Mặt dán sứ Veneer Emax là một trong những giải pháp nha khoa tiên tiến, được nhiều người ưa chuộng nhờ vào tính thẩm mỹ và khả năng phục hồi cho những răng bị tổn thương. Nhưng có thể nhiều bạn vẫn chưa biết đến mặt dán sứ Veneer Emax. Vậy mặt dán sứ Veneer Emax là gì ? Nên dùng mặt dán sứ Veneer Emax trong trường hợp nào? Lợi ích của dán răng sứ Veneer Emax và Đơn vị nào làm mặt dán sứ Veneer Emax uy tín tại quận 3, TP Hồ Chí Minh? là những câu hỏi thường gặp trong lĩnh vực nha khoa, đặc biệt là đối với những khách hàng có nhu cầu làm đẹp cho hàm răng của mình. Hãy cùng Nha Khoa SV quận 3 tìm hiểu nhé.
Mặt dán sứ Veneer Emax là gì?
Giới thiệu mặt dán sứ Veneer Emax
Mặt dán sứ Veneer Emax là một loại vật liệu làm từ sứ tinh khiết, nhẹ và cực kỳ bền chắc. Vật liệu này được chế tạo bằng công nghệ CAD/CAM hiện đại, cho phép tạo ra những miếng dán mỏng nhưng vẫn đảm bảo tính thẩm mỹ và độ bền cao. Veneer Emax là dòng sứ thủy tinh cao cấp được nghiên cứu, phát triển bởi tập đoàn Ivoclar Vivadent – một trong những đơn vị chuyên sản xuất và cung cấp thiết bị nha khoa hàng đầu tại Đức.
.jpg)
Hình ảnh giới thiệu mặt dán sứ Veneer Emax
Đặc điểm của mặt dán sứ Veneer Emax
Chất liệu cao cấp:
- Veneer Emax được làm từ sứ lithium disilicate, một loại sứ chịu lực tốt và có tính thẩm mỹ cao.
- Chất liệu này cho phép tạo ra các mão răng với độ trong suốt tự nhiên, gần giống như răng thật, giúp đảm bảo tính thẩm mỹ khi sử dụng.
Độ mỏng và nhẹ:
- Mặt dán này rất mỏng (thường chỉ khoảng 0.5mm đến 0.7mm), cho phép bác sĩ không cần phải mài nhiều mô răng tự nhiên.
- Việc này giúp bảo tồn răng gốc và giảm thiểu đau đớn cho bệnh nhân.
Tính bền vững:
- Sứ Emax có khả năng chống lại các tác động ngoại lực và tránh xỉn màu theo thời gian, giúp duy trì vẻ đẹp lâu dài.
Khả năng tương thích sinh học:
- Đây là một sản phẩm an toàn và không gây ra phản ứng dị ứng hay kích ứng cho mô mềm quanh răng.
Nên dùng mặt dán sứ Veneer Emax trong trường hợp nào?
Mặt dán sứ Veneer Emax là một trong những giải pháp phục hình thẩm mỹ phổ biến trong nha khoa hiện đại. Tuy nhiên, việc sử dụng loại mặt dán này nên được cân nhắc kỹ lưỡng dựa trên nhiều yếu tố khác nhau. Dưới đây là một số trường hợp cụ thể mà bạn nên xem xét khi quyết định sử dụng mặt dán sứ Veneer Emax:
1. Răng bị xỉn màu hoặc ố vàng
Nếu bạn có răng bị xỉn màu do tuổi tác, thực phẩm, thuốc kháng sinh hoặc các yếu tố môi trường khác, mặt dán sứ Veneer Emax có thể giúp che đi những khuyết điểm này. Với khả năng phản chiếu ánh sáng tự nhiên tương tự như răng thật, Veneer Emax sẽ mang lại cho bạn nụ cười trắng sáng hơn.
