Nha khoa SV quận 3: địa chỉ uy tín chuyên tẩy trắng răng không chỉ là nơi cung cấp dịch vụ tẩy trắng răng mà còn mang đến sự yên tâm và chất lượng cho khách hàng. Với đội ngũ bác sĩ chuyên môn cao, trang thiết bị hiện đại và quy trình an toàn, Nha khoa SV quận 3 cam kết giúp bạn sở hữu nụ cười rạng rỡ và tự tin hơn.
Nguyên nhân gây ố vàng răng
Răng ố vàng, xỉn màu có 2 nguyên nhân chính đó là: nhiễm màu ngoại lai và nhiễm màu nội sinh. Cụ thể:
Nhiễm màu ngoại lai
Nhiễm màu ngoại lai tức là sự ảnh hưởng từ các yếu tố bên ngoài làm cho bề mặt răng bị đổi màu. Một số nguyên nhân cụ thể bao gồm:
- Thực phẩm và đồ uống: Một số thực phẩm và đồ uống có khả năng gây ố vàng cho răng, như:
- Cà phê và trà: Chứa tannin, có thể bám vào men răng.
- Nước ngọt có ga: Đường và màu nhân tạo trong nước ngọt cũng có thể gây ố vàng.
- Rượu vang đỏ: Chứa anthocyanins, dễ dàng bám vào răng.
- Soda và các loại nước có phẩm màu: Thành phần phẩm màu tổng hợp có thể gây ra tình trạng này.
- Hút thuốc lá: Nicotine và tar trong thuốc lá không chỉ gây hại cho sức khỏe mà còn có khả năng làm vàng răng rất nhanh chóng.
- Sử dụng các loại thuốc: Một số loại thuốc như tetracycline (thuốc kháng sinh) có thể khiến răng bị ố vàng, đặc biệt khi sử dụng trong giai đoạn phát triển của trẻ em.
- Chăm sóc răng miệng không đúng cách: Nếu không chải răng đều đặn hoặc không sử dụng chỉ nha khoa, mảng bám sẽ tích tụ, dễ dàng gây ố vàng cho răng.

Nguyên nhân nhiễm màu ngoại lai làm răng bị xỉn màu
Nhiễm màu nội sinh
Nhiễm màu nội sinh xảy ra khi màu sắc của răng bị ảnh hưởng từ bên trong do các yếu tố di truyền hoặc bệnh lý. Một số nguyên nhân cụ thể bao gồm:
- Di truyền: Một số người có thể có men răng tự nhiên mỏng hơn hoặc dễ bị nhiễm màu hơn do yếu tố di truyền.
- Bệnh lý: Các vấn đề sức khỏe như viêm nướu, sâu răng hay những bệnh liên quan đến quá trình trao đổi chất có thể dẫn đến việc răng bị ố vàng.
- Sử dụng fluoride quá mức: Trẻ em nếu tiếp xúc với lượng fluoride cao trong thời gian dài có thể dẫn đến tình trạng fluorosis, khiến răng có dấu hiệu ố vàng hoặc có vết trắng.
- Tuổi tác: Khi tuổi tác tăng lên, lớp men răng thường mỏng đi, để lộ lớp dentin dưới, có màu vàng tự nhiên. Điều này khiến cho răng trông có vẻ tối màu hơn.

Các vấn đề sức khỏe như viêm nướu, sâu răng hay những bệnh liên quan đến quá trình trao đổi chất có thể dẫn đến việc răng bị ố vàng.
Phương pháp tẩy trắng răng là gì?
Tẩy trắng răng là phương pháp được thực hiện theo nguyên lý dùng chất oxy hóa (Carbamide Peroxide hoặc Hydrogen Peroxide) cho thấm qua lớp men; có thể kết hợp với ánh sáng Halogen hoặc Laser hiện đại để tạo ra phản ứng oxy hóa cắt đứt các chuỗi phân tử tạo màu trong lớp ngà răng; nhờ đó giúp răng trắng sáng hơn mà không làm tổn hại đến bề mặt cũng như cấu trúc mô răng.
Tẩy trắng răng có làm hỏng men răng không?
Khoa học đã chứng minh tẩy trắng răng không ảnh hưởng đến các cấu trúc răng nếu được thực hiện đúng cách. Theo Hiệp hội Nha khoa Anh (BDA) đã chứng minh các công nghệ tẩy trắng răng là an toàn cho sức khỏe răng miệng, không làm hại men răng, không làm thay đổi cấu trúc răng nếu thực hiện đúng cách.
