Răng mọc lẫy ở trẻ em là một hiện tượng phổ biến, gây không ít lo lắng cho các bậc phụ huynh. Thông thường, quá trình mọc răng diễn ra theo trình tự tự nhiên, nhưng đôi khi, trẻ có thể gặp phải tình trạng răng mọc không đúng cách, dẫn đến đau đớn và khó chịu. Nguyên nhân của tình trạng này có thể liên quan đến di truyền, thói quen ăn uống hoặc sự phát triển không đồng đều của hàm. Hiểu rõ nguyên nhân và cách khắc phục sẽ giúp cha mẹ dễ dàng hơn trong việc hỗ trợ trẻ vượt qua giai đoạn khó khăn này. Bài viết dưới đây Nha khoa SV quận 3 sẽ cung cấp thông tin chi tiết về Răng mọc lẫy ở trẻ em: Nguyên nhân và cách khắc phục để cải thiện tình trạng này.
Răng mọc lẫy ở trẻ em là gì?
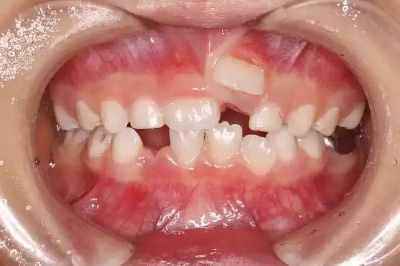
Răng mọc lẫy là tình trạng răng cửa của hàm dưới hay hàm trên bị mọc lệch so với vị trí đúng trên cung hàm. Trường hợp này sẽ phổ biến ở trẻ em đang trong độ tuổi thay răng cũng như khi quá trình rụng răng diễn ra và hình thành răng vĩnh viễn. Điều này khiến cho các răng vĩnh viễn mọc lên sẽ không thẳng trục, không đúng vị trí gây ra nhiều ảnh hưởng đến các răng còn lại, ảnh hưởng sức khỏe răng miệng cho bé.
Không chỉ vậy, khi răng vĩnh viễn mọc lệch sẽ khiến chân răng sữa không bị tác động vào hay đè đẩy nên sẽ không tự tiêu chân. Khi chân răng sữa không bị tiêu sẽ khiến răng sữa tồn tại lâu hơn thường lệ từ đó gây tình trạng mọc thừa răng ở trẻ hay răng mọc lẫy. Do vậy, các phụ huynh cần theo dõi tình trạng răng của con mọc, phát triển để có thể phát hiện tình trạng này sớm và tìm cách khắc phục kịp thời.

