Trám răng thưa là một trong những phương pháp nha khoa phổ biến nhằm khắc phục tình trạng răng thưa, giúp cải thiện thẩm mỹ và chức năng ăn nhai. Tình trạng răng thưa không chỉ ảnh hưởng đến sự tự tin trong giao tiếp mà còn có thể dẫn đến các vấn đề về sức khỏe răng miệng như sâu răng hay viêm nướu. Việc trám răng thưa không chỉ đơn thuần là một giải pháp thẩm mỹ mà còn là cách để bảo vệ sức khỏe răng miệng tổng thể. Trong bài viết này, Nha khoa SV quận 3 sẽ mời bạn đọc cùng khám phá những điều cần thiết liên quan đến quy trình trám răng thưa, từ các phương pháp thực hiện, lợi ích của việc trám răng, cho đến những lưu ý quan trọng để duy trì kết quả lâu dài.

Trám răng thưa và những điều cần biết: Nha khoa SV quận 3
Trám răng thưa là gì?
Trám răng thưa là một phương pháp nha khoa được sử dụng để khắc phục tình trạng răng thưa, tức là có khoảng cách giữa các răng không mong muốn. Tình trạng này có thể xảy ra do nhiều nguyên nhân, bao gồm di truyền, mất răng, hoặc thói quen xấu như mút ngón tay. Trám răng thưa không chỉ giúp cải thiện thẩm mỹ của nụ cười mà còn góp phần nâng cao chức năng ăn nhai, giảm thiểu nguy cơ mắc các bệnh về răng miệng.
Quy trình trám răng thường bao gồm việc sử dụng vật liệu composite hoặc amalgam để lấp đầy khoảng trống giữa các răng. Vật liệu này được chọn lựa kỹ lưỡng để đảm bảo tính thẩm mỹ và độ bền. Sau khi trám, răng sẽ có hình dáng tự nhiên hơn, giúp khách hàng tự tin hơn khi giao tiếp. Ngoài ra, việc trám răng thưa cũng giúp ngăn ngừa các vấn đề khác liên quan đến răng, như sâu răng hay viêm nướu. Tóm lại, trám răng thưa là một giải pháp hiệu quả và cần thiết để cải thiện sức khỏe răng miệng và vẻ đẹp của nụ cười.

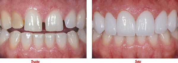
Hình ảnh giới thiệu về phương pháp trám răng thưa
Nguyên nhân dẫn đến tình trạng răng bị thưa, kẻ hở
Tình trạng răng bị thưa, kẻ hở có thể xuất phát từ nhiều nguyên nhân khác nhau, ảnh hưởng đến thẩm mỹ và sức khỏe răng miệng. Một trong những nguyên nhân phổ biến là di truyền, khi cấu trúc hàm và sự phát triển của răng được di truyền từ cha mẹ. Nếu trong gia đình có người từng gặp tình trạng này, khả năng cao là thế hệ sau cũng có thể bị ảnh hưởng.
Ngoài ra, mất răng do sâu răng, viêm nướu, hoặc chấn thương cũng là nguyên nhân chính dẫn đến khoảng trống giữa các răng. Khi một hoặc nhiều răng bị mất, các răng còn lại có thể dịch chuyển, tạo ra khoảng trống. Thói quen mút ngón tay hoặc sử dụng núm vú giả ở trẻ sơ sinh cũng có thể làm ảnh hưởng đến sự phát triển của răng, dẫn đến tình trạng thưa khi lớn lên.
Một yếu tố khác là sự mất cân bằng trong lực cắn. Khi có sự không đồng đều trong lực nhai, các răng có thể di chuyển theo hướng không mong muốn, tạo ra khe hở. Cuối cùng, lão hóa tự nhiên cũng góp phần vào tình trạng này, khi sự suy giảm của mô nướu và xương hàm theo thời gian có thể làm cho răng dễ bị dịch chuyển.
