Ngày nay, nhu cầu làm đẹp nhằm cải thiện nhan sắc ngày càng trở nên phổ biến, trong đó không thể không kể đến việc nâng cao vẻ đẹp cho hàm răng. Dán sứ veneer là một trong những phương pháp phổ biến được nhiều người lựa chọn. Nha khoa SV quận 3 làm mặt dán sứ Non-Prep Veneer chất lượng tại quận 3 là một trong những lựa chọn hàng đầu cho những ai muốn cải thiện vẻ đẹp của hàm răng mà không cần phải trải qua các thủ thuật phức tạp. Với công nghệ hiện đại và đội ngũ bác sĩ giàu kinh nghiệm, Nha khoa SV cam kết mang đến cho khách hàng dịch vụ tốt nhất.
Mặt dán sứ Non-prep Veneer là gì?
Mặt dán sứ Non-prep Veneer là một lớp sứ mỏng được thiết kế để phủ lên bề mặt của răng nhằm mục đích cải thiện vẻ ngoài của chúng. Điểm nổi bật của kỹ thuật này là không cần mài răng, do đó không gây tổn thương đến cấu trúc tự nhiên của răng. Phương pháp này còn được gọi với một số các tên khác như:
- Veneer không mài
- Veneer ít xâm lấn
- No-prep veneers

Hình ảnh giới thiệu mặt dán sứ Non-prep Veneer
Ưu điểm nổi bật của mặt dán sứ Non-prep Veneer
- Bảo tồn tối đa răng thật: Điểm mạnh lớn nhất của Non-prep Veneer là khả năng bảo tồn tối đa phần men răng tự nhiên. Điều này giúp giữ cho răng của bạn khỏe mạnh hơn và giảm thiểu nguy cơ tổn thương hoặc nhạy cảm.

Phương pháp dán sứ Non-prep bảo tồn răng gốc tối đa
- Thẩm mỹ vượt trội: Non-prep Veneer được chế tạo từ sứ cao cấp, mang lại vẻ ngoài tự nhiên, sáng bóng và giống như răng thật. Chúng có khả năng phản xạ ánh sáng tốt, giúp răng trông tự nhiên hơn trong ánh sáng.

Mặt dán sứ Non-prep Veneer mang lại nụ cười tự tin cho khách hàng
- Quy trình thực hiện nhanh chóng: Việc lắp đặt Non-prep Veneer thường nhanh hơn so với các phương pháp khác, vì không cần thời gian để mài răng. Thường chỉ cần một hoặc hai lần hẹn khám là có thể hoàn tất quá trình.
- Khả năng thay đổi màu sắc: Non-prep Veneer có thể được chế tạo với nhiều màu sắc khác nhau, giúp bạn lựa chọn tông màu phù hợp nhất với màu da và sở thích cá nhân.

Mặt dán sứ siêu mỏng, thay đổi màu sắc răng theo ý muốn
- Giảm thiểu đau đớn: Vì không cần phải mài răng, quy trình lắp đặt Non-prep Veneer thường ít gây đau đớn hơn so với các phương pháp khác, mang lại cảm giác thoải mái hơn cho bệnh nhân.
- Dễ dàng bảo trì: Mặt dán sứ Non-prep Veneer dễ dàng bảo trì và chăm sóc. Bạn chỉ cần thực hiện việc vệ sinh răng miệng hàng ngày như bình thường để duy trì độ bền và vẻ đẹp của veneer.
Tóm lại, Non-prep Veneer là một giải pháp hiệu quả cho những ai muốn cải thiện nụ cười của mình mà không cần phải trải qua các quy trình phức tạp hay đau đớn.
Tác dụng phụ tiềm ẩn của Mặt dán sứ Non-prep Veneer
Mặt dán sứ Non-prep Veneer là phương pháp có nhiều ưu điểm, tuy nhiên chúng cũng có một số tác dụng phụ tiềm ẩn có thể xảy ra đó là:
- Nhạy cảm răng sau khi thực hiện mặt dán sứ Non-prep Veneer là một tình trạng khá phổ biến. Điều này là do miếng sứ có thể làm lộ các dây thần kinh ở bề mặt răng nhưng tình trạng này chỉ diễn ra trong một thời gian ngắn. Còn nếu bạn thấy tình trạng này nghiêm trọng thì nên đến phòng khám để bác sĩ kiểm tra và xử lý sớm
- Gãy vỡ miếng sứ nếu bạn vô tình cắn phải thức ăn cứng hoặc gặp tai nạn chấn thương. Khi bị gãy vỡ bạn sẽ cần phải đến nha sĩ để thay thế miếng sứ mới.
- Viêm lợi là một tác dụng phụ hiếm gặp nhưng vẫn có xảy ra khi sử dụng mặt dán sứ Non-prep Veneer. Nhiều người có dấu hiệu viêm lợi gây đau, sưng và chảy máu lợi.
Trường hợp nào có thể sử dụng mặt dán sứ Non-prep Veneer?
Mặt dán sứ Non-prep Veneer không phải là phương pháp phù hợp cho tất cả mọi người. Thực tế phương pháp này không được khuyến khích sử dụng cho những người có tình trạng răng sâu, viêm nướu hoặc các bệnh lý răng miệng khác. Nếu bạn đang có bất kỳ vấn đề về răng miệng bạn cần phải điều trị trước mới tiến hành cân nhắc sử dụng mặt dán sứ Non-prep Veneer sau.
Thường thì người ta tìm đến mặt dán sứ Non-prep Veneer để điều trị và khắc phục các vấn đề về răng bao gồm:
- Răng ố vàng, ố màu
- Răng sứt mẻ, nứt vỡ
- Răng thưa
- Răng lệch lạc
- Răng bị mòn men
- Răng bị nhiễm tetracycline
- Răng bị vỡ do chấn thương

