Viêm nha chu có thể gặp ở cả trẻ em và người lớn. Càng để lâu, bệnh càng nguy hiểm, thậm chí người bệnh có thể bị mất răng vĩnh viễn. Tìm hiểu và nhận biết sớm những dấu hiệu của bệnh chính là yếu tố quan trọng giúp mỗi chúng ta bảo vệ răng miệng một cách hiệu quả. Trong bối cảnh hiện nay, việc bảo vệ sức khỏe răng miệng ngày càng trở nên quan trọng hơn bao giờ hết. Nha khoa SV quận 3 điều trị viêm nha chu không chỉ mang lại giải pháp hữu hiệu mà còn nâng cao nhận thức của cộng đồng về vấn đề bệnh lý này.
Nha chu là gì?
Nha chu là tổ chức xung quanh răng bao gồm xương ổ răng, dây chằng và nướu răng, có chức năng chính là chống đỡ và giữ răng vững chắc và cố định trong xương hàm. Mô nướu ôm sát răng để che chở, bảo vệ các mô dễ nhạy cảm bên dưới giúp ngăn ngừa không cho vi khuẩn xâm nhập làm hại răng.
Viêm nha chu là gì?
Viêm nha chu chính là tình trạng viêm các tổ chức xung quanh miệng. Phần lớn các trường hợp viêm lợi ở tuổi dậy thì và không được điều trị tích cực, khi lớn lên có thể bị viêm nha chu.
Một số yếu tố làm tăng nguy cơ mắc bệnh như vệ sinh răng miệng không tốt, chế độ dinh dưỡng không khoa học, mang thai hoặc bị suy giảm sức đề kháng, hút thuốc lá, mắc bệnh tiểu đường,…

Hình ảnh mô phỏng răng bị viêm nha chu
Bệnh được chia làm 4 giai đoạn như sau:
- Giai đoạn 1: Khi chúng ta vệ sinh răng miệng không tốt, vi khuẩn sẽ tích tụ ở kẽ răng, mảng bám trên răng, viền lợi, cổ răng,… gây kích thích nướu và dẫn đến viêm lợi.
- Giai đoạn 2: Nếu không được phát hiện sớm và áp dụng những phương pháp điều trị, tình trạng viêm lợi sẽ ngày càng nghiêm trọng hơn. Bệnh nhân sẽ gặp phải tình trạng chảy máu lợi khi đánh răng hay nhai thức ăn.
- Giai đoạn 3: Theo thời gian, tình trạng viêm lợi sẽ tiến triển thành viêm nha chu, chính là những ổ vi khuẩn có chứa mủ.
- Giai đoạn 4: Bệnh sẽ ngày càng nghiêm trọng, gây tụt lợi, khiến răng lung lay và người bệnh có nguy cơ mất răng vĩnh viễn.
.jpg)
Quá trình hình thành viêm nha chu
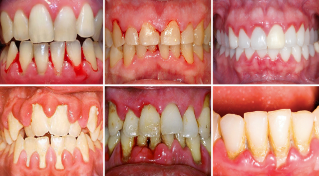
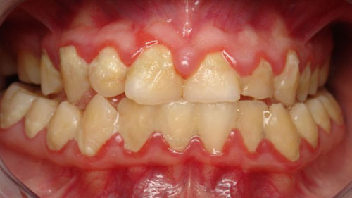
Các triệu chứng của bệnh viêm nha chu
Những triệu chứng thường gặp của bệnh viêm nha chu bao gồm:
- Nướu đỏ, sưng: Nướu sẽ trở nên đỏ và sưng phồng, đặc biệt khi bạn chạm vào hoặc đánh răng.
- Chảy máu nướu: Khi đánh răng hoặc sử dụng chỉ nha khoa, nướu có thể chảy máu. Đây là dấu hiệu rõ rệt cho thấy nướu đang bị viêm.
- Hôi miệng: Mùi hôi khó chịu từ miệng có thể xuất hiện do sự tích tụ của vi khuẩn và mảng bám.
- Răng lỏng: Trong các trường hợp nghiêm trọng, viêm nha chu có thể làm tổn thương các mô hỗ trợ răng, dẫn đến tình trạng răng lỏng hoặc di chuyển.
