Cạo vôi răng là một quy trình chăm sóc răng miệng quan trọng, giúp loại bỏ mảng bám và vôi răng, từ đó duy trì sức khỏe răng miệng và ngăn ngừa các bệnh lý như sâu răng và viêm nướu. Tại Nha khoa SV quận 3, dịch vụ cạo vôi răng được thực hiện bởi đội ngũ bác sĩ chuyên nghiệp và trang thiết bị hiện đại, đảm bảo mang lại hiệu quả tối ưu và sự thoải mái cho khách hàng. Với cam kết cung cấp dịch vụ chất lượng cao và chăm sóc tận tình, Nha khoa SV không chỉ giúp khách hàng có một nụ cười rạng rỡ mà còn nâng cao ý thức về việc chăm sóc sức khỏe răng miệng. Hãy đến với chúng tôi để trải nghiệm dịch vụ cạo vôi răng an toàn và hiệu quả!

Dịch vụ cạo vôi răng tại Nha khoa SV quận 3
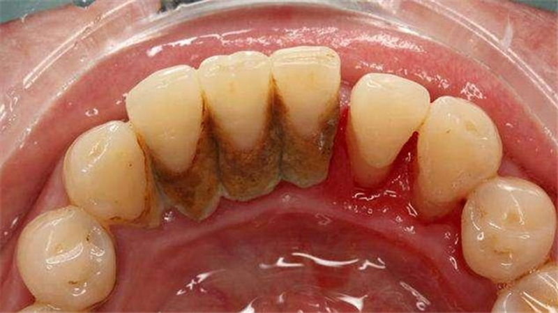
Cạo vôi răng là gì?
Cạo vôi răng là quy trình nha khoa nhằm loại bỏ mảng bám và vôi răng tích tụ trên bề mặt răng. Mảng bám là một lớp chất dơ mềm chứa vi khuẩn, nếu không được làm sạch thường xuyên, chúng có thể cứng lại và hình thành vôi răng. Vôi răng không chỉ gây mất thẩm mỹ mà còn tạo điều kiện cho các bệnh lý răng miệng như sâu răng, viêm nướu, và viêm nha chu phát triển.
Quy trình cạo vôi răng thường được thực hiện bởi các nha sĩ hoặc nhân viên nha khoa. Sau khi kiểm tra tình trạng răng miệng, nha sĩ sẽ sử dụng các dụng cụ chuyên dụng để loại bỏ vôi răng một cách an toàn và hiệu quả. Thời gian thực hiện thường chỉ kéo dài từ 30 phút đến 1 giờ, tùy thuộc vào mức độ tích tụ vôi.
Cạo vôi răng không chỉ giúp cải thiện sức khỏe răng miệng mà còn mang lại cảm giác thoải mái và tự tin hơn cho bệnh nhân. Việc thực hiện định kỳ cạo vôi răng là một phần quan trọng trong chế độ chăm sóc răng miệng hàng ngày.
>>Xem thêm: Trồng răng toàn sứ Cercon HT: Ưu điểm nổi bât và chi phí

