Răng nhiễm Tetracycline là một vấn đề nha khoa phổ biến, xảy ra khi răng bị đổi màu do sử dụng kháng sinh Tetracycline trong thời kỳ phát triển của răng. Sự thay đổi màu sắc này thường là những vết nâu hoặc vàng không đều, ảnh hưởng đến thẩm mỹ và sự tự tin của người bị ảnh hưởng. Với sự phát triển của công nghệ nha khoa, nhiều người đặt ra câu hỏi liệu có thể tẩy trắng răng nhiễm Tetracycline hay không. Trong bài viết này, Nha khoa SV quận 3 chúng ta sẽ cùng khám phá Răng nhiễm Tetracycline có tẩy trắng được không?, cũng như những lưu ý quan trọng cần biết để khôi phục vẻ đẹp cho nụ cười.

Răng nhiễm Tetracycline có tẩy trắng được không?
Răng nhiễm Tetracycline là gì?
Răng nhiễm Tetracycline là tình trạng răng bị đổi màu do sự tích tụ của thuốc kháng sinh Tetracycline trong quá trình phát triển của răng. Tetracycline là một loại kháng sinh được sử dụng để điều trị nhiều bệnh nhiễm trùng, nhưng nếu được sử dụng trong thời kỳ mang thai hoặc trong giai đoạn trẻ em từ 1 đến 8 tuổi, nó có thể gây ra những tác động không mong muốn lên men răng đang hình thành.
Khi thuốc tích tụ trong mô răng, nó dẫn đến sự xuất hiện của các vết màu nâu, vàng hoặc xám, thường không đều và có thể ảnh hưởng đến thẩm mỹ của nụ cười. Tình trạng này không chỉ gây khó khăn trong việc vệ sinh răng miệng mà còn làm giảm sự tự tin của người bị ảnh hưởng. Việc điều trị răng nhiễm Tetracycline thường đòi hỏi các phương pháp phục hình nha khoa như tẩy trắng, bọc sứ hoặc làm mặt dán để khôi phục lại màu sắc và hình dáng tự nhiên của răng.

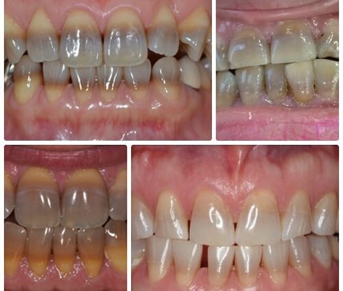
Hình ảnh giới thiệu tình trạng răng nhiễm Tetracycline
Dấu hiệu nhận biết răng nhiễm Tetracycline
Dấu hiệu nhận biết răng nhiễm Tetracycline thường rất rõ ràng và dễ nhận thấy. Một trong những biểu hiện chính là sự thay đổi màu sắc của răng, thường xuất hiện dưới dạng các vết màu nâu, vàng hoặc xám. Những vết này có thể không đồng đều, tạo thành các mảng màu khác nhau trên bề mặt răng. Thông thường, sự nhiễm màu này diễn ra ở các răng vĩnh viễn trong giai đoạn phát triển, đặc biệt là ở trẻ em hoặc người trưởng thành đã sử dụng Tetracycline trong thời kỳ mang thai.
Ngoài màu sắc, răng nhiễm Tetracycline cũng có thể kèm theo một số dấu hiệu khác như bề mặt răng bị xỉn màu hoặc có các vết mờ. Trong một số trường hợp, tình trạng này có thể làm tăng nguy cơ sâu răng do sự thay đổi cấu trúc của men răng. Nếu bạn nhận thấy các dấu hiệu này, việc thăm khám tại nha khoa là rất quan trọng để được chẩn đoán đúng và tìm ra giải pháp điều trị phù hợp. Sự can thiệp kịp thời sẽ giúp cải thiện thẩm mỹ và sức khỏe răng miệng của bạn.

