Mặt dán sứ Veneer đã trở thành một trong những lựa chọn thẩm mỹ phổ biến trong nha khoa hiện đại, đặc biệt tại Nha khoa SV quận 3. Với khả năng cải thiện đáng kể vẻ ngoài của răng, Veneer giúp khắc phục các vấn đề như răng xỉn màu, lệch lạc hay có hình dáng không hoàn hảo. Ưu điểm nổi bật của mặt dán sứ Veneer là tính thẩm mỹ cao, tạo ra nụ cười tự nhiên và rạng rỡ, đồng thời có độ bền và khả năng chống ố màu tốt. Tuy nhiên, bên cạnh những lợi ích này, cũng cần lưu ý đến một số nhược điểm như chi phí thực hiện tương đối cao và yêu cầu về sự chăm sóc đúng cách để duy trì độ bền. Nha khoa SV quận 3 tự hào là đơn vị chuyên cung cấp dịch vụ dán sứ Veneer với chất lượng cao, cam kết mang đến cho khách hàng những trải nghiệm thẩm mỹ hoàn hảo và an toàn. Hãy cùng tìm hiểu sâu hơn về những ưu điểm và nhược điểm của phương pháp này trong bài viết dưới đây.
Mặt dán sứ Veneer là gì?
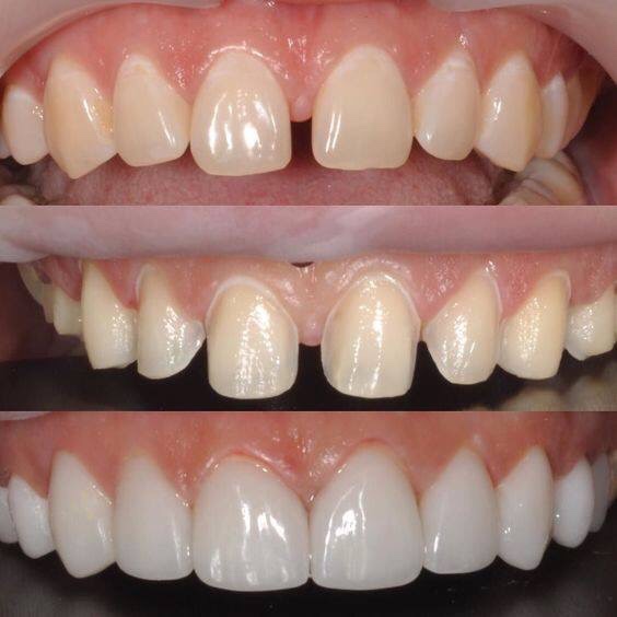
Mặt dán sứ Veneer là một phương pháp thẩm mỹ nha khoa hiện đại, được sử dụng để cải thiện hình dáng, màu sắc và độ thẩm mỹ của răng. Đây là một lớp mỏng được làm từ sứ cao cấp, có độ dày khoảng 0.5 đến 1 mm, được chế tác riêng biệt để phù hợp với từng bệnh nhân. Mục tiêu chính của mặt dán sứ Veneer là khắc phục các khuyết điểm trên răng, từ đó mang lại nụ cười tự tin và cuốn hút hơn.
Quá trình thực hiện dán sứ Veneer thường bao gồm vài bước cơ bản. Đầu tiên, bác sĩ nha khoa sẽ tiến hành khám và đánh giá tình trạng răng miệng của bệnh nhân. Sau đó, họ sẽ lấy dấu hàm và lên kế hoạch thiết kế Veneer phù hợp với nhu cầu và mong muốn của từng cá nhân. Sau khi Veneer được chế tạo tại phòng lab, bác sĩ sẽ tiến hành lắp đặt dán sứ Veneer lên bề mặt răng. Quá trình này đòi hỏi sự chính xác cao, nhằm đảm bảo mặt dán vừa khít và bền vững.

Hình ảnh giới thiệu về dán sứ Veneer
Ưu điểm của dán sứ Veneer
Dán sứ Veneer là một trong những phương pháp thẩm mỹ răng miệng phổ biến, được ưa chuộng bởi nhiều người muốn cải thiện nụ cười của mình. Được làm từ vật liệu sứ cao cấp, Veneer không chỉ mang lại vẻ đẹp tự nhiên mà còn sở hữu nhiều ưu điểm vượt trội. Dưới đây là một số lợi ích nổi bật của việc dán sứ Veneer.
