Thẩm mỹ răng sứ là một trong những dịch vụ nổi bật trong ngành nha khoa hiện đại, mang lại sự hoàn hảo cho nụ cười của bạn. Xu hướng làm đẹp ngày nay không thể thiếu được thẩm mỹ răng sứ. Một nụ cười mới không chỉ mang tới ngoại hình tươi tắn, rạng rỡ mà còn nuôi dưỡng và khơi dậy sự tự tin từ sâu bên trong của mỗi cá nhân. Vậy thẩm mỹ răng sứ là gì? Những trường hợp nào nên làm thẩm mỹ răng sứ? Địa chỉ nào thẩm mỹ răng sứ uy tín tại quận 3?. Mời các bạn cùng tìm hiểu qua bài viết sau nhé.
Thẩm mỹ răng sứ là gì?
Thẩm mỹ răng sứ là quy trình phục hình răng miệng bằng việc sử dụng các chất liệu răng sứ cao cấp. Mục tiêu chính của dịch vụ này là cải thiện ngoại hình của răng, tạo ra nụ cười tự tin và thu hút hơn. Quy trình này thường được thực hiện khi khách hàng gặp phải vấn đề về hình dáng, màu sắc hoặc tình trạng sức khỏe của răng.
Thực tế cho thấy, nhiều người đã lựa chọn thẩm mỹ răng sứ không chỉ để khắc phục những khuyết điểm mà còn để nâng cao tính thẩm mỹ cho nụ cười. Với sự phát triển của công nghệ nha khoa, việc thực hiện thẩm mỹ răng sứ trở nên dễ dàng hơn bao giờ hết. Bạn sẽ nhận được sự tư vấn chuyên nghiệp từ đội ngũ bác sĩ tại Nha khoa SV, địa chỉ được nhiều người tin tưởng và lựa chọn trong quận 3.

Hình ảnh giới thiệu về thẩm mỹ răng sứ
Vì sao thẩm mỹ răng sứ được ưa chuộng?
Thẩm mỹ răng sứ đang trở nên ngày càng phổ biến trong thời gian gần đây vì nhiều lý do hấp dẫn. Dưới đây là một số lý do chính giải thích vì sao phương pháp này được ưa chuộng:
- Tính thẩm mỹ cao: Răng sứ có màu sắc và hình dạng tương tự như răng tự nhiên, giúp cải thiện đáng kể vẻ ngoài của nụ cười. Người dùng có thể tự tin hơn khi giao tiếp.
- Độ bền cao: Răng sứ thường có độ cứng và độ bền tốt hơn so với các vật liệu khác. Chúng có khả năng chịu lực tốt và ít bị mòn theo thời gian, giúp duy trì hình dáng và chức năng lâu dài.
- Khả năng chống mảng bám: Răng sứ ít bị ảnh hưởng bởi mảng bám và vết ố, nhờ đó dễ dàng hơn trong việc chăm sóc và vệ sinh hàng ngày.
- Ít gây kích ứng: Răng sứ không chứa kim loại nên ít gây ra phản ứng dị ứng hay kích ứng cho người sử dụng, đặc biệt là những người có cơ địa nhạy cảm.
- Cải thiện chức năng ăn nhai: Ngoài việc mang lại vẻ đẹp cho hàm răng, răng sứ còn giúp phục hồi chức năng ăn nhai, từ đó cải thiện chất lượng cuộc sống.
- Giải pháp cho nhiều vấn đề: Thẩm mỹ răng sứ có thể khắc phục nhiều vấn đề như răng sâu, răng mất, răng không đều hoặc răng bị ố màu, mang lại sự đồng nhất cho toàn bộ hàm răng.
Với những lợi ích nổi bật trên, không khó hiểu khi thẩm mỹ răng sứ ngày càng được mọi người lựa chọn để cải thiện sức khỏe và vẻ đẹp của răng miệng.
Thẩm mỹ răng sứ có mấy loại?
Ngày nay, thẩm mỹ răng sứ có 02 loại chính là: bọc răng sứ và dán sứ Veneer. Mỗi phương pháp sẽ có những đặc điểm riêng, tùy thuộc vào tình trạng răng và mong muốn của bạn mà đội ngũ bác sĩ sẽ đưa ra tư vấn phù hợp nhất.
Bọc răng sứ
Bọc răng sứ là phương pháp thẩm mỹ được thực hiện bằng cách mài cùi răng thật theo tỉ lệ được bác sĩ tính toán, sau đó chụp mão sứ lên trên bề mặt cùi đã mài nhằm khôi phục về kích thước, thẩm mỹ cũng như chức năng ăn nhai cho khách hàng.

