Không chỉ gây mất thẩm mỹ, vôi răng (cao răng) còn là nơi cư ngụ của nhiều loại vi khuẩn gây hại cho răng miệng. Do đó, lấy vôi răng theo định kỳ 3-6 tháng/lần là giải pháp giúp loại bỏ hoàn toàn cặn vụn lắng đọng, mảng bám đã bị vôi hóa ở thân răng, nướu răng. Nha khoa SV: Địa chỉ cạo vôi răng uy tín tại quận 3-TP HCM là nơi mà bạn có thể tin tưởng để thực hiện các dịch vụ liên quan đến sức khỏe răng miệng. Với sự đầu tư về trang thiết bị hiện đại và đội ngũ bác sĩ chuyên môn cao, Nha khoa SV quận 3 cam kết mang lại những dịch vụ tốt nhất cho khách hàng.
Cạo vôi răng là gì?
Cạo vôi răng là một quy trình nha khoa nhằm loại bỏ các mảng bám và vôi răng. Vôi răng hình thành do thức ăn, nước uống cùng với vi khuẩn trong miệng kết hợp tạo thành những lớp chất cứng trên bề mặt răng. Việc cạo vôi răng không chỉ giúp cải thiện tính thẩm mỹ của hàm răng mà còn bảo vệ sức khỏe răng miệng.
Quá trình này thường được thực hiện bởi các nha sĩ chuyên nghiệp, sử dụng các thiết bị chuyên dụng. Một số thiết bị dùng trong quá trình cạo vôi răng bao gồm máy siêu âm, dụng cụ cạo thủ công hay laser. Điều này giúp đảm bảo rằng mọi thứ được thực hiện một cách an toàn và hiệu quả.

Hình ảnh mô phỏng về cạo vôi răng
Những tác hại của vôi răng đối với sức khỏe răng miệng
- Hơi thở nặng mùi.
- Mảng bám tích tụ quá nhiều, dày và lâu ngày sẽ phá hủy men răng. Men răng bị tổn thương càng nặng thì nguy cơ sâu răng càng cao.
- Là nơi cư ngụ của nhiều loại vi khuẩn lên men carbohydrate tạo ra acid gây sâu răng như Streptococcus mutans, Lactobacilli...
- Tác nhân gây ra các bệnh ở miệng, ở họng như: viêm niêm mạc miệng, viêm họng, viêm amidan, lở miệng...
- Chảy máu chân răng, ê buốt khi ăn uống.
- Tụt nướu làm lộ chân răng.
- Nguyên nhân chính gây ra các bệnh về răng miệng như: viêm nha chu, tiêu xương ổ răng, viêm tủy răng ngược dòng. Nghiêm trọng hơn có thể khiến răng lung lay, rụng răng gây mất thẩm mỹ.

Vôi răng thường làm cho hơi thở nặng mùi
Tại sao nên cạo vôi răng?
Cạo vôi răng là một quy trình quan trọng trong việc chăm sóc sức khỏe răng miệng. Dưới đây là một số lý do tại sao bạn nên cạo vôi răng định kỳ:
- Ngăn ngừa sâu răng: Vôi răng (cao răng) là mảng bám đã bị khoáng hóa, có thể chứa vi khuẩn gây sâu răng. Khi cạo vôi, bạn loại bỏ môi trường thuận lợi cho vi khuẩn phát triển, giảm nguy cơ sâu răng.
- Phòng ngừa bệnh nướu: Vôi răng tích tụ có thể dẫn đến viêm nướu và các bệnh về nướu khác. Cạo vôi giúp làm sạch các mảng bám này, ngăn chặn tình trạng viêm nhiễm và bảo vệ nướu khỏi tổn thương.
- Cải thiện hơi thở: Vôi răng có thể tạo ra mùi hôi do sự phân hủy của thực phẩm và vi khuẩn. Cạo vôi sẽ giúp cải thiện hơi thở, mang lại cảm giác tự tin hơn khi giao tiếp.
- Đảm bảo thẩm mỹ: Vôi răng thường gây ố vàng hoặc xỉn màu răng, làm giảm tính thẩm mỹ của nụ cười. Cạo vôi không chỉ làm sạch mà còn giúp răng trắng sáng hơn.
- Tăng cường sức khỏe tổng quát: Nghiên cứu đã chỉ ra rằng sức khỏe răng miệng có liên quan mật thiết đến sức khỏe toàn thân. Việc duy trì một hàm răng khỏe mạnh thông qua việc cạo vôi có thể góp phần vào việc phòng ngừa các bệnh lý như tim mạch và tiểu đường.
Vì vậy, việc cạo vôi răng định kỳ ít nhất 6 tháng một lần là rất quan trọng để đảm bảo sức khỏe răng miệng tốt nhất.
Cạo vôi răng có đau không - có ê buốt không?
Các yếu tố quyết định cạo vôi răng có đau không:
- Tình trạng sức khỏe răng miệng của Khách hàng:
Nếu khách hàng đang mắc một số bệnh lý nha khoa như viêm nha chu, viêm nướu, lợi sưng đỏ thì việc lấy cao răng có thể ê buốt hơn so với người có sức khỏe răng miệng tốt.
- Mức độ vôi răng:
Cao răng ở thân răng, có thể nhìn thấy bằng mắt thường, việc lấy cao răng diễn ra nhanh chóng khoảng 15 – 30 phút, không gây ê buốt hay chảy máu chân răng. Trường hợp vôi răng lắng đọng, bám chặt dưới nướu răng gây viêm, sưng, lấy vôi răng có thể ê buốt nhưng cảm giác này sẽ nhanh chóng biến mất sau vài ngày cũng như không gây ảnh hưởng đến khả năng ăn nhai của răng.