Hiểu rõ nguyên nhân dẫn đến tình trạng răng thưa sẽ giúp việc điều trị và khắc phục trở nên hiệu quả hơn, từ đó cải thiện sức khỏe răng miệng và thẩm mỹ.

Có nhiều nguyên nhân dẫn đến răng thưa, kẻ hở: di truyền, sâu răng, viêm nướu....
Trám răng thưa có tốt không?
Trám răng thưa quận 3 là một phương pháp hiệu quả để khắc phục tình trạng răng thưa, mang lại nhiều lợi ích cho sức khỏe răng miệng và thẩm mỹ. Một trong những ưu điểm lớn nhất của trám răng thưa là cải thiện vẻ ngoài của nụ cười, giúp người bệnh tự tin hơn trong giao tiếp. Việc lấp đầy khoảng trống giữa các răng không chỉ mang lại sự cân đối cho hàm răng mà còn giúp thức ăn không bị mắc kẹt, giảm nguy cơ sâu răng và viêm nướu.
Ngoài ra, trám răng cũng giúp duy trì chức năng nhai hiệu quả hơn, ngăn ngừa các vấn đề liên quan đến sức khỏe răng miệng. Vật liệu trám hiện đại thường có độ bền cao và màu sắc tự nhiên, giúp tạo ra một kết quả thẩm mỹ tốt. Tuy nhiên, để đạt được hiệu quả tối ưu, người bệnh cần lựa chọn nha sĩ uy tín và tuân thủ hướng dẫn chăm sóc sau khi trám.
Tóm lại, trám răng thưa là một giải pháp tốt, giúp khắc phục tình trạng thẩm mỹ và bảo vệ sức khỏe răng miệng, miễn là quy trình được thực hiện đúng cách và chăm sóc hợp lý.
Ưu điểm và nhược điểm của Trám răng thưa hiện nay
Ưu điểm
- Cải thiện thẩm mỹ: Trám răng thưa giúp lấp đầy khoảng trống giữa các răng, mang lại nụ cười cân đối và tự tin hơn cho người bệnh.
- Giảm nguy cơ sâu răng: Việc lấp đầy khe hở giúp ngăn ngừa thức ăn và vi khuẩn tích tụ, từ đó giảm thiểu nguy cơ sâu răng và viêm nướu.
- Duy trì chức năng nhai: Trám răng giúp cải thiện khả năng nhai, đảm bảo người bệnh có thể ăn uống một cách thoải mái mà không gặp khó khăn.
- Vật liệu an toàn và thẩm mỹ: Các vật liệu trám hiện đại như composite không chỉ bền mà còn có màu sắc tự nhiên, giúp răng trông như thật.
- Thời gian thực hiện nhanh: Quy trình trám răng thường diễn ra nhanh chóng, thường chỉ mất khoảng 30 phút đến 1 giờ.
Nhược điểm:
- Thời gian sử dụng hạn chế: Mặc dù vật liệu trám có độ bền cao, nhưng chúng vẫn có thể bị mòn theo thời gian và cần phải được thay thế định kỳ.
- Chi phí: So với các biện pháp khác như bọc sứ hay niềng răng, trám răng có thể không phải là giải pháp lâu dài và có thể tốn kém nếu phải thay thế nhiều lần.
- Cảm giác không thoải mái: Một số người có thể cảm thấy không thoải mái hoặc nhạy cảm sau khi trám, đặc biệt là nếu họ có nướu nhạy cảm.
- Không giải quyết nguyên nhân gốc: Trám răng thưa chỉ là giải pháp tạm thời và không giải quyết các nguyên nhân gốc dẫn đến tình trạng răng thưa.
Tóm lại, trám răng thưa là một giải pháp hiệu quả với nhiều lợi ích, nhưng cũng cần xem xét kỹ lưỡng để đảm bảo phù hợp với tình trạng răng miệng của từng người.
Nha khoa SV: địa chỉ uy tín trám răng thưa tại quận 3, TP HCM
Nha khoa SV là một trong những địa chỉ uy tín tại quận 3, TP HCM, chuyên cung cấp dịch vụ trám răng thưa chất lượng cao. Với nhiều năm kinh nghiệm trong lĩnh vực nha khoa, Nha khoa SV đã xây dựng được danh tiếng vững chắc nhờ vào chất lượng dịch vụ và sự hài lòng của khách hàng.