- Đau hoặc cảm giác khó chịu: Một số người có thể cảm thấy đau hoặc khó chịu trong khu vực nướu.
- Mất mô nướu: Viêm nha chu có thể gây ra việc tụt nướu, làm lộ chân răng và khiến răng trông dài hơn bình thường.
- Thay đổi trong cách đặt hàm: Bệnh nhân có thể nhận thấy sự thay đổi trong cách thức cắn hoặc khớp giữa các răng.

Hình ảnh các triệu chứng của viêm nha chu
Nếu không được điều trị kịp thời, viêm nha chu có thể dẫn đến mất răng và ảnh hưởng đến sức khỏe toàn thân. Vì vậy, việc kiểm tra định kỳ tại nha sĩ và chăm sóc vệ sinh răng miệng đúng cách là rất quan trọng.
Các yếu tố nguy cơ gây bệnh nha chu
Những yếu tố có khả năng tăng nguy cơ gây bệnh nha chu bao gồm:
- Hút thuốc lá.
- Thay đổi nội tiết tố ở phụ nữ như dậy thì, mang thai hoặc mãn kinh.
- Mắc các bệnh làm giảm sức đề kháng của cơ thể như: bệnh bạch cầu, HIV/AIDS và điều trị ung thư.
- Tính di truyền.
- Bệnh tiểu đường.
- Các loại thuốc gây khô miệng hoặc thay đổi lượng nước bọt.
Phân loại bệnh nha chu
Viêm nướu
Viêm nướu là tiền thân của bệnh nha chu, được hình thành do các mảng bám có chứa vi khuẩn, tích tụ trên răng và gây viêm mô nướu xung quanh. Nướu xuất hiện các triệu chứng như: sưng, đỏ và có thể chảy máu. Viêm nướu điều trị tương đối dễ dàng và nếu được kiểm soát đúng lúc, sẽ ngăn được nguy cơ mắc bệnh nha chu nghiêm trọng.

Viêm nướu là tiền thân của bệnh nha chu
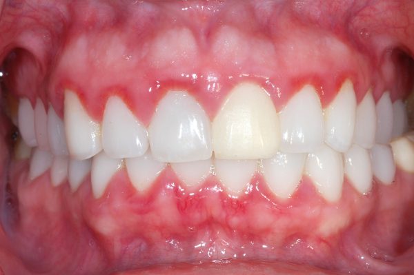
Viêm nha chu mãn tính
Viêm nha chu mãn tính là loại bệnh nướu răng phổ biến nhất, thường xảy ra ở người trên 45 tuổi. Tình trạng này thường bắt nguồn từ việc tích tụ mảng bám do vệ sinh răng miệng không đúng cách, khiến cho nướu răng dần bị tổn thương và phá hủy xương quanh răng. Tình trạng này nếu không điều trị kịp thời sẽ dẫn đến mất răng.

Hình ảnh viêm nha chu mãn tính- Nha khoa SV quận 3
Viêm nha chu cấp tính
Viêm nha chu cấp là đợt tiến triển bùng phát của viêm nha chu nguyên phát hoặc từ viêm nha chu mãn tính, gây đau, mất xương, mất răng nhanh chóng nếu không được chăm sóc và điều trị.
Bệnh nha chu như là biểu hiện của bệnh hệ thống
Viêm nha chu có liên quan đến không dưới 16 bệnh hệ thống. Những bệnh này có liên quan đến bệnh nha chu vì chúng làm giảm khả năng chống nhiễm trùng, sự bất thường trong các mô liên kết ảnh hưởng đến nướu và tăng khả năng phá hủy các mô này, tạo ra môi trường thuận lợi cho việc phát triển viêm nha chu.
Bệnh tiểu đường liên quan trực tiếp đến viêm nha chu. Khi bị tiểu đường, lượng đường trong máu cao hơn trên khắp cơ thể, kể cả trong miệng. Nồng độ glucose cao trong miệng tạo điều kiện cho vi khuẩn phát triển, gây viêm nướu.
Ngoài ra, còn một số bệnh khác như: rối loạn huyết học (giảm bạch cầu trung tính và bệnh bạch cầu), rối loạn di truyền (bệnh Crohn, hội chứng Down, hội chứng Chediak-Higashi và hypophosphatasia).