Việc thay đổi màu sắc răng là dấu hiệu dễ nhận biết răng bị nhiễm Tetracycline
Mỗi loại thuốc thuộc nhóm tetracycline có thể nhuộm răng thành màu khác nhau:
- Chlortetracycline: xám, nâu.
- Oxytetracycline: nâu vàng hoặc vàng.
- Tetracycline hydrochloride: nâu vàng hoặc vàng.
- Demethylchlortetracycline: nâu vàng hoặc vàng.
- Minocycline: xanh xám hoặc xám.
Tuy nhiên, dựa vào thời gian, tần suất sử dụng tetracycline mà màu răng có thể đậm hoặc nhạt hơn.
Răng nhiễm tetracycline có ảnh hưởng gì không?
Tác động đến thẩm mỹ
Một trong những ảnh hưởng rõ rệt và dễ nhận thấy nhất của răng nhiễm Tetracycline là sự thay đổi màu sắc. Răng có thể xuất hiện với các vết nâu, vàng hoặc xám, thường không đồng đều. Điều này không chỉ ảnh hưởng đến thẩm mỹ mà còn làm giảm sự tự tin của người bị ảnh hưởng. Nụ cười là một phần quan trọng trong giao tiếp và tự tin, do đó, màu sắc không tự nhiên của răng có thể gây cảm giác ngại ngùng, ảnh hưởng đến các mối quan hệ xã hội và nghề nghiệp.
Tác động đến sức khỏe răng miệng
Răng nhiễm Tetracycline không chỉ gây ra vấn đề thẩm mỹ mà còn có thể ảnh hưởng đến sức khỏe răng miệng. Sự thay đổi màu sắc thường đi kèm với sự thay đổi cấu trúc của men răng, khiến răng trở nên yếu hơn và dễ bị sâu. Răng nhiễm màu thường có khả năng giữ mảng bám và vi khuẩn cao hơn, dẫn đến nguy cơ mắc các bệnh nướu và sâu răng. Nếu không được điều trị kịp thời, tình trạng này có thể dẫn đến mất răng hoặc cần phải điều trị nha khoa phức tạp hơn.
Khó khăn trong việc vệ sinh răng miệng
Răng nhiễm Tetracycline thường có bề mặt không đồng đều, làm cho việc vệ sinh răng miệng trở nên khó khăn hơn. Mảng bám và thức ăn dễ dàng tích tụ ở các vị trí kẽ răng, tạo điều kiện cho vi khuẩn phát triển. Việc chải răng cũng có thể không hiệu quả nếu các vết màu không được làm sạch, dẫn đến tình trạng hơi thở có mùi và các vấn đề răng miệng khác. Do đó, người bị nhiễm Tetracycline cần phải chăm sóc răng miệng kỹ lưỡng hơn để tránh các tác động tiêu cực.
Tâm lý và tình cảm
Tác động tâm lý của răng nhiễm Tetracycline không thể xem nhẹ. Nhiều người cảm thấy tự ti về vẻ ngoài của mình, đặc biệt khi nói đến nụ cười. Sự ngại ngùng khi giao tiếp có thể dẫn đến sự cô lập xã hội, ảnh hưởng đến các mối quan hệ cá nhân và nghề nghiệp. Một nụ cười tự tin có thể mở ra nhiều cơ hội trong cuộc sống, trong khi một nụ cười không hoàn hảo có thể dẫn đến cảm giác tự ti và thiếu tự tin.
Răng nhiễm Tetracycline có tẩy trắng được không?
Răng nhiễm Tetracycline là tình trạng phổ biến xảy ra khi thuốc kháng sinh Tetracycline được sử dụng trong thời kỳ phát triển của răng, dẫn đến sự thay đổi màu sắc không mong muốn. Nhiều người đặt câu hỏi liệu có thể tẩy trắng răng nhiễm Tetracycline hay không?
Tẩy trắng răng là một phương pháp phổ biến nhằm cải thiện màu sắc của răng, nhưng hiệu quả đối với răng nhiễm Tetracycline còn tuỳ vào mức độ nặng nhẹ của việc nhiễm tetracycline. Các vết màu nâu, vàng hoặc xám do Tetracycline thường rất khó loại bỏ hoàn toàn bằng các sản phẩm tẩy trắng thông thường. Mặc dù một số nghiên cứu cho thấy tẩy trắng có thể giúp làm sáng màu răng, nhưng kết quả thường không đồng đều và có thể cần nhiều lần điều trị.

