Tin tức

Hotline: 0933 381 675 - 0933 381 675

Địa chỉ: 99 Cao Thắng, Phường 03, Quận 3, TP. Hồ Chí Minh
Đặt lịch khám
logo

Tin tức
7 thói quen xấu làm răng ố vàng: Nguyên nhân và cách khắc phục

7 thói quen xấu làm răng ố vàng: Nguyên nhân và cách khắc phục

Sở hữu hàm răng trắng sáng giúp chúng ta tự tin hơn trong giao tiếp và cuộc sống hằng ngày. Tuy nhiên, nhiều người lại vô tình duy trì những thói quen xấu khiến răng dần trở nên ố vàng, xỉn màu, mất thẩm mỹ. Vậy, đâu là những nguyên nhân chính? Hãy cùng SV Dental tìm hiểu ngay!

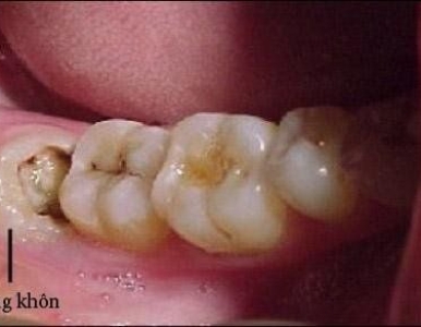
Răng khôn: Khi nào nên nhổ?

Răng khôn: Khi nào nên nhổ?

Răng khôn là gì? Răng khôn (hay còn gọi là răng số 8) là chiếc răng mọc cuối cùng trên cung hàm, thường xuất hiện khi chúng ta ở độ tuổi từ 17 đến 25. Do mọc muộn và diện tích hàm không còn đủ chỗ, răng khôn thường có xu hướng mọc lệch, mọc ngầm hoặc chen chúc, gây nhiều phiền toái cho sức khỏe răng miệng.

Răng sứ thẩm mỹ: Vì sao nên chọn chất lượng thay vì giá rẻ?

Răng sứ thẩm mỹ: Vì sao nên chọn chất lượng thay vì giá rẻ?

Ngày nay, răng sứ thẩm mỹ trở thành lựa chọn phổ biến giúp nhiều người sở hữu nụ cười tự tin, gương mặt tươi trẻ hơn. Tuy nhiên, giữa vô vàn lời quảng cáo “răng sứ giá rẻ”, không ít khách hàng đã gặp phải những hậu quả đáng tiếc khi chọn nhầm địa chỉ kém chất lượng. Tại Nha khoa SV Dental, chúng tôi luôn khuyến khích khách hàng ưu tiên chất lượng và độ an toàn hơn là “ham rẻ” vài trăm ngàn. Bởi lẽ, răng sứ không chỉ ảnh hưởng đến thẩm mỹ mà còn quyết định sức khỏe răng miệng lâu dài.

⭐Răng Sứ Thẩm Mỹ – Giải Pháp Hoàn Hảo Cho Nụ Cười Tự Tin

⭐Răng Sứ Thẩm Mỹ – Giải Pháp Hoàn Hảo Cho Nụ Cười Tự Tin

Trong thời đại hiện nay, ngoại hình và nụ cười đóng vai trò quan trọng trong việc giao tiếp và gây ấn tượng với người đối diện. Chính vì vậy, răng sứ thẩm mỹ trở thành một xu hướng phổ biến, được nhiều người lựa chọn để cải thiện vẻ ngoài. Bài viết này sẽ giúp bạn hiểu rõ hơn về các loại hình như bọc răng sứ, làm răng sứ, răng sứ toàn hàm, răng sứ veneer hay dán sứ veneer, cũng như giải đáp các thắc mắc thường gặp.

🦷 Niềng răng có nhổ răng được không? Giải đáp chi tiết từ bác sĩ

🦷 Niềng răng có nhổ răng được không? Giải đáp chi tiết từ bác sĩ

Trong quá trình tìm hiểu về niềng răng, rất nhiều khách hàng băn khoăn: "Niềng răng có cần nhổ răng không?" hoặc "Đang niềng răng rồi có nhổ răng được không?" Đây là một trong những vấn đề quan trọng quyết định hiệu quả chỉnh nha, vì liên quan trực tiếp đến việc sắp xếp, dịch chuyển răng và khớp cắn.