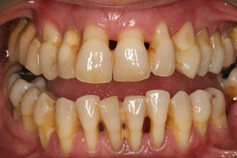
Bệnh nha chu hoại tử
Bệnh nha chu hoại tử là tình trạng dây chằng răng và xương bị tổn thương do mất mô nướu hỗ trợ. Khi không đủ máu cung cấp, dẫn đến hoại tử và nhiễm trùng nghiêm trọng. Các biểu hiện thường gặp là đau dữ dội, chảy máu lợi và hơi thở có mùi hôi. Bệnh thường xuất hiện ở những người có hệ miễn dịch yếu như người mắc HIV/AIDS, đang điều trị ung thư, suy dinh dưỡng. Đây là tình trạng khó điều trị, vì vậy, người bệnh cần tích cực phòng ngừa loại bệnh này.

Hình ảnh viêm nha chu hoại tử
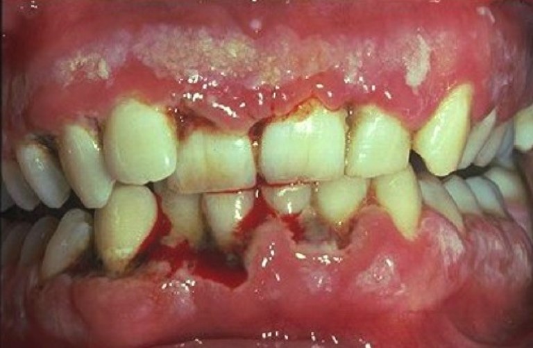
Áp xe nha chu
Bệnh nha chu kéo dài sẽ phá hủy dây chằng răng, gây mất xương răng và hình thành túi nha chu. Khi có mủ trong túi nha chu, sẽ dẫn đến áp xe nha chu. Các dấu hiệu của áp xe nha chu bao gồm đỏ nướu, sưng, chảy mủ và hôi miệng.

Hình ảnh áp xe nha chu
Viêm nha chu kết hợp với sang thương nội nha
Khi viêm nha chu kết hợp với sang thương nội nha sẽ gây ra tình trạng đau đớn và viêm nhiễm nghiêm trọng. Vi khuẩn nhờ viêm nha chu sẽ xâm nhập sâu hơn vào bên trong răng, dẫn đến viêm tủy răng (viêm tủy ngược dòng) nếu không được điều trị kịp thời và hiệu quả.
Những dị dạng và bệnh do phát triển hoặc do mắc phải
Vi khuẩn gây bệnh nha chu có thể xâm nhập vào máu qua mô nướu, ảnh hưởng đến các bộ phận khác trong cơ thể. Bệnh nha chu có liên quan đến bệnh hô hấp, viêm khớp dạng thấp, bệnh động mạch vành, sinh non và nhẹ cân cũng như các vấn đề về kiểm soát lượng đường trong máu ở bệnh tiểu đường.
Ngoài việc ảnh hưởng đến sức khỏe răng miệng, bệnh nha chu còn làm cho sức khỏe người bệnh yếu dần đi. Những người bị bệnh nha chu có nguy cơ mắc bệnh tim, đột quỵ và sa sút trí tuệ.
Các bệnh và tình trạng quanh implant
Học viện Nha chu Hoa Kỳ (AAP, 2017) phân loại các bệnh nha chu quanh mô cấy ghép gồm có 3 dạng chính:
- Viêm niêm mạc quanh implant: Xảy ra khi vi khuẩn tích tụ quanh vùng niêm mạc dẫn đến viêm. Nhận biết thông qua các triệu chứng như sưng, đỏ, chảy máu và điều trị bằng cách loại bỏ mảng bám.
- Viêm quanh implant gây mất xương hỗ trợ, tạo ra các túi nha chu xung quanh implant và gây đau đớn. Nếu không được điều trị kịp thời sẽ làm mất răng implant.
- Thiếu hụt mô mềm và/hoặc mô cứng quanh mô cấy ghép: Khi xương hàm mất đi một phần và/hoặc lợi dày sừng (hay còn gọi là niêm mạc nướu) suy giảm, sẽ ảnh hưởng đến việc cấy ghép implant. Để điều chỉnh, cần phải thực hiện ghép mô cứng (như ghép xương) hoặc mô mềm (như ghép niêm mạc nướu) xung quanh khu vực cấy ghép. Cả hai phương pháp này đều nhằm mục đích cải thiện môi trường xung quanh implant, tăng cường ổn định, hỗ trợ cho quá trình cấy ghép thành công và sức khỏe của implant trong dài hạn.