Bạn cần đến các phòng khám nha khoa có uy tín với thuốc tẩy trắng chính hiệu, đèn laser công nghệ cao để đảm bảo an toàn và đạt kết quả tối ưu. Trong bất kỳ trường hợp nào cũng cần theo chỉ dẫn của bác sĩ, không tự ý sử dụng thuốc tẩy không rõ nguồn gốc có thể ảnh hưởng đến men răng và nướu răng.
Phương pháp tẩy trắng răng
Tẩy trắng răng bằng cách đeo máng chứa chất tẩy
Bác sĩ sẽ thăm khám, lấy kích thước bộ răng để làm một máng vừa vặn với răng của từng bệnh nhân. Chất liệu của máng tẩy là nhựa plastic trong suốt, an toàn, không ảnh hưởng đến nướu bên dưới. Nhiệm vụ của máng là giữ thuốc tẩy trên bề mặt răng, đồng thời ngăn không cho nước bọt tràn vào, ảnh hưởng đến quá trình tẩy trắng.
Nha sĩ có tay nghề cao là người quyết định và cung cấp thuốc làm trắng răng thích hợp với từng người cũng như hướng dẫn cách sử dụng, cách theo dõi cũng như những biến chứng có thể xảy ra.
Đeo máng tẩy trắng răng có thể thực hiện tại nhà, giúp bệnh nhân chủ động thời gian (đeo từ 2 đến 3 giờ mỗi ngày), chi phí thấp. Nhược điểm là hiệu quả không cao với tất cả trường hợp, chỉ được áp dụng cho các trường hợp nhiễm màu nhẹ như: Nhiễm màu ngoại lai do tác động từ bên ngoài hoặc răng bị nhiễm màu do tuổi tác.
.jpg)
Hình ảnh tẩy trắng răng bằng cách đeo máng chứa chất tẩy
Tẩy trắng răng bằng laser
Đây là cách hiện đại nhất để làm trắng răng hiện nay. Sử dụng năng lượng laser để kích hoạt phản ứng, cắt đứt các liên kết màu trong men, ngà răng. Giúp răng trắng hơn mà không thay đổi cấu trúc men, ngà răng, không gây ê buốt. Không gây hại cho men răng, không ảnh hưởng tới nướu và lợi.
Thời gian thực hiện chỉ khoảng 1 tiếng. Nhược điểm của phương pháp này là cần bác sĩ có tay nghề cao. Nếu không dễ dẫn tới tình trạng kích ứng môi, nướu hoặc tăng sự nhạy cảm.

Hình ảnh tẩy trắng răng bằng phương pháp laser
Những lưu ý khi thực hiện tẩy trắng răng
Khi quyết định thực hiện tẩy trắng răng, có một số điều quan trọng mà bạn cần lưu ý để đạt được kết quả tốt nhất và bảo vệ sức khỏe răng miệng của mình.
Lựa chọn địa chỉ tẩy trắng uy tín
Đầu tiên, bạn cần tìm kiếm Nha khoa SV quận 3: địa chỉ uy tín chuyên tẩy trắng răng để đảm bảo quy trình thực hiện an toàn và hiệu quả. Việc lựa chọn nơi thực hiện tẩy trắng cần dựa vào kiến thức chuyên môn của bác sĩ, trang thiết bị và phản hồi từ khách hàng trước đó.
Chăm sóc răng miệng sau khi tẩy trắng
Sau khi thực hiện tẩy trắng, việc chăm sóc răng miệng đúng cách là vô cùng cần thiết. Bạn nên hạn chế ăn uống các thực phẩm có màu sắc mạnh như cà phê, trà, nước ngọt trong ít nhất 48 giờ đầu tiên.
Ngoài ra, hãy chú ý đánh răng đúng cách và sử dụng nước súc miệng để giữ gìn màu sắc răng lâu dài.
Theo dõi tình trạng răng miệng
Sau khi tẩy trắng, bạn cần theo dõi tình trạng răng miệng của mình để phát hiện sớm các dấu hiệu bất thường. Nếu gặp phải tình trạng nhạy cảm, đau nhức hoặc màu răng không đều, hãy liên hệ ngay với bác sĩ để được hỗ trợ kịp thời.