Nha khoa SV: địa chỉ trám răng thưa uy tín tại quận 3
Đội ngũ bác sĩ tại Nha khoa SV Q3 đều là những chuyên gia có tay nghề cao, được đào tạo bài bản và có kiến thức sâu rộng về các phương pháp điều trị nha khoa hiện đại. Bác sĩ sẽ tiến hành thăm khám kỹ lưỡng để xác định tình trạng răng miệng của từng bệnh nhân, từ đó đưa ra giải pháp trám răng thưa phù hợp nhất. Quy trình trám răng được thực hiện với sự tỉ mỉ và chính xác, đảm bảo mang lại kết quả thẩm mỹ tối ưu.
Nha khoa SV Q3 sử dụng các vật liệu trám chất lượng cao, an toàn và có màu sắc tự nhiên, giúp răng trông giống như thật. Điều này không chỉ cải thiện thẩm mỹ nụ cười mà còn đảm bảo chức năng ăn nhai của răng. Ngoài ra, cơ sở vật chất tại Nha khoa SV Q3 được trang bị hiện đại, đảm bảo môi trường làm việc sạch sẽ và an toàn cho bệnh nhân.
Khách hàng đến với Nha khoa SV không chỉ được trải nghiệm dịch vụ trám răng thưa mà còn nhận được sự tư vấn tận tình về cách chăm sóc răng miệng sau khi điều trị. Đội ngũ nhân viên thân thiện và chuyên nghiệp luôn sẵn sàng hỗ trợ và giải đáp mọi thắc mắc của khách hàng.
Với phương châm "sức khỏe răng miệng của bạn là ưu tiên hàng đầu", Nha khoa SV Q3 cam kết mang đến dịch vụ nha khoa chất lượng, giúp khách hàng có được nụ cười tươi sáng và tự tin hơn. Nếu bạn đang tìm kiếm một địa chỉ trám răng thưa uy tín tại quận 3, TP HCM, Nha khoa SV chính là lựa chọn hoàn hảo dành cho bạn.
Quy trình trám răng thưa tại Nha khoa SV quận 3
Có hai cách trám răng đó là:
- Trám răng trực tiếp: Để thực hiện trám trực tiếp, bác sĩ sẽ đưa chất liệu trám trực tiếp lên vùng răng cần phục hồi và tạo dáng thẩm mỹ theo ý muốn của khách hàng là hoàn thiện.
- Trám răng gián tiếp: Kỹ thuật trám gián tiếp phức tạp hơn trám trực tiếp. Miếng trám sẽ được gắn bên ngoài theo dấu răng nên mất khá nhiều thời gian và chi phí thực hiện tương đối cao, thế nhưng độ bền chắc của miếng trám được hàn đúc theo phương pháp này được duy trì rất lâu.
Dưới đây là quy trình trám răng trực tiếp:
- Bước 1: Tùy từng trường hợp cụ thể, có thể dùng thuốc tiêm gây tê cục bộ để gây tê vùng răng, khiến cho bệnh nhân có được cảm giác thoải mái nhất trong quá trình tiến hành
- Bước 2: Trước khi gắn, bề mặt răng được đánh nhám và phủ nhẹ một lớp dung dịch dưỡng để chất liệu gắn kết dễ dàng bám dính hơn.
- Bước 3: Sử dụng vật liệu nhựa composite có cấu trúc ổn định, khả năng chịu sự mài mòn, độ nén chịu lực rất cao độ bền cao, không độc hại, không gây kích ứng đối với khu vực trám răng và có màu sắc tự nhiên. Sau khi rửa sạch gel khắc, nhựa composite lỏng có độ bóng vừa phải sẽ được sơn lên thành một lớp mỏng, lấp đầy các lỗ nhỏ này để tạo ra một liên kết vi cơ mạnh. Sử dụng sóng UV đặc biệt được sử dụng để làm cứng vật liệu liên kết này. Khi lớp đầu tiên được bảo dưỡng, lớp khác được sơn lên và đóng rắn. Bác sĩ nha khoa sẽ tiếp tục xây dựng các lớp cho đến khi việc phục hồi có độ dày cần thiết. Quy trình liên kết một răng thường mất từ 30 đến 60 phút từ khi bắt đầu đến khi kết thúc.
