Nguyên nhân và cách điều trị sâu răng nặng là một chủ đề quan trọng trong việc chăm sóc sức khỏe răng miệng. Sâu răng không chỉ gây ra cảm giác đau nhức mà còn ảnh hưởng đến chất lượng cuộc sống của người bệnh. Với tình trạng sâu răng nặng, việc nhận biết dấu hiệu sớm và áp dụng biện pháp điều trị thích hợp là vô cùng cần thiết. Hôm nay, Nha khoa SV quận 3 mời bạn đọc cùng tìm hiểu nguyên nhân, cách điều trị sâu răng nặng.
Dấu hiệu nhận biết tình trạng sâu răng nặng
Khi tình trạng sâu răng trở nên nghiêm trọng, những dấu hiệu nhận biết sẽ trở nên rõ ràng hơn. Nhận diện sớm những dấu hiệu này sẽ giúp bạn có biện pháp can thiệp nhanh chóng và hiệu quả.
Đau nhức răng
Một trong những dấu hiệu nhận biết tình trạng sâu răng nặng đầu tiên chính là cơn đau nhức ở các khu vực bị ảnh hưởng. Cảm giác đau có thể lan tỏa hoặc chỉ tập trung ở một chiếc răng cụ thể. Đau có thể xảy ra khi ăn uống, hoặc thậm chí khi chạm nhẹ vào vùng răng đó.
Nếu cảm thấy cơn đau kéo dài và không có dấu hiệu thuyên giảm, bạn nên đến nha khoa để được kiểm tra và điều trị kịp thời.

Dấu hiệu nhận biết tình trạng sâu răng nặng đầu tiên chính là cơn đau nhức ở các khu vực bị ảnh hưởng
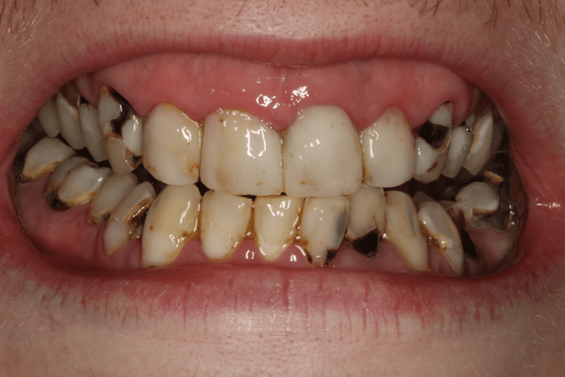
Răng đổi màu
Một dấu hiệu khác của tình trạng sâu răng nặng là sự thay đổi màu sắc của răng. Bạn có thể nhận thấy rằng răng bị sâu có màu tối hơn, hoặc thậm chí là các đốm đen trên bề mặt răng. Đây là biểu hiện của việc mất men răng và sự xâm nhập của vi khuẩn.
Chú ý đến màu sắc của răng sẽ giúp bạn phát hiện sớm các vấn đề liên quan đến sức khỏe răng miệng.

Dấu hiệu nhận biết sâu rặng nặng là tình trạng thay đổi màu sắc của răng
Hơi thở có mùi
Một biểu hiện khá phổ biến của tình trạng sâu răng nặng là hơi thở có mùi hôi. Khi vi khuẩn xâm nhập vào mô răng, chúng sẽ sản xuất ra các chất thải gây mùi khó chịu, dẫn đến hơi thở không thơm tho.
Nếu bạn gặp phải vấn đề này, hãy đến ngay nha khoa để tìm hiểu nguyên nhân và áp dụng biện pháp điều trị phù hợp.

Một biểu hiện khá phổ biến của tình trạng sâu răng nặng là hơi thở có mùi hôi
Nguyên nhân gây sâu răng nặng
Nắm bắt được nguyên nhân gây sâu răng nặng sẽ giúp bạn chủ động phòng ngừa và cải thiện tình hình sức khỏe răng miệng của mình.
Vệ sinh răng miệng kém
Rõ ràng, việc không chú ý đến vệ sinh răng miệng là một trong những nguyên nhân chính dẫn đến sâu răng. Mặc dù đánh răng là thói quen đơn giản nhưng nếu không được thực hiện đúng cách, nó có thể không đủ hiệu quả để loại bỏ hoàn toàn mảng bám.
Khuyến cáo bạn nên sử dụng bàn chải có đầu nhỏ và lông bàn chải mềm để làm sạch mọi ngóc ngách trong khoang miệng. Hãy nhớ thay bàn chải ít nhất 3 tháng một lần để đảm bảo hiệu quả.
Chế độ ăn uống không hợp lý
Chế độ ăn uống giàu đường và acid là một trong những yếu tố cực kỳ ảnh hưởng đến sức khỏe răng miệng. Những thực phẩm này không chỉ làm suy yếu men răng mà còn làm tăng khả năng mắc các bệnh lý liên quan đến răng miệng.
Nên hấp thu nhiều thực phẩm chứa vitamin và khoáng chất giúp tăng cường sức khỏe răng miệng, như sữa, cá và các loại hạt.
Tình trạng sức khỏe tổng thể
Một số bệnh lý nền như tiểu đường hay trào ngược dạ dày thực quản có thể làm tăng nguy cơ sâu răng. Những bệnh này có thể thay đổi môi trường trong miệng, khiến vi khuẩn dễ dàng sinh sôi và phát triển.
Kiểm tra sức khỏe định kỳ và tuân thủ liệu trình điều trị sẽ giúp bạn giữ gìn sức khỏe toàn diện và giảm thiểu nguy cơ sâu răng.

