Chăm sóc sức khỏe răng miệng là một phần quan trọng trong việc duy trì sức khỏe tổng thể, và phẫu thuật nạo túi nha chu là một trong những phương pháp hiệu quả để điều trị các vấn đề về nướu. Tại Nha Khoa SV đường Cao Thắng, quận 3, chúng tôi tự hào là địa chỉ uy tín trong lĩnh vực phẫu thuật nạo túi nha chu. Với đội ngũ bác sĩ giàu kinh nghiệm, trang thiết bị hiện đại và quy trình điều trị an toàn, chúng tôi cam kết mang đến những dịch vụ chăm sóc nha khoa chất lượng cao nhất cho khách hàng. Đến với chúng tôi, bạn sẽ được tư vấn tận tình và thực hiện các thủ tục điều trị một cách chuyên nghiệp, giúp cải thiện sức khỏe răng miệng và nâng cao chất lượng cuộc sống. Hãy để Nha Khoa SV đường Cao Thắng đồng hành cùng bạn trong hành trình chăm sóc nụ cười!
Nạo túi nha chu là gì?
Nạo túi nha chu là một quy trình điều trị trong nha khoa, nhằm loại bỏ mảng bám, vi khuẩn và mô tế bào bị tổn thương ở vùng nướu quanh răng. Quy trình này thường được thực hiện khi bệnh nhân bị viêm nướu hoặc bệnh nha chu, tình trạng mà nếu không được điều trị kịp thời có thể dẫn đến mất răng.
Trong quá trình nạo túi nha chu, bác sĩ nha khoa sẽ sử dụng các công cụ chuyên dụng để làm sạch các túi nha chu - những khoảng trống giữa nướu và răng, nơi tích tụ mảng bám và vi khuẩn. Mục tiêu của quy trình này là giúp cải thiện sức khỏe nướu và ngăn chặn sự tiến triển của bệnh nha chu.
Sau khi nạo túi nha chu, bệnh nhân có thể cần tuân theo chế độ chăm sóc răng miệng đặc biệt và thăm khám định kỳ để theo dõi tình trạng nướu và răng miệng của mình.

Nạo túi nha chu là một quy trình điều trị trong nha khoa, nhằm loại bỏ mảng bám, vi khuẩn và mô tế bào bị tổn thương ở vùng nướu quanh răng
Vì sao cần nạo túi nha chu
Nạo túi nha chu là một quy trình điều trị quan trọng trong việc chăm sóc sức khỏe răng miệng, đặc biệt là đối với những bệnh nhân mắc bệnh nha chu. Dưới đây là một số lý do vì sao cần tiến hành nạo túi nha chu:
- Loại bỏ mô nhiễm trùng: Túi nha chu hình thành khi vi khuẩn và mảng bám tích tụ ở vùng nướu. Nạo túi giúp loại bỏ các mô bị nhiễm trùng, từ đó giảm thiểu nguy cơ lây lan của vi khuẩn.
- Ngăn ngừa tiêu xương: Bệnh nha chu có thể gây ra tình trạng tiêu xương quanh răng. Khi nạo túi, chúng ta có thể ngăn chặn quá trình này, bảo vệ cấu trúc xương của hàm.
- Cải thiện sức khỏe nướu: Sau khi nạo túi, nướu sẽ có cơ hội phục hồi, trở nên khỏe mạnh hơn và gắn kết tốt hơn với bề mặt răng.
- Giảm tình trạng viêm: Quy trình này giúp giảm viêm nhiễm, làm dịu các triệu chứng như sưng, đau hoặc chảy máu nướu.
- Tăng cường hiệu quả vệ sinh răng miệng: Khi túi nha chu được xử lý, việc vệ sinh răng miệng sẽ dễ dàng hơn, giúp duy trì sức khỏe răng miệng lâu dài.
- Cải thiện thẩm mỹ: Nạo túi cũng có thể cải thiện vẻ ngoài của nướu, giúp cho nụ cười trở nên tự tin và hấp dẫn hơn.
Tóm lại, nạo túi nha chu là một phương pháp cần thiết để điều trị và kiểm soát bệnh nha chu, bảo vệ sức khỏe răng miệng của người bệnh.