Hình ảnh về thẩm mỹ bọc răng sứ
Dán sứ Veneer
Dán răng sứ Veneer là phương pháp thẩm mỹ gần giống bọc răng sứ giúp khắc phục mọi khuyết điểm của răng. Cách thức khác với bọc răng sứ ở chỗ dán sứ Veneer chỉ cần mài nhám một lớp rất mỏng để tạo khoảng cách cho miếng dán sứ có thể dán ra ngoài. Thông thường miếng dán sứ Veneer có độ mỏng chỉ từ 0.2mm (mỏng hơn so với mão sứ dùng để bọc răng sứ), nên có thể bảo tồn tối đa răng thật.
Dán sứ Veneer vẫn đảm bảo độ tự nhiên về màu sắc, độ bền chắc sau thời gian dài sử dụng mà không ảnh hưởng đến răng thật và chức năng ăn nhai.

Hình ảnh dịch vụ thẩm mỹ răng sứ Veneer tại Nha khoa Sv quận 3
Những trường hợp nào nên thẩm mỹ răng sứ
Thẩm mỹ răng sứ không chỉ dành cho những ai muốn có một nụ cười hoàn hảo. Dưới đây là một số trường hợp cụ thể mà bạn nên xem xét:
Răng bị sâu hoặc gãy
Nếu bạn có răng bị sâu hoặc gãy, thẩm mỹ răng sứ là một giải pháp hữu hiệu. Nó không chỉ giúp phục hồi chức năng nhai mà còn tạo hình dáng răng như ban đầu.
Răng ố vàng hoặc xỉn màu
Nếu bạn đang gặp phải vấn đề về màu sắc răng, thẩm mỹ răng sứ sẽ giúp bạn cải thiện tình trạng này. Răng sứ có nhiều màu sắc tự nhiên, cho phép bác sĩ tuỳ chỉnh phù hợp với nhu cầu của bạn.
.png)
Hình ảnh răng bị ố vàng, xỉn màu
Răng không đều
Nếu bạn có răng bị lệch hay không đều, thẩm mỹ răng sứ có thể giúp bạn khắc phục tình trạng này. Chúng có thể được thiết kế để làm cho nụ cười của bạn thêm hài hòa và đẹp mắt hơn.
Răng bị hỏng, chết tủy
Tủy răng được coi là “trái tim” của mỗi chiếc răng, nếu tủy răng hỏng, chết sẽ khiến răng bị giòn, dễ gẫy. Việc bảo vệ bên ngoài bằng mão sứ sẽ giúp bảo vệ răng thật sau chữa tủy một cách tốt nhất.

Hình ảnh răng bị hỏng, chết tủy
Mong muốn cải thiện thẩm mỹ
Nhiều người lựa chọn thẩm mỹ răng sứ chỉ đơn giản vì muốn một nụ cười tự tin hơn. Nếu bạn thích sự thay đổi và muốn có một diện mạo mới, hãy tham khảo dịch vụ thẩm mỹ răng sứ.
Những dáng răng sứ hiện đại với xu hướng ngày nay
Trong thời đại hiện đại, dáng răng cũng có sự biến đổi để phù hợp với sở thích và nhu cầu của con người. Dưới đây là một số dáng răng sứ phổ biến hiện nay:
Dáng răng tự nhiên
Dáng răng tự nhiên được thiết kế dựa trên hình dáng và kích thước của răng thật. Điều này giúp cho nụ cười của bạn trông tự nhiên và hài hòa hơn.

Hình ảnh dáng răng tự nhiên tại Nha khoa SV quận 3
Dáng răng cửa vuông
Dáng răng cửa vuông thường phù hợp với những người có khuôn mặt góc cạnh. Dáng răng này mang lại sự mạnh mẽ và phong cách đầy cá tính.

Hình ảnh dáng răng cửa vuông tại Nha khoa SV quận 3
Dáng răng tròn đều
Dáng răng tròn đều thường được ưa chuộng bởi tính thẩm mỹ cao và sự mềm mại. Kiểu dáng này phù hợp với hầu hết các khuôn mặt, tạo cảm giác nhẹ nhàng và dễ gần.

Hình ảnh dáng răng tròn đều tại Nha khoa SV quận 3
Dáng răng Sexy
Dáng răng sexy mang đến cảm giác bí ẩn và quyến rũ. Đây là một lựa chọn phổ biến trong các bộ phim điện ảnh và truyền hình, khiến cho nhiều người yêu thích phong cách này.