Có thể tẩy trắng răng nhiễm tetracycline ở mức độ nhẹ
Ngoài ra, việc tẩy trắng có thể gây ra cảm giác nhạy cảm cho răng, đặc biệt là đối với những người có men răng yếu hoặc tình trạng sâu răng. Do đó, trước khi quyết định tẩy trắng, người bị nhiễm Tetracycline nên tham khảo ý kiến bác sĩ nha khoa để được tư vấn kỹ lưỡng.
Nếu tẩy trắng không mang lại hiệu quả mong muốn, các phương pháp phục hình khác như bọc răng sứ hoặc làm mặt dán sứ có thể là lựa chọn tốt hơn. Những phương pháp này không chỉ giúp cải thiện màu sắc mà còn tạo hình dáng tự nhiên cho răng, mang lại nụ cười tự tin hơn cho người bệnh. Tóm lại, tẩy trắng răng nhiễm Tetracycline có thể thực hiện nhưng hiệu quả không cao, vì vậy nên cân nhắc các giải pháp khác.
Biện pháp chữa răng nhiễm Tetracycline hiệu quả nhất
Sau khi đã làm rõ được răng nhiễm Tetracycline có tẩy trắng được không để khắc phục tình trạng này. Tùy vào nguyên nhân và mức độ nhiễm bác sĩ sẽ cân nhắc và lựa chọn phương pháp chữa trị phù hợp nhất
Răng nhiễm Tetracycline mức độ nhẹ
Khi răng nhiễm Tetracycline còn ở mức độ 1 và 2 có thể áp dụng tẩy trắng răng để phục hồi lại màu răng. Sử dụng ánh sáng Laser giúp kích hoạt cho men thuốc tẩy trắng thẩm thấu sâu vào bên trong cấu trúc răng, bẻ gãy liên kết gây màu, cải thiện màu sắc răng.
Răng nhiễm Tetracycline mức độ nặng
Đối với răng nhiễm Tetracycline mức độ nặng hơn thì không thể áp dụng biện pháp tẩy trắng răng. Lúc này, nha sĩ sẽ áp dụng biện pháp bọc sức hoặc dán sứ Veneer.
Bọc sứ thẩm mỹ
Đây là phương pháp mài nhỏ răng thật để tạo cùi trụ, sau đó tạo mão răng có hình dáng và màu sắc trắng sáng. Trường hợp răng nhiễm Tetracycline nặng và kèm theo nhiều khuyết điểm như mẻ, vỡ thì biện pháp bọc sứ thẩm mỹ là giải pháp tối ưu để khắc phục và bảo vệ răng thật. Nhờ đó, giúp khôi phục lại tính thẩm mỹ cho răng và đảm bảo chức năng nhai tốt. Hiện nay, răng sứ có rất nhiều loại như sứ kim loại, sứ titan và răng toàn sứ cho bạn lựa chọn. Mỗi loại sẽ có ưu và nhược điểm khác nhau và tùy vào tình trạng răng sẽ có chi phí khác nhau.

Bọc răng sứ thẩm mỹ là một phương pháp điều trị răng nhiễm Tetracycline
Dán sứ Veneer
Trường hợp dán sứ Veneer để bảo tồn răng thật, nha sĩ chỉ mài mòn một lớp mỏng ở mặt trước răng để lấy độ nhám và dán mặt sứ Veneer lên trên. Biện pháp này giúp hạn chế tối đa tình trạng xâm lấn vào mô răng bên trong mà không cần điều trị tủy, không gây ảnh hưởng đến cấu trúc răng sinh lý của bạn.
Nha khoa SV quận 3: địa chỉ tẩy trắng răng nhiễm Tetracycline uy tín quận 3
Nha khoa SV quận 3 là một trong những địa chỉ uy tín hàng đầu trong việc tẩy trắng răng nhiễm Tetracycline tại khu vực này. Với đội ngũ bác sĩ chuyên khoa giàu kinh nghiệm và trang thiết bị hiện đại, nha khoa cam kết mang đến dịch vụ chăm sóc răng miệng chất lượng cao. Tại đây, khách hàng sẽ được thăm khám kỹ lưỡng để xác định tình trạng răng miệng và mức độ nhiễm màu, từ đó đưa ra phương pháp tẩy trắng phù hợp nhất.
Nha khoa SV sử dụng các sản phẩm tẩy trắng an toàn, hiệu quả và được chứng nhận bởi các tổ chức y tế, giúp giảm thiểu tối đa rủi ro cho sức khỏe răng miệng. Quy trình tẩy trắng răng tại đây được thực hiện dưới sự giám sát chặt chẽ của bác sĩ, đảm bảo mang lại kết quả tối ưu. Ngoài ra, nha khoa còn cung cấp dịch vụ tư vấn và hướng dẫn cách chăm sóc răng miệng sau khi tẩy trắng, giúp duy trì độ sáng bóng của răng lâu dài.
Với không gian thân thiện, dịch vụ tận tâm và chi phí hợp lý, Nha khoa SV quận 3 đã trở thành lựa chọn hàng đầu cho những ai muốn khôi phục vẻ đẹp của nụ cười. Khách hàng có thể yên tâm khi đến đây để điều trị răng nhiễm Tetracycline, giúp tự tin hơn trong giao tiếp hàng ngày. Hãy ghé thăm Nha khoa SV để trải nghiệm dịch vụ tẩy trắng răng chuyên nghiệp và hiệu quả nhất.