2. Răng bị mẻ hoặc vỡ
Trong trường hợp răng của bạn bị mẻ, vỡ hoặc có hình dạng không đều, mặt dán sứ có thể giúp phục hồi hình dáng và chức năng của răng. Điều này đặc biệt hữu ích cho những người thường xuyên gặp phải tai nạn hoặc chấn thương ở vùng miệng.
3. Răng thưa hoặc lệch lạc nhẹ
Nếu bạn có tình trạng răng thưa hoặc răng lệch lạc nhẹ, mặt dán sứ Veneer Emax có thể tạo ra hiệu ứng thẩm mỹ tốt mà không cần phải can thiệp chỉnh nha phức tạp. Chúng có thể làm đầy khoảng trống giữa các răng và cải thiện điều chỉnh hình dáng của chúng.
4. Cải thiện thẩm mỹ cho răng cửa
Răng cửa là những răng hiển thị nhiều nhất khi bạn cười hoặc nói. Nếu bạn không hài lòng với vẻ ngoài của chúng, mặt dán sứ Veneer Emax có thể giúp tạo nên một nụ cười hoàn hảo mà vẫn giữ được sự tự nhiên.
5. Ngăn ngừa sâu răng
Trong một số trường hợp, nếu răng của bạn đã có dấu hiệu ban đầu của sâu răng nhưng chưa đến mức nghiêm trọng, mặt dán sứ có thể được sử dụng để bảo vệ và ngăn ngừa sự tiến triển của sâu răng. Tuy nhiên, điều này cần được bác sĩ nha khoa đánh giá kỹ càng trước khi quyết định.
6. Đối tượng không muốn điều trị chỉnh nha
Một số người không muốn trải qua quá trình chỉnh nha lâu dài hoặc không đủ thời gian cho các liệu pháp này. Mặt dán sứ Veneer Emax có thể là giải pháp nhanh chóng để cải thiện nụ cười mà không cần phải đeo niềng răng.
7. Cần sự tự tin trong giao tiếp
Một nụ cười đẹp có thể mang lại sự tự tin cho bạn trong giao tiếp hàng ngày. Nếu bạn cảm thấy ngại ngùng về vẻ ngoài của răng mình, việc sử dụng mặt dán sứ sẽ giúp tăng cường sự tự tin trong giao tiếp cá nhân và công việc.
Lưu ý quan trọng:
Trước khi quyết định sử dụng mặt dán sứ Veneer Emax, bạn nên tham khảo ý kiến của bác sĩ nha khoa chuyên nghiệp. Họ sẽ đánh giá tình trạng răng miệng của bạn và đưa ra lời khuyên hợp lý dựa trên nhu cầu và mong muốn của bạn. Việc chăm sóc răng miệng sau khi dán Veneer cũng rất quan trọng để đảm bảo độ bền và tính thẩm mỹ của sản phẩm.
Lợi ích của dán răng sứ Veneer Emax
Với những lợi ích vượt trội, việc lựa chọn dán răng sứ Veneer Emax càng ngày càng trở nên phổ biến trong lĩnh vực nha khoa thẩm mỹ.
Độ bền và tính thẩm mỹ cao
Veneer Emax nổi bật với khả năng chống mài mòn tốt và độ bền cao. Chúng có thể tồn tại lâu dài mà không bị phai màu hay hư hại, đồng thời mang lại vẻ đẹp tự nhiên cho nụ cười.
Bên cạnh đó, chất liệu sứ này rất gần gũi với cấu trúc răng thật, giúp người sử dụng cảm thấy thoải mái và tự tin hơn khi giao tiếp.

Dán sứ Veneer Emax có khả năng chống mài mòn tốt và độ bền ccao
Giải pháp cho vấn đề thẩm mỹ
Từ việc cải thiện màu sắc cho đến điều chỉnh hình dáng, dán sứ Veneer Emax có thể giải quyết nhiều vấn đề thẩm mỹ mà bệnh nhân gặp phải. Bạn sẽ không còn lo lắng về việc răng của mình kém thu hút hay không đều màu.