Răng thưa, hở kẽ có thể sử dụng phương pháp mặt dán sứ Non-prep Veneer
Để xác định bạn có đủ điều kiện để dán sứ hay không bạn nên lựa chọn các nha khoa uy tín và được nhiều khách hàng phản hồi tích cực.
Phân loại mặt dán sứ Non-prep Veneer
Nhằm tạo điều kiện thuận lợi trong việc điều trị người ta đã chia dán sứ veneer không mài răng thành các loại như sau:
- Miếng dán Lumineers: được sản xuất bởi DenMat đây là phiên bản nổi tiếng nhất trên thị trường hiện nay. Lumineers cực kỳ mỏng và có thể trông rất tự nhiên trên răng của bạn.
- Miếng dán DURAthin với các lớp sứ rất mỏng, trong mờ được dán trực tiếp vào mặt trước của răng mà không cần mài hoặc cạo trước.
- Miếng dán Vivaneers: được sản xuất bởi Glidewell Labs, Vivaneers là một thương hiệu khác của veneer không mài răng. Chúng có cấu tạo rất mỏng chỉ 0,33 mm.

Mặt dán sứ mỏng tựa kính áp tròng
Nha khoa SV làm mặt dán sứ Non- Prep Veneer chất lượng tại quận 3
Mặt dán sứ Non-Prep Veneer là một phương pháp điều trị thẩm mỹ giúp cải thiện hình dạng, màu sắc và độ bền của răng mà không cần mài hay khoan răng. Đây là một kỹ thuật đang ngày càng trở nên phổ biến trong ngành nha khoa bởi tính tiện lợi và hiệu quả mà nó mang lại.
Với đội ngũ bác sĩ chuyên nghiệp và trang thiết bị hiện đại, Nha khoa SV tại quận 3 cung cấp dịch vụ làm mặt dán sứ Non-Prep Veneer chất lượng cao. Tại đây, các chuyên gia sẽ tư vấn tận tình về quy trình thực hiện, giúp khách hàng có cái nhìn rõ ràng hơn về các bước cũng như kết quả dự kiến sau khi hoàn thành.

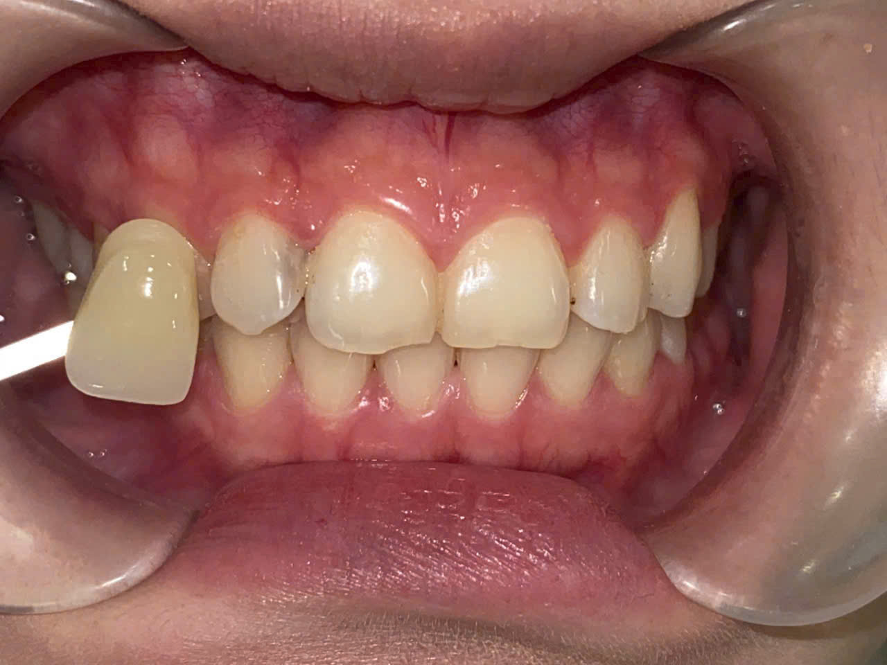
Hình ảnh Nha khoa SV quận 3 thực hiện phương pháp mặt dán sứ Non-prep Veneer
Quy trình dán sứ Non-prep Veneer tại Nha khoa SV quận 3
Dán sứ Non-prep Veneer là một kỹ thuật phức tạp, đòi hỏi rất cao cả về tay nghề nha sĩ và thiết bị máy móc hiện đại, đạt chuẩn. Quy trình hoàn tất cho việc dán sứ Non-prep Veneer thường sẽ được tiến hành trong 1 lần thăm khám.
Bước 1: Bác sĩ sẽ tiến hành thăm khám và tư vấn cho bạn về phương pháp dán sứ Non-prep Veneer.
Bước 2: Bác sĩ sẽ lấy dấu răng của bạn để gửi đến phòng labo chế tác miếng sứ.
Bước 3: Trong khi chờ miếng sứ được chế tác, bạn có thể tiếp tục sử dụng răng của mình bình thường.
Bước 4: Khi miếng sứ được chế tác xong, bác sĩ sẽ tiến hành dán miếng sứ lên răng của bạn.
Bước 5: Bác sĩ sẽ kiểm tra và điều chỉnh miếng sứ cho đến khi bạn cảm thấy thoải mái và tự tin.
Hình ảnh trước và sau khi làm dán sứ Non-prep Veneer tại Nha khoa SV quận 3