Hình ảnh dáng răng Sexy tại Nha khoa SV quận 3
Đặc biệt ngoài 4 dáng răng trên, Nha khoac SV quận 3 còn có các dáng răng khác. Với việc tư vấn dáng răng phù hợp và luôn kết hợp tùy biến theo yêu cầu, mong muốn của khách hàng và sự tư vấn từ chuyên gia thẩm mỹ để kiến tạo nên nụ cười riêng biệt vì mỗi khách hàng là một cá nhân, bản sắc không thể hòa lẫn.

Hình ảnh dáng răng Baby tại Nha khoa SV quận 3

Hình ảnh dáng răng Korea tại Nha khoa SV quận 3

Hình ảnh dáng răng khỏe khoắn tại Nha khoa SV quận 3

Hình ảnh dáng răng trẻ trung tại Nha khoa SV quận 3

Hình ảnh dáng răng thỏ tại Nha khoa SV quận 3
Thẩm mỹ răng sứ có đau không? Ảnh hưởng đến răng thật không?
Ngày nay với sự phát triển ngày càng hiện đại của khoa học công nghệ, việc thẩm mỹ răng sứ trở nên dễ dàng hơn rất nhiều.
Thực tế thẩm mỹ răng sứ không hề gây đau đớn như tưởng tượng bởi trong quá trình thực hiện, cụ thể là mài cùng răng bác sĩ sẽ gây tê nhằm tạo cảm giác nhẹ nhàng, thoải mái nhất. Sau khi hết thuốc tê, bạn sẽ chỉ có cảm giác hơi ê nhẹ và chỉ khoảng 1 ngày sau là bạn đã có thể lắp răng sứ.
Và không ít khách hàng thắc mắc liệu thẩm mỹ răng sứ có ảnh hưởng tới răng thật hay không thì câu trả lời chính là không. Khi bác sĩ thực hiện mài đúng kỹ thuật, tỉ lệ để không ảnh hưởng tới cấu trúc thì việc thẩm mỹ răng sứ cũng sẽ không hề gây hại tới răng thật.
Nha Khoa SV: địa chỉ thẩm mỹ răng sứ uy tín tại Quận 3
Giới thiệu về Nha Khoa SV quận 3
Nha khoa SV là một trong những trung tâm nha khoa nổi bật tại quận 3, TP. Hồ Chí Minh, chuyên cung cấp các dịch vụ thẩm mỹ răng sứ với chất lượng cao và dịch vụ tận tâm. Với đội ngũ bác sĩ có trình độ chuyên môn cao, nhiều năm kinh nghiệm trong ngành nha khoa, nha khoa SV cam kết mang đến cho khách hàng những giải pháp hoàn hảo nhất để cải thiện nụ cười của mình.
.jpg)
Dịch vụ thẩm mỹ răng sứ tại Nha khoa SV quận 3
Dịch vụ thẩm mỹ răng sứ
Tại nha khoa SV quận 3, các dịch vụ thẩm mỹ răng sứ bao gồm:
Làm Răng sứ toàn phần:
- Lựa chọn hoàn hảo cho những ai muốn có một hàm răng trắng sáng tự nhiên.
- Được làm từ vật liệu Ceramco hoặc Emax, đảm bảo tính thẩm mỹ và bền bỉ.
Làm Răng sứ Titan:
- Răng sứ titan thường được sử dụng cho những trường hợp cần phục hồi chức năng nhai.
- Có khả năng chống ăn mòn và tuổi thọ lâu dài.
Răng sứ kim loại thường:
- Khung sườn hợp kim Ni – Cr và bên ngoài phủ một lớp sứ trắng.
Răng sứ Chrom-Cobalt:
- Thành phần cấu tạo chính từ hợp kim Chromium và Cobalt, đặc biệt không chứa Niken. Phủ bên ngoài là lớp sứ trắng.
Răng sứ kim loại quý:
- Khung sườn hợp kim Titan và bên ngoài được làm hoàn toàn bằng sứ.
Làm răng sứ Veneer:
- Phương pháp tối ưu cho việc chỉnh sửa hình dáng và màu sắc răng mà không cần phải mài răng nhiều.
- Thích hợp cho những ai muốn cải thiện nụ cười mà không làm tổn thương tới răng thật.
Quy trình làm răng sứ tại Nha Khoa SV quận 3
Quy trình làm răng sứ tại nha khoa SV được thực hiện theo chuẩn quốc tế, bao gồm các bước sau:
Khám và tư vấn:
- Bác sĩ sẽ tiến hành khám tổng quát tình trạng răng miệng của khách hàng.
- Tư vấn chi tiết về các lựa chọn phù hợp dựa trên nhu cầu và điều kiện của từng khách hàng.
Chụp X-quang:
- Nếu cần thiết, bác sĩ sẽ chỉ định chụp X-quang để kiểm tra cấu trúc bên trong của răng và xương hàm.
Mài Răng:
- Tiến hành mài răng nếu cần thiết để tạo khoảng trống cho răng sứ mới (đối với phương pháp không phải veneer).
Ghi nhận mẫu hàm:
- Ghi nhận mẫu hàm để chế tác răng sứ chính xác nhất.
Lắp răng tạm thời:
- Trong thời gian chờ răng sứ hoàn thành, khách hàng sẽ được lắp răng tạm thời để đảm bảo thẩm mỹ và chức năng nhai.
Lắp răng sứ cuối cùng:
- Sau khi răng sứ được hoàn thành, bác sĩ sẽ tiến hành lắp đặt và điều chỉnh để đảm bảo vừa vặn và thoải mái cho khách hàng.
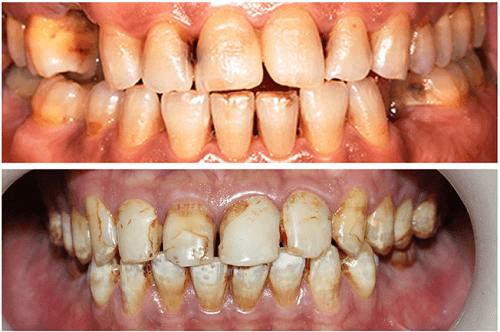
Hình ảnh khách hàng thẩm mỹ răng sứ tại Nha khoa SV quận 3

