Sâu răng, bệnh lý răng miệng mà nhiều người mắc phải nhất hiện nay. Với diễn biến âm thầm đi kèm nhiều biến chứng nguy hiểm nhưng đa số chúng ta vẫn chưa nhận thức được mức độ tàn phá mà sâu răng gây ra cho sức khoẻ răng miệng.
Sâu răng và những biến chứng nguy hiểm
Theo điều tra sức khỏe răng miệng toàn quốc của Viện Răng Hàm Mặt, tỷ lệ sâu răng của trẻ 12 tuổi là 57,3%, tỷ lệ này là 72,3% ở nhóm tuổi từ 35 – 44 tuổi, 47,3% mất răng toàn bộ cho thấy ngay mức độ phổ biến của bệnh lý này.

Sâu răng thường diễn biến âm thầm với nhiều biến chứng nguy hiểm
Vì sao sâu răng thường được gọi là sát thủ âm thầm? Khi bị sâu răng ở những giai đoạn đầu thường không có dấu hiệu nhận biết gì rõ rệt, bắt đầu từ lớp men răng bên ngoài sau đó mất khoảng 3 – 4 năm lấn vào ngà răng và thêm một thời gian nữa mới ăn sâu vào trong tuỷ răng, lúc này sâu răng mới thực sự phát huy sức tàn phá.
1. Sâu răng gây viêm tuỷ răng
Sâu răng hình thành từ vi khuẩn từ các mảng bám thức ăn thừa, tấn công từ men răng sâu dần vào ngà răng và tuỷ răng gây viêm tuỷ răng.
Viêm tuỷ răng nặng sẽ đi kèm đau nhức, ê buốt tận óc kéo dài nên rất khó chịu, nhiều trường hợp vì đau răng mà mất ngủ ảnh hưởng rất nhiều đến sức khoẻ cơ thể.
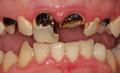
Sâu răng trong giai đoạn này đã rất nặng nhìn vào thân răng có thể thấy những lỗ sâu đen, nhiều trường hợp còn gây mẻ, vỡ 1 phần răng.

Sâu răng nặng vào tuỷ gây viêm tuỷ đi kèm đau nhức kéo dài
Viêm tuỷ răng còn gây thêm biến chứng áp – xe chân răng có mủ gây nguy cơ tiêu xương hàm cao nếu không được điều trị kịp thời.

Áp – xe chân răng có mủ hình thành từ viêm tuỷ răng
2. Mất răng vĩnh viễn
Sâu răng ăn sâu vào tuỷ gây viêm tuỷ làm răng suy yếu dần đến lúc không còn khả năng chữa trị sẽ phải nhổ bỏ, mất răng vĩnh viễn.
Sâu răng làm viêm nướu, viêm nha chu làm mô nướu không còn bám chặt vào thân răng làm răng lỏng lẻo, dễ rơi ra khỏi ổ xương hàm.

Sâu răng lâu ngày không được điều trị dẫn đến sức khoẻ răng suy yếu, mất răng vĩnh viễn
3. Nguy cơ mắc bệnh viêm xoang
Các bệnh lý viêm, nhiễm trùng răng miệng đã được chứng minh là một trong những nguyên nhân gây nên bệnh viêm xoang, viêm mũi
Bệnh viêm xoang hình thành do sự viêm nhiễm của các răng nằm trên có chân răng nằm sát với xoang hàm. Ở giai đoạn sâu răng viêm nhiễm nhẹ nếu được điều trị sẽ ngăn chặn được bệnh viêm xoang, nhưng khi nhiễm trùng răng đã lan rộng gây viêm xoang nặng thì buộc phải điều trị thêm bệnh viêm xoang mới dứt hẳn.

Viêm nhiễm ở các răng hàm trên là một trong những nguyên nhân gây bệnh viêm xoang
4. Nguy cơ gây bệnh tim mạch
Nhiễm trùng răng miệng như viêm nha chu, viêm nướu hình thành nên các vết lở, viêm loét ở nướu răng từ đó vi khuẩn dễ dàng xâm nhập vào đường tuần hoàn máu tác động trực tiếp lên tim, máu.
Vi khuẩn khi đã vào sâu trong thành mạch trở nên rất mạnh mẽ làm hệ miễn dịch khó phát hiện nên thành mạch máu lúc này rất dễ bị tổn thương, nguy cơ xuất hiện các cục máu đông gây nhồi máu cơ tim cao.
Nhìn chung ngoài bệnh tim mạch, vi khuẩn sâu răng còn tác động trực tiếp đến mọi cơ quan trên cơ thể như hệ hô hấp, gây ung thư miệng, bệnh tiểu đường,… nên chúng ta không được chủ quan xem thường sức tàn phá của chúng.

Sâu răng không chỉ ảnh hưởng sức khoẻ răng miệng mà ảnh hưởng toàn bộ sức khoẻ cơ thể
Kết luận
Sâu răng ở những giai đoạn đầu thường chưa có biểu hiện gì rõ rệt nên nhiều người vẫn còn chủ quan chưa đến nha khoa để điều trị dứt điểm, chính vì vậy đã dẫn đến tình trạng sâu răng nặng với nhiều ảnh hưởng nghiêm trọng.
Chữa sâu răng ở giai đoạn đầu thường rất đơn giản và ít tốn kém nên theo bác sĩ Chuyên gia NHA KHOA SV- QUẬN 3 thì khi thấy răng có các dấu hiệu bất thường như ê buốt, có những đốm trắng thì nên đến nha khoa để chữa trị vì để càng lâu chữa trị càng phức tạp và tốn kém nhiều chi phí hơn.
Việt Nam là một trong những nước có tỷ lệ người bị sâu răng cao nên để hạn chế tình trạng này chúng ta nên có ý thức vệ sinh răng miệng tốt, ăn uống thực phẩm lành mạnh và đến nha khoa khám răng định kỳ để răng miệng luôn trong tình trạng khoẻ nhất.
Xem thêm: Bọc răng sứ là gì? Quy trình bọc răng sứ hiện nay
Xem thêm: Sâu răng dấu hiệu và cách điều trị
Xem thêm: 8 nguyên nhân gây đau nhức răng và cách điều trị hiệu quả
KHÁCH HÀNG TẠI NHA KHOA SV- QUẬN 3







Hình ảnh đã được sự đồng ý của khách hàng
Nha khoa SV
Địa chỉ: 99 Cao Thắng, Phường 03, Quận 3, TP. Hồ Chí Minh
Hotline: 0933381675 - 02389292525
Email: nhakhoasv@gmail.com
Website: nhakhoasv.vn/
Giờ làm việc:
Thứ 2-Thứ 6: 8h00 – 20h00
Thứ 7: 8h00 – 18h00
Chủ Nhật: 8h00 – 12h00

.png)