Việc cạo vôi răng có đau hoặc ê buốt tùy thuộc vào mức độ vôi răng
- Kỹ thuật lấy vôi răng:
Nếu như trước đây bác sĩ nha khoa thường sử dụng bộ dụng cụ lấy cao răng cầm tay hoặc máy thổi cát để loại bỏ vôi răng thì hiện nay dụng cụ cạo cao răng bằng sóng siêu âm (máy siêu âm) được ưa chuộng hơn. Đây kỹ thuật lấy vôi răng hiện đại giúp giảm thiểu tối đa cảm giác ê buốt cho Khách hàng cũng như rút ngắn thời gian điều trị. Bởi, sóng siêu âm an toàn tuyệt đối với cơ thể, loại bỏ hoàn toàn mảng bám mà không xâm lấn răng và nướu.

Dụng cụ lấy cao răng bằng sóng siêu âm
Cấu tạo máy siêu âm gồm có 2 đầu, một đầu là tay cầm, đầu còn lại nhỏ như đầu tăm, sắc bén, có thể chuyển động linh hoạt tới các ngóc ngách của răng. Máy hoạt động với tần số 28 – 30 kHz, có độ rung vừa đủ để các mảng bám tự vỡ ra mà hoàn toàn không làm tổn thương đến nướu và các tổ chức xung quanh.
- Tay nghề của bác sĩ:
Nếu nha sĩ giàu kinh nghiệm, trình độ chuyên môn cao, việc lấy vôi răng nhẹ nhàng, không tác động đến má trong, lưỡi... thì bạn hoàn toàn không có cảm giác đau nhức nào.
Việc cạo vôi răng rất đơn giản, thường không ảnh hưởng tới các mô mềm, không gây đau đớn hay tổn thương men răng nhưng đòi hỏi bác sĩ phải tỉ mỉ, nhẹ nhàng trong từng thao tác.
Cạo vôi răng nhiều có tốt không?
Tình trạng cạo vôi răng nhiều lần trong năm thường gây ra nhiều câu hỏi và thắc mắc. Liệu việc cạo vôi răng nhiều có tốt không? Hay có ảnh hưởng gì đến sức khỏe răng miệng?
Lợi ích của việc cạo vôi răng định kỳ
Cạo vôi răng định kỳ giúp bạn ngăn ngừa bệnh lý răng miệng và giữ cho răng miệng luôn sạch sẽ. Việc loại bỏ vôi răng thường xuyên giúp tránh được những tình trạng nghiêm trọng như viêm nướu hay sâu răng.
Hơn nữa, nhiều nghiên cứu đã chỉ ra rằng những người cạo vôi răng thường xuyên sẽ ít gặp phải vấn đề về hôi miệng hơn. Điều này giúp bạn tự tin hơn khi giao tiếp và hòa nhập cộng đồng.
Rủi ro nếu cạo vôi răng quá nhiều
Mặc dù cạo vôi răng mang lại nhiều lợi ích, nhưng nếu quá lạm dụng cũng có thể gây ra một số tác động tiêu cực. Nếu bạn cạo vôi răng quá thường xuyên, đặc biệt là bằng các phương pháp không đúng cách, có thể làm tổn thương đến men răng và nướu.
Hơn nữa, việc quá phụ thuộc vào việc cạo vôi răng cũng có thể dẫn đến sự thiếu sót trong việc chăm sóc răng miệng hàng ngày. Bạn cần nhớ rằng việc đánh răng, dùng chỉ nha khoa và khám nha sĩ định kỳ cũng rất quan trọng để duy trì sức khỏe răng miệng.
Nha khoa SV: Địa chỉ cạo vôi răng uy tín tại quận 3-TP HCM
Khi nói đến việc chăm sóc sức khỏe răng miệng, nhiều người thường nghĩ ngay đến việc cần phải cạo vôi răng. Đây là một trong những bước quan trọng giúp duy trì hàm răng sạch sẽ và khỏe mạnh. Nha khoa SV quận 3 tự hào là một trong những địa chỉ cạo vôi răng uy tín tại quận 3, TP HCM, với nhiều năm kinh nghiệm trong ngành.
Dịch vụ cạo vôi răng
Cạo vôi răng là một trong những dịch vụ phổ biến nhất tại Nha khoa SV quận 3. Vôi răng (hay còn gọi là cao răng) là sự tích tụ của mảng bám, vi khuẩn và khoáng chất trên bề mặt răng. Nếu không được loại bỏ kịp thời, chúng có thể dẫn đến nhiều vấn đề về sức khỏe răng miệng như sâu răng, viêm nướu, hoặc thậm chí là mất răng.