⭐ 5 ưu điểm vượt trội khi trồng răng Implant bạn không nên bỏ qua

⭐ 5 ưu điểm vượt trội khi trồng răng Implant bạn không nên bỏ qua

Mất răng không chỉ ảnh hưởng đến thẩm mỹ mà còn gây ra nhiều vấn đề về ăn nhai và sức khỏe răng miệng. Trong các phương pháp phục hình răng, trồng răng Implant được xem là giải pháp tối ưu, hiện đại và bền vững nhất hiện nay. Vậy điều gì khiến Implant trở thành lựa chọn hàng đầu? Hãy cùng SV Dental khám phá 5 ưu điểm nổi bật khi trồng răng Implant ngay dưới đây!

⭐ Bọc răng sứ — Bí quyết giúp anh An tự tin khoe nụ cười mới tại SV Dental

⭐ Bọc răng sứ — Bí quyết giúp anh An tự tin khoe nụ cười mới tại SV Dental

✨ Vì sao anh An quyết định bọc răng sứ? Anh An chia sẻ: "Trước đây, tôi rất tự ti khi giao tiếp. Răng bị xỉn màu nặng, không đều và dễ giắt thức ăn khiến tôi luôn phải che miệng khi cười. Điều đó ảnh hưởng rất lớn đến công việc và cuộc sống hàng ngày." Sau nhiều năm cân nhắc, anh đã tìm đến SV Dental — nha khoa uy tín tại TP.HCM, chuyên về răng sứ thẩm mỹ, để lấy lại nụ cười tự tin.

Cấy ghép Implant — Lựa chọn "chuẩn" cho các trường hợp mất răng

Cấy ghép Implant — Lựa chọn "chuẩn" cho các trường hợp mất răng

Mất răng gây ảnh hưởng như thế nào? Mất răng không chỉ làm giảm thẩm mỹ gương mặt, khiến bạn mất tự tin khi giao tiếp mà còn ảnh hưởng trực tiếp đến chức năng ăn nhai và sức khỏe toàn thân. Nếu không được điều trị kịp thời, tình trạng tiêu xương hàm, xô lệch răng lân cận sẽ xảy ra, dẫn đến nhiều biến chứng phức tạp.

Tại sao cần lấy cao răng định kỳ? Hậu quả nếu không lấy?

Tại sao cần lấy cao răng định kỳ? Hậu quả nếu không lấy?

Lấy cao răng định kỳ là một trong những bước chăm sóc răng miệng quan trọng, giúp bảo vệ sức khỏe răng và nướu, đồng thời duy trì hơi thở thơm mát. Tuy nhiên, nhiều người vẫn còn chủ quan và bỏ qua thói quen này. Vậy tại sao cần lấy cao răng định kỳ? Và hậu quả nếu không lấy cao răng là gì? Hãy cùng tìm hiểu chi tiết qua bài viết sau.

So sánh chi tiết khác biệt giữa bọc răng sứ và dán sứ Veneer

So sánh chi tiết khác biệt giữa bọc răng sứ và dán sứ Veneer

Bọc răng sứ và dán sứ Veneer đều là những phương pháp thẩm mỹ nha khoa hiện đại giúp cải thiện nụ cười. Tuy nhiên, hai phương pháp này có những đặc điểm, ưu nhược điểm và chỉ định khác nhau. Bài viết dưới đây sẽ giúp bạn hiểu rõ và lựa chọn giải pháp phù hợp nhất cho mình.

Niềng răng không đau – Nụ cười rạng ngời chỉ với 1 triệu/tháng tại SV Dental

Niềng răng không đau – Nụ cười rạng ngời chỉ với 1 triệu/tháng tại SV Dental

Bạn đang lo lắng về răng hô, lệch lạc hoặc kém thẩm mỹ? Bạn muốn sở hữu nụ cười tự tin nhưng sợ đau và chi phí cao? Đừng lo! SV Dental mang đến giải pháp niềng răng không đau, giúp bạn sở hữu nụ cười rạng ngời với chi phí chỉ từ 1 triệu đồng/tháng.

Ưu Đãi Tháng 7 Tại SV Dental – Yêu Nụ Cười Như Yêu Chính Mình

Ưu Đãi Tháng 7 Tại SV Dental – Yêu Nụ Cười Như Yêu Chính Mình

Tại SV Dental, chúng tôi tin rằng mỗi nụ cười đẹp là một món quà quý giá. Và trong tháng 7 này, SV Dental mang đến chuỗi ưu đãi cực hấp dẫn giúp bạn chăm sóc răng miệng dễ dàng hơn bao giờ hết!