Hình ảnh tình trạng răng mọc lẫy ở trẻ em
Các nguyên nhân gây ra răng mọc lẫy ở trẻ em
Răng mọc lẫy ở trẻ em là một tình trạng khá phổ biến, gây nhiều lo lắng cho phụ huynh. Hiện tượng này không chỉ ảnh hưởng đến sức khỏe răng miệng mà còn có thể tác động đến sự phát triển của trẻ. Có nhiều nguyên nhân dẫn đến tình trạng này, bao gồm di truyền, sự tồn tại của răng sữa, mất răng sữa quá sớm, cung hàm bị hẹp và các thói quen xấu.
1. Di truyền
Yếu tố di truyền đóng vai trò quan trọng trong sự phát triển của răng miệng. Nếu trong gia đình có tiền sử về các vấn đề răng miệng như răng mọc không đều, lệch lạc hoặc bất thường, trẻ có khả năng cao gặp phải tình trạng tương tự. Di truyền có thể ảnh hưởng đến kích thước và hình dạng của hàm, từ đó dẫn đến việc răng không có đủ không gian để mọc đúng vị trí. Điều này thường thấy ở những gia đình có thói quen hoặc cấu trúc hàm di truyền từ thế hệ trước.
2. Răng sữa vẫn còn trên cung hàm
Một nguyên nhân phổ biến khác gây ra răng mọc lẫy là sự tồn tại của răng sữa trên cung hàm. Thông thường, răng sữa sẽ rụng dần để nhường chỗ cho răng vĩnh viễn. Tuy nhiên, nếu răng sữa không rụng đúng thời điểm, chúng có thể cản trở quá trình mọc của răng vĩnh viễn. Khi răng vĩnh viễn cố gắng mọc lên trong không gian hạn chế, chúng có thể bị lệch hoặc mọc chéo, dẫn đến tình trạng răng mọc lẫy.
3. Mất răng sữa quá sớm
Mất răng sữa quá sớm cũng là một nguyên nhân gây ra răng mọc lẫy. Khi một chiếc răng sữa bị mất sớm, các răng xung quanh có thể di chuyển vào chỗ trống này, làm giảm không gian cho răng vĩnh viễn mọc lên. Điều này có thể dẫn đến việc răng vĩnh viễn bị đẩy sang một bên, khiến chúng mọc không đúng vị trí. Mất răng sữa do chấn thương hoặc sâu răng cũng có thể góp phần vào tình trạng này.
4. Cung hàm bị hẹp
Cung hàm hẹp là một nguyên nhân khác gây ra răng mọc lẫy ở trẻ em. Khi cung hàm không đủ rộng để chứa tất cả các răng, các răng sẽ bị chèn ép và không thể mọc đúng vị trí. Điều này thường xảy ra ở trẻ em có cấu trúc hàm nhỏ hoặc những ai có thói quen xấu, như mút tay. Cung hàm hẹp không chỉ ảnh hưởng đến sự mọc răng mà còn có thể gây ra các vấn đề khác như khớp cắn không đều và ảnh hưởng đến khả năng ăn uống.
5. Thói quen xấu
Cuối cùng, các thói quen xấu cũng góp phần không nhỏ vào việc gây ra răng mọc lẫy. Những thói quen như mút tay, mút núm vú hoặc thường xuyên cắn móng tay có thể tác động đến cấu trúc hàm và sự phát triển của răng. Các thói quen này không chỉ gây ra sự không đều trong sự phát triển của răng mà còn có thể dẫn đến các vấn đề khác về răng miệng, như viêm nướu hay sâu răng.
Vậy nên, nếu gặp phải tình trạng răng mọc lẫy ở trẻ bạn nên đưa con thăm khám và khắc phục sớm nhất có thể.
Hậu quả của mọc răng lẫy ở trẻ em
Răng mọc lẫy ở trẻ em không chỉ gây khó chịu mà còn để lại nhiều hậu quả nghiêm trọng về mặt thẩm mỹ và chức năng răng miệng.
- Về tính thẩm mỹ, tình trạng răng mọc không đều có thể ảnh hưởng đến nụ cười và sự tự tin của trẻ. Những chiếc răng lệch lạc, không ngay ngắn dễ gây ra cảm giác mặc cảm, khiến trẻ ngại giao tiếp với bạn bè. Điều này có thể dẫn đến tình trạng trầm cảm, lo âu, ảnh hưởng đến sự phát triển tâm lý và xã hội của trẻ.
- Về mặt chức năng, răng mọc lẫy có thể gây ra nhiều vấn đề liên quan đến ăn uống và phát âm. Khi răng không được sắp xếp đúng cách, trẻ có thể gặp khó khăn trong việc nhai thức ăn, dẫn đến việc tiêu hóa không tốt. Điều này không chỉ ảnh hưởng đến sức khỏe mà còn có thể tác động đến sự phát triển thể chất của trẻ. Hơn nữa, sự sai lệch trong cấu trúc răng còn gây ra các vấn đề về khớp cắn, khiến trẻ dễ bị đau hàm và mỏi cơ mặt.
- Ngoài ra, tình trạng răng mọc lẫy cũng có thể làm tăng nguy cơ mắc các bệnh lý về răng miệng như sâu răng và viêm nướu, do việc vệ sinh răng miệng trở nên khó khăn hơn. Từ đó, việc can thiệp kịp thời và đúng cách là rất cần thiết để bảo vệ sức khỏe răng miệng và tâm lý của trẻ.

Răng mọc lẫy gây mất thẩm mỹ nụ cười và ảnh hưởng chức năng nhai của trẻ
Cách điều trị tình trạng răng mọc lẫy ở trẻ em
Điều trị tình trạng răng mọc lẫy ở trẻ em cần được thực hiện một cách kịp thời và khoa học để đảm bảo sức khỏe răng miệng và sự phát triển toàn diện của trẻ. Đầu tiên, cha mẹ nên đưa trẻ đến nha sĩ để được kiểm tra và chẩn đoán chính xác nguyên nhân gây ra tình trạng này. Các bác sĩ nha khoa sẽ đánh giá mức độ lệch lạc và đưa ra phương pháp điều trị phù hợp.
Một trong những phương pháp phổ biến là niềng răng, giúp điều chỉnh vị trí răng về đúng chỗ. Niềng răng có thể được thực hiện bằng các khí cụ như mắc cài hoặc khay niềng. Ngoài ra, trong một số trường hợp, bác sĩ có thể đề xuất việc nhổ bỏ các răng sữa còn sót lại để tạo không gian cho các răng vĩnh viễn mọc lên đúng vị trí.
Bên cạnh đó, việc giáo dục trẻ về thói quen vệ sinh răng miệng đúng cách, cùng với chế độ ăn uống hợp lý, cũng đóng vai trò quan trọng trong việc ngăn ngừa các vấn đề răng miệng trong tương lai. Sự quan tâm và chăm sóc đúng mức sẽ giúp trẻ có một hàm răng khỏe mạnh và tự tin hơn.