Hình ảnh giới thiệu về cạo vôi răng
Vì sao nên đi cạo vôi răng và lấy mảng bám?
Cạo vôi răng và lấy mảng bám là những bước quan trọng trong chăm sóc sức khỏe răng miệng. Đầu tiên, việc này giúp loại bỏ các mảng bám và vôi răng tích tụ, nguyên nhân chính gây ra sâu răng và bệnh nướu. Khi không được làm sạch thường xuyên, mảng bám có thể cứng lại thành vôi răng, gây khó khăn trong việc vệ sinh răng miệng.
Thứ hai, cạo vôi răng góp phần ngăn ngừa viêm nướu và các vấn đề nha chu khác. Viêm nướu có thể dẫn đến tình trạng nướu sưng, chảy máu và thậm chí mất răng nếu không được điều trị kịp thời.
Ngoài ra, việc lấy mảng bám còn giúp cải thiện hơi thở và làm cho nụ cười của bạn trở nên tự tin hơn. Sau khi cạo vôi, răng sẽ trở nên sáng bóng và sạch sẽ hơn, mang lại cảm giác dễ chịu.
Cuối cùng, việc thực hiện định kỳ cạo vôi răng và lấy mảng bám giúp bạn duy trì sức khỏe răng miệng tốt hơn và giảm thiểu chi phí điều trị trong tương lai. Hãy nhớ chăm sóc răng miệng đúng cách để bảo vệ sức khỏe toàn diện!
>>Xem thêm: Mặt dán sứ Veneer Lisi- Nha khoa SV quận 3: 0933381675
Vì sao nên cạo vôi răng theo đúng quy trình?
Bạn đã biết cạo vôi răng là gì rồi, vậy vì sao cần phải cạo vôi răng đúng quy trình? Các mảng bám tồn tại xung quanh răng gây kích ứng mô nướu, dẫn đến nhiều bệnh lý về răng miệng như sâu răng, viêm nha chu, viêm lợi, chảy máu chân răng,... Hay nghiêm trọng hơn còn làm răng lung lay, mất răng sớm, tiêu xương hàm.
Vôi răng không chỉ xuất hiện trên thân răng mà chúng còn bám lại ở đường viền nướu. Vậy nên, muốn đạt hiệu quả cao khi cạo vôi răng bạn phải lựa chọn địa chỉ nha khoa uy tín, nơi có bác sĩ giỏi thực hiện dựa trên sự hỗ trợ của máy móc thiết bị hiện đại. Hạn chế xảy ra sai sót, đảm bảo an toàn trong suốt quá trình lấy cao răng.
Việc cạo vôi răng cần dựa theo quy trình chuẩn để mang lại hiệu quả cao hơn. Khi bác sĩ đảm bảo tiến hành theo đầy đủ các bước đã đề ra từ trước sẽ ngăn chặn biến chứng xảy ra. Nếu điều trị răng miệng tại một bác sĩ giỏi bạn sẽ không bỏ qua bất kỳ bước thực hiện nào, đảm bảo sở hữu hàm răng đều đẹp lâu dài.
Đó là những lý do bạn nên cạo vôi răng theo quy trình chuẩn mà Bộ y tế đưa ra. Hãy chọn cho mình nha khoa uy tín, an toàn để lấy vôi răng, loại bỏ sạch mảng bám. Thông thường, bác sĩ sẽ kiểm tra tình hình răng miệng của bạn sau đó mới đưa ra quyết định có cạo vôi răng hay là không.

Vì sao nên cạo vôi răng theo đúng quy trình?
Quy trình cạo vôi răng an toàn, đạt chuẩn
Dựa vào quy trình chuẩn, mỗi nha khoa sẽ linh hoạt áp dụng để mang đến cho khách hàng dịch vụ tốt, phù hợp với chi phí bỏ ra. Nếu bạn lựa chọn cạo vôi răng tại phòng khám uy tín, chuyên nghiệp bạn sẽ được lấy vôi răng theo quy trình chuẩn, an toàn, cụ thể là:
Thăm khám, tư vấn
Bệnh nhân đến nha khoa gặp bác sĩ (có thể liên hệ hẹn lịch trước để chủ động về thời gian, không phải chờ đợi lâu). Bác sĩ kiểm tra, thăm khám tổng quát, xem xét tình hình rồi tư vấn phương pháp điều trị răng miệng cho từng bệnh nhân. Nếu đồng ý với đề xuất của bác sĩ về việc lấy cao răng thì sẽ chuyển sang bước tiếp theo.

Hình ảnh thăm khám và tư vấn cho bệnh nhân tại Nha khoa SV quận 3
Tiến hành cạo vôi răng
Khi đã hoàn tất việc kiểm tra răng miệng và bệnh nhân đồng ý với phương án mà bác sĩ đưa ra sẽ đến bước cạo vôi răng. Bác sĩ thực hiện kỹ càng, cẩn thận loại bỏ hết các mảng bám tồn đọng trên răng, không tác động vào mô nướu, hạn chế biến chứng có thể xảy đến. Việc cạo vôi răng sẽ thực hiện lần lượt như sau:
Bác sĩ cạo hết các mảng bám ở trên thân răng, cạo vôi răng ở những vị trí này khá đơn giản vì dễ nhìn thấy.
Sau khi cạo hết vôi răng trên thân răng, bác sĩ sẽ tiếp tục loại bỏ mảng bám trong kẽ răng và khu vực răng với nướu. Vôi răng bám lại tại đây chính là nguyên nhân gây ra các bệnh lý như viêm nha chu, viêm nướu. Lấy cao răng ở vị trí này khó khăn hơn, bác sĩ cần nạo sâu xuống mới làm sạch hết được, tốn nhiều thời gian và phải làm thật tỉ mỉ để không gây chảy máu.

