Nha khoa SV quận 3- địa chỉ uy tín điều trị tủy răng là một trong những trung tâm chăm sóc sức khỏe răng miệng hàng đầu tại quận 3, thành phố Hồ Chí Minh. Với đội ngũ bác sĩ giàu kinh nghiệm, trang thiết bị hiện đại và quy trình điều trị chuyên nghiệp, Nha khoa SV quận 3 cam kết mang lại sự an tâm cho tất cả bệnh nhân trong việc điều trị các vấn đề liên quan đến tủy răng.
Điều trị tủy răng là gì?
Điều trị tủy răng là một quy trình nha khoa nhằm loại bỏ vi khuẩn và mô nhiễm trùng khỏi tủy răng. Tủy răng là phần bên trong của răng chứa dây thần kinh và mạch máu, do đó khi bị viêm nhiễm, nó có thể gây ra cảm giác đau đớn và khó chịu cho người bệnh.
.jpg)
Hình ảnh giới thiệu về Điều trị tủy răng
Nguyên nhân gây ra viêm tủy răng
Viêm tủy răng thường do sâu răng, chấn thương hoặc các bệnh lý khác liên quan đến răng miệng. Vi khuẩn xâm nhập vào tủy qua các lỗ hổng trên bề mặt răng, dẫn đến tình trạng viêm nhiễm. Khi để lâu dài, nếu không được điều trị kịp thời, viêm tủy có thể dẫn đến nhiễm trùng và mất răng.
Giá trị của việc phát hiện sớm tình trạng viêm tủy rất quan trọng. Nếu bạn gặp phải triệu chứng như đau nhức, sưng nướu hoặc răng nhạy cảm khi nhai, hãy nhanh chóng tìm đến các cơ sở nha khoa uy tín để được kiểm tra và điều trị.

Nguyên nhân gây viêm tủy răng
Lợi ích của điều trị tủy răng
Việc điều trị tủy răng không chỉ giúp loại bỏ cơn đau mà còn bảo tồn răng thật, ngăn ngừa biến chứng nghiêm trọng hơn trong tương lai. Điều này cực kỳ quan trọng vì mất răng có thể ảnh hưởng đến khả năng ăn uống, nói chuyện và thậm chí là tự tin trong giao tiếp xã hội.
Ngoài ra, điều trị tủy răng còn giúp duy trì cấu trúc hàm và ngăn chặn sự dịch chuyển của các răng lân cận. Mỗi trường hợp điều trị đều cần được xem xét cá nhân hóa để đảm bảo bệnh nhân có thể phục hồi hoàn toàn sức khỏe răng miệng.
Khi nào cần điều trị tủy răng
Nhiều người thường băn khoăn về thời điểm cần phải điều trị tủy răng. Có một số dấu hiệu rõ ràng mà bạn nên chú ý để nhận biết khi nào cần tìm kiếm sự trợ giúp từ chuyên gia nha khoa.
♦Triệu chứng đau nhức
Cảm giác đau nhức là dấu hiệu rõ ràng nhất cho thấy bạn có thể cần điều trị tủy răng. Đau có thể xuất hiện liên tục hoặc chỉ khi bạn nhai thức ăn. Thậm chí, cơn đau có thể lan rộng ra các vùng xung quanh răng, làm bạn cảm thấy khó chịu.
Nếu cảm thấy cơn đau ngày càng tăng hoặc không giảm sau khi dùng thuốc giảm đau, hãy ngay lập tức tìm đến Nha khoa SV quận 3 để được thăm khám và xử lý kịp thời.

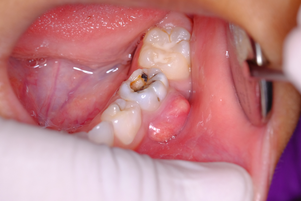
♦Sưng và viêm
Nếu bạn thấy có dấu hiệu sưng tấy ở nướu hoặc má, điều này có thể báo hiệu rằng tủy răng của bạn đang bị viêm nhiễm. Tình trạng này không chỉ gây đau đớn mà còn có thể dẫn đến các biến chứng nghiêm trọng nếu không được điều trị sớm.