Nha khoa SV quận 3: địa chỉ uy tín chuyên tẩy trắng răng
Trong bối cảnh cuộc sống hiện đại, việc chăm sóc sức khỏe răng miệng trở nên ngày càng quan trọng. Răng trắng sáng không chỉ mang lại vẻ đẹp thẩm mỹ mà còn là dấu hiệu của sức khỏe tốt. Tại Nha khoa SV quận 3, chúng tôi hiểu rằng mỗi người đều có nhu cầu và tình trạng răng miệng khác nhau. Vì vậy, dịch vụ tẩy trắng răng tại đây được thiết kế để phù hợp với từng khách hàng.
Quy trình tẩy trắng răng tại Nha khoa SV
Quy trình tẩy trắng răng tại Nha khoa SV quận 3 rất đơn giản nhưng lại đảm bảo hiệu quả tối đa. Trước tiên, bác sĩ sẽ tiến hành kiểm tra tình trạng răng miệng của bạn để xác định phương pháp tẩy trắng phù hợp nhất. Sau đó, thuốc tẩy trắng chuyên dụng sẽ được áp dụng theo công thức cá nhân hóa, đảm bảo an toàn và hiệu quả.
Chúng tôi cam kết sử dụng các sản phẩm chất lượng cao, đã được chứng nhận về độ an toàn cho người sử dụng. Điều này giúp hạn chế những tác động xấu lên men răng và mang lại kết quả như mong đợi.

Hình ảnh tẩy trắng răng bằng laser tại Nha khoa SV quận 3
Lý do chọn Nha khoa SV để tẩy trắng răng
Khi lựa chọn Nha khoa SV quận 3, bạn không chỉ được hưởng các dịch vụ tẩy trắng răng chất lượng mà còn nhận được sự tư vấn tận tình từ đội ngũ bác sĩ giàu kinh nghiệm. Chúng tôi luôn sẵn sàng lắng nghe và đáp ứng mọi yêu cầu của khách hàng.
Bên cạnh đó, cơ sở vật chất tại Nha khoa SV quận 3 được trang bị đầy đủ các thiết bị hiện đại, giúp quá trình tẩy trắng diễn ra nhanh chóng và thuận tiện hơn, giảm thiểu cảm giác khó chịu cho khách hàng.
Khách hàng nói gì về dịch vụ tẩy trắng răng?
Khách hàng của Nha khoa SV quận 3 luôn hài lòng với kết quả sau khi thực hiện tẩy trắng răng. Nhiều người phản hồi rằng màu sắc răng đã cải thiện rõ rệt, mang lại tự tin trong giao tiếp hàng ngày. Các ý kiến tích cực từ phía khách hàng chính là động lực để chúng tôi không ngừng nâng cao chất lượng dịch vụ.
Các trường hợp không nên tẩy trắng răng
Các phương pháp tẩy trắng răng không phải đều thích hợp với mọi đối tượng. Với những đối tượng sau nên cân nhắc không nên làm trắng răng:
- Phụ nữ mang thai và cho con bú: Thuốc tẩy trắng răng có thể ảnh hưởng đến sức khỏe của trẻ sau này.
- Trẻ em dưới 16 tuổi: Thuốc tẩy trắng răng có thể gây kích thích tủy răng làm răng nhạy cảm hơn.
- Bị viêm nha chu, răng sâu, mòn cổ răng, hở cổ chân răng.
- Người có tiền sử hoặc có dấu hiệu bị dị ứng với thuốc tẩy trắng.
Dấu hiệu nhận biết men răng bị hỏng do tẩy trắng răng
Một số dấu hiệu cho thấy men răng bị hỏng do tẩy trắng răng mà bạn cần lưu ý để có thể có biện pháp xử lý kịp thời.
Răng nhạy cảm hơn bình thường
Nếu bạn cảm thấy răng trở nên nhạy cảm hơn khi tiếp xúc với nhiệt độ nóng lạnh hoặc thức ăn có vị chua, đây có thể là dấu hiệu men răng bị tổn thương. Tình trạng này thường xảy ra do lạm dụng thuốc tẩy trắng hoặc sử dụng không đúng cách.