Vì sao cần nạo túi nha chu
Nạo túi nha chu được chỉ định khi nào?
Người bệnh được chỉ định nạo túi nha chu khi xuất hiện dấu hiệu sau:
- Mảnh thức ăn liên tục mắc kẹt giữa kẽ răng và gây cảm giác khó chịu.
- Nướu chảy máu khi chịu áp lực cơ học như nhai thức ăn đặc, đánh răng.
- Nướu lỏng và đỏ.
- Khoảng cách giữa nướu và răng ngày càng sâu, chân răng lộ, răng lung lay.
- Việc nhai gây khó chịu hoặc đau.
- Cặn cứng trên men răng hiện rõ.
Nạo túi nha chu rất cần thiết trong điều trị bệnh răng miệng như viêm nướu, viêm nha chu và bệnh đặc trưng bởi tình trạng viêm mô nha chu, mảng bám răng và phì đại túi nướu. Nếu người bệnh gặp vấn đề bất thường ở nha chu hoặc bệnh về răng miệng khác hãy đến gặp bác sĩ của Nha khoa SV quận 3 để được khám, chẩn đoán và đưa ra chỉ định nạo nha chu hiệu quả nhất, không gây đau tùy theo tình trạng mỗi người bệnh.
Nạo túi nha chu có nguy hiểm hay không?
Nạo túi nha chu là một phương pháp điều trị phổ biến nhằm loại bỏ mảng bám và vi khuẩn tích tụ trong túi nha chu, giúp cải thiện sức khỏe nướu và ngăn ngừa các bệnh lý răng miệng. Tuy nhiên, nhiều người vẫn băn khoăn về mức độ an toàn của thủ thuật này.
Thực tế, nạo túi nha chu nếu được thực hiện bởi bác sĩ nha khoa có kinh nghiệm và tại cơ sở uy tín sẽ rất an toàn. Quy trình này thường diễn ra trong điều kiện vô trùng, giúp giảm thiểu nguy cơ nhiễm trùng. Mặc dù có thể gây ra một số cảm giác khó chịu như đau nhẹ, sưng hoặc chảy máu tạm thời, nhưng những triệu chứng này thường sẽ tự biến mất sau vài ngày.
Điều quan trọng là bệnh nhân cần tuân thủ chỉ dẫn chăm sóc sau phẫu thuật để đảm bảo quá trình hồi phục diễn ra thuận lợi. Nếu được thực hiện đúng cách, nạo túi nha chu không chỉ an toàn mà còn mang lại nhiều lợi ích cho sức khỏe răng miệng, giúp bảo vệ nướu và ngăn ngừa các vấn đề nghiêm trọng sau này.

Nạo túi nha chu có nguy hiểm không?
Nạo túi nha chu bao lâu thì lành?
Người bệnh sau khi nạo túi nha chu cần khoảng 1 tháng lành thương. Thực tế, thời gian lành thương khác nhau ở mỗi người bệnh tùy thuộc vào vùng tổn thương, kỹ thuật nạo túi nha chu và việc chăm sóc sau điều trị. Tổng thể, quá trình lành thương sau nạo túi lợi khá phức tạp và trải qua nhiều giai đoạn. Vì vậy, việc chăm sóc và theo dõi sau điều trị rất quan trọng. Người bệnh hãy thực hiện đúng cách chăm sóc vết thương như bác sĩ hướng dẫn để vùng điều trị nhanh lành hơn.
Vì sao nên nạo túi nha chu tại Nha khoa SV quận 3
Nạo túi nha chu là một phương pháp thiết yếu trong việc điều trị các bệnh lý về nướu, và Nha Khoa SV tại quận 3 là địa chỉ lý tưởng để thực hiện thủ thuật này. Dưới đây là một số lý do vì sao bạn nên chọn Nha Khoa SV cho dịch vụ nạo túi nha chu.