Nha khoa SV quận 3 điều trị viêm nha chu
Nếu nhận biết răng miệng có dấu hiệu bất thường, nghi ngờ bệnh viêm nha chu, điều đầu tiên bạn nên làm đó là đi kiểm tra sức khỏe răng miệng. Sau khi thăm khám tại Nha khoa SV quận 3, bác sĩ sẽ đưa ra phương pháp điều trị phù hợp đối với từng trường hợp cụ thể. Dưới đây là những phương pháp chữa bệnh phổ biến và hiệu quả nhất:
.jpg)
Nha khoa SV điều trị viêm nha chu uy tín tại quận 3
- Phương pháp điều trị khẩn cấp: Được áp dụng khi người bệnh đã xuất hiện những khối áp xe ở nướu hoặc xảy ra tình trạng viêm niêm mạc. Đa số những trường hợp này sẽ được điều trị bằng thuốc kháng sinh và thuốc chống viêm.
- Điều trị không phẫu thuật, bao gồm các kỹ thuật xử lý sau:
+ Dùng thuốc sát khuẩn và chống viêm để xử lý vùng lợi, nướu đang bị sưng, viêm.
+ Lấy cao răng cho người bệnh.
+ Kiểm tra những miếng trám răng và chỉnh sửa nếu cần thiết.
+ Cố định lại những răng đang bị lung lay.
+ Đối với những răng không thể giữ được nữa thì bắt buộc phải nhổ.
- Điều trị phẫu thuật: Trong trường hợp những phương pháp trên không mang lại hiệu quả thì các bác sĩ tại Nha khoa SV quận 3 có thể chỉ định phẫu thuật để kịp thời khắc phục bệnh. Một số loại phẫu thuật thường được áp dụng như sau:
+ Phẫu thuật bỏ túi nha chu với mục đích thu hẹp các túi nha chu để làm sạch mảng bám, vi khuẩn trên răng một cách dễ dàng hơn.
+ Phẫu thuật tái tạo mô và xương nha chu.
+ Phẫu thuật ghép mô mềm để hạn chế tình trạng tụt lợi, đồng thời có thể giúp các tổ chức quanh răng phục hồi, làm giảm đau buốt răng và đảm bảo thẩm mỹ viền nướu.
- Điều trị duy trì: Khi tình trạng viêm nha chu đã được xử trí và ổn định. Người bệnh vẫn nên khám sức khỏe răng miệng định kỳ. Trong trường hợp bệnh tái phát thì cần xử trí nhanh chóng.
Sau khi điều trị viêm nha chu cần lưu ý gì
Sau khi điều trị viêm nha chu, việc chăm sóc răng miệng đúng cách là rất quan trọng để duy trì sức khỏe nướu và ngăn ngừa tái phát. Dưới đây là một số lưu ý cần nắm rõ:
- Thực hiện vệ sinh răng miệng hàng ngày: Đánh răng ít nhất hai lần một ngày và sử dụng chỉ nha khoa để làm sạch các kẽ răng nơi mà bàn chải không thể tới được. Điều này giúp loại bỏ mảng bám và thức ăn thừa.
- Thăm khám định kỳ: Hãy đến gặp nha sĩ theo lịch hẹn định kỳ để kiểm tra tình trạng nướu và sức khỏe răng miệng của bạn. Nha sĩ có thể giúp phát hiện sớm các vấn đề mới và đưa ra biện pháp điều trị kịp thời.
- Chế độ ăn uống lành mạnh: Hạn chế đồ ngọt, đồ uống có ga và thực phẩm có chứa acid cao. Nên tăng cường ăn rau xanh, trái cây, và các thực phẩm giàu vitamin C để hỗ trợ sức khỏe nướu.
- Tránh thuốc lá: Hút thuốc lá có thể làm tăng nguy cơ mắc bệnh nha chu và làm chậm quá trình hồi phục. Nếu bạn đang hút thuốc, hãy tìm cách từ bỏ.
- Sử dụng nước súc miệng: Nước súc miệng có chứa chất kháng khuẩn có thể giúp giảm vi khuẩn trong miệng và cải thiện tình trạng nướu.