- Bước 4: Cuối cùng miếng trám được đánh bóng để kết thúc quá trình trám răng. Nếu răng của bạn bị thưa nhiều và ảnh hưởng đến cấu trúc toàn hàm, Bác sĩ sẽ cân nhắc bọc sứ hoặc niềng răng để cân chỉnh răng đều đặn giúp hàm răng cân đối và chuẩn khớp cắn.

Hình ảnh khách hàng trám răng thưa tại Nha khoa SV quận 3
Cách chăm sóc sau khi trám răng thưa
Sau khi trám răng thưa, việc chăm sóc răng miệng đúng cách là rất quan trọng để đảm bảo hiệu quả lâu dài và duy trì sức khỏe răng miệng. Dưới đây là một số lưu ý quan trọng:
- Tránh ăn uống trong 2 giờ đầu: Sau khi trám, nên tránh ăn uống để vật liệu trám có thời gian đông cứng hoàn toàn.
- Hạn chế thực phẩm cứng và dính: Trong vài ngày đầu, nên tránh các thực phẩm cứng, dính hoặc có độ đường cao, vì chúng có thể gây áp lực lên răng trám và làm hỏng vật liệu trám.
- Vệ sinh răng miệng đúng cách: Đánh răng nhẹ nhàng bằng bàn chải mềm và sử dụng chỉ nha khoa để làm sạch kẽ răng. Điều này giúp ngăn ngừa sâu răng và viêm nướu.
- Thăm khám định kỳ: Đến nha sĩ kiểm tra định kỳ để đảm bảo tình trạng răng miệng được theo dõi và xử lý kịp thời.
- Chú ý đến cảm giác: Nếu cảm thấy đau nhức hoặc nhạy cảm kéo dài sau khi trám, hãy liên hệ ngay với nha sĩ để được tư vấn.
Thực hiện các bước chăm sóc này sẽ giúp bạn duy trì kết quả tốt nhất từ quy trình trám răng.
Kết luận
Trám răng thưa mang lại nụ cười tự tin và cải thiện sức khỏe răng miệng. Tại quận 3, TP HCM, Nha khoa SV nổi bật như một địa chỉ uy tín để thực hiện dịch vụ này. Với đội ngũ bác sĩ tay nghề cao, thiết bị hiện đại và vật liệu trám chất lượng, Nha khoa SV cam kết mang đến cho khách hàng kết quả thẩm mỹ và chức năng tối ưu. Bên cạnh đó, sự tận tâm trong chăm sóc khách hàng và tư vấn chuyên nghiệp của đội ngũ nhân viên tại đây cũng góp phần tạo nên sự hài lòng cho bệnh nhân. Nếu bạn đang tìm kiếm một nơi để trám răng thưa, Nha khoa SV chính là lựa chọn hoàn hảo, giúp bạn lấy lại nụ cười rạng rỡ và tự tin trong giao tiếp.
>>Xem thêm: Trồng răng toàn sứ Cercon HT: Ưu điểm nổi bật và chi phí
>>Xem thêm: Niềng răng hô nhẹ tại Nha khoa SV quận 3 đường Cao Thắng
Nha khoa SV Dental
Địa chỉ: 99 Cao Thắng, Phường 03, Quận 3, TP. Hồ Chí Minh
Hotline: 0933381675 - 02389292525
Email: nhakhoasv@gmail.com
Giờ làm việc:
Thứ 2-Thứ 6: 8h00 – 20h00
Thứ 7: 8h00 – 18h00
Chủ Nhật: 8h00 – 12h00

.png)