Dán sứ Veneer giúp cải thiện màu sắc cho răng để tăng tính thẩm mỹ cho nụ cười
Quá trình thực hiện nhanh chóng
Việc dán sứ được thực hiện nhanh chóng và ít gây đau đớn. Trong nhiều trường hợp, bạn có thể hoàn tất quy trình chỉ trong vòng hai cuộc hẹn ngắn. Điều này khiến nó trở thành một lựa chọn lý tưởng cho những ai muốn có nụ cười hoàn hảo mà không mất quá nhiều thời gian.

Quá trình thực hiện dán sứ Veneer được thực hiện trong thời gian ngắn
Hạn chế mảng bám sinh học
Sứ Veneer Emax được sản xuất dựa trên công nghệ hiện đại với 8 lần nung ở nhiệt độ cao. Do đó, loại sứ này gần như không xuất hiện mảng bám, hạn chế nguy cơ sâu răng, viêm lợi, viêm nướu.
Tuổi thọ lâu dài
Sứ Emax mỏng, cứng, có độ bền cao cùng khả năng chịu lực tốt. Dòng sứ Emax hoàn toàn có thể tồn tại trong khoang miệng lên đến 20 năm. Nếu Cô Chú, Anh Chị chăm sóc răng miệng tốt, chúng có độ bền trọn đời.
Nha khoa SV quận 3: Địa chỉ làm dán sứ Veneer Emax uy tín tại quận 3, TP Hồ Chí Minh
Nếu bạn đang tìm kiếm dịch vụ dán sứ Veneer Emax chất lượng tại quận 3, Nha khoa SV chính là địa điểm bạn không thể bỏ qua. Với đội ngũ bác sĩ chuyên nghiệp và trang thiết bị hiện đại, nơi đây cam kết mang đến sự hài lòng tuyệt đối cho khách hàng.
Đội ngũ bác sĩ chuyên nghiệp
Tại Nha khoa SV , chúng tôi có đội ngũ bác sĩ giàu kinh nghiệm trong lĩnh vực nha khoa thẩm mỹ. Họ luôn cập nhật kiến thức mới nhất và sử dụng công nghệ tiên tiến để đảm bảo mang đến kết quả tốt nhất. Ngoài ra, đội ngũ bác sĩ không chỉ thực hiện quy trình dán mặt sứ mà còn tư vấn tận tình về chăm sóc răng miệng và lựa chọn phương pháp phù hợp nhất với nhu cầu của từng khách hàng. Sự chuyên nghiệp và tận tâm của bác sĩ tại đây chính là yếu tố quan trọng giúp khách hàng cảm thấy yên tâm và hài lòng khi sử dụng dịch vụ.

Hình ảnh Bác sĩ nha Nha khoa SV quận 3 đang kiểm tra răng cho khách hàng
Quy trình tư vấn tận tình
Khách hàng đến với Nha khoa SV quận 3 sẽ được tư vấn một cách tận tình về quy trình cũng như chi phí. Bác sĩ sẽ lắng nghe mong muốn của bạn và đưa ra lời khuyên đúng đắn nhằm đạt được kết quả tốt nhất cho nụ cười của bạn.
Các chế độ bảo hành hấp dẫn
Nha khoa SV không chỉ cung cấp dịch vụ dán sứ Veneer Emax mà còn có chế độ bảo hành dài hạn cho từng dịch vụ. Điều này giúp bạn yên tâm hơn khi quyết định lựa chọn dịch vụ tại đây.
Mặt dán sứ Veneer Emax tại Nha khoa SV quận 3 có giá bao nhiêu?
Nếu nhất định phải tìm ra một nhược điểm của dán sứ Veneer Emax, thì đó có lẽ sẽ là ở mặt giá thành, bởi đây là giải pháp phục hình răng sứ thẩm mỹ tốt nhất hiện nay, chính vì thế cho nên so với mặt bằng chung thì giải pháp này có chi phí cao hơn so với việc bọc sứ … Bên cạnh đó chi phí của việc dán sứ Veneer Emax cũng còn phụ thuộc vào khá nhiều yếu tố khác nhau, trong đó có tình trạng sức khoẻ của khách hàng.
