:
Niềng răng mắc cài sứ có độ trơn láng hơn so với mắc cài thường.
Độ bám dính trên bề mặt răng của mắc cài sứ cao hơn loại mắc cài bình thường.
Mắc cài sứ có màu trắng gần như trùng với màu của răng cộng với hình dáng của mắc cài sứ được bo tròn ở các đầu sẽ giúp khách hàng cảm thấy dễ chịu hơn.
Độ dày của mắc cài sứ mỏng hơn rất nhiều so với mắc cài thông thường.
Niềng răng mắc cài sứ chịu lực tốt hơn và có độ bền lâu hơn.
Niềng răng mắc cài sứ phù hợp với những ai?:
Răng bị hô, móm, thưa
Răng mọc lệch lạc, khấp khểnh, chen chúc
Khớp cắn sâu, cắn chéo, cắn hở, cắn đối đỉnh, cắn ngược,…
Muốn niềng răng hiệu quả nhưng tiết kiệm chi phí.
NIỀNG RĂNG MẮC CÀI KIM LOẠI.

Quá trình niềng răng thường kéo từ 18-24 tháng, có thể ít hoặc nhiều hơn tùy vào tình trạng răng của mỗi người.
Niềng răng mắc cài kim loại phù hợp với những ai?:
Răng bị hô, móm, thưa
Răng mọc lệch lạc, khấp khểnh, chen chúc
Khớp cắn sâu, cắn chéo, cắn hở, cắn đối đỉnh, cắn ngược,…
Muốn niềng răng hiệu quả nhưng tiết kiệm chi phí.
2. Niềng răng trong suốt không mắc cài Incognito.
NIỀNG RĂNG TRONG SUỐT KHÔNG MẮC CÀI INCOGNITO LÀ GÌ?

Niềng răng trong suốt không mắc cài Incognito là phương pháp sử dụng các khay niềng bằng nhựa trong suốt được thiết kế ôm sát vào hàm răng, tạo ra một lực kéo dịch chuyển, xắp xếp cố định các răng bị hô móm, lệch lạc về đúng vị trí như mong muốn. Niềng răng trong suốt không mắc cài Incognito là một bước tiến mới trong ngành nha khoa thẩm mỹ, vừa có khả năng dịch chuyển răng hiệu quả lại vừa đảm bảo được tính thẩm mỹ cao cho người niềng.
ƯU ĐIỂM NỔI TRỘI CỦA NIỀNG RĂNG TRONG SUỐT KHÔNG MẮC CÀI INCOGNITO
Niềng răng không mắc cài dễ dàng tháo lắp.
Đem lại cho người đeo cảm giác tự tin, thoải mái khi giao tiếp.
Đảm bảo an toàn cho người dùng.
Nhìn từ bên ngoài sẽ không thấy được mắc cài.
Tự động hóa 100%
NIỀNG RĂNG TRONG SUỐT KHÔNG MẮC CÀI INCOGNITO PHÙ HỢP NHỮNG AI?
Răng bị hô, móm, thưa
Răng mọc lệch lạc, khấp khểnh, chen chúc
Khớp cắn sâu, cắn chéo, cắn hở, cắn đối đỉnh, cắn ngược,…
Khách hàng muốn có hàm răng đẹp, cao cấp…
3. Niềng răng trong suốt không mắc cài Invisalign.
NIỀNG RĂNG INVISALIGN LÀ GÌ?

Là giải pháp chỉnh nha không dùng mắc cài, nghĩa là các bác sĩ Nha khoa sẽ dùng một khay nhựa trong suốt được chế tạo từ Hoa Kỳ(được FDA chứng nhận an toàn và cấp phép lưu hành) để bao bọc bên ngoài hàm răng, khay nhựa sẽ tác động lên răng điều chỉnh chúng dịch chuyển về vị trí thẳng hàng lối. Hiện nay tại Việt Nam, Invisalign đã được rất nhiều khách hàng tin tưởng thực hiện thành công và đang trở thành xu thế chỉnh nha hiện đại dần thay thế các phương pháp niềng răng truyền thống trước đây.
ƯU ĐIỂM NỔI TRỘI CỦA NIỀNG RĂNG TRONG SUỐT KHÔNG MẮC CÀI INVISALIGN
Niềng răng không mắc cài dễ dàng tháo lắp.
Đem lại cho người đeo cảm giác tự tin, thoải mái khi giao tiếp.
Đảm bảo an toàn cho người dùng.
Nhìn từ bên ngoài sẽ không thấy được mắc cài.
Tự động hóa 100%
NIỀNG RĂNG TRONG SUỐT KHÔNG MẮC CÀI INVISALIGN PHÙ HỢP NHỮNG AI?
Răng bị hô, móm, thưa
Răng mọc lệch lạc, khấp khểnh, chen chúc
Khớp cắn sâu, cắn chéo, cắn hở, cắn đối đỉnh, cắn ngược,…
Khách hàng muốn có hàm răng đẹp, cao cấp…
ƯU ĐIỂM CỦA VIỆC NIỀNG RĂNG TRONG SUỐT KHÔNG MẮC CÀI