Dịch vụ cạo vôi răng tại Nha khoa SV quận 3
Quy trình cạo vôi răng tại Nha khoa SV quận 3
- Khám tổng quát: Bác sĩ sẽ kiểm tra tình trạng răng miệng của bạn để xác định mức độ vôi răng và các vấn đề khác nếu có.
- Giải thích quy trình: Bác sĩ sẽ giải thích rõ về quy trình cạo vôi răng và lắng nghe những thắc mắc của bạn trước khi tiến hành.
- Cạo vôi răng: Sử dụng công nghệ siêu âm và các dụng cụ nha khoa chuyên dụng, bác sĩ sẽ tiến hành cạo sạch vôi răng một cách nhẹ nhàng và hiệu quả.
- Rửa miệng và đánh bóng: Sau khi cạo vôi răng, bác sĩ sẽ tiến hành rửa miệng cho bạn và sử dụng các sản phẩm đánh bóng răng giúp bề mặt răng trở nên sáng bóng và mịn màng hơn.
- Hướng dẫn chăm sóc sau điều trị: Bác sĩ sẽ hướng dẫn bạn cách chăm sóc răng miệng đúng cách để duy trì sức khỏe răng miệng tốt nhất.

Hình ảnh Bác sĩ tại Nha khoa SV quận 3 đang thực hiện cạo vôi răng cho bệnh nhân

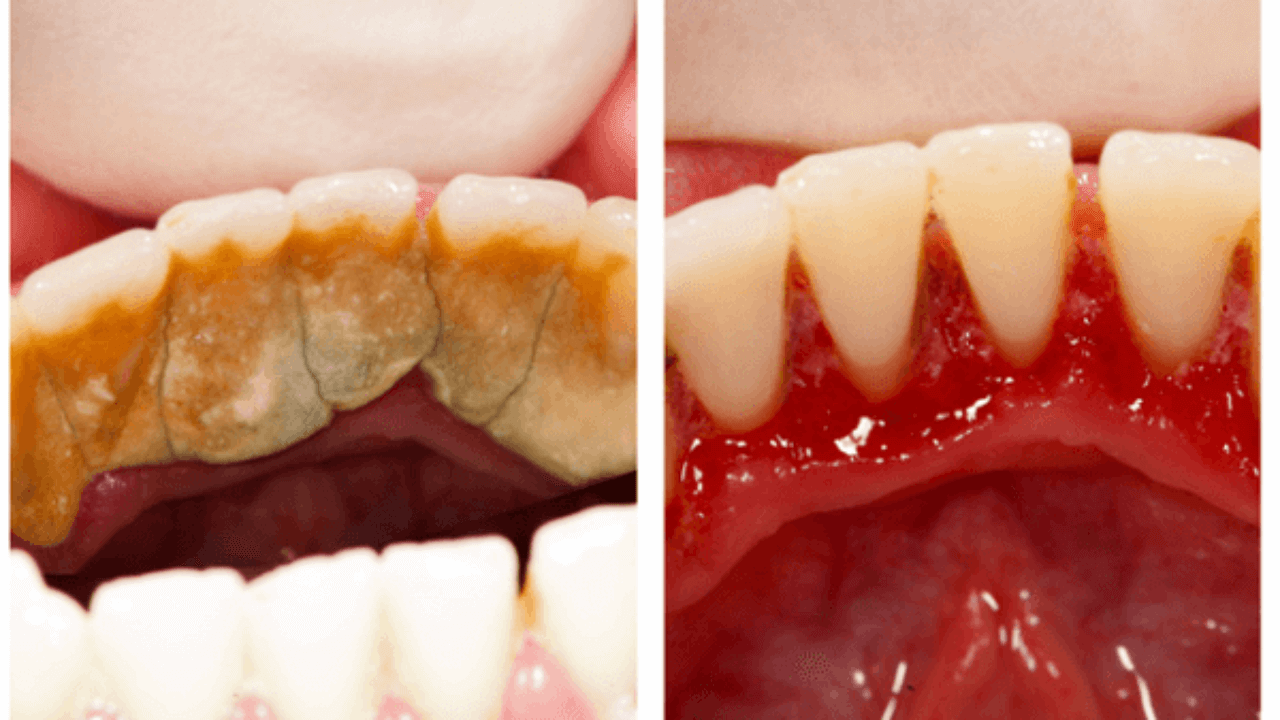
Hình ảnh trước và sau khi cạo vôi răng tại Nha khoa SV quận 3
Tại sao chọn Nha khoa SV quận 3?
- Đội ngũ bác sĩ chuyên nghiệp: Các bác sĩ tại Nha khoa SV quận 3 đều có chuyên môn cao, nhiều năm kinh nghiệm trong lĩnh vực nha khoa và luôn cập nhật những kiến thức mới nhất.
- Trang thiết bị hiện đại: Nha khoa SV quận 3 được trang bị các công nghệ tiên tiến nhất trong ngành nha khoa, đảm bảo quá trình cạo vôi răng diễn ra an toàn và hiệu quả.
- Chất lượng dịch vụ tận tâm: Khách hàng sẽ được phục vụ tận tình từ khâu tư vấn đến khi hoàn thành dịch vụ, giúp tạo cảm giác thoải mái và yên tâm.
- Giá cả hợp lý: Mặc dù chất lượng dịch vụ cao nhưng Nha khoa SV quận 3 vẫn giữ mức giá cạnh tranh, phù hợp với nhiều đối tượng khách hàng.
Đặt lịch hẹn
Nếu bạn đang tìm kiếm một địa chỉ cạo vôi răng uy tín tại quận 3, TP HCM, hãy đến với Nha khoa SV. Bạn có thể đặt lịch hẹn trực tiếp qua điện thoại: 0933381675 - 02389292525 hoặc website ở mục liên hệ của phòng khám để được tư vấn và phục vụ tốt nhất.