1. Đội ngũ bác sĩ chuyên môn cao: Nha Khoa SV quy tụ đội ngũ bác sĩ nha khoa dày dạn kinh nghiệm, được đào tạo bài bản trong lĩnh vực nha chu. Họ không chỉ có kiến thức chuyên môn vững vàng mà còn luôn cập nhật các kỹ thuật tiên tiến, đảm bảo mang đến dịch vụ chất lượng nhất cho bệnh nhân.
2. Trang thiết bị hiện đại: Nha Khoa SV trang bị hệ thống máy móc và công nghệ hiện đại, giúp quy trình nạo túi nha chu diễn ra nhanh chóng, hiệu quả và an toàn. Việc sử dụng công nghệ tiên tiến không chỉ giảm thiểu đau đớn mà còn nâng cao độ chính xác trong quá trình điều trị.
3. Chăm sóc khách hàng tận tình: Tại Nha Khoa SV, bệnh nhân luôn được đón tiếp nồng nhiệt và chăm sóc tận tình. Đội ngũ nhân viên sẵn sàng tư vấn và hỗ trợ bạn trong suốt quá trình điều trị, từ việc chuẩn bị trước phẫu thuật đến hướng dẫn chăm sóc sau khi nạo túi.
4. Cam kết an toàn và hiệu quả: Nha Khoa SV cam kết thực hiện các quy trình điều trị trong môi trường vô trùng, giúp giảm thiểu nguy cơ nhiễm trùng và biến chứng. Đặc biệt, bệnh nhân sẽ được theo dõi sát sao sau phẫu thuật để đảm bảo quá trình hồi phục diễn ra thuận lợi.
Với những lý do trên, Nha Khoa SV quận 3 thật sự là sự lựa chọn thông minh cho những ai đang tìm kiếm dịch vụ nạo túi nha chu an toàn, hiệu quả và chất lượng cao. Hãy đến với chúng tôi để bảo vệ sức khỏe răng miệng của bạn!

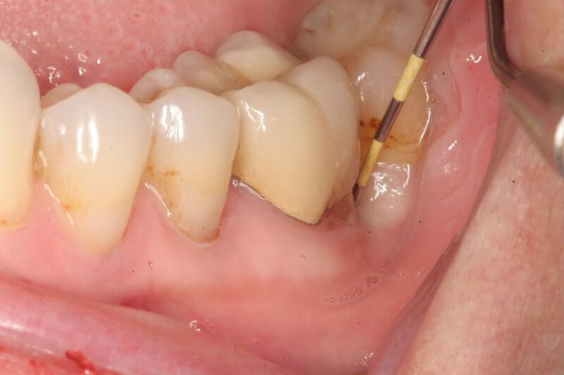
Phẫu thuật nạo túi nha chu tại Nha khoa SV quận 3
Nạo túi nha chu tại Nha khoa SV quận 3 có đau không?
Nạo túi nha chu tại Nha Khoa SV quận 3 thường không gây đau đớn nghiêm trọng. Trước khi thực hiện, bác sĩ sẽ tiêm thuốc tê tại chỗ để giảm cảm giác khó chịu. Trong quá trình nạo, bệnh nhân có thể cảm thấy một chút áp lực hoặc khó chịu, nhưng hầu hết đều có thể chịu đựng được. Sau thủ thuật, có thể xuất hiện đau nhẹ hoặc sưng tạm thời, nhưng những triệu chứng này thường giảm nhanh chóng và có thể được kiểm soát bằng thuốc giảm đau theo chỉ định của bác sĩ.
Quy trình nạo túi nha chu tại Nha khoa SV quận 3
Quy trình nạo túi nha chu chia làm 2 loại thủ thuật tùy theo độ sâu và tình trạng bệnh của mỗi người, bao gồm:
1. Nạo kín túi nha chu
Nạo kín túi nha chu được thực hiện khi độ sâu của túi không quá 5mm. Quy trình nạo túi kín nha chu không cần rạch phẫu thuật ở nướu với các bước sau:
- Bước 1: Bác sĩ chẩn đoán tình trạng nướu, trám răng cho người bệnh.
- Bước 2: Bác sĩ vệ sinh răng miệng cho người bệnh.
- Bước 3: Bác sĩ tiến hành gây tê cục bộ.
- Bước 4: Bác sĩ làm sạch túi nha chu bằng dụng cụ nạo đặc biệt không làm tổn thương mô nướu.
