Viêm nướu răng là gì? Đây là câu hỏi mà nhiều người thường thắc mắc khi gặp vấn đề về sức khỏe răng miệng. Viêm nướu răng là tình trạng viêm nhiễm tại nướu, có thể dẫn đến các vấn đề nghiêm trọng nếu không được điều trị kịp thời. Trong bài viết này, Nha khoa SV quận 3 sẽ giúp bạn hiểu rõ hơn về bệnh lý này cũng như cách phòng ngừa và điều trị hiệu quả viêm nướu răng.
Viêm nướu răng là gì?
Viêm nướu răng là một dạng bệnh lý phổ biến liên quan đến mô mềm xung quanh răng. Tình trạng này xảy ra khi nướu bị viêm do sự tích tụ của mảng bám, vi khuẩn hoặc các yếu tố khác. Nếu không được chăm sóc đúng cách, viêm nướu răng có thể tiến triển thành viêm nha chu, gây tổn thương đến cấu trúc xương nâng đỡ răng.
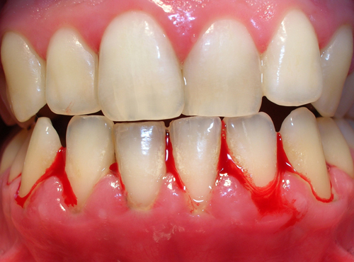
Viêm nướu thường bắt đầu với dấu hiệu là đỏ, sưng và đau ở vùng nướu, khiến cho việc ăn uống trở nên khó khăn và thiếu thoải mái. Đây là tình trạng phổ biến, nhưng nhiều người lại không nhận thức được mức độ nghiêm trọng của nó nếu không được can thiệp kịp thời.

Hình ảnh giới thiệu về tình trạng viêm nướu răng
Dấu hiệu nhận biết bị viêm nướu răng
Khi bạn có dấu hiệu của viêm nướu răng, việc phát hiện sớm là rất quan trọng để ngăn ngừa biến chứng. Dưới đây là những dấu hiệu phổ biến mà bạn nên chú ý.
Đau và sưng nướu
Một trong những dấu hiệu đầu tiên của viêm nướu là cảm giác đau và sưng tấy tại khu vực nướu. Người bệnh thường cảm thấy khó chịu, đặc biệt khi ăn uống, và có thể thấy nướu có màu đỏ tươi thay vì màu hồng nhạt bình thường.

Dấu hiệu nhận biết viêm nướu là đau và sưng tấy tại khu vực nướu
Chảy máu nướu
Chảy máu khi đánh răng là một dấu hiệu rõ rệt của viêm nướu. Nướu có thể chảy máu ngay cả khi bạn thực hiện các hành động đơn giản như đánh răng hoặc dùng chỉ nha khoa. Nếu bạn gặp phải tình trạng này, hãy đến gặp bác sĩ nha khoa càng sớm càng tốt.
Hôi miệng
Hơi thở có mùi hôi, hay còn gọi là halitosis, thường đi kèm với viêm nướu. Sự tích tụ của vi khuẩn và mảng bám trên răng có thể khiến hơi thở của bạn trở nên khó chịu. Điều này không chỉ ảnh hưởng đến sức khỏe mà còn làm giảm tự tin trong giao tiếp hàng ngày.
Răng lung lay
Trong trường hợp viêm nướu diễn biến nghiêm trọng hơn, bạn có thể cảm thấy răng của mình bị lung lay do tổn thương cấu trúc nâng đỡ răng. Đây là dấu hiệu cho thấy tình trạng viêm đang ở mức nghiêm trọng và cần được điều trị ngay lập tức.

Viêm nướu nặng có thể cảm thấy răng mình bị lung lay
Nguyên nhân gây ra viêm nướu răng
Hiểu rõ nguyên nhân gây ra viêm nướu răng sẽ giúp bạn có những biện pháp phòng ngừa hiệu quả. Có nhiều yếu tố có thể gây ra tình trạng này.
Vệ sinh răng miệng kém
Thói quen vệ sinh răng miệng không đúng cách là nguyên nhân hàng đầu dẫn đến viêm nướu. Nếu bạn không đánh răng ít nhất hai lần mỗi ngày và không sử dụng chỉ nha khoa, mảng bám sẽ dần hình thành và gây viêm nhiễm.
Sử dụng thuốc lá
Hút thuốc lá không chỉ gây hại cho phổi mà còn ảnh hưởng đến sức khỏe răng miệng. Nicotine và các chất hóa học khác trong thuốc lá có thể làm suy yếu hệ miễn dịch, từ đó làm giảm khả năng chống lại vi khuẩn gây viêm nướu.