Những lưu ý sau khi cạo vôi răng mà bạn nên biết
Sau khi lấy cao răng, mô nướu và men răng rất nhạy cảm vì vậy nếu không chăm sóc đúng cách, răng miệng rất dễ bị vi khuẩn xâm nhập và tích tụ lại mảng bám. Một số lưu ý trong chăm sóc răng miệng sau khi lấy cao răng như:
- Không nên ăn các thực phẩm quá nóng hoặc quá lạnh vì nhiệt độ quá thấp hoặc cao có thể gây tổn hại đến men răng, khiến răng ê buốt khi ăn uống.
- Không nên hút thuốc, sử dụng bia rượu hay các loại thực phẩm sậm màu, nhiều axit như trà, cà phê, nước ngọt, nước tương, socola... sau khi lấy cao răng.
- Xây dựng chế độ ăn uống đầy đủ dinh dưỡng, nhiều rau củ, trái cây tươi giàu vitamin và khoáng chất. Hạn chế ăn các loại thức ăn quá mềm, dẻo vì chúng dễ bám vào răng hình thành cao răng.
- Đánh răng 2 lần/ngày, vào buổi sáng sau khi ngủ dậy và buổi tối trước khi đi ngủ.
- Đánh răng đúng cách. Khi chải nên dùng bàn chải có lông mềm, lực vừa phải, đặt bàn chải theo chiều dọc hoặc xoay tròn. Tránh chải răng theo chiều ngang vì có thể làm mòn men răng.
- Sử dụng nước muối sinh lý, chỉ nha khoa sau mỗi bữa ăn nhằm loại bỏ các mảng bám còn sót lại.
- Khám và lấy cao răng theo định kỳ hoặc theo sự chỉ định của bác sĩ.
Kết luận
Cạo vôi răng là một quá trình quan trọng trong việc chăm sóc sức khỏe răng miệng. Tại Nha khoa SV: Địa chỉ cạo vôi răng uy tín tại quận 3-TP HCM, bạn hoàn toàn có thể yên tâm về chất lượng dịch vụ và tay nghề của bác sĩ. Hãy chăm sóc cho hàm răng của mình một cách bài bản để có nụ cười tự tin và sức khỏe răng miệng tốt nhất!
>>Xem thêm: Địa chỉ làm mặt dán sứ Non- Prep Veneer chất lượng tại quận 3
>>Xem thêm: Trồng răng Implant All On 6 uy tín tại Nha khoa SV quận 3
>>Xem thêm: Nha khoa làm răng sứ đẹp tại quận 3- Nha khoa SV
Nha khoa SV Quận 3
Địa chỉ: 99 Cao Thắng, Phường 03, Quận 3, TP. Hồ Chí Minh
Hotline: 0933381675 - 02389292525
Email: nhakhoasv@gmail.com
Giờ làm việc:
Thứ 2-Thứ 6: 8h00 – 20h00
Thứ 7: 8h00 – 18h00
Chủ Nhật: 8h00 – 12h00

.png)