Hình ảnh sưng nứu răng do bị viêm tủy
Tại Nha khoa SV quận 3, bác sĩ sẽ đánh giá tình trạng của bạn và đưa ra phương pháp điều trị phù hợp nhằm khôi phục sức khỏe răng miệng.
Xem thêm: Địa chỉ trồng răng sứ uy tín tại quận 3, TP Hồ Chí Minh
Nha khoa SV quận 3- địa chỉ uy tín điều trị tủy răng uy
Khi nhắc đến việc điều trị tủy răng, sự lựa chọn đúng đắn của phòng khám nha khoa là vô cùng quan trọng. Nha khoa SV quận 3 không chỉ nổi bật với chất lượng dịch vụ mà còn bởi sự tận tâm trong từng ca điều trị. Đội ngũ bác sĩ tại đây luôn sẵn sàng tư vấn và giải đáp mọi thắc mắc của khách hàng, từ đó giúp họ có cái nhìn toàn diện về tình trạng của mình.
Dịch vụ điều trị tủy răng
Dịch vụ điều trị tủy răng tại Nha khoa SV quận 3 được thiết kế để mang lại trải nghiệm tốt nhất cho bệnh nhân. Từ việc thăm khám ban đầu cho đến quá trình điều trị, mỗi bước đều được thực hiện cẩn thận và chính xác. Điều này không chỉ giúp bảo tồn răng miệng mà còn đảm bảo sức khỏe tổng thể của bệnh nhân.
Bệnh nhân sẽ được cung cấp thông tin đầy đủ về quy trình điều trị, từ đó tạo ra sự yên tâm và tin tưởng đối với phương pháp mà bác sĩ đã chọn. Sự tương tác giữa bác sĩ và bệnh nhân cũng là điểm mạnh của Nha khoa SV quận 3, vì điều này giúp bệnh nhân cảm thấy thoải mái hơn trong suốt quá trình điều trị.
Độ ngũ bác sĩ giỏi chuyên môn
Tại đây, khách hàng sẽ được đội ngũ bác sĩ có tay nghề chuyên môn cao, được đào tạo bài bản và từng tu nghiệp nhiều năm tại nước ngoài trực tiếp thăm khám cũng như tư vấn, lên pháp đồ điều trị phù hợp nhất.
.jpg)
Hình ảnh đội ngũ bác sĩ có chuyên môn cao tại Nha khoa SV quận 3
Áp dụng công nghệ và thiết bị điều trị hiện đại
Nha Khoa SV quận 3 ứng dụng công nghệ vi phẫu trong chữa tủy răng. Với công nghệ này, phần tủy răng bị viêm, thương tổn sẽ được loại bỏ sạch, nhanh và trám bít kỹ, an toàn, không gây ảnh hưởng đến sức khỏe răng hàm và tiết kiệm thời gian thực hiện, không lo tái phát.
Cam kết chất lượng
Nha khoa SV quận 3 cam kết sử dụng công nghệ tiên tiến và vật liệu chất lượng cao trong điều trị tủy răng. Bác sĩ tại đây luôn cập nhật kiến thức mới và tham gia vào các khóa học nâng cao để cải thiện kỹ năng của mình. Điều này không chỉ giúp nâng cao chất lượng dịch vụ mà còn đảm bảo rằng bệnh nhân nhận được sự chăm sóc tốt nhất có thể.
Quy trình điều trị tủy răng an toàn và không đau tại Nha khoa SV quận 3
Hiện nay Nha Khoa SV quận 3 đang là địa chỉ hàng đầu tại quận 3, TP Hồ Chí Minh áp dụng thành công phương pháp điều trị tủy răng bằng công nghệ mới. Tại đây, quy trình chữa tủy sẽ được các bác sĩ tiến hành theo các bước cụ thể sau:
Bước 1: Thăm khám và chuẩn đoán
Bác sĩ thăm khám tổng quát và cho khách hàng chụp phim x-quang paronex tại vùng răng bị nghi viêm tủy, nhằm xác định chính xác tình trạng viêm nhiễm cũng như hình dạng ống tủy để biết độ khó của ca chữa tủy, từ đó có thể lên pháp đồ chữa trị phù hợp.
Bước 2: Vệ sinh răng miệng
Trước khi tiến hành chữa tủy răng bác sĩ sẽ thực hiện các bước vệ sinh răng miệng cho khách hàng, sau đó tiến hành gây tê trong phòng vô trùng khép kín để giúp bạn cảm thấy thoải mái, không đau và hợp tác tốt với bác sĩ trong suốt quá trình điều trị.
Bước 3: Đặt đế cao su cách ly răng và nướu
Sau khi gây tê xong, khách hàng sẽ được đặt đế cao su vào vùng răng cần chữa tủy để cách ly răng ra khỏi nướu và khoang miệng, tránh tình trạng thuốc điều trị tủy rơi vào đường hô hấp hay tiêu hóa.
Bước 4: Điều trị và làm sạch tủy
Điều trị tủy được thực hiện bởi máy khoan chuyên dụng để mở đường làm sạch ống tủy. Sau đó bác sĩ tiến hành trám bít lại cẩn thận bằng nhựa nha khoa chuyên dụng gutta percha, bảo tồn răng dài lâu.
Bước 5: Dặn dò và hẹn tái khám
Sau khi quá trình chữa trị kết thúc, bệnh nhân sẽ được Bác sĩ dặn dò về cách chăm sóc, làm sạch răng miệng và những lưu ý cần biết trong những ngày đầu sau khi điều trị. Đồng thời, hẹn và lên lịch tái khám cho lần sau.