Hút thuốc lá gây ảnh hưởng đến sức khỏe răng miệng
Hormone
Thay đổi nội tiết tố, đặc biệt trong thời kỳ mang thai, kinh nguyệt hay mãn kinh, có thể làm tăng nguy cơ viêm nướu. Những thay đổi này khiến nướu trở nên nhạy cảm hơn và dễ bị viêm.
Bệnh lý toàn thân
Ngoài ra, một số bệnh lý như tiểu đường, cao huyết áp cũng có thể là nguyên nhân dẫn đến viêm nướu. Những người mắc bệnh tiểu đường có nguy cơ cao hơn trong việc phát triển các vấn đề về nướu do lượng đường trong máu không ổn định, làm tăng sự phát triển của vi khuẩn.
Dùng thuốc đặc trị
Trong một số loại thuốc điều trị bệnh như: trầm cảm, lợi niệu,… khi sử dụng sẽ gây ra tình trạng giảm tiết nước bọt, khô miệng. Lượng nước bọt tiết ra không đủ làm cho các mảng bám và cao răng dễ dàng tích tụ lại gây viêm và sâu răng.
Nguyên nhân tăng nguy cơ viêm nướu răng
Viêm nướu là bệnh răng miệng phổ biến, hầu hết mọi người đều có thể mắc bệnh. Sau đây là một số yếu tố có thể làm tăng nguy cơ viêm nướu:
- Vệ sinh và chăm sóc răng miệng kém
- Tuổi già
- Khô miệng
- Chế độ dinh dưỡng kém, cơ thể thiếu hụt vitamin C
- Răng khấp khểnh, không đều khó làm sạch
- Người mắc các bệnh làm giảm khả năng miễn dịch như HIV/AIDS, bạch cầu hoặc người đang điều trị ung thư
- Tác dụng phụ của một số loại thuốc: thuốc điều trị co giật động kinh phenytoin, thuốc chẹn kênh canxi
- Thay đổi nội tiết tố khi đang mang thai, đang trong chu kỳ kinh nguyệt hoặc uống thuốc tránh thai
- Di truyền
- Nhiễm virus và nấm
Bị viêm nướu răng có gây ra nguy hiểm gì không?
Tình trạng bị viêm nướu răng thường không gây ra nguy hiểm ngay lập tức, nhưng nếu không được điều trị, có thể dẫn đến những biến chứng nghiêm trọng.
Ảnh hưởng đến sức khỏe răng miệng
Viêm nướu nếu không được điều trị kịp thời có thể phát triển thành bệnh nha chu, dẫn đến mất răng. Tình trạng này không chỉ gây đau đớn mà còn ảnh hưởng đến vẻ đẹp thẩm mỹ của nụ cười.
Tác động đến sức khỏe toàn thân
Nghiên cứu đã chỉ ra rằng viêm nướu không chỉ ảnh hưởng đến sức khỏe răng miệng mà còn có thể tác động đến sức khỏe tổng thể. Vi khuẩn trong miệng có thể lan vào các bộ phận khác của cơ thể, gây ra các bệnh lý như tim mạch, tiểu đường và các vấn đề về hô hấp.
Mất tự tin trong giao tiếp
Viêm nướu răng cũng có thể dẫn đến hơi thở có mùi hôi, khiến người bệnh cảm thấy tự ti khi giao tiếp với người khác. Điều này có thể ảnh hưởng đến các mối quan hệ xã hội và công việc.
Bệnh viêm nướu răng có bị lây hay không?
Vi khuẩn gây viêm nướu có thể lây từ người này sang người khác nhưng khả năng lây bệnh không cao. Người bị viêm nướu có thể lây lan vi khuẩn sang người khác thông qua tiếp xúc nước bọt. Khi tiếp xúc nước bọt với người bị viêm nướu, bạn có nguy cơ tự phát triển bệnh này.
Ngoài ra, vệ sinh răng miệng kém hoặc mắc các bệnh làm giảm khả năng miễn dịch như bạch cầu, HIV/AIDS có khả năng bị lây bệnh viêm nướu cao.
Cách điều trị viêm nướu răng tại nhà
Điều trị viêm nướu răng tại nhà có thể giúp giảm triệu chứng và cải thiện tình trạng nướu. Dưới đây là một số phương pháp thường được áp dụng:
- Vệ sinh răng miệng đúng cách: Đánh răng ít nhất hai lần mỗi ngày bằng bàn chải mềm và kem đánh răng chứa fluoride. Đừng quên dùng chỉ nha khoa để loại bỏ thức ăn và mảng bám giữa các kẽ răng.
- Súc miệng với nước muối: Pha một thìa muối vào một cốc nước ấm và súc miệng khoảng 30 giây. Nước muối có tác dụng kháng viêm và sát khuẩn, giúp giảm đau và sưng nướu.
- Tránh thực phẩm gây kích ứng: Hạn chế tiêu thụ thực phẩm cay, nóng, acid hoặc những thứ có đường cao vì chúng có thể làm tình trạng viêm trở nên tồi tệ hơn.
- Uống nhiều nước: Nước giúp giữ cho khoang miệng luôn ẩm và hỗ trợ quá trình tái tạo mô nướu.
- Thăm khám định kỳ: Mặc dù bạn có thể điều trị tại nhà, nhưng việc thăm khám nha sĩ định kỳ rất quan trọng để phát hiện và điều trị kịp thời những vấn đề nghiêm trọng hơn liên quan đến nướu và lợi.
Nếu tình trạng viêm nướu không cải thiện sau khi áp dụng các biện pháp trên trong vài ngày, bạn nên tìm kiếm sự tư vấn từ bác sĩ hoặc nha sĩ để được điều trị chuyên nghiệp.

