Viêm lợi trùm là một trong những vấn đề phổ biến mà nhiều người gặp phải, đặc biệt là ở những người trưởng thành trong độ tuổi mọc răng khôn. Tình trạng này không chỉ gây đau đớn và khó chịu mà còn có thể dẫn đến các biến chứng nghiêm trọng nếu không được điều trị kịp thời. Tại Nha khoa SV quận 3 , chúng tôi cung cấp dịch vụ khám và điều trị viêm lợi trùm với đội ngũ bác sĩ chuyên môn cao và trang thiết bị hiện đại. Trong bài viết này, chúng ta sẽ cùng tìm hiểu cách nhận biết dấu hiệu viêm lợi trùm, nguyên nhân gây ra tình trạng này và các phương pháp điều trị hiệu quả tại Nha khoa SV quận 3 , giúp bạn nhanh chóng lấy lại sức khỏe răng miệng và sự tự tin trong cuộc sống hàng ngày.

Nhận biết và điều trị viêm lợi trùm tại Nha khoa SV quận 3
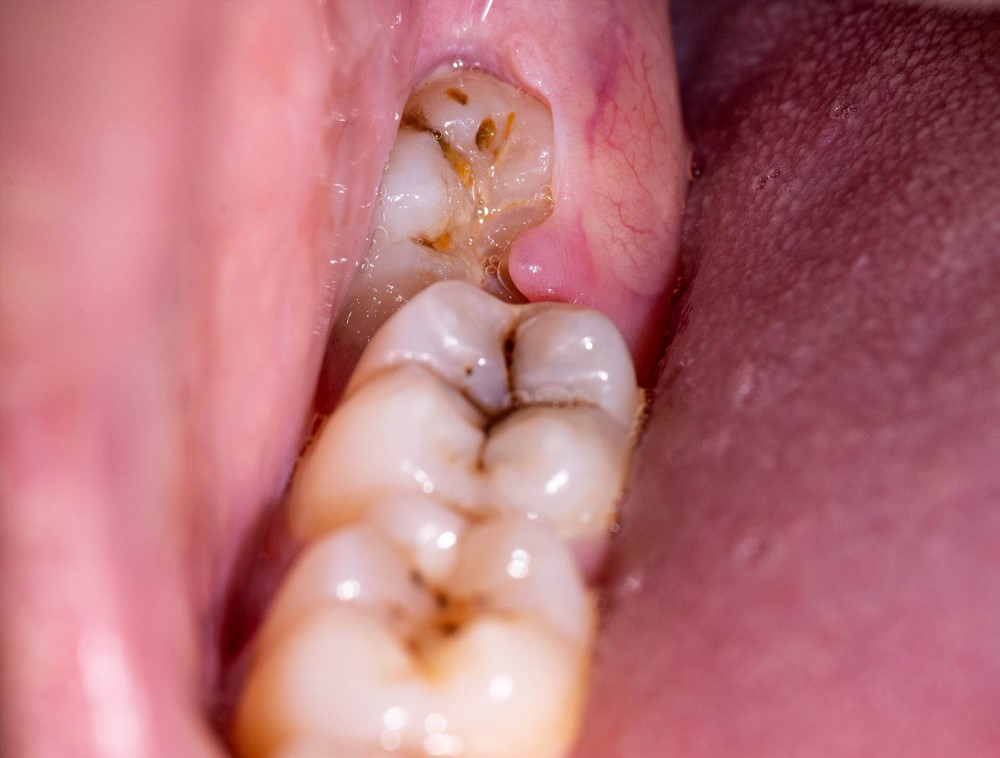
Viêm lợi trùm là gì?
Viêm lợi trùm là một bệnh lý liên quan đến quá trình phát triển của răng khôn. Phần lợi trên mặt răng khôn sẽ gây cản trở khiến răng khôn không thể mọc lên.