Vệ sinh răng miệng kém là nguyên nhân hàng đầu gây sâu răng
Diễn biến tình trạng sâu răng nặng
Tìm hiểu về diễn biến tình trạng sâu răng nặng sẽ giúp bạn hiểu rõ hơn về quá trình phát triển của bệnh lý này.

Hình ảnh các giai đoạn tiến triển của sâu răng
Sâu răng độ 1 (mức độ nhẹ)
Trong giai đoạn đầu, sâu răng thường chưa gây ra những triệu chứng rõ rệt. Bệnh có thể tiến triển âm thầm với những dấu hiệu chẳng hạn như cảm giác nhạy cảm khi ăn đồ lạnh hoặc nóng. Tuy nhiên, nếu không được điều trị kịp thời, tình trạng sẽ trở nên nghiêm trọng hơn.
Ở giai đoạn này, việc lấy cao răng và thực hiện kiểm tra định kỳ tại nha khoa là rất quan trọng để phát hiện sớm và có phương án xử lý kịp thời.
Sâu răng độ 2
Ở giai đoạn này, vi khuẩn sâu răng đã bắt đầu tấn công vào trong cấu trúc tủy răng và dẫn đến sự phá hủy men răng. Khiến cho bệnh nhân cảm thấy đau răng khi ăn uống và gây bất tiện cho sinh hoạt hàng ngày.
Sâu răng độ 3
Khi sâu răng bước vào giai đoạn nặng, tình trạng sẽ trở nên nghiêm trọng hơn. Không chỉ đau nhức, mà cấu trúc của răng có thể bị phá hủy đáng kể, ảnh hưởng trực tiếp đến chức năng nhai và thẩm mỹ. Trong trường hợp này, việc điều trị sẽ khó khăn hơn và có thể bao gồm chữa tủy hoặc thậm chí là nhổ răng.
Lời khuyên cho bạn là hãy luôn theo dõi tình trạng răng miệng của mình và không ngần ngại đến nha khoa khi có bất kỳ dấu hiệu bất thường nào.
Biến chứng gặp phải khi bị sâu răng nặng
Những biến chứng gặp phải khi bị sâu răng nặng có thể kéo theo nhiều hệ lụy nghiêm trọng nếu không được điều trị kịp thời.
Nhiễm trùng
Một trong những biến chứng phổ biến nhất khi sâu răng trở nặng là nhiễm trùng. Vi khuẩn có thể xâm nhập vào mô nướu và gây viêm nhiễm, dẫn đến tình trạng sưng tấy và đau nhức. Nhiễm trùng nặng có thể cần đến can thiệp phẫu thuật để loại bỏ mô nhiễm bệnh.
Mất răng
Khi sâu răng không được điều trị kịp thời, nguy cơ mất răng càng cao. Việc phá hủy cấu trúc răng có thể dẫn đến tình trạng răng bị lung lay hoặc rụng hoàn toàn. Mất răng không chỉ gây khó khăn trong việc nhai mà còn ảnh hưởng đến tính thẩm mỹ của gương mặt.
Ảnh hưởng đến sức khỏe tổng thể
Các nghiên cứu đã chỉ ra rằng sức khỏe răng miệng kém có thể ảnh hưởng đến sức khỏe tổng thể của cơ thể. Những vi khuẩn trong miệng có thể xâm nhập vào máu và gây ra các vấn đề nghiêm trọng về tim mạch hay tiểu đường.
Vì vậy, việc bảo vệ sức khỏe răng miệng không chỉ dừng lại ở việc chăm sóc răng mà còn có tác động lớn đến sức khỏe toàn diện của bạn.
Cách điều trị sâu răng nặng: Nha khoa SV quận 3
Sâu răng nặng là một tình trạng phổ biến mà nhiều người gặp phải. Khi bệnh đã tiến triển đến mức nghiêm trọng, việc điều trị kịp thời và đúng cách rất quan trọng để bảo vệ sức khỏe răng miệng. Dưới đây là một số phương pháp điều trị sâu răng nặng mà bạn có thể tham khảo tại nha khoa SV quận 3.
Khám và chẩn đoán
Trước khi bắt đầu bất kỳ phương pháp điều trị nào, bác sĩ sẽ thực hiện một cuộc kiểm tra kỹ lưỡng để xác định mức độ nghiêm trọng của sâu răng. Việc này bao gồm:
- Chụp X-quang: Giúp phát hiện các vấn đề bên trong răng mà không thể nhìn thấy bằng mắt thường.
- Kiểm tra triệu chứng: Bác sĩ sẽ hỏi về các triệu chứng bạn đang gặp phải như đau nhức, sưng tấy, hoặc nhiễm trùng.