Súc miệng bằng nước muối và một cách kháng viêm và sát khuẩn
Điều trị viêm nướu răng tại Nha khoa SV quận 3
Nếu bạn đang gặp phải tình trạng viêm nướu, việc tìm kiếm phương pháp điều trị hiệu quả là rất quan trọng. Cách điều trị viêm nướu răng tại Nha khoa SV quận 3 được thiết kế nhằm đảm bảo sức khỏe tốt nhất cho bệnh nhân.

Nha khoa SV quận điều trị viêm nướu răng tại quận 3
Khám và chẩn đoán
Bước đầu tiên trong quá trình điều trị là khám và chẩn đoán chính xác tình trạng viêm nướu. Các bác sĩ nha khoa sẽ xem xét kỹ lưỡng tình trạng nướu, đồng thời xác định nguyên nhân gây ra bệnh nhằm đưa ra phác đồ điều trị phù hợp nhất.
Làm sạch răng miệng chuyên sâu
Sau khi đã xác định tình trạng bệnh, bước tiếp theo là thực hiện làm sạch răng miệng chuyên sâu. Quy trình này bao gồm việc loại bỏ mảng bám, cao răng, và các vi khuẩn gây viêm. Đây là một bước quan trọng để giảm thiểu tình trạng viêm và giúp nướu hồi phục nhanh chóng.
Hướng dẫn chăm sóc tại nhà
Sau quá trình điều trị, bác sĩ sẽ tư vấn cho bạn cách chăm sóc răng miệng tại nhà để duy trì sức khỏe nướu. Việc đánh răng đúng cách, sử dụng chỉ nha khoa và bổ sung chế độ ăn uống lành mạnh sẽ giúp bạn phòng ngừa nguy cơ tái phát.
Thăm khám định kỳ
Cuối cùng, bạn nên thăm khám định kỳ tại Nha khoa SV quận 3 để kiểm tra tình trạng nướu sau khi điều trị. Việc này không chỉ giúp phát hiện sớm các vấn đề mới mà còn đảm bảo rằng quá trình hồi phục diễn ra thuận lợi.