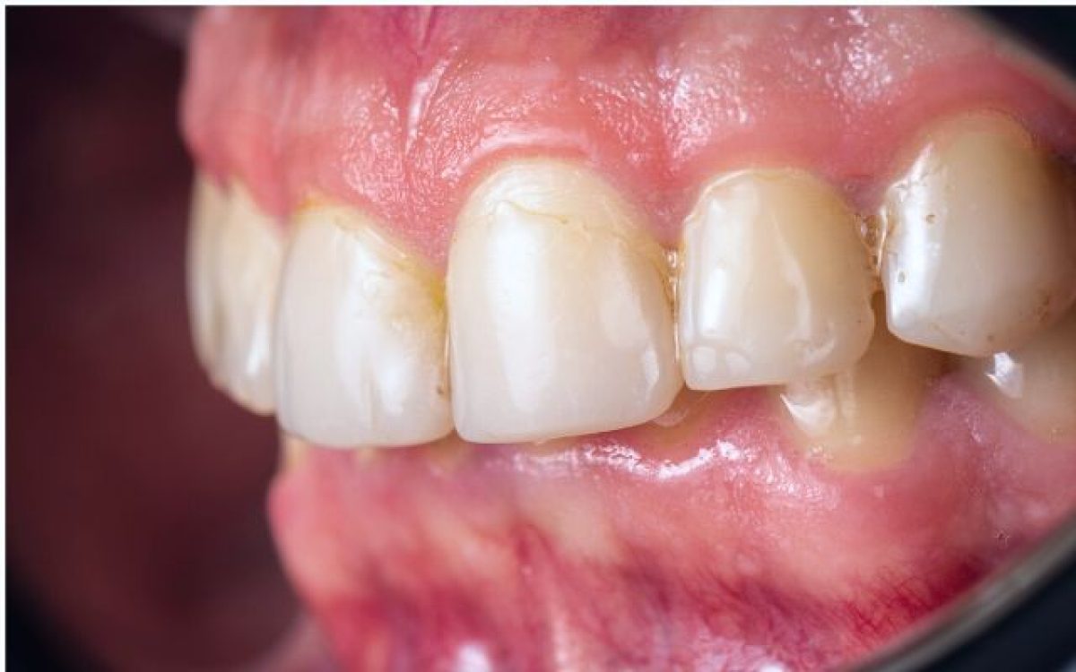
Xuất hiện các vết nứt và đốm trên bề mặt răng
Men răng bị hỏng có thể dẫn đến sự xuất hiện của các vết nứt hoặc đốm trên bề mặt răng. Nếu bạn nhận thấy sự thay đổi này, hãy đến ngay phòng khám nha khoa để được kiểm tra và điều trị.

Hình ảnh răng xuất hiện các vết đốm trên bề mặt răng
Màu sắc răng không đều
Màu sắc răng không đồng nhất cũng có thể là dấu hiệu men răng bị tổn thương. Trong trường hợp này, bác sĩ sẽ tư vấn cho bạn cách phục hồi cũng như biện pháp khắc phục hiệu quả.
Kết luận
Tẩy trắng răng là một giải pháp hữu hiệu để cải thiện vẻ đẹp thẩm mỹ cho nụ cười của bạn. Tuy nhiên, việc lựa chọn địa chỉ tẩy trắng uy tín như Nha khoa SV quận 3 là vô cùng cần thiết để đảm bảo an toàn và hiệu quả. Đồng thời, hiểu rõ các nguyên nhân làm cho răng bị xỉn màu, cách bảo vệ men răng và các lưu ý khi thực hiện tẩy trắng sẽ giúp bạn duy trì một nụ cười trắng sáng và tự tin hơn trong giao tiếp hàng ngày. Hãy chăm sóc răng miệng đúng cách để có được nụ cười hoàn hảo!
>>Xem thêm: Trồng răng Implant All On 6 uy tín tại Nha khoa SV quận 3
>>Xem thêm: Địa chỉ làm mặt dán sứ Non- Prep Veneer chất lượng tại quận 3
>>Xem thêm: Dịch vụ điều trị tủy răng - Nha khoa SV quận 3
Nha khoa SV Quận 3
Địa chỉ: 99 Cao Thắng, Phường 03, Quận 3, TP. Hồ Chí Minh
Hotline: 0933381675 - 02389292525
Email: nhakhoasv@gmail.com
Giờ làm việc:
Thứ 2-Thứ 6: 8h00 – 20h00
Thứ 7: 8h00 – 18h00
Chủ Nhật: 8h00 – 12h00

.png)