Tính thẩm mỹ: độ trong suốt của khay niềng bằng nhựa cao cấp ôm sát bề mặt răng giúp bạn cười tự tin, giao tiếp thoải mái mà người đối diện bằng mắt thường sẽ không hề biết bạn đang chỉnh nha.
Tính an toàn: các khay niềng được sản xuất ở trung tâm Invisalign của hãng Align tại Hoa Kỳ và gửi về Việt Nam đảm bảo chất lượng tuyệt đối, độ bền bỉ và dẻo dai, không lo rớt mắc cài nuốt vào bụng này nọ như các phương pháp truyền thống...
Tính tiện lợi: nếu như với niềng răng mắc cài bạn phải đến nha khoa rất nhiều lần để điều chỉnh qua từng giai đoạn thì với niềng răng trong suốt bạn có thể tự mang và tháo khay dễ dàng không cần đến bác sĩ, tiết kiệm thời gian rất nhiều trong việc thăm khám, phù hợp với những người ở xa nha khoa hoặc là du học sinh.
Tính hợp vệ sinh: khi ăn uống có thể tháo khay niềng ra, rồi có thể vệ sinh khay niềng thoải mái, không phải đau đầu về vấn đề làm sạch như khi niềng bằng mắc cài phải không nào!
Tính thoải mái: bạn sẽ không cảm thấy cộm cộm, vật lạ khó chịu trong miệng như khi niềng mắc cài, cũng không lo bị cạ vào miệng gây lở và đau đớn, thật thoải mái khi niềng Invisalign.
4. Niềng răng với khí cụ tháo lắp
Niềng răng với khí cụ tháo lắp không chỉ mang lại hiệu quả niềng răng cao mà giá thành của nó lại thấp hơn so với các phương pháp niềng răng truyền thống. Niềng răng với khí cụ tháo lắp thường dùng cho hàm răng hỗn hợp, đặc biệt là những hàm răng trẻ em chưa thay hết, vừa có răng sữa vừa có răng vĩnh viễn.Thời gian mang khí cụ tháo lắp phụ thuộc vào tình trạng của răng thường sẽ từ 1 năm rưỡi cho đến 2 năm.

ƯU ĐIỂM CỦA NIỀNG RĂNG VỚI KHÍ CỤ THÁO LẮP
Giá thành rẻ.
Đơn giản, ít mất thời gian cho việc chuẩn bị.
Tháo lắp, vệ sinh răng miệng, khí cụ một cách đơn giản.
Có thể thay mới hoặc đổi khí cụ một cách dễ dàng trong suốt quá trình sử dụng.
NHƯỢC ĐIỂM CỦA NIỀNG RĂNG KHÍ CỤ THÁO LẮP
Khi ăn phải tháo lắp khí cụ ra ngoài.
Sẽ có cảm giác khó chịu khi lần đầu sử dụng
Dịch vụ tốt đảm bảo kết quả tối ưu nhất cho khách hàng
Được các đánh giá tốt từ hàng trăm khách hàng đã sử dụng dịch vụ niềng răng tại SV và đã lấy lại được nụ cười hoàn hảo nhất của họ. Cùng SV xem qua chính sách ưu đãi nhé.

Chính sách trả góp và có các ưu đãi hấp dẫn tại SV

Hoàn chỉnh hàm và mang lại sự đều đặn của răng là việc SV phải làm
Cam kết chất lượng bằng văn bản, chi phí rõ ràng, công khai
NHA KHOA SV không chỉ có đủ cam kết cho khách hàng trong và sau quá trình dán răng sứ, mà còn có chính sách BẢO HÀNH đảm bảo quyền lợi của khách hàng chuẩn nhất nếu kết quả phục hình không đúng như tư vấn ban đầu. Mọi điều khoản bảo hành được soạn rõ bằng văn bản, được ký kết khi có sự đồng thuận từ đôi bên, đảm bảo mọi quyền lợi cho khách hàng.
Hiểu được nỗi lo lắng của khách hàng về chi phí sẽ phát sinh thêm trong quá trình điều trị, vậy nên tại Nha Khoa SV, quý khách hàng sẽ được thông báo chi phí trọn gói 1 lần, đảm bảo không phát sinh thêm bất kỳ chi phí nào và được hưởng trọn quyền lợi kể cả trong và sau quá trình điều trị. Ngoài ra, với mỗi khách hàng sử dụng các dịch vụ răng sứ tại đây đều có cơ hội sở hữu các giấy bảo hành. Trong trường hợp răng sứ gặp vấn đề sau đó mà đủ điều kiện bảo hành, quý khách hoàn toàn có thể liên hệ tới NHA KHOA SV để được hỗ trợ kịp thời.

KẾT LUẬN
Các phương pháp niềng răng hiện nay như niềng răng không mắc cài và niềng răng với khí cụ tháo lắp đều có các ưu nhược điểm riêng. Để lựa chọn cho mình một phương pháp hiệu quả,hãy liên hệ NHA KHOA SV để được các bác sĩ tư vấn và lựa chọn giải pháp phù hợp nhất theo thông tin dưới đây

Hotline: 0933381675 - 02389292525
Địa Chỉ: 99 Cao Thắng, Phường 03, Quận 03, TP. Hồ Chí Minh


.png)