Hiện tại, chi phí mặt dán sứ Veneer trên thị trường khá cao làm cho nhiều khách hàng dù yêu thích nhưng phải luôn cân đối về mặt tài chính. Thấu hiểu được thời buổi kinh tế nhiều trở ngại mà nhu cầu làm đẹp nụ cười lại là khá tất yếu, nhờ vào việc là đối tác trực tiếp với nhiều hãng sản xuất sứ trên thế giới và sở hữu labo riêng, Nha Khoa SV quận 3 muốn mang tới cho quý khách hàng một cơ hội để làm đẹp cho bản thân mình, chúng tôi đưa ra nhiều mức giá ưu đãi khi quý khách hàng đến làm dịch vụ dán sứ Veneer Emax. Khi đến với Nha khoa SV quận 3, chúng tôi sẽ tư vấn và hướng dẫn quý khách hàng lựa chọn để phù hợp với kinh tế và kèm theo những ưu đãi đặc biệt.
Quy trình dán sứ Veneer Emax tại Nha khoa SV quận 3
Quy trình thực hiện mặt dán sứ Veneer Emax tại Nha khoa SV quận 3 được xây dựng khép kín và đảm bảo đúng các tiêu chuẩn an toàn vệ sinh y tế:
Bước 1: Thăm khám và tư vấn
Đây là bước đầu tiên rất quan trọng để các bác sĩ đánh giá tổng quan tình trạng răng miệng. Nếu mắc các bệnh lý về nha chu, sâu răng…, bác sĩ sẽ tư vấn để điều trị trước và lựa chọn phương pháp thực hiện để phục hình răng hiệu quả nhất.
Bước 2: Tiến hành vệ sinh răng miệng
Vệ sinh răng miệng là sạch răng, tránh răng bị nhiễm khuẩn, giúp việc dán sứ Veneer Emax được hiệu quả hơn. Đối với trường hợp răng bị nhiễm màu nặng, phải tiến hành tẩy trắng răng.
Bước 3: Xử lý bề mặt và lấy dấu răng
Bác sĩ sẽ tiến hành gây tê trước khi thực hiện để giảm thiểu tối đa cảm giác đau hay ê buốt,bề mặt răng chỉ mỏng khoảng 0,3mm để gắn mặt dán sứ Veneer Emax lên trên mặt ngoài của răng.
Sau khi răng được mài, bác sĩ sẽ lấy dấu răng và dấu hàm để thiết kế mặt dán sứ Veneer Emax chính xác theo tỉ lệ răng.
Bước 4: Gắn răng tạm
Để bảo vệ răng thật trong quá trình ăn uống, chờ đợi mặt dán sứ hoàn thành, khách hàng sẽ được gắn tạm răng nhựa.
Bước 5: Gắn mặt dán sứ Veneer
Khi mặt dán sứ được thiết kế xong, bác sĩ sẽ kiểm tra lại một lần và gắn mặt dán sứ Veneer cố định lên bề mặt trước của răng bằng nhựa dán và hiệu ứng ánh sáng Laser.
Bước 6: Hướng dẫn chăm sóc
Sau khi hoàn tất, bác sĩ sẽ hướng dẫn bạn cách chăm sóc răng miệng đúng cách để duy trì độ bền và vẻ đẹp của veneer.
