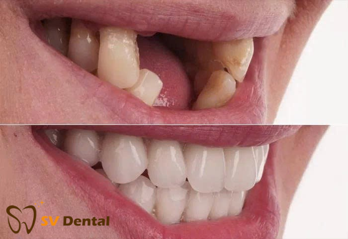
Trồng răng giả là gì? Vì sao cần thực hiện sớm?

Mất răng không chỉ ảnh hưởng đến nụ cười mà còn gây giảm khả năng ăn nhai, tiêu xương hàm, xô lệch răng kế cận và làm gương mặt trông già hơn theo thời gian.
Vì vậy, trồng răng giả là giải pháp cần thiết nhằm:

-
Khôi phục chức năng nhai gần như răng thật
-
Giữ ổn định khớp cắn
-
Ngăn ngừa tiêu xương và biến dạng khuôn mặt
-
Cải thiện thẩm mỹ và sự tự tin khi giao tiếp
Hiện nay, có 3 phương pháp trồng răng giả phổ biến, mỗi phương pháp phù hợp với từng tình trạng và nhu cầu khác nhau.
Các phương pháp trồng răng giả hiện nay
1. Hàm tháo lắp

Đặc điểm:
-
Làm từ nhựa hoặc khung kim loại
-
Có thể tháo ra – lắp vào khi ăn uống, vệ sinh
Ưu điểm:
-
Chi phí thấp
-
Thời gian thực hiện nhanh
-
Phù hợp với người lớn tuổi, sức khỏe xương hàm yếu
Hạn chế:
-
Dễ lỏng theo thời gian
-
Ăn nhai kém ổn định
-
Không ngăn được tiêu xương hàm
Độ bền trung bình: 3 – 5 năm
2. Cầu răng sứ

Đặc điểm:
-
Mài 2 răng bên cạnh làm trụ
-
Gắn cầu sứ cố định thay thế răng mất
Ưu điểm:
-
Thẩm mỹ khá tốt
-
Ăn nhai ổn định hơn hàm tháo lắp
-
Thời gian điều trị ngắn
Hạn chế:
-
Phải mài răng thật khỏe mạnh
-
Không phục hồi chân răng
-
Vẫn xảy ra tiêu xương hàm theo thời gian
Độ bền trung bình: 7 – 10 năm

Đặc điểm:
-
Cấy trụ titanium vào xương hàm
-
Phục hình mão sứ bên trên
Ưu điểm:
-
Ăn nhai gần như răng thật
-
Không xâm lấn răng kế cận
-
Ngăn chặn tiêu xương hàm
-
Độ bền cao, có thể sử dụng lâu dài
Hạn chế:
-
Chi phí cao hơn ban đầu
-
Cần bác sĩ có chuyên môn implant
Độ bền: 20 năm – trọn đời nếu chăm sóc tốt
👉 Kết luận chuyên môn:
Nếu cần giải pháp tạm thời, chi phí thấp → hàm tháo lắp
Nếu mất ít răng, muốn nhanh → cầu răng sứ
Nếu muốn ăn nhai lâu dài, bảo tồn xương → implant là lựa chọn tối ưu
Chi phí trồng răng giả hiện nay (tham khảo)
| Phương pháp | Vật liệu | Chi phí |
|---|---|---|
| Hàm tháo lắp | Nhựa / Khung kim loại | 3 – 9 triệu / hàm |
| Cầu răng sứ | Sứ kim loại / Sứ Titan | 2 – 4,5 triệu / răng |
| Toàn sứ | Emax / Zirconia | 6 – 6,5 triệu / răng |
| Implant Hàn Quốc | Dentium | ~20 triệu / trụ |
| Implant Mỹ | Nobel | ~30 triệu / trụ |
| Implant Thụy Sĩ | Straumann | ~32 triệu / trụ |
💡 Chi phí thực tế phụ thuộc vào: số răng mất, tình trạng xương hàm, vật liệu lựa chọn và kế hoạch điều trị.
Trồng răng giả có đau không?

-
Hàm tháo lắp, cầu răng sứ: hầu như không đau, chỉ ê nhẹ khi thử răng
-
Cấy ghép implant: được gây tê tại chỗ, thao tác nhanh, sau phẫu thuật chỉ sưng nhẹ 1–2 ngày và được kiểm soát bằng thuốc
Hiện nay, với thiết bị chẩn đoán 3D và kỹ thuật hiện đại, trồng răng implant nhẹ nhàng và an toàn hơn rất nhiều so với trước đây.
Video thực tế: Quy trình & kết quả trồng răng

-
Ngay sau khi nhổ răng (có thể cấy implant tức thì)
-
Khi mất răng lâu ngày gây tiêu xương, má hóp
-
Khi ăn nhai kém, ảnh hưởng tiêu hóa
-
Khi răng xô lệch, khớp cắn sai
👉 Trồng răng càng sớm – điều trị càng nhẹ nhàng, kết quả càng đẹp.

Xem thêm
-
👉 Giải pháp cấy ghép Implant mất răng toàn hàm bền vững tại Nha Khoa SV
https://nhakhoasv.vn/cay-ghep-implant-mat-rang-toan-ham-giai-phap-phuc-hoi-rang-toan-dien-ben-vung-tai-nha-khoa-sv -
Thông tin Nha Khoa SV
🔗 TikTok: https://www.tiktok.com/@nha.khoa.sv
🔗 YouTube: https://www.youtube.com/@nhakhoasv7438/featured
🔗 Website: https://nhakhoasv.vn/📍 Nha khoa SV – 99 Cao Thắng, Phường Bàn Cờ, TP.HCM
☎ Hotline: 0933 381 675#️⃣ #NhaKhoaSV #NhaKhoaQuan3 #NhaKhoaUyTin #RangDep #ChamSocRang #NhaKhoaTPHCM

.png)