Ưu và nhược điểm của dán sứ Veneer mà bạn nên biết ?

Mặt dán sứ veneer là một phương pháp thẩm mỹ răng được nhiều người ưa chuộng, bởi vừa có thể sở hữu nụ cười rạng rỡ, vừa bảo tồn được răng tự nhiên, không xâm lấn. Tuy vậy, với những ai lần đầu biết đến đều khá lăn tăn ưu, nhược điểm của dán sứ Veneer là gì? Để biết được phương pháp này có phù hợp với tình trạng răng của bạn hay không, hãy cùng NHA KHOA SV, Quận 3 tìm hiểu qua bài viết dưới đây!
1. Đặc điểm của dán sứ Veneer
Hiện nay, mặt dán sứ Veneer được sử dụng phổ biến hơn trong phục hình thẩm mỹ răng, bởi có các ưu điểm nổi bật như sau:
1.1. Tính thẩm mỹ cao
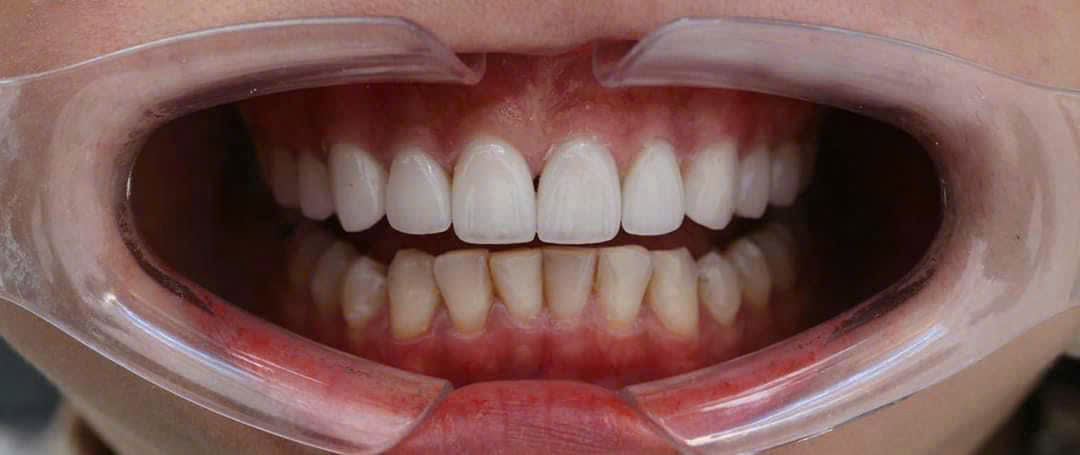
Mặt dán răng sứ Veneer có độ trong cao và màu sắc tương tự ngà răng. Chính vì vậy, nhiều người đánh giá cao ưu điểm của dán sứ Veneer có thể khắc phục tốt các khuyết điểm về răng, cho nụ cười mới đẹp, trắng sáng mà vẫn giữ được sự tự nhiên, khó nhận biết bằng mắt thường.
1.2. Hạn chế mài răng
Nếu các phương pháp chụp sứ toàn phần buộc phải mài răng, thì Veneer sứ thường chỉ dán mặt bên ngoài răng nên giảm thiểu tối đa tình trạng xâm lấn răng thật. Trường hợp cần phải mài, Bác sĩ sẽ tính toán tỷ lệ mài răng chính xác, hạn chế tổn hại mô răng thật và không ảnh hưởng đến các chức năng của răng.

1.3. Ăn nhai rất thoải mái
Ưu điểm của dán sứ Veneer tiếp theo là Khách hàng có thể ăn nhai và sinh hoạt bình thường mà không có cảm giác bị cộm hay vướng víu. Bởi mặt sứ Veneer có kích thước siêu mỏng (chỉ từ 0.3 – 0.5mm), nên sau khi dán sẽ hoàn toàn khít sát với răng thật, cho khả năng ăn nhai tốt và tránh tình trạng bị bong mặt dán.
1.4. Đảm bảo độ bền cao
Tuổi thọ trung bình của răng sứ Veneer là từ 8 – 10 năm. Tuy nhiên, nếu kỹ thuật dán sứ của Bác sĩ vững vàng kết hợp với chế độ chăm sóc răng miệng đúng cách, thì mặt dán có thể sử dụng lâu hơn.
1.5. Không đau, không ê buốt
Trong quá trình tìm hiểu ưu, nhược điểm của dán sứ Veneer, nhiều Khách hàng đánh giá cao kỹ thuật này không gây đau đớn hoặc bất kỳ cảm giác ê buốt, khó chịu nào. Điều này là nhờ dán sứ Veneer chỉ mài một lớp mỏng ở mặt ngoài răng với tỷ lệ rất ít, không lấn vào mô răng hay tác động tới tủy.
2. Nhược điểm của dán răng sứ
Với những lợi ích vượt trội kể trên, phương pháp dán sứ Veneer ngày càng phổ biến và được nhiều người ưa chuộng. Song, để đảm bảo tính hiệu quả và an toàn, mỗi người cần nắm rõ ưu, nhược điểm của dán sứ Veneer:

2.1. Không áp dụng cho tất cả trường hợp
Một trong những nhược điểm của dán răng sứ Veneer là hạn chế về đối tượng sử dụng. Do kỹ thuật thực hiện không hoặc rất ít mài mặt ngoài răng, mà chỉ thay đổi về dáng răng, màu sắc. Chính vì thế, nếu tình trạng răng thưa, lệch lạc, sứt mẻ… quá nặng thì không nên dán sứ, vì khó đạt được hiệu quả phục hình răng tối ưu.
2.2. Kỹ thuật thực hiện phức tạp
Dán Veneer là một kỹ thuật đòi hỏi Bác sĩ thực hiện phải có tay nghề cao và giàu kinh nghiệm. Bởi ngoài việc lên phác đồ điều trị chuẩn xác, trong quá trình thực hiện Bác sĩ phải cẩn thận và tỉ mỉ từng thao tác. Bởi chỉ cần một sai lệch nhỏ, miếng dán sứ Veneer sẽ lỏng lẻo, mất thẩm mỹ và dễ rơi ra ngoài sau một thời gian ngắn.

2.3. Chi phí tương đối cao
Mặc dù đã biết được ưu, nhược điểm của dán sứ Veneer, nhưng một số khách hàng vẫn khá e ngại về chi phí. Sở dĩ mặt dán sứ Veneer có chi phí tương đối cao là do được chế tác bởi chất liệu sứ cao cấp, trải qua nhiều công đoạn, kỹ thuật tỉ mỉ và đòi hỏi nhiều yếu tố từ tay nghề Bác sĩ đến sự hỗ trợ của thiết bị hiện đại. Tất cả điều này nhằm mang đến vẻ đẹp tự nhiên, chân thật và độ bền cao, an toàn cho khách hàng sau khi dán sứ Veneer.
Trên đây là những thông tin về ưu, nhược điểm của dán sứ Veneer. Có thể nói, đây là kỹ thuật điều trị chuyên sâu và hiện đại, rất phù hợp để cải thiện các khiếm khuyết cho hàm răng bị ố vàng, xỉn màu, thưa thớt, nứt, mẻ do chấn thương nhưng chưa ảnh hưởng đến tủy răng… Để có kết quả toàn diện về thẩm mỹ lẫn kỹ thuật, bạn cần cân nhắc lựa chọn Bác sĩ và địa chỉ nha khoa uy tín trước khi dán răng sứ Veneer.

Nổi bật trên thị trường hiện nay, Nha khoa SV, Quận 3 tự hào là địa chỉ dán sứ Veneer uy tín tại TP. HCM được hàng ngàn khách hàng tin chọn. Tại NHA KHOA SV, Quận 3, việc điều trị được thực hiện bởi đội ngũ Bác sĩ phục hình thẩm mỹ chuyên sâu, giàu kinh nghiệm, tính toán và dán mặt sứ cẩn thận. Cùng với đó, NHA KHOA SV, Quận 3 còn kết hợp ứng dụng công nghệ số Smile Design, nhằm thiết kế hình dáng răng, đường cười và các thông số thẩm mỹ nụ cười phù hợp với tổng thể từng khuôn mặt.
Không chỉ vậy, chất liệu sứ mà NHA KHOA SV, Quận 3 sử dụng hoàn toàn là sứ Emax, được sản được sản xuất bởi công ty Ivoclar Vivadent (một trong những công ty về nha khoa hàng đầu thế giới). Nhờ đó, mặt dán sứ Veneer cho độ phản quang tốt, độ trong mờ lớn, mang đến màu sắc chân thật và có độ bền cao, dễ dàng tương thích.

Minh chứng rõ nhất như trường hợp của chị Thanh Trúc, là nhân viên văn phòng thường xuyên phải tiếp xúc với mọi người nhưng chị lại rất ngại cười, thiếu tự tin vì “răng cửa bị thưa”. Sau khi tìm hiểu các phương pháp khắc phục và tìm đến NHA KHOA SV, Quận 3 , chị quyết định điều trị Veneer sứ để sở hữu nụ cười tự tin, trẻ trung và rạng ngời.
Thật bất ngờ, sau khi điều trị, chị HẠNH đã có nụ cười trắng sáng với hàm răng thẳng đều, màu sắc phù hợp với nước da tự nhiên. Giờ đây, chị hoàn toàn “lột xác” từ một người e dè trở thành cô gái tự tin, xinh đẹp, luôn nở nụ cười rạng rỡ trên môi.

Ngay hôm nay, đừng ngần ngại liên hệ đến Hotline : 0933.381.675 , để NHA KHOA SV, Quận 3 chăm chút và tô điểm vẻ ngoài thêm phần tỏa sáng cho bạn!
Nha khoa SV
Địa chỉ: 99 Cao Thắng, Phường 03, Quận 3, TP. Hồ Chí Minh
Hotline: 0933381675 - 02389292525
Email: nhakhoasv@gmail.com
Website: nhakhoasv.vn/
Giờ làm việc:
Thứ 2-Thứ 6: 8h00 – 20h00
Thứ 7: 8h00 – 18h00
Chủ Nhật: 8h00 – 12h00