Hình ảnh khách hàng điều trị tại Nha khoa SV quận 3
Biện pháp ngăn ngừa và phòng tránh viêm nướu răng
Viêm nướu xuất hiện ở mọi độ tuổi và giới tính khác nhau, vì vậy việc ngăn ngừa từ bây giờ sẽ giúp bảo vệ răng tốt nhất.
- Tạo và duy trì thói quen đánh răng ít nhất 2 lần/ngày vào buổi sáng và tối.
- Sử dụng nước súc miệng và chỉ nha khoa để vệ sinh răng miệng được sạch hơn.
- Súc miệng thật sạch sau khi ăn nhằm loại bỏ các mảng bám thức ăn còn sót lại.
- Khám răng định kỳ, đặc biệt là trẻ nhỏ đang trong quá trình thay răng
- Lấy cao răng định kỳ 6 tháng/lần
- Xây dựng chế độ ăn uống lành mạnh, hạn chế sử dụng thực phẩm chứa nhiều đường và tinh bột.
- Uống đủ nước mỗi ngày, hạn chế để miệng khô.
Bị viêm nướu răng không nên ăn gì?
Khi bị viêm nướu răng, chế độ ăn uống rất quan trọng để giúp giảm triệu chứng và hỗ trợ quá trình phục hồi. Dưới đây là một số loại thực phẩm và thức uống mà bạn nên tránh khi bị viêm nướu:
- Thực phẩm chứa đường: Đường có thể tạo điều kiện cho vi khuẩn phát triển, làm tình trạng viêm nướu trở nên tồi tệ hơn. Hạn chế ăn bánh kẹo, nước ngọt và các sản phẩm có đường khác.
- Thức ăn cay và chua: Các loại thức ăn như ớt, chanh, hoặc dưa chua có thể gây kích ứng cho nướu, làm tăng cảm giác đau và khó chịu.
- Thức ăn cứng và giòn: Các loại thực phẩm như hạt, bánh quy, hoặc rau củ sống có thể gây tổn thương cho nướu và làm tình trạng viêm nặng thêm. Nên tránh những thực phẩm này cho đến khi nướu hồi phục.
- Thức uống có cồn: Rượu có thể làm khô miệng và làm giảm khả năng tự chữa lành của cơ thể, do đó bạn nên hạn chế tiêu thụ.
- Thức uống có ga: Những loại nước có ga thường có tính axit cao, có thể góp phần vào tình trạng viêm.
- Thực phẩm chế biến sẵn: Nhiều thực phẩm chế biến sẵn chứa hóa chất và phụ gia không tốt cho sức khỏe răng miệng.
Ngoài việc tránh các loại thực phẩm trên, bạn cũng nên duy trì vệ sinh răng miệng tốt bằng cách đánh răng ít nhất hai lần mỗi ngày và sử dụng chỉ nha khoa để làm sạch kẽ răng. Nếu tình trạng viêm nướu không cải thiện, hãy tham khảo ý kiến bác sĩ nha khoa để được tư vấn và điều trị thích hợp.
Kết luận
Như vậy, viêm nướu răng là một vấn đề sức khỏe răng miệng phổ biến nhưng có thể gây ra nhiều hệ lụy nghiêm trọng nếu không được điều trị kịp thời. Nhận biết các dấu hiệu nhận biết bị viêm nướu răng, hiểu rõ nguyên nhân gây ra viêm nướu răng, và áp dụng các biện pháp điều trị đúng cách tại Nha khoa SV quận 3 sẽ giúp bạn bảo vệ sức khỏe răng miệng một cách tốt nhất. Hãy chăm sóc răng miệng thật tốt để duy trì nụ cười luôn rạng rỡ!
>>Xem thêm: Địa chỉ làm răng sứ thẩm mỹ đường Cao Thắng, Quận 3
>>Xem thêm: Nguyên nhân và cách điều trị sâu răng nặng: Nha khoa quận 3
>>Xem thêm: Vì sao nên chọn niềng răng chỉnh nha? Nha khoa SV quận 3
Nha khoa SV Quận 3
Địa chỉ: 99 Cao Thắng, Phường 03, Quận 3, TP. Hồ Chí Minh
Hotline: 0933381675 - 02389292525
Email: nhakhoasv@gmail.com
Giờ làm việc:
Thứ 2-Thứ 6: 8h00 – 20h00
Thứ 7: 8h00 – 18h00
Chủ Nhật: 8h00 – 12h00

.png)