Phần răng khôn lúc đó sẽ tiếp tục mọc và đâm vào phần lợi, gây ra cảm giác khó chịu cho người bệnh.
Trong quá trình mọc răng khôn, thường bệnh nhân sẽ phải đối mặt nhiều lần với tình trạng viêm lợi trùm nặng, phần lợi trùm bị sưng phồng gây đau đớn trong quá trình ăn uống.
Nếu không có vi khuẩn tấn công, thông thường lợi sẽ tự phục hồi sau 3-4 ngày. Tuy nhiên, một số trường hợp, phần lợi trùm bị viêm có thể gây đau đớn kéo dài cho người bệnh, thậm chí có thể khiến phát sốt. Vậy nên, trong trường hợp này, cần tới nha sĩ để được tư vấn và khám chữa kịp thời.

Hình ảnh giới thiệu về Viêm lợi trùm
Dấu hiệu nhận biết viêm lợi trùm
Dấu hiệu nhận biết viêm lợi trùm thường khá rõ ràng và có thể bao gồm một số triệu chứng sau:
- Đau nhức: Cảm giác đau âm ỉ hoặc dữ dội ở vùng lợi quanh răng khôn, đặc biệt khi nhai hoặc chạm vào.
- Sưng tấy: Lợi có thể sưng đỏ và dễ chảy máu khi đánh răng hoặc sử dụng chỉ nha khoa.
- Mủ hoặc dịch: Xuất hiện mủ hoặc dịch nhầy ở khu vực lợi bị viêm, có thể gây khó chịu và tạo cảm giác không thoải mái.
- Hơi thở hôi: Vi khuẩn tích tụ có thể dẫn đến hơi thở có mùi hôi, làm giảm tự tin khi giao tiếp.
- Khó khăn khi mở miệng: Cảm giác cứng và khó khăn khi mở miệng rộng, đôi khi kèm theo cảm giác đau.
Nếu bạn gặp phải các triệu chứng trên, hãy đến ngay Nha khoa SV quận 3 để được thăm khám và điều trị kịp thời. Việc phát hiện sớm sẽ giúp ngăn ngừa các biến chứng nghiêm trọng và bảo vệ sức khỏe răng miệng của bạn.

Hình ảnh về dấu hiệu nhận biết bạn đang bị viêm lợi trùm
Nguyên nhân gây ra viêm lợi trùm
Viêm lợi trùm thường xảy ra do nhiều nguyên nhân khác nhau, trong đó nguyên nhân chính là sự mọc răng khôn. Khi răng khôn mọc lên, lợi có thể không đủ chỗ để răng mọc hoàn toàn, dẫn đến việc lợi bị che phủ một phần. Điều này tạo điều kiện cho vi khuẩn tích tụ, gây viêm nhiễm.
Ngoài ra, việc vệ sinh răng miệng kém cũng là một yếu tố quan trọng. Mảng bám và thức ăn thừa dễ dàng tích tụ trong khu vực lợi trùm, làm tăng nguy cơ viêm. Thực phẩm bị mắc kẹt trong lợi cũng có thể gây kích ứng và viêm.
Một số yếu tố khác có thể góp phần vào tình trạng này bao gồm hệ miễn dịch yếu, stress và thói quen hút thuốc. Những người có tiền sử bệnh lý về nha chu cũng có nguy cơ cao hơn. Để ngăn ngừa viêm lợi trùm, việc chăm sóc răng miệng đúng cách và thăm khám nha sĩ định kỳ là rất quan trọng. Nếu có triệu chứng, hãy đến ngay Nha khoa SV quận 3 để được tư vấn và điều trị kịp thời.
Cách điều trị bệnh viêm lợi trùm
Tùy vào tình trạng người bệnh mà bác sĩ sẽ đưa ra các biện pháp điều trị phù hợp để giúp người bệnh thoát khỏi những khó chịu mà bệnh gây ra.