1. Tính thẩm mỹ cao
Một trong những ưu điểm lớn nhất của dán sứ Veneer là khả năng tạo ra nụ cười hoàn hảo. Veneer được thiết kế để phù hợp với hình dáng và màu sắc tự nhiên của răng, giúp cải thiện đáng kể vẻ ngoài. Với độ bóng và màu sắc giống như răng thật, Veneer mang lại sự tự tin cho người sử dụng khi giao tiếp và tạo ấn tượng tốt hơn.

Dán sứ Veneer có tính thẩm mỹ cao
2. Khắc phục các khuyết điểm răng miệng
Dán sứ Veneer có khả năng khắc phục nhiều vấn đề về răng, từ răng xỉn màu, răng lệch lạc cho đến các răng có hình dạng không hoàn hảo. Phương pháp này giúp làm đều màu răng, che giấu các vết nứt, mẻ hoặc khoảng trống giữa các răng. Nhờ đó, bạn có thể sở hữu một hàm răng đều đẹp mà không cần phải trải qua các quy trình chỉnh nha phức tạp.
3. Độ bền và khả năng chống ố màu
Veneer được làm từ sứ chất lượng cao, có độ bền vượt trội. Nếu được chăm sóc đúng cách, Veneer có thể tồn tại từ 10 đến 15 năm hoặc lâu hơn. Ngoài ra, vật liệu sứ không bị ố màu như các loại vật liệu khác, giúp duy trì vẻ đẹp tự nhiên theo thời gian. Điều này đặc biệt quan trọng đối với những người thường xuyên tiêu thụ thực phẩm có màu sắc mạnh như cà phê, trà hay rượu vang.
4. Quy trình thực hiện nhanh chóng
Quá trình dán sứ Veneer thường diễn ra nhanh chóng, chỉ cần từ 2 đến 3 lần hẹn trong phòng nha. Trong lần hẹn đầu tiên, bác sĩ sẽ thực hiện các bước như kiểm tra tình trạng răng miệng, lên kế hoạch điều trị và lấy dấu hàm. Sau đó, Veneer sẽ được chế tạo và lắp đặt trong các lần hẹn tiếp theo. Điều này giúp tiết kiệm thời gian cho khách hàng, đặc biệt là những người có lịch trình bận rộn.
5. Ít can thiệp vào răng thật
Khác với những phương pháp phục hình khác, dán sứ Veneer yêu cầu ít can thiệp vào răng thật. Chỉ một lượng nhỏ men răng cần được mài mỏng để tạo diện tích cho Veneer bám dính. Điều này giúp bảo tồn tối đa cấu trúc răng thật, giảm thiểu đau đớn và sự khó chịu cho bệnh nhân.

Mặt dán sứ siêu mỏng, ít can thiệp vào răng thật
6. Dễ dàng chăm sóc
Việc chăm sóc răng miệng sau khi dán sứ Veneer cũng rất đơn giản. Người dùng chỉ cần duy trì thói quen đánh răng và sử dụng chỉ nha khoa hàng ngày như bình thường. Điều này giúp bảo vệ sức khỏe răng miệng và kéo dài tuổi thọ của Veneer.
7. Tăng cường sự tự tin
Cuối cùng, một trong những lợi ích lớn nhất của việc dán sứ Veneer là tăng cường sự tự tin cho người sử dụng. Một nụ cười đẹp không chỉ giúp cải thiện ngoại hình mà còn tạo ra ấn tượng tích cực trong giao tiếp. Điều này có thể ảnh hưởng đến nhiều khía cạnh trong cuộc sống, từ công việc đến các mối quan hệ cá nhân.

Dán sứ Veneer giúp tăng cường sự tự tin cho nụ cười
Nhược điểm của dán sứ Veneer
Mặc dù dán sứ Veneer mang lại nhiều lợi ích thẩm mỹ và cải thiện đáng kể nụ cười của người dùng, nhưng phương pháp này cũng không thiếu những nhược điểm cần được xem xét. Dưới đây là một số nhược điểm chính của dán sứ Veneer mà người tiêu dùng nên cân nhắc trước khi quyết định thực hiện.
1. Chi phí cao
Một trong những nhược điểm lớn nhất của dán sứ Veneer là chi phí thực hiện tương đối cao. So với các phương pháp thẩm mỹ răng miệng khác, Veneer yêu cầu đầu tư tài chính lớn hơn, từ việc chế tạo vật liệu đến quy trình thực hiện chuyên nghiệp. Chi phí này có thể trở thành một rào cản đối với nhiều người, đặc biệt là những ai có ngân sách hạn chế.