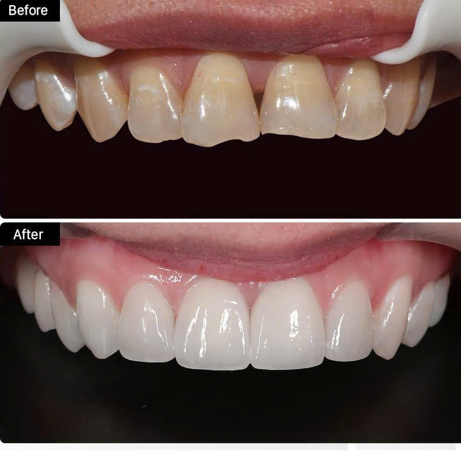
Hình ảnh khách hàng dán sứ tại Nha khoa SV quận 3

Hình ảnh trước khi dán sứ Veneer Emax: răng cửa bị hở
.jpg)
Hình ảnh trước khi dán sứ Veneer Emax
Nha khoa SV quận 3: Những lưu ý sau khi dán sứ Veneer Emax
Sau khi thực hiện dán sứ Veneer Emax tại Nha khoa SV quận 3, bạn nên lưu ý một số điều quan trọng để đảm bảo hiệu quả và duy trì độ bền của mão sứ, cũng như sức khỏe răng miệng của bạn. Dưới đây là những lưu ý cần thiết:
Chế độ ăn uống hợp lý: Tránh ăn những thực phẩm quá cứng hoặc dính có thể làm tổn thương đến veneer. Cần hạn chế đồ uống có màu sắc đậm như cà phê, trà hay rượu vang để tránh tình trạng biến màu.
Vệ sinh răng miệng hàng ngày: Đánh răng ít nhất hai lần mỗi ngày bằng kem đánh răng không chứa chất mài mòn mạnh. Sử dụng chỉ nha khoa để làm sạch kẽ răng, giúp ngăn ngừa sâu răng và viêm lợi.
Khám răng định kỳ: Đến Nha khoa SV quận 3 kiểm tra định kỳ (6 tháng/lần) để theo dõi tình trạng của veneer cũng như sức khỏe răng miệng. Nha sĩ sẽ phát hiện kịp thời các vấn đề nếu có.
Hạn chế thói quen xấu: Tránh cắn móng tay, mở nắp chai bằng răng hoặc nhai các vật cứng như đá, điều này có thể làm hỏng veneer.
Sử dụng bảo vệ răng khi chơi thể thao: Nếu bạn tham gia các hoạt động thể thao, hãy sử dụng hàm bảo vệ để bảo vệ răng và veneer khỏi chấn thương.
Theo dõi cảm giác sau khi dán: Nếu bạn cảm thấy đau hoặc khó chịu kéo dài, hãy liên hệ ngay với nha sĩ để được tư vấn và xử lý kịp thời.
Điều chỉnh lối sống: Thực hiện lối sống lành mạnh, bao gồm chế độ ăn uống cân bằng và đủ nước để bảo vệ sức khỏe tổng thể và răng miệng.
Những lưu ý trên sẽ giúp bạn duy trì vẻ đẹp và độ bền của răng dán sứ Emax trong thời gian dài, đồng thời giữ gìn sức khỏe răng miệng tốt nhất.
Kết luận
Khi muốn có một nụ cười hoàn hảo, mặt dán sứ Veneer Emax chính là lựa chọn thông minh. Không chỉ đem lại vẻ đẹp tự nhiên, quy trình thực hiện cũng rất nhanh chóng và dễ dàng tại Nha khoa SV quận 3. Nếu bạn đang tìm kiếm một giải pháp nha khoa thẩm mỹ an toàn và hiệu quả, hãy đến với Nha khoa SV quận 3 để được tư vấn và trải nghiệm dịch vụ chất lượng.
Xem thêm: Phòng khám nha khoa trồng răng Implant tại quận 3, TP Hồ Chí Minh
Xem thêm: Điều trị tủy răng đúng cách tại Nha khoa SV quận 3, TP Hồ Chí Minh
Xem thêm: Nha khoa trồng răng sứ tại quận 3, TP Hồ Chí Minh- Nha khoa SV
Nha khoa SV Dental
Địa chỉ: 99 Cao Thắng, Phường 03, Quận 3, TP. Hồ Chí Minh
Hotline: 0933381675 - 02389292525
Email: nhakhoasv@gmail.com
Giờ làm việc:
Thứ 2-Thứ 6: 8h00 – 20h00
Thứ 7: 8h00 – 18h00
Chủ Nhật: 8h00 – 12h00

.png)