Nha khoa SV: địa chỉ tẩy trắng răng nhiễm Tetracycline
Dịch vụ bọc sứ thẩm mỹ, dán sứ Veneer tại Nha khoa SV quận 3
Bọc sứ thẩm mỹ là phương pháp lý tưởng cho những răng bị nhiễm màu nặng, giúp cải thiện đáng kể về màu sắc cũng như hình dáng của răng. Quá trình này bao gồm việc mài bớt một phần răng thật để tạo không gian cho mão sứ, mang lại vẻ tự nhiên và độ bền cao. Trong khi đó, dán sứ Veneer là lựa chọn tuyệt vời cho những trường hợp răng chỉ bị nhiễm màu nhẹ đến trung bình. Veneer mỏng được gắn lên bề mặt răng, giúp che phủ các khuyết điểm mà không cần phải mài quá nhiều răng thật.
Nha khoa SV sử dụng vật liệu sứ chất lượng cao, đảm bảo tính thẩm mỹ và an toàn cho sức khỏe răng miệng. Quy trình thực hiện được tiến hành trong không gian thoải mái, cùng với sự tư vấn tận tình từ bác sĩ, giúp khách hàng cảm thấy yên tâm và hài lòng. Với dịch vụ bọc sứ và dán sứ Veneer tại Nha khoa SV quận 3, bạn sẽ nhanh chóng lấy lại nụ cười rạng rỡ, tự tin hơn trong giao tiếp hàng ngày. Hãy đến với Nha khoa SV để trải nghiệm dịch vụ chuyên nghiệp và hiệu quả.
>>Xem thêm: Các loại cầu răng sứ phổ biến hiện nay: Nha khoa SV quận 3
.jpg)
Hình ảnh khách hàng sau khi điều trị tại Nha khoa SV quận 3
Một số điều cần lưu ý để ngăn ngừa tình trạng răng nhiễm Tetracycline
Để ngăn ngừa tình trạng răng nhiễm Tetracycline, bạn cần lưu ý một số điều sau đây:
Nên hạn chế tối đa sử dụng các loại thuốc có chứa Tetracycline, khi cần thiết mới sử dụng.
Đánh răng đúng cách từ 2 - 3 lần mỗi ngày và lấy cao răng định kỳ 6 tháng/lần.
Thường xuyên quan sát màu răng của mình, nếu thấy thay đổi nhiều thì nên tới gặp nha sĩ để khắc phục kịp thời.
>>Xem thêm: Niềng răng hô nhẹ tại Nha khoa SV quận 3 đường Cao Thắng
Kết luận
Nha khoa SV quận 3 là lựa chọn lý tưởng cho những ai đang tìm kiếm dịch vụ tẩy trắng răng nhiễm Tetracycline uy tín. Với đội ngũ bác sĩ chuyên môn cao, trang thiết bị hiện đại và quy trình an toàn, nha khoa cam kết mang lại kết quả tốt nhất cho khách hàng. Tại đây, bạn không chỉ được thăm khám và tư vấn kỹ lưỡng mà còn được trải nghiệm dịch vụ tận tâm và chuyên nghiệp. Nha khoa SV hiểu rằng mỗi nụ cười đều quý giá, và sứ mệnh của họ là giúp bạn khôi phục vẻ đẹp tự nhiên của răng. Hãy đến với Nha khoa SV quận 3 để trải nghiệm dịch vụ tẩy trắng răng hiệu quả và lấy lại sự tự tin trong giao tiếp hàng ngày.
>>Xem thêm: Trồng răng implant Tekka Pháp tại Nha khoa SV quận 3
>>Xem thêm: Lấy tuỷ răng là gì? Khi nào cần lấy tuỷ răng: Nha khoa quận 3
Nha khoa SV Dental
Địa chỉ: 99 Cao Thắng, Phường 03, Quận 3, TP. Hồ Chí Minh
Hotline: 0933381675 - 02389292525
Email: nhakhoasv@gmail.com
Giờ làm việc:
Thứ 2-Thứ 6: 8h00 – 20h00
Thứ 7: 8h00 – 18h00
Chủ Nhật: 8h00 – 12h00

.png)