Tiến hành cạo vôi răng
Đánh bóng bề mặt răng
Khi hoàn tất việc lấy các mảng bám ra khỏi răng bác sĩ sẽ dùng dụng cụ đánh bóng, thuốc đánh bóng nha khoa giúp cho bề mặt răng trở nên trắng sáng, sạch sẽ hơn. Cách làm này cũng hạn chế tình trạng mảng bám tích tụ ở trên răng. Với bệnh nhân bị viêm nướu bác sĩ sẽ chỉ định điều trị dứt điểm mới được đánh bóng vì thuốc đánh bóng có thể ảnh hưởng đến vùng viêm nhiễm trong khoang miệng.
Quá trình đánh bóng răng không gây ra cảm giác khó chịu hay đau nhức gì trong khoang miệng. Ngược lại, chúng còn cải thiện tính thẩm mỹ của hàm răng, giúp bệnh nhân tự tin hơn khi cười nói. Tại Nha Khoa SV quận 3 cung cấp combo cạo vôi răng - đánh bóng với các bước rõ ràng, nhanh chóng, an toàn cho tất cả khách hàng. Điều này cũng giúp bệnh nhân tiết kiệm chi phí và không mất nhiều thời gian điều trị.
Hoàn thành việc cạo vôi răng
Đánh bóng cho răng xong, bác sĩ cho bệnh nhân súc miệng lại với nước sạch để loại bỏ hết các mảng bám còn tồn đọng bên trong. Cuối cùng, bác sĩ dặn dò và hướng dẫn bạn cách chăm sóc răng miệng đúng cách để ngăn ngừa tình trạng mảng bám tích tụ gây ra nhiều bệnh lý về răng miệng.
Hầu hết nha khoa uy tín sẽ dựa vào quy trình cạo vôi răng theo tình tự này. Nhanh chóng cạo vôi răng ngay để loại bỏ cảm giác khó chịu, hôi miệng và chăm sóc sức khỏe răng miệng hiệu quả.
Nha khoa SV: địa chỉ uy tín cạo vôi răng tại quận 3
Nha khoa SV là một trong những địa chỉ uy tín hàng đầu tại quận 3, chuyên cung cấp dịch vụ cạo vôi răng và chăm sóc sức khỏe răng miệng. Với đội ngũ bác sĩ có chuyên môn cao và nhiều năm kinh nghiệm, Nha khoa SV cam kết mang đến cho khách hàng dịch vụ chất lượng và an toàn nhất.
Tại Nha khoa SV, quy trình cạo vôi răng được thực hiện bài bản và khoa học. Bác sĩ sẽ tiến hành khám tổng quát tình trạng răng miệng trước khi thực hiện cạo vôi, giúp xác định mức độ tích tụ vôi răng và mảng bám. Sử dụng thiết bị hiện đại và công nghệ tiên tiến, quá trình cạo vôi diễn ra nhanh chóng, nhẹ nhàng và không gây đau đớn cho khách hàng. Sau khi hoàn tất, khách hàng sẽ cảm nhận được sự khác biệt rõ rệt với hơi thở thơm mát và răng miệng sạch sẽ.
Ngoài dịch vụ cạo vôi răng, Nha khoa SV còn cung cấp nhiều dịch vụ khác như điều trị sâu răng, trám răng, niềng răng và làm trắng răng. Đặc biệt, chúng tôi luôn chú trọng đến việc tư vấn và giáo dục khách hàng về cách chăm sóc răng miệng đúng cách tại nhà, giúp duy trì sức khỏe răng miệng lâu dài.
Với phương châm “Khách hàng là trung tâm”, Nha khoa SV luôn nỗ lực không ngừng để nâng cao chất lượng dịch vụ và sự hài lòng của khách hàng. Hãy đến với Nha khoa SV để trải nghiệm dịch vụ cạo vôi răng chuyên nghiệp và hiệu quả nhất tại quận 3!