2. Quy trình thực hiện phức tạp
Quy trình dán sứ Veneer không chỉ đơn giản mà còn yêu cầu sự chính xác cao. Người thực hiện cần phải có kỹ năng và kinh nghiệm để đảm bảo kết quả thẩm mỹ tốt nhất. Nếu không được thực hiện đúng cách, Veneer có thể không bám dính tốt, dẫn đến việc bị rơi hoặc hỏng hóc trong thời gian ngắn. Điều này có thể gây ra sự bất tiện và tốn kém thêm chi phí sửa chữa.
3. Mài men răng
Quá trình dán sứ Veneer yêu cầu một lượng nhỏ men răng phải được mài đi để tạo không gian cho Veneer bám dính. Điều này có nghĩa là một phần cấu trúc răng thật sẽ bị loại bỏ, điều này có thể gây ra một số lo ngại về sức khỏe răng miệng trong tương lai. Mặc dù việc này thường không gây ra vấn đề ngay lập tức, nhưng có thể dẫn đến tình trạng nhạy cảm hoặc các vấn đề khác nếu không được chăm sóc đúng cách.
4. Không thích hợp cho tất cả các tình huống
Dán sứ Veneer không phải là giải pháp lý tưởng cho mọi trường hợp. Những người có tình trạng răng miệng nghiêm trọng, như sâu răng, nướu viêm hoặc các vấn đề về khớp cắn, có thể không phù hợp để thực hiện phương pháp này. Trong những tình huống như vậy, bác sĩ sẽ khuyên bạn nên điều trị các vấn đề cơ bản trước khi xem xét đến dán sứ Veneer.
5. Khả năng bị hỏng
Mặc dù Veneer được thiết kế để bền và có tuổi thọ cao, nhưng chúng vẫn có thể bị hỏng hoặc nứt nếu không được chăm sóc đúng cách. Các thói quen xấu như nghiến răng, cắn móng tay, hoặc ăn những thực phẩm quá cứng có thể làm giảm độ bền của Veneer. Điều này có thể dẫn đến việc cần phải thay thế Veneer sớm hơn dự kiến, làm tăng chi phí và sự không tiện lợi cho người dùng.
6. Cần chăm sóc đặc biệt
Sau khi thực hiện dán sứ Veneer, người dùng cần phải có thói quen chăm sóc răng miệng đặc biệt để duy trì độ bền và vẻ đẹp của Veneer. Điều này bao gồm việc tránh các thực phẩm có thể gây hại cho bề mặt Veneer, cũng như duy trì thói quen kiểm tra nha khoa định kỳ. Nếu không chăm sóc đúng cách, Veneer có thể mất đi độ bóng và màu sắc tự nhiên theo thời gian.
7. Tâm lý áp lực
Cuối cùng, một số người có thể cảm thấy áp lực tâm lý khi sử dụng dán sứ Veneer. Họ có thể lo lắng về việc duy trì vẻ đẹp của nụ cười, sợ hãi về sự hỏng hóc hoặc lo lắng về cách người khác nhìn nhận. Điều này có thể gây ra cảm giác không thoải mái và ảnh hưởng đến chất lượng cuộc sống.
Nha khoa SV quận 3: địa chỉ dán sứ Veneer uy tín tại quận 3
Trong thời đại ngày nay, việc sở hữu một nụ cười rạng rỡ không chỉ giúp tăng cường sự tự tin mà còn ảnh hưởng đến nhiều khía cạnh trong cuộc sống cá nhân và nghề nghiệp. Dán sứ Veneer đã trở thành một trong những phương pháp thẩm mỹ nha khoa phổ biến, giúp cải thiện hình dáng và màu sắc của răng. Tại quận 3, Nha khoa SV nổi bật như một địa chỉ uy tín cung cấp dịch vụ dán sứ Veneer chất lượng cao.
Tại sao chọn Nha khoa SV quận 3?
Đội ngũ chuyên gia kinh nghiệm
Nha khoa SV tự hào sở hữu đội ngũ bác sĩ nha khoa có chuyên môn cao, giàu kinh nghiệm trong lĩnh vực thẩm mỹ răng miệng. Các bác sĩ tại đây không chỉ được đào tạo bài bản mà còn thường xuyên tham gia các khóa học nâng cao để cập nhật kiến thức và kỹ thuật mới nhất. Điều này đảm bảo rằng khách hàng sẽ nhận được dịch vụ tốt nhất và an toàn nhất.