Hình ảnh khách hàng trước khi làm răng sứ thẩm mỹ

Hình ảnh khách hàng sau khi làm dịch vụ thẩm mỹ răng sứ tại Nha khoa SV quận 3
Cam kết chất lượng tại nha khoa SV quận 3
Nha khoa SV luôn chú trọng đến việc nâng cao chất lượng dịch vụ và sự hài lòng của khách hàng. Các cam kết bao gồm:
- Vật liệu chính hãng: sử dụng nguyên liệu chất lượng cao, nhập khẩu chính hãng để đảm bảo độ bền và tính thẩm mỹ.
- Đội ngũ bác sĩ kinh nghiệm: bác sĩ tại Nha khoa SV quận 3 đều có chứng chỉ hành nghề và kinh nghiệm dày dạn trong lĩnh vực nha khoa thẩm mỹ.
- Công nghệ hiện đại: áp dụng công nghệ tiên tiến vào quy trình điều trị, giúp giảm thiểu đau đớn và thời gian hồi phục.
- Dịch vụ khách hàng tận tâm: đội ngũ nhân viên chu đáo, sẵn sàng hỗ trợ và tư vấn mọi thắc mắc của khách hàng.
Địa chỉ liên hệ
Nếu bạn đang tìm kiếm một địa chỉ thẩm mỹ răng sứ uy tín tại quận 3, hãy ghé qua nha khoa SV:
Địa chỉ: 99 Cao Thắng, Phường 03, Quận 3, TP. Hồ Chí Minh
Số điện thoại: 0933381675 - 02389292525
Website: nhakhoasv.vn
Hãy đến với nha khoa SV để trải nghiệm dịch vụ chất lượng và sở hữu nụ cười tự tin!
Kết luận
Thẩm mỹ răng sứ là một giải pháp tuyệt vời cho những ai mong muốn cải thiện nụ cười của mình. Tại Nha khoa SV, địa chỉ thẩm mỹ răng sứ uy tín tại quận 3, bạn sẽ nhận được sự chăm sóc tận tâm và dịch vụ chất lượng. Việc lựa chọn loại răng sứ phù hợp với nhu cầu của bạn là rất quan trọng, và chúng tôi luôn sẵn sàng hỗ trợ bạn trong quyết định này. Hãy để chúng tôi giúp bạn tỏa sáng với nụ cười tự tin nhất!
>>Xem thêm: Địa chỉ trồng răng sứ bắc cầu uy tín tại quận 3- Nha khoa SV
>>Xem thêm: Tại sao nên cạo vôi răng? Địa chỉ cạo vôi răng tại quận 3, TP HCM
>>Xem thêm: Niềng răng là gì? Địa chỉ niềng răng uy tín tại quận 3- Nha khoa SV
Nha khoa SV Quận 3
Địa chỉ: 99 Cao Thắng, Phường 03, Quận 3, TP. Hồ Chí Minh
Hotline: 0933381675 - 02389292525
Email: nhakhoasv@gmail.com
Giờ làm việc:
Thứ 2-Thứ 6: 8h00 – 20h00
Thứ 7: 8h00 – 18h00
Chủ Nhật: 8h00 – 12h00

.png)