Trước khi bắt đầu điều trị sâu răng, bác sĩ tại Nha khoa SV quận 3 sẽ kiểm tra tổng quát tình trạng răng miệng hiện tại
Trám răng
Nếu sâu răng chưa gây tổn thương đến tủy răng, bác sĩ có thể sử dụng phương pháp trám răng tại Nha khoa SV quận 3. Trong quá trình này, bác sĩ sẽ:
- Làm sạch vùng bị sâu và loại bỏ phần răng hư hỏng.
- Sử dụng vật liệu trám (như composite hoặc amalgam) để phục hồi hình dáng và chức năng của răng.
- Đảm bảo rằng miếng hàn khớp với cấu trúc xung quanh và không gây khó chịu cho bạn.
>>Xem thêm: Trám răng composite là gì? Nha khoa SV quận 3

Hình ảnh dịch vụ trám răng sâu tại Nha khoa SV quận 3
Điều trị tủy răng
Khi sâu răng đã lan đến tủy, bạn sẽ cần điều trị tủy răng (còn gọi là điều trị nội nha). Quy trình này bao gồm:
- Gây tê cục bộ để giảm đau.
- Mở răng để tiếp cận tủy bị viêm hoặc nhiễm trùng.
- Loại bỏ mô tủy hư hỏng và làm sạch ống tủy.
- Đóng kín ống tủy để ngăn ngừa nhiễm trùng trong tương lai.
- Cuối cùng, thường thì một mão răng sẽ được đặt lên vị trí đó để bảo vệ răng khỏi tổn thương hơn.
>>Xem thêm: Dịch vụ điều trị tủy răng - Nha khoa SV quận 3

Điều trị Tủy răng tại Nha khoa SV quận 3
Nhổ răng
Trong trường hợp sâu răng nặng khiến răng không còn khả năng phục hồi, bác sĩ tại Nha khoa SV quận 3 có thể quyết định nhổ răng. Điều này thường cần thiết khi:
- Răng bị hư hỏng hoàn toàn và không thể cứu chữa.
- Có tình trạng nhiễm trùng nghiêm trọng xung quanh răng.
- Răng ảnh hưởng đến các răng khác hoặc sức khỏe tổng quát của bạn.

Dịch vụ nhổ răng sâu tại Nha khoa SV quận 3
Phục hồi sau điều trị
Sau khi điều trị sâu răng, bạn cần chăm sóc răng miệng cẩn thận để đảm bảo không tái phát. Một số biện pháp bao gồm:
- Đánh răng ít nhất hai lần mỗi ngày bằng kem đánh răng chứa fluoride.
- Sử dụng chỉ nha khoa hàng ngày để làm sạch những khu vực khó tiếp cận.
- Thăm nha sĩ định kỳ mỗi 6 tháng để kiểm tra và làm sạch răng.
Các biện pháp phòng ngừa sâu răng nặng
Để tránh sâu răng trong tương lai, bạn nên thực hiện một số biện pháp phòng ngừa như:
- Hạn chế tiêu thụ thức ăn và đồ uống có đường.
- Uống đủ nước và ăn trái cây tươi.
- Sử dụng nước súc miệng có chứa fluoride để tăng cường sức khỏe răng miệng.
Kết luận
Như vậy, nguyên nhân và cách điều trị sâu răng nặng là một vấn đề không thể xem nhẹ trong cuộc sống hàng ngày. Việc nhận diện sớm và có biện pháp điều trị kịp thời có thể giúp bạn tránh khỏi những biến chứng nguy hiểm. Hãy luôn chú ý đến dấu hiệu nhận biết tình trạng sâu răng nặng và liên hệ với Nha khoa SV quận 3 để được hỗ trợ tốt nhất!
>>Xem thêm: Sâu răng ở trẻ em: Nguyên nhân và cách điều trị
>>Xem thêm: Vì sao mất răng ở tuổi già lại ảnh hưởng đến sức khỏe? Giải pháp
>>Xem thêm: Mặt dán sứ Veneer Emax là gì? Dán sứ Veneer Emax tại Nha khoa SV quận 3
Nha khoa SV Quận 3
Địa chỉ: 99 Cao Thắng, Phường 03, Quận 3, TP. Hồ Chí Minh
Hotline: 0933381675 - 02389292525
Email: nhakhoasv@gmail.com
Giờ làm việc:
Thứ 2-Thứ 6: 8h00 – 20h00
Thứ 7: 8h00 – 18h00
Chủ Nhật: 8h00 – 12h00

.png)