- Theo dõi triệu chứng: Nếu bạn cảm thấy đau, chảy máu nướu, hoặc có dấu hiệu bất thường nào khác sau điều trị, hãy liên hệ với nha sĩ ngay lập tức.
- Giảm stress: Căng thẳng có thể ảnh hưởng đến sức khỏe toàn thân, bao gồm cả sức khỏe răng miệng. Thực hành các kỹ thuật thư giãn như yoga hay thiền có thể hữu ích.
Bằng cách tuân thủ những lưu ý trên, bạn có thể bảo vệ sức khỏe nướu và răng miệng của mình một cách hiệu quả sau khi điều trị viêm nha chu.
Nha khoa SV quận 3 mách bạn cách phòng viêm nha chu
Viêm nha chu là một bệnh lý nhiễm trùng nướu, có thể dẫn đến mất răng nếu không được điều trị kịp thời. Dưới đây là một số cách phòng ngừa viêm nha chu mà Nha khoa SV quận 3 muốn chia sẻ với bạn:
- Chải răng đúng cách: Hãy chải răng ít nhất hai lần một ngày bằng bàn chải mềm và kem đánh răng chứa fluoride. Đảm bảo chải cả bề mặt bên trong, bên ngoài của răng và lưỡi.
- Sử dụng chỉ nha khoa: Chỉ nha khoa giúp loại bỏ mảng bám và thức ăn bị mắc kẹt giữa các kẽ răng mà bàn chải không thể tiếp cận. Hãy sử dụng chỉ nha khoa ít nhất một lần mỗi ngày.
- Khám răng định kỳ: Đến nha sĩ kiểm tra sức khỏe răng miệng định kỳ (6 tháng/lần) để phát hiện sớm các vấn đề và làm sạch răng miệng.
- Ăn uống lành mạnh: Giảm thiểu thực phẩm chứa đường và tinh bột, đồng thời tăng cường rau xanh, trái cây và thực phẩm giàu chất xơ để duy trì sức khỏe nướu.
- Ngừng hút thuốc lá: Hút thuốc lá không chỉ gây hại cho sức khỏe tổng thể mà còn làm tăng nguy cơ viêm nha chu và các vấn đề về nướu.
- Uống đủ nước: Uống nước đủ giúp duy trì sự ẩm ướt cho khoang miệng và hỗ trợ trung hòa axit, giảm nguy cơ hình thành mảng bám.

Khám răng định kỳ để đề phòng viêm nha chu tại Nha khoa SV quận 3
Những biện pháp này sẽ giúp bạn duy trì sức khỏe răng miệng tốt và phòng tránh viêm nha chu hiệu quả. Nếu có bất kỳ dấu hiệu nào của viêm nhiễm nướu như chảy máu khi chải răng, hãy liên hệ với nha sĩ ngay để được tư vấn và điều trị kịp thời.
Kết luận
Viêm nha chu là một bệnh lý có thể gây ra nhiều hậu quả nghiêm trọng nếu không được phát hiện và điều trị kịp thời. Nha khoa SV quận 3 điều trị viêm nha chu không chỉ cung cấp dịch vụ chăm sóc sức khỏe răng miệng chuyên nghiệp mà còn mang đến kiến thức hữu ích về cách phòng ngừa bệnh lý này. Hãy chăm sóc răng miệng của bạn ngay hôm nay để có một nụ cười tự tin và sức khỏe tốt hơn!
>>Xem thêm: Trồng răng Implant All On 6 uy tín tại Nha khoa SV quận 3
>>Xem thêm: Nha khoa làm răng sứ đẹp tại quận 3- Nha khoa SV
>>Xem thêm: Mặt dán sứ Veneer Emax là gì? Dán sứ Veneer Emax tại Nha khoa SV quận 3
Nha khoa SV Quận 3
Địa chỉ: 99 Cao Thắng, Phường 03, Quận 3, TP. Hồ Chí Minh
Hotline: 0933381675 - 02389292525
Email: nhakhoasv@gmail.com
Giờ làm việc:
Thứ 2-Thứ 6: 8h00 – 20h00
Thứ 7: 8h00 – 18h00
Chủ Nhật: 8h00 – 12h00

.png)