- Bước 5: Bác sĩ dùng bàn chải chuyên khoa đánh bóng chân răng.
Sau lần nạo túi nha chu đầu tiên, tình trạng viêm và chảy máu nướu răng sẽ làm giảm độ sâu của túi. Người bệnh cần nạo kín túi nha chu 6 tháng/lần.
2. Nạo mở túi nha chu
Nạo mở túi nha chu cần được thực hiện bởi bác sĩ nha khoa SV quận 3 có kinh nghiệm thực hiện. Phương pháp này thường dùng khi độ sâu của túi nha chu lớn hơn 5mm. Nạo mở túi nha chu sẽ cần mổ nướu với các bước sau:
- Bước 1: Bác sĩ chẩn đoán tình trạng nướu của người bệnh.
- Bước 2: Bác sĩ vệ sinh răng miệng.
- Bước 3: Bác sĩ gây tê tại chỗ.
- Bước 4: Bác sĩ rạch và bóc tách nướu để quan sát rõ hơn ổ viêm và có thể tiếp cận túi nha chu.
- Bước 5: Bác sĩ làm sạch túi nha chu bằng công cụ đặc biệt.
- Bước 6: Bác sĩ thêm vào vật liệu tạo xương.
- Bước 7: Bác sĩ may lại nướu răng.
Chi phí phẫu thuật nạo túi nha chu tại Nha khoa SV quận 3
Chi phí phẫu thuật nạo túi nha chu tại Nha Khoa SV quận 3 thường dao động tùy thuộc vào mức độ nghiêm trọng của bệnh lý và số lượng túi nha chu cần điều trị. Thông thường, mức giá được niêm yết công khai và rất cạnh tranh dao động từ 10.000.000-17.000.000 tuỳ vào 1 hàm hay 2 hàm, giúp bệnh nhân dễ dàng tìm hiểu trước khi quyết định. Nha Khoa SV cam kết cung cấp dịch vụ chất lượng với chi phí hợp lý, đồng thời tư vấn chi tiết về giá cả và các phương pháp điều trị. Bên cạnh đó, trung tâm cũng tạo điều kiện hỗ trợ tài chính cho bệnh nhân, giúp họ an tâm hơn trong quá trình điều trị. Đến với Nha Khoa SV quận 3, bạn sẽ nhận được sự chăm sóc tận tình và chuyên nghiệp trong từng dịch vụ.
Tổng kết
Phẫu thuật nạo túi nha chu tại Nha Khoa SV quận 3 là một giải pháp hiệu quả để điều trị các vấn đề liên quan đến nướu và bảo vệ sức khỏe răng miệng. Với đội ngũ bác sĩ chuyên môn cao, trang thiết bị hiện đại và quy trình chăm sóc tận tình, khách hàng sẽ được trải nghiệm dịch vụ chất lượng nhất. Quy trình nạo túi không chỉ giúp loại bỏ mảng bám và vi khuẩn mà còn ngăn ngừa các bệnh lý nghiêm trọng sau này. Đến với Nha Khoa SV, bạn không chỉ được điều trị hiệu quả mà còn nhận được sự tư vấn chu đáo và hỗ trợ tài chính hợp lý. Hãy để chúng tôi đồng hành cùng bạn trong hành trình chăm sóc sức khỏe răng miệng!
>>Xem thêm: Nhận biết và điều trị viêm lợi trùm tại Nha khoa SV quận 3
>>Xem thêm: Răng sứ Lava Esthetic là gì? Nha khoa SV đường Cao Thắng, Q3
>>Xem thêm: Trụ implant Nobel TiUltra: xuất xứ, đặc điểm và chi phí
Nha khoa SV Dental
Địa chỉ: 99 Cao Thắng, Phường 03, Quận 3, TP. Hồ Chí Minh
Hotline: 0933381675 - 02389292525
Email: nhakhoasv@gmail.com
Giờ làm việc:
Thứ 2-Thứ 6: 8h00 – 20h00
Thứ 7: 8h00 – 18h00
Chủ Nhật: 8h00 – 12h00

.png)