Nha khoa SV: địa chỉ lấy cao răng uy tín tại quận 3
Cách để hạn chế việc hình thành vôi răng bạn cần biết
Để hạn chế việc hình thành vôi răng, bạn có thể áp dụng một số biện pháp đơn giản nhưng hiệu quả sau đây:
- Vệ sinh răng miệng đúng cách: Đánh răng ít nhất hai lần mỗi ngày bằng kem đánh răng có chứa fluoride. Sử dụng bàn chải có lông mềm để không làm tổn thương nướu và giúp loại bỏ mảng bám hiệu quả.
- Sử dụng chỉ nha khoa: Chỉ nha khoa giúp loại bỏ mảng bám và thức ăn thừa giữa các kẽ răng, nơi mà bàn chải không thể với tới. Thực hiện sử dụng chỉ nha khoa ít nhất một lần mỗi ngày.
- Sử dụng nước súc miệng: Nước súc miệng có chứa kháng khuẩn có thể giúp tiêu diệt vi khuẩn gây hại và làm sạch khoang miệng. Chọn sản phẩm có chứa fluoride để tăng cường bảo vệ răng.
- Hạn chế thực phẩm chứa đường: Thực phẩm chứa nhiều đường là nguyên nhân chính gây ra mảng bám và sâu răng. Hạn chế tiêu thụ các loại đồ ngọt, nước ngọt và thực phẩm chế biến sẵn.
- Uống đủ nước: Nước không chỉ giúp giữ ẩm cho khoang miệng mà còn giúp rửa trôi thức ăn thừa và vi khuẩn, giảm nguy cơ hình thành mảng bám.
- Thăm khám nha sĩ định kỳ: Đến nha sĩ kiểm tra và làm sạch răng miệng ít nhất 6 tháng một lần. Nha sĩ sẽ giúp bạn loại bỏ vôi răng và mảng bám cứng đầu mà bạn không thể làm sạch tại nhà.
- Hạn chế thuốc lá và rượu: Hút thuốc và uống rượu không chỉ ảnh hưởng đến sức khỏe răng miệng mà còn làm tăng nguy cơ hình thành vôi răng.
- Ăn nhiều trái cây và rau xanh: Những thực phẩm này không chỉ tốt cho sức khỏe tổng thể mà còn giúp làm sạch răng miệng tự nhiên nhờ vào độ giòn và tính chất tự nhiên của chúng.
Bằng cách thực hiện những biện pháp này, bạn có thể bảo vệ sức khỏe răng miệng, hạn chế tình trạng hình thành vôi răng và duy trì nụ cười tươi sáng!
Chi phí cạo vôi răng tại Nha khoa SV quận 3
Chi phí cạo vôi răng tại Nha khoa SV quận 3 được thiết kế hợp lý, nhằm đảm bảo mọi khách hàng đều có thể tiếp cận dịch vụ chăm sóc sức khỏe răng miệng chất lượng. Giá cạo vôi răng thường dao động từ 400.000 đến 800.000 đồng, tùy thuộc vào mức độ tích tụ vôi răng và mảng bám.
Nha khoa SV cam kết sử dụng công nghệ hiện đại và thiết bị tiên tiến, giúp quy trình cạo vôi diễn ra nhanh chóng và hiệu quả. Đội ngũ bác sĩ giàu kinh nghiệm sẽ tiến hành kiểm tra và tư vấn trước khi thực hiện, đảm bảo khách hàng được phục vụ tốt nhất.
Ngoài dịch vụ cạo vôi răng, Nha khoa SV còn cung cấp nhiều dịch vụ khác như làm sạch răng, điều trị sâu răng và niềng răng với mức giá cạnh tranh. Đặc biệt, chúng tôi thường xuyên có các chương trình khuyến mãi, giúp khách hàng tiết kiệm chi phí trong việc chăm sóc sức khỏe răng miệng. Hãy đến với Nha khoa SV quận 3 để trải nghiệm dịch vụ chuyên nghiệp và hiệu quả nhất!
Tổng kết
Dịch vụ cạo vôi răng tại Nha khoa SV quận 3 không chỉ giúp bạn duy trì sức khỏe răng miệng mà còn mang lại cảm giác thoải mái và tự tin hơn trong cuộc sống hàng ngày. Với đội ngũ bác sĩ chuyên nghiệp và trang thiết bị hiện đại, Nha khoa SV cam kết cung cấp dịch vụ chất lượng cao, đảm bảo an toàn và hiệu quả. Việc cạo vôi răng định kỳ sẽ giúp ngăn ngừa sâu răng, viêm nướu và các vấn đề nha chu khác, từ đó bảo vệ sức khỏe răng miệng lâu dài. Hãy đến với Nha khoa SV để trải nghiệm dịch vụ tận tâm và chuyên nghiệp, đồng thời chăm sóc cho nụ cười của bạn ngày càng rạng rỡ hơn!
>>Xem thêm: Trụ implant Nobel TiUltra: xuất xứ, đặc điểm và chi phí
>>Xem thêm: Trồng răng implant Tekka Pháp tại Nha khoa SV quận 3
>>Xem thêm: Hàm tháo lắp trên Implant là gì? Nha khoa SV quận 3
Nha khoa SV Dental
Địa chỉ: 99 Cao Thắng, Phường 03, Quận 3, TP. Hồ Chí Minh
Hotline: 0933381675 - 02389292525
Email: nhakhoasv@gmail.com
Giờ làm việc:
Thứ 2-Thứ 6: 8h00 – 20h00
Thứ 7: 8h00 – 18h00
Chủ Nhật: 8h00 – 12h00

.png)