Niềng răng là một phương pháp phổ biến điều trị răng mọc lẫy ở trẻ em

Phương pháp nhổ răng sữa để tạo không gian cho các răng vĩnh viễn mọc lên đúng vị trí.
Địa chỉ điều trị răng mọc lẫy ở trẻ em: Nha khoa SV quận 3
Nha khoa SV quận 3là một trong những địa chỉ uy tín chuyên cung cấp dịch vụ điều trị răng mọc lẫy ở trẻ em. Với đội ngũ bác sĩ nha khoa dày dạn kinh nghiệm và tay nghề cao, nha khoa SV cam kết mang đến cho trẻ em sự chăm sóc tận tình và chuyên nghiệp. Phòng khám được trang bị đầy đủ các thiết bị hiện đại, giúp việc chẩn đoán và điều trị diễn ra chính xác và hiệu quả.
Tại Nha khoa SV quận 3, các bác sĩ sẽ tiến hành khám và đánh giá tình trạng răng miệng của trẻ, từ đó đưa ra phương pháp điều trị phù hợp nhất. Nếu trẻ gặp phải tình trạng răng mọc lẫy do răng sữa chưa rụng hoặc cung hàm hẹp, bác sĩ sẽ tư vấn về các giải pháp như niềng răng hoặc nhổ bỏ răng sữa. Ngoài ra, phòng khám còn cung cấp các dịch vụ hỗ trợ như tư vấn về thói quen vệ sinh răng miệng, giúp trẻ duy trì sức khỏe răng miệng tốt nhất.
Nha khoa SV quận 3 luôn chú trọng đến sự thoải mái và an toàn của trẻ trong suốt quá trình điều trị. Đội ngũ nhân viên thân thiện và chu đáo sẽ tạo ra môi trường thân thiện, giúp trẻ cảm thấy thoải mái hơn khi đến khám. Với phương châm "Chăm sóc nụ cười của bạn", nha khoa SV quận 3 là lựa chọn lý tưởng cho các bậc phụ huynh khi tìm kiếm địa chỉ điều trị răng mọc lẫy cho trẻ.

Địa chỉ điều trị răng mọc lẫy ở trẻ em tại quận 3
Cách phòng chống răng mọc lẫy
Để phòng ngừa tình trạng răng mọc lẫy ở trẻ cha mẹ nên chú ý một số vấn đề sau đây:
- Cần nắm rõ thời gian mọc và thay răng của trẻ. Nếu trẻ có các dấu hiệu bất thường như chậm mọc răng sữa, đến tuổi thay răng nhưng răng sữa vẫn chưa lung lay, gãy rụng thì phải sớm đưa trẻ đi thăm khám để được khắc phục ngay.
- Giúp trẻ loại bỏ các thói quen mút tay, thở miệng, ngậm ti giả, đẩy lưỡi,… vì chúng có thể khiến cho răng của trẻ mọc lẫy, hô, chìa, lệch lạc, sai khớp cắn.
- Chú ý đến chế độ dinh dưỡng, bổ sung vào thực đơn hằng ngày cho trẻ đầy đủ các thực phẩm giàu canxi, vitamin C, D, chất xơ, photphat.
- Hạn chế cho trẻ dùng các món ngọt nhiều đường, các đồ ăn quá nóng, quá lạnh, thực phẩm nhiều axit, đồ ăn nhiều dầu mỡ.
- Vệ sinh răng nướu sạch sẽ mỗi ngày cho trẻ ngay từ lúc sơ sinh. Khi trẻ đã mọc răng sữa nên hướng dẫn trẻ chải răng đúng cách với bàn chải mềm, kem đánh răng phù hợp với độ tuổi để làm sạch mảng bám, vi khuẩn tồn đọng.
- Định kỳ 6 tháng/lần hãy đưa trẻ đến nha khoa uy tín để thăm khám, cạo