Nha Khoa SV quận 3: địa chỉ dán sứ Veneer uy tín tại quận 3
Công nghệ hiện đại
Nha khoa SV quận 3 ứng dụng công nghệ tiên tiến trong quá trình dán sứ Veneer. Cơ sở vật chất được trang bị máy móc hiện đại, giúp quy trình thực hiện diễn ra nhanh chóng và hiệu quả. Việc sử dụng công nghệ 3D trong thiết kế Veneer giúp tạo ra sản phẩm chính xác, vừa vặn với từng bệnh nhân, mang lại kết quả thẩm mỹ cao nhất.
Quy trình dán sứ chuyên nghiệp
Quy trình dán sứ Veneer tại Nha khoa SV được thực hiện theo các bước rõ ràng và chuyên nghiệp. Đầu tiên, bác sĩ sẽ khám và đánh giá tình trạng răng miệng của bệnh nhân. Sau đó, họ sẽ tư vấn về các lựa chọn phù hợp và lấy dấu hàm để thiết kế Veneer. Khi Veneer đã được chế tác hoàn tất, bác sĩ sẽ lắp đặt và điều chỉnh để đảm bảo tính thẩm mỹ và sự thoải mái cho bệnh nhân.
Vật liệu chất lượng cao
Nha khoa SV cam kết sử dụng vật liệu sứ cao cấp, đảm bảo độ bền và tính thẩm mỹ. Vật liệu này không chỉ có màu sắc tự nhiên giống như răng thật mà còn có khả năng chống ố màu, giúp duy trì vẻ đẹp lâu dài. Điều này giúp bệnh nhân yên tâm hơn khi sử dụng dịch vụ dán sứ Veneer tại đây.
Chăm sóc khách hàng tận tâm
Tại Nha khoa SV, khách hàng không chỉ được phục vụ bằng các dịch vụ chất lượng mà còn nhận được sự quan tâm và chăm sóc tận tình từ đội ngũ nhân viên. Từ khâu tư vấn, điều trị cho đến chăm sóc sau điều trị, khách hàng luôn được hỗ trợ và giải đáp mọi thắc mắc. Điều này tạo ra một môi trường thoải mái và thân thiện, giúp bệnh nhân cảm thấy an tâm hơn trong quá trình điều trị.
Quy trình dán sứ Veneer tại Nha khoa SV quận 3
Dán sứ Veneer là một phương pháp thẩm mỹ nha khoa hiện đại, giúp cải thiện đáng kể vẻ ngoài của răng, mang lại nụ cười tự tin và cuốn hút. Tại Nha khoa SV quận 3, quy trình dán sứ Veneer được thực hiện một cách chuyên nghiệp và bài bản, đảm bảo mang đến kết quả tối ưu cho khách hàng. Dưới đây là chi tiết quy trình dán sứ Veneer tại Nha khoa SV.
Bước 1: Khám và tư vấn
Quy trình bắt đầu bằng việc khách hàng đến khám và tư vấn tại Nha khoa SV. Bác sĩ nha khoa sẽ tiến hành kiểm tra tình trạng răng miệng của bệnh nhân, xác định các vấn đề cần khắc phục và tư vấn về các lựa chọn phù hợp. Trong bước này, bác sĩ sẽ giải thích rõ ràng về quy trình dán sứ Veneer, các lợi ích và nhược điểm của phương pháp, giúp khách hàng có cái nhìn tổng quan và đưa ra quyết định chính xác.
Bước 2: Chuẩn bị và lấy dấu hàm
Sau khi khách hàng quyết định thực hiện dán sứ Veneer, bác sĩ sẽ tiến hành lấy dấu hàm để tạo ra Veneer phù hợp. Trong bước này, bác sĩ sẽ sử dụng vật liệu lấy dấu chuyên dụng để tạo hình dạng chính xác của răng. Quá trình này không gây đau đớn và giúp đảm bảo rằng Veneer sẽ vừa vặn với răng thật của bệnh nhân.
Bước 3: Thiết kế Veneer
Sau khi có dấu hàm, Nha khoa SV sẽ gửi thông tin đến phòng lab để chế tạo Veneer. Tại đây, các kỹ thuật viên sẽ thiết kế Veneer dựa trên thông số đã lấy, đảm bảo độ chính xác và tính thẩm mỹ cao. Quá trình này thường mất từ 1 đến 2 tuần, trong thời gian chờ, bác sĩ sẽ hướng dẫn khách hàng cách chăm sóc răng miệng để đảm bảo sức khỏe răng miệng tốt nhất.
Bước 4: Mài men răng
Khi Veneer đã được chế tạo hoàn tất, khách hàng sẽ quay lại Nha khoa SV để tiến hành lắp đặt. Bác sĩ sẽ tiến hành mài một lớp mỏng men răng để tạo không gian cho Veneer bám dính. Việc này được thực hiện rất cẩn thận để không làm tổn thương đến cấu trúc răng thật. Mài men răng chỉ cần một lượng nhỏ, nhằm bảo tồn tối đa răng thật của bệnh nhân.
Bước 5: Lắp Đặt Veneer
Sau khi đã mài men răng, bác sĩ sẽ kiểm tra và điều chỉnh Veneer để đảm bảo sự vừa vặn và tính thẩm mỹ. Khi mọi thứ đã hoàn hảo, bác sĩ sẽ sử dụng keo chuyên dụng để gắn Veneer lên bề mặt răng. Quy trình này đòi hỏi sự chính xác và khéo léo, nhằm đảm bảo Veneer bám chắc và không bị rơi ra trong quá trình sử dụng.
Bước 6: Kiểm tra và điều chỉnh
Sau khi lắp đặt, bác sĩ sẽ kiểm tra lại tình trạng của Veneer và thực hiện các điều chỉnh cần thiết. Khách hàng sẽ được yêu cầu cắn và nhai một số thực phẩm nhẹ để đảm bảo rằng Veneer không gây khó chịu hoặc cản trở trong quá trình ăn uống. Nếu cần thiết, bác sĩ sẽ điều chỉnh vị trí hoặc hình dạng của Veneer cho phù hợp hơn.
Bước 7: Hướng dẫn chăm sóc
Cuối cùng, bác sĩ sẽ hướng dẫn khách hàng cách chăm sóc răng miệng sau khi dán sứ Veneer. Điều này bao gồm việc duy trì thói quen đánh răng hàng ngày, sử dụng chỉ nha khoa và tránh các thực phẩm có khả năng gây hại cho bề mặt Veneer. Khách hàng cũng được khuyến cáo thăm khám định kỳ để đảm bảo sức khỏe răng miệng và kiểm tra tình trạng của Veneer.
Những lưu ý khi dán sứ Veneer
Dù dán sứ Veneer mang lại nhiều lợi ích, nhưng bạn cũng cần lưu ý một số điều sau để đạt được kết quả tốt nhất:
- Chọn địa chỉ uy tín: hãy chọn những cơ sở nha khoa có uy tín và đội ngũ bác sĩ có kinh nghiệm để đảm bảo an toàn và hiệu quả.
- Chăm sóc răng miệng đúng cách: sau khi dán Veneer, hãy duy trì thói quen chăm sóc răng miệng đúng cách để bảo vệ sức khỏe răng miệng và kéo dài tuổi thọ của Veneer.
- Thăm khám định kỳ: định kỳ thăm khám nha khoa sẽ giúp phát hiện sớm các vấn đề có thể xảy ra, từ đó có biện pháp khắc phục kịp thời.
Kết luận
Nha khoa SV quận 3 là địa chỉ dán sứ Veneer uy tín, cung cấp dịch vụ chất lượng cao với đội ngũ bác sĩ chuyên nghiệp và công nghệ hiện đại. Nếu bạn đang tìm kiếm một giải pháp thẩm mỹ cho nụ cười của mình, hãy đến với Nha khoa SV để được tư vấn và trải nghiệm dịch vụ tốt nhất. Đừng để nụ cười của bạn bị hạn chế bởi các khuyết điểm trên răng, hãy để Nha khoa SV giúp bạn tỏa sáng với nụ cười hoàn hảo!
>>Xem thêm: Hàm giả tháo lắp-Ưu điểm và nhược điểm: Nha khoa quận 3
>>Xem thêm: Khi mang thai bị sâu răng thì phải làm sao? Nha khoa SV
>>Xem thêm: Có nên nhổ răng số 7 hay không? Nha khoa SV quận 3 Cao Thắng
Nha khoa SV Quận 3
Địa chỉ: 99 Cao Thắng, Phường 03, Quận 3, TP. Hồ Chí Minh
Hotline: 0933381675 - 02389292525
Email: nhakhoasv@gmail.com
Giờ làm việc:
Thứ 2-Thứ 6: 8h00 – 20h00
Thứ 7: 8h00 – 18h00
Chủ Nhật: 8h00 – 12h00

.png)