Hình ảnh trước khi dán sứ Non-prep Veneer tại Nha khoa SV quận 3

Hình ảnh sau làm làm mặt dán sứ Non-prep Veneer tại Nha khoa SV quận 3
Những lưu ý sau khi làm phương pháp mặt dán sứ Non-prep Veneer
Sau đây là một số lưu ý quan trọng sau khi thực hiện phương pháp mặt dán sứ Non-prep Veneer:
- Chăm sóc răng miệng thường xuyên: Sau khi dán veneer, việc duy trì vệ sinh răng miệng là rất quan trọng. Bạn nên đánh răng ít nhất hai lần một ngày và sử dụng chỉ nha khoa hàng ngày để loại bỏ mảng bám và thức ăn thừa.
- Tránh thực phẩm cứng và dính: Nên hạn chế ăn các thực phẩm cứng như kẹo cứng hoặc xương và các loại thực phẩm dính như kẹo cao su hoặc caramel. Những thực phẩm này có thể làm hỏng hoặc bong veneer.
- Thăm khám định kỳ: Hãy đảm bảo bạn thăm khám nha sĩ định kỳ để kiểm tra tình trạng của veneer và sức khỏe răng miệng tổng thể. Nha sĩ sẽ giúp bạn phát hiện sớm các vấn đề nếu có.
- Kiểm soát thói quen xấu: Nếu bạn có thói quen nghiến răng (bruxism) hoặc cắn móng tay, hãy tìm cách kiểm soát những thói quen này, vì chúng có thể ảnh hưởng đến độ bền của veneer.
- Sử dụng bàn chải mềm: Khi đánh răng, hãy sử dụng bàn chải có lông mềm và kem đánh răng không chứa chất mài mòn để tránh làm trầy xước bề mặt veneer.
- Nhận diện dấu hiệu bất thường: Nếu bạn cảm thấy có sự thay đổi về cảm giác ở răng hoặc thấy có dấu hiệu bong tróc của veneer, hãy liên hệ ngay với nha sĩ để được tư vấn và xử lý kịp thời.
- Hiểu rõ về tuổi thọ của veneer: Mặc dù veneer có thể kéo dài nhiều năm nếu được chăm sóc đúng cách, nhưng chúng vẫn có thể cần được thay thế sau một thời gian. Hãy chuẩn bị tinh thần cho điều này và hỏi nha sĩ về thời gian dự kiến cho việc thay mới.
Bằng cách tuân thủ những lưu ý này, bạn sẽ giúp cho veneer của mình luôn trong tình trạng tốt nhất và kéo dài tuổi thọ của chúng.
Kết luận
Mặt dán sứ Non-Prep Veneer là một giải pháp tuyệt vời cho những ai mong muốn sở hữu nụ cười hoàn hảo mà không cần trải qua các quy trình phức tạp. Với Nha khoa SV quận 3 làm mặt dán sứ Non-Prep Veneer chất lượng tại quận 3, bạn sẽ được trải nghiệm dịch vụ tận tâm cùng với kết quả ấn tượng. Hãy đến và cảm nhận sự khác biệt ngay hôm nay!
>>Xem thêm: Trồng răng Implant All On 6 uy tín tại Nha khoa SV quận 3
>>Xem thêm: Bệnh viêm nha chu là gì? Nguyên nhân và phương pháp điều trị
>>Xem thêm: Dịch vụ điều trị tủy răng - Nha khoa SV quận 3
Nha khoa SV Quận 3
Địa chỉ: 99 Cao Thắng, Phường 03, Quận 3, TP. Hồ Chí Minh
Hotline: 0933381675 - 02389292525
Email: nhakhoasv@gmail.com
Giờ làm việc:
Thứ 2-Thứ 6: 8h00 – 20h00
Thứ 7: 8h00 – 18h00
Chủ Nhật: 8h00 – 12h00

.png)