Dịch vụ điều trị tủy răng không đau tại Nha khoa SV quận 3
Sau điều trị tủy răng cần làm gì?
Sau khi điều trị tủy răng tại Nha khoa SV quận 3, việc chăm sóc và theo dõi là rất quan trọng để đảm bảo rằng răng của bạn phục hồi tốt và không gặp phải các vấn đề khác. Dưới đây là một số điều cần làm sau khi điều trị tủy răng:
Theo dõi cảm giác đau: Sau khi kết thúc quá trình điều trị, bạn có thể cảm thấy một chút đau hoặc khó chịu ở vùng điều trị. Điều này là bình thường và có thể kéo dài từ vài giờ đến vài ngày.
Nếu cơn đau không giảm đi hoặc trở nên nghiêm trọng hơn sau vài ngày, bạn nên liên hệ với bác sĩ nha khoa để được tư vấn.
Uống thuốc theo chỉ định: Bác sĩ có thể kê đơn thuốc giảm đau hoặc kháng viêm để giúp bạn cảm thấy dễ chịu hơn. Hãy nhớ uống đúng liều lượng và thời gian như đã được hướng dẫn.
Tránh thức ăn cứng và nóng: Trong những ngày đầu sau điều trị, bạn nên tránh ăn các loại thực phẩm cứng, nóng hoặc lạnh để không làm tổn thương khu vực vừa điều trị.
Nên chọn thức ăn mềm, dễ nhai và không quá nóng.
Vệ sinh răng miệng đúng cách: Giữ vệ sinh răng miệng sạch sẽ là vô cùng quan trọng. Bạn nên đánh răng nhẹ nhàng quanh khu vực vừa điều trị, tránh chà xát mạnh vào vết thương.
Sử dụng nước súc miệng kháng khuẩn nếu được bác sĩ khuyên dùng.
Đến tái khám đúng hẹn: Bác sĩ sẽ hẹn lịch tái khám để kiểm tra sự phục hồi của răng. Việc đi tái khám giúp phát hiện sớm bất kỳ vấn đề nào có thể xảy ra.
Đảm bảo tuân thủ lịch hẹn và thông báo cho bác sĩ về bất kỳ triệu chứng lạ nào bạn gặp phải.
Thực hiện các biện pháp bảo vệ răng: Sau điều trị, bác sĩ có thể khuyên bạn nên làm mão răng hoặc miếng phục hồi để bảo vệ cấu trúc răng đã được điều trị.
Việc này giúp ngăn ngừa tình trạng gãy răng hoặc nhiễm trùng trong tương lai.
Chú ý đến sức khỏe tổng quát: Ngoài việc chăm sóc răng miệng, bạn cũng nên chú ý đến chế độ ăn uống và sức khỏe tổng quát của mình. Một cơ thể khỏe mạnh sẽ góp phần hỗ trợ quá trình hồi phục của răng.
Kết luận
Nha khoa SV quận 3- địa chỉ uy tín điều trị tủy răng là lựa chọn hàng đầu cho những ai đang tìm kiếm dịch vụ chữa trị tủy răng an toàn và hiệu quả. Với quy trình điều trị chuyên nghiệp và đội ngũ bác sĩ tận tâm, bạn có thể hoàn toàn yên tâm khi đặt niềm tin vào nơi đây. Hãy chăm sóc sức khỏe răng miệng của mình một cách tốt nhất để có một nụ cười tự tin và rạng rỡ!
Xem thêm: Phòng khám nha khoa trồng răng Implant tại quận 3, TP Hồ Chí Minh
Xem thêm: Niềng răng là gì? Địa chỉ niềng răng uy tín tại quận 3- Nha khoa SV
Xem thêm: Trám răng là gì? Dịch vụ trám răng uy tín tại Nha khoa SV quận 3
Nha khoa SV Quận 3
Địa chỉ: 99 Cao Thắng, Phường 03, Quận 3, TP. Hồ Chí Minh
Hotline: 0933381675 - 02389292525
Email: nhakhoasv@gmail.com
Giờ làm việc:
Thứ 2-Thứ 6: 8h00 – 20h00
Thứ 7: 8h00 – 18h00
Chủ Nhật: 8h00 – 12h00

.png)