Sau khi thăm khám cụ thể, bác sĩ sẽ tiến hành chụp X-Quang để xác định vị trí của răng và đưa ra các giải pháp điều trị hiệu quả cho bệnh viêm lợi trùm.
Nội khoa
Trong trường hợp lợi trùm bị sưng viêm tấy đỏ, bác sĩ sẽ tiến hành kiểm tra và thực hiện sát trùng ổ viêm. Sau đó, bác sĩ sẽ kê đơn thuốc kháng sinh, kháng viêm và giảm đau để diệt vi khuẩn và giảm các triệu chứng bệnh. Sau 5-7 ngày, phần lợi trùm sẽ dần ổn định và hết viêm.
Tuy nhiên, đây chỉ là giải pháp tạm thời giúp chữa viêm lợi. Tình trạng viêm lợi sẽ có thể quay lại. Vì thế sau khi chữa hết viêm bác sĩ mới có thể điều trị lợi trùm bị viêm triệt để.
Cắt lợi trùm
Sau khi chụp X-Quang, nếu bác sĩ thấy răng khôn mọc ở vị trí thẳng hàng so với các răng khác (không mọc lệch, chèn ngang vào những răng khác), thì cắt bỏ phần lợi trùm sẽ là chỉ định đúng. Đây được coi là trường hợp khá may mắn với người bệnh.
Các bước thực hiện cắt lợi trùm:
- Bác sĩ tiến hành gây tê vào phần lợi trùm;
- Sau đó, cắt đi phần lợi trùm để răng khôn tiếp tục mọc và phát triển bình thường;
- Bệnh nhân cần sử dụng phương pháp tiệt trùng, gìn giữ vệ sinh khoang miệng sạch sẽ, tránh để vi khuẩn xâm nhập và gây tái viêm.
Nhổ răng khôn
Phương pháp cắt lợi trùm không mấy khó khăn nhưng lại có nguy cơ tái phát, vì vậy khi tái phát, bác sĩ có thể cân nhắc nên nhổ bỏ răng khôn.
Trong trường hợp nếu răng khôn bị mọc lệch, mọc bất thường thì việc cắt lợi trùm lại không mang lại hiệu quả. Vì khi cắt bỏ phần lợi trùm sẽ vẫn gây ra các biến chứng viêm nhiễm: Viêm nướu, sâu răng, viêm tủy răng… gây ảnh hưởng đến kết cấu răng xung quanh. Biện pháp lúc này chính là nhổ bỏ chiếc răng khôn đó.
Nha khoa SV điều trị viêm lợi trùm uy tín tại quận 3
Nha khoa SV quận 3 là một trong những địa chỉ uy tín hàng đầu tại quận 3 trong việc điều trị viêm lợi trùm. Với đội ngũ bác sĩ chuyên môn cao và nhiều năm kinh nghiệm trong lĩnh vực nha khoa, Nha khoa SV cam kết mang đến dịch vụ chăm sóc sức khỏe răng miệng hiệu quả và an toàn.
Khi đến với Nha khoa SV quận 3 , khách hàng sẽ được thăm khám kỹ lưỡng để xác định mức độ viêm nhiễm và tình trạng răng miệng. Bác sĩ sẽ thực hiện các bước cần thiết như làm sạch khu vực bị viêm, loại bỏ mảng bám và vi khuẩn, giúp giảm đau và sưng tấy. Trong trường hợp cần thiết, bác sĩ có thể chỉ định điều trị bằng thuốc kháng sinh để ngăn ngừa nhiễm trùng và giảm triệu chứng.
Ngoài việc điều trị, Nha khoa SV quận 3 cũng chú trọng đến việc tư vấn và giáo dục khách hàng về cách chăm sóc răng miệng đúng cách, giúp ngăn ngừa tình trạng viêm lợi trùm tái phát. Chúng tôi khuyến khích khách hàng thực hiện vệ sinh răng miệng hàng ngày, bao gồm đánh răng và sử dụng chỉ nha khoa, đồng thời thăm khám định kỳ để phát hiện sớm các vấn đề liên quan đến răng miệng.
Với phương châm "Khách hàng là trung tâm", Nha khoa SV quận 3 luôn nỗ lực nâng cao chất lượng dịch vụ, tạo sự hài lòng cho mỗi khách hàng. Hãy đến với Nha khoa SV để trải nghiệm dịch vụ điều trị viêm lợi trùm chuyên nghiệp và tận tâm nhất!

Nha khoa SV quận 3 điều trị viêm lợi trùm uy tín, minh bạch
Chi phí điều trị lợi trùm tại Nha khoa SV quận 3
Chi phí điều trị viêm lợi trùm tại Nha khoa SV quận 3 thường phụ thuộc vào mức độ viêm nhiễm và phương pháp điều trị cần thiết. Tại Nha khoa SV, chúng tôi cam kết mang đến dịch vụ chất lượng cao với mức giá hợp lý.
Thông thường, chi phí điều trị sẽ bao gồm các khoản như thăm khám, làm sạch mảng bám, và nếu cần, thuốc kháng sinh để hỗ trợ điều trị. Nha khoa SV luôn minh bạch về giá cả, giúp khách hàng nắm rõ và dễ dàng lựa chọn dịch vụ phù hợp với nhu cầu của mình.
Ngoài ra, chúng tôi cũng cung cấp các gói dịch vụ chăm sóc răng miệng định kỳ với mức giá ưu đãi, giúp khách hàng tiết kiệm chi phí và duy trì sức khỏe răng miệng tốt nhất. Nha khoa SV luôn nỗ lực để mang lại giá trị tốt nhất cho khách hàng, giúp mỗi người đều có cơ hội tiếp cận dịch vụ chăm sóc sức khỏe răng miệng chất lượng mà không lo về giá. Hãy đến ngay Nha khoa SV để được tư vấn và điều trị hiệu quả!
Tổng kết
Trong việc nhận biết và điều trị viêm lợi trùm, Nha khoa SV quận 3 luôn cam kết cung cấp dịch vụ chất lượng và chuyên nghiệp. Việc phát hiện sớm các dấu hiệu viêm lợi trùm là rất quan trọng để ngăn chặn những biến chứng nghiêm trọng. Với đội ngũ bác sĩ giàu kinh nghiệm và trang thiết bị hiện đại, Nha khoa SV sẽ giúp bạn điều trị hiệu quả và an toàn. Chúng tôi không chỉ tập trung vào việc điều trị mà còn chú trọng cung cấp thông tin và hướng dẫn chăm sóc răng miệng đúng cách để ngăn ngừa tái phát. Hãy đến với Nha khoa SV để trải nghiệm dịch vụ tận tâm, giúp bạn nhanh chóng phục hồi sức khỏe răng miệng và tự tin với nụ cười của mình. Sức khỏe răng miệng của bạn là ưu tiên hàng đầu của chúng tôi!
>>Xem thêm: Nha khoa làm răng sứ đẹp tại quận 3- Nha khoa SV
>>Xem thêm: Cạo vôi răng tại Nha khoa SV quận 3
>>Xem thêm: Mặt dán sứ Veneer Lisi- Nha khoa SV quận 3: 0933381675
>>Xem thêm: Trụ implant Nobel TiUltra: xuất xứ, đặc điểm và chi phí
Nha khoa SV Dental
Địa chỉ: 99 Cao Thắng, Phường 03, Quận 3, TP. Hồ Chí Minh
Hotline: 0933381675 - 02389292525
Email: nhakhoasv@gmail.com
Giờ làm việc:
Thứ 2-Thứ 6: 8h00 – 20h00
Thứ 7: 8h00 – 18h00
Chủ Nhật: 8h00 – 12h00

.png)