Trong lĩnh vực nha khoa, trụ implant là một giải pháp phổ biến để phục hồi răng đã mất. Tuy nhiên, không phải lúc nào quá trình cấy ghép cũng diễn ra suôn sẻ. Trụ implant có thể bị đào thải, dẫn đến các vấn đề nghiêm trọng cho sức khỏe răng miệng. Nhận biết sớm các dấu hiệu của sự đào thải và hiểu cách khắc phục là điều vô cùng quan trọng để bảo vệ sức khỏe răng miệng và duy trì chức năng ăn nhai. Bài viết này sẽ cung cấp thông tin chi tiết về những dấu hiệu nhận biết trụ implant bị đào thải, cùng với các biện pháp khắc phục hiệu quả, giúp bạn có cái nhìn toàn diện và ứng phó kịp thời với tình huống này.
Trụ implant bị đào thải là gì?
Sau khi thực hiện cấy trụ implant thành công, cần khoảng 3 đến 6 tháng để xác minh mức độ tích hợp của trụ với xương hàm. Đa số các ca phẫu thuật cấy ghép implant đều có kết quả thuận lợi. Nhưng vẫn có xác suất không thành công, xương hàm và trụ implant không có hoặc mất đi khả năng gắn kết. Trường hợp này gọi là đào thải trụ implant. Đào thải trụ implant rất nguy hiểm, tình trạng này có thể xuất hiện trong quá trình cấy ghép implant, giai đoạn phục hồi hay ngay khi đã kết thúc quá trình điều trị. Nếu không nhận diện sớm có biện pháp xử lý kịp thời, thì sẽ rất khó khắc phục và phát sinh nhiều chi phí tốn kém hơn.

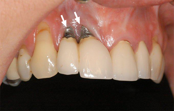
Hình ảnh giới thiệu về tình trạng răng implant bị đào thải
Dấu hiệu nhận biết trụ implant bị đào thải
Trụ implant lung lay và không vững chắc
Một trong những dấu hiệu đầu tiên cho thấy trụ implant có khả năng bị đào thải là sự lung lay hoặc không vững chắc. Khi trụ implant không còn gắn chặt vào xương hàm, bạn có thể cảm thấy trụ này di chuyển nhẹ nhàng khi nhai hoặc cắn. Sự lung lay này thường xuất hiện do nhiều nguyên nhân, bao gồm việc xương hàm không đủ chất lượng hoặc khối lượng để hỗ trợ trụ, hoặc do kỹ thuật cấy ghép không đúng cách. Nếu không được xử lý kịp thời, tình trạng này có thể dẫn đến việc trụ implant hoàn toàn bị đào thải, gây ảnh hưởng nghiêm trọng đến sức khỏe răng miệng và chức năng ăn nhai.
Trụ implant trồi lên
Một dấu hiệu cảnh báo nghiêm trọng khác là hiện tượng trụ implant trồi lên khỏi vị trí cấy ghép ban đầu. Khi bạn nhận thấy trụ implant có dấu hiệu di chuyển ra ngoài, điều này có thể chỉ ra rằng xương hàm xung quanh đang yếu đi, có thể do tình trạng tiêu xương hoặc áp lực không đều từ quá trình nhai. Trụ implant trồi lên không chỉ gây mất thẩm mỹ mà còn có thể dẫn đến các biến chứng khác, bao gồm viêm nhiễm. Việc phát hiện sớm hiện tượng này là cần thiết để có thể can thiệp kịp thời, tránh tình trạng nghiêm trọng hơn.

Hình ảnh trụ implant trồi lên
Sưng đau và viêm nhiễm vị trí cấy ghép
Cuối cùng, sưng đau và viêm nhiễm tại vị trí cấy ghép là dấu hiệu không thể bỏ qua. Nếu bạn cảm thấy đau nhức kéo dài, kèm theo sưng tấy hoặc mưng mủ, điều này cho thấy có thể đã xảy ra nhiễm trùng. Viêm nhiễm không chỉ gây khó chịu mà còn có thể dẫn đến sự đào thải của trụ implant nếu không được chữa trị kịp thời. Trong trường hợp này, việc thăm khám bác sĩ nha khoa là rất quan trọng để xác định nguyên nhân và có biện pháp điều trị thích hợp. Việc theo dõi tình trạng implant sẽ giúp bảo vệ sức khỏe răng miệng và tăng khả năng thành công của quá trình cấy ghép. Chăm sóc đúng cách và phát hiện sớm sẽ giúp bạn duy trì sức khỏe răng miệng lâu dài.

Sưng đau và viêm nhiễm vị trí cấy ghép
Nguyên nhân dẫn đến tình trạng trụ implant bị đào thải
Dùng trụ implant kém chất lượng
Một trong những nguyên nhân chính dẫn đến tình trạng trụ implant bị đào thải là việc sử dụng các trụ implant trôi nổi hoặc kém chất lượng. Những sản phẩm này thường không đáp ứng đủ tiêu chuẩn về vật liệu và thiết kế, dẫn đến khả năng tích hợp với xương hàm kém. Trụ implant chất lượng thấp có thể dễ bị ăn mòn hoặc gãy, gây ra sự lỏng lẻo trong quá trình sử dụng. Do đó, việc chọn lựa nhà cung cấp uy tín và sản phẩm chất lượng là rất quan trọng để đảm bảo sự thành công của quá trình cấy ghép.

Dùng trụ implant kém chất lượng dễ dẫn đến tình trạng trụ implant bị đào thải
Bác sĩ thực hiện thiếu kinh nghiệm
Ngoài chất lượng của trụ implant, trình độ và kinh nghiệm của bác sĩ thực hiện cấy ghép cũng đóng vai trò quan trọng. Một bác sĩ nha khoa thiếu kinh nghiệm có thể không thực hiện đúng kỹ thuật, dẫn đến việc cấy ghép không đạt yêu cầu. Sai sót trong quá trình phẫu thuật như không xác định đúng vị trí cấy ghép hoặc không đảm bảo vệ sinh có thể gây ra các biến chứng nghiêm trọng. Việc chọn lựa bác sĩ có chuyên môn cao và nhiều năm kinh nghiệm sẽ giúp giảm thiểu rủi ro và tăng khả năng thành công của trụ implant.
Tình trạng xương hàm quá yếu
Tình trạng xương hàm của bệnh nhân cũng là một yếu tố quyết định đến sự thành công của implant. Nếu xương hàm quá yếu hoặc không đủ khối lượng, trụ implant sẽ không có đủ sự hỗ trợ cần thiết để duy trì ổn định. Các tình trạng như tiêu xương hoặc mất xương do bệnh lý có thể ảnh hưởng trực tiếp đến khả năng tích hợp của trụ. Trước khi tiến hành cấy ghép, bác sĩ cần đánh giá tình trạng xương hàm và có thể đề xuất các biện pháp như ghép xương nếu cần thiết.

Tình trạng xương hàm của bệnh nhân cũng là một yếu tố quyết định đến sự thành công của implant.
Bệnh nhân không thực hiện chăm sóc đúng cách sau khi trồng răng implant
Sau khi cấy ghép, bệnh nhân được yêu cầu thực hiện nghiêm ngặt chế độ chăm sóc, vệ sinh, bảo vệ răng implant. Tuy nhiên, một số người lại có chế độ ăn những thực phẩm quá cứng, vệ sinh kém khoa học dẫn đến những dấu hiệu trụ implant bị đào thải rất rõ ràng.
Ngoài ra, nếu bạn hay dùng tay lắc kiểm tra độ vững chắc của implant hoặc có thói quen vận động mạnh hay không cẩn thận làm va chạm mạnh cũng có thể ảnh hưởng đến sự tích hợp của implant và xương hàm.
Bệnh nhân dị ứng với trụ implant
Titanium – thành phần cấu thanh của mọi loại trụ implant có thể gây ra dị ứng với cơ địa của một số người . Mặc dù các nghiên cứu chứng minh Titanium là kim loại có khả năng tương hợp sinh học với cơ thể cao, nhưng vẫn có một số rất ít trường hợp cơ thể không thể thích nghi với loại này.
Cần làm gì sau khi gặp tình trạng răng implant bị đào thải?
Khi bạn phát hiện ra rằng răng implant bị đào thải, việc đầu tiên và quan trọng nhất là cần phải thực hiện các bước dưới đây để xử lý tình huống một cách hiệu quả:
- Thăm khám ngay lập tức:
Đừng chần chừ, hãy đến gặp bác sĩ nha khoa hoặc chuyên gia về implant. Họ sẽ đánh giá tình trạng của bạn và xác định nguyên nhân gây ra sự đào thải.
- Xác định nguyên nhân:
Có thể có nhiều nguyên nhân dẫn đến tình trạng này như nhiễm trùng, thiếu xương, hoặc kỹ thuật cấy ghép không đúng. Hiểu rõ nguyên nhân sẽ giúp bạn chọn lựa phương pháp điều trị phù hợp.
- Chẩn đoán hình ảnh:
Bác sĩ có thể yêu cầu chụp X-quang hoặc CT để xem xét tình trạng xương và mô mềm quanh implant. Điều này giúp lên kế hoạch điều trị chính xác hơn.
- Điều trị nhiễm trùng (nếu có):
Nếu có dấu hiệu nhiễm trùng, bác sĩ sẽ chỉ định sử dụng kháng sinh và hướng dẫn cách chăm sóc vệ sinh miệng tốt hơn để ngăn chặn tình trạng này tái diễn.
- Cân nhắc tháo bỏ implant:
Trong một số trường hợp, nếu implant đã bị hư hại nghiêm trọng, bác sĩ có thể đề nghị tháo bỏ implant cũ để tránh ảnh hưởng đến các răng khác.
- Đánh giá lại kế hoạch cấy ghép:
Khi tình trạng sức khỏe miệng đã ổn định, bác sĩ sẽ giúp bạn lập kế hoạch mới cho quá trình cấy ghép implant mới, bao gồm kiểm tra mức độ xương và các yếu tố khác.
- Chăm sóc sau cấy ghép:
Sau khi cấy ghép lại, tuân thủ đầy đủ hướng dẫn chăm sóc từ bác sĩ, như chế độ ăn uống, vệ sinh miệng để đảm bảo sự thành công của implant mới.
- Theo dõi thường xuyên:
Đặt lịch hẹn kiểm tra định kỳ với bác sĩ nha khoa để theo dõi tình trạng implant và sức khỏe răng miệng của bạn.
>>Xem thêm: Trồng răng implant ở đâu tốt tại TP Hồ Chí Minh? Nha khoa SV quận 3
Lựa chọn Nha khoa SV- nha khoa trồng răng implant uy tín tại quận 3
Khi bạn cần trồng răng implant, việc lựa chọn một nha khoa uy tín là rất quan trọng để đảm bảo kết quả tốt nhất. Nha khoa SV quận 3 là một trong những địa chỉ đáng tin cậy tại quận 3, với nhiều ưu điểm nổi bật:
- Trồng trụ implant chất lượng cao và chính hãng:
Nha khoa SV quận 3 cam kết sử dụng những trụ implant chất lượng cao, được sản xuất bởi các thương hiệu uy tín trên thế giới. Điều này đảm bảo rằng trụ implant sẽ có độ bền cao, khả năng tích hợp tốt với xương hàm và mang lại hiệu quả lâu dài. Các thương hiệu được sử dụng như: trụ implant Tekka (Pháp), Anthogyr, Nobel Biocare Active, BLX SL Active....
>>Xem thêm: Trụ implant Nobel TiUltra: xuất xứ, đặc điểm và chi phí
- Đội ngũ bác sĩ có chuyên môn giỏi:
Tại Nha khoa SV quận 3 đội ngũ bác sĩ đều là những chuyên gia có nhiều năm kinh nghiệm trong lĩnh vực implant. Họ không chỉ có kiến thức sâu rộng mà còn được đào tạo bài bản, đảm bảo quy trình cấy ghép được thực hiện chính xác và an toàn nhất.
- Cơ sở vật chất hiện đại- chuyên sâu về implant:
Nha khoa SV được trang bị các thiết bị và công nghệ hiện đại, phục vụ cho quá trình chẩn đoán và điều trị. Quy trình cấy ghép implant cần đến nhiều thiết bị, máy móc. Vì vậy, chúng tôi đã đầu tư vào cơ sở vật chất với những thiết bị hiện đại nhập khẩu trực tiếp từ châu Âu: Máy chụp phim CT Cone Beam 3D, máy scan răng, máng hướng dẫn phẫu thuật DSG, …
- Công nghệ trồng răng implant mới
Tại Nha khoa SV quận 3 , chúng tôi ứng dụng công nghệ mới bằng máng định vị DSG. Giải pháp này giúp quá trình đặt trụ implant diễn ra nhanh chóng, chính xác, hạn chế sự xâm lấn, không rạch nướu như phương pháp cũ. Ngoài ra, kết quả trồng răng implant cũng được đảm bảo, giảm thiểu nguy cơ đào thải trụ.
- Dịch vụ chăm sóc khách hàng chu đáo:
Đội ngũ nhân viên tại Nha khoa SV quận 3luôn sẵn sàng hỗ trợ và tư vấn cho bệnh nhân trước, trong và sau khi điều trị. Họ sẽ hướng dẫn bạn về cách chăm sóc răng miệng sau khi cấy ghép để đảm bảo kết quả tốt nhất.
- Đánh giá tích cực từ khách hàng:
Nha khoa SV quận 3 nhận được nhiều phản hồi tích cực từ khách hàng đã thực hiện cấy ghép implant tại đây. Sự hài lòng của bệnh nhân là minh chứng rõ ràng cho chất lượng dịch vụ mà nha khoa mang lại.
Với những ưu điểm nổi bật, nha khoa SV là lựa chọn lý tưởng cho những ai đang tìm kiếm dịch vụ trồng răng implant uy tín tại quận 3.
>>Xem thêm: Trồng răng Implant All On 6 uy tín tại Nha khoa SV quận 3

Hình ảnh khách hàng trồng răng implant tại Nha khoa SV quận 3
Trụ implant bị đào thải là một vấn đề nghiêm trọng mà nhiều bệnh nhân có thể gặp phải sau khi cấy ghép. Khi phát hiện bất kỳ triệu chứng nào, bệnh nhân cần nhanh chóng liên hệ với bác sĩ nha khoa để được thăm khám và điều trị thích hợp. Nha khoa SV tại quận 3 là một địa chỉ uy tín, chuyên cung cấp dịch vụ cấy ghép implant với chất lượng cao. Đội ngũ bác sĩ có chuyên môn giỏi cùng cơ sở vật chất hiện đại sẽ giúp đảm bảo quá trình cấy ghép diễn ra an toàn và hiệu quả. Bên cạnh việc sử dụng trụ implant chính hãng, nha khoa SV còn tập trung vào việc chăm sóc khách hàng, hướng dẫn bệnh nhân cách chăm sóc sau khi điều trị để giảm thiểu rủi ro. Với những dịch vụ chuyên sâu và sự tận tâm, Nha khoa SV chính là lựa chọn hợp lý cho những ai đang tìm kiếm giải pháp trồng răng implant hiệu quả và an toàn. Hãy liên hệ với Nha khoa SV: 0933.381.675 để được tư vấn và trải nghiệm dịch vụ tốt nhất, giúp bạn duy trì nụ cười khỏe mạnh và tự tin.
Nha khoa SV Quận 3
Địa chỉ: 99 Cao Thắng, Phường 03, Quận 3, TP. Hồ Chí Minh
Hotline: 0933381675 - 02389292525
Email: nhakhoasv@gmail.com
Giờ làm việc:
Thứ 2-Thứ 6: 8h00 – 20h00
Thứ 7: 8h00 – 18h00
Chủ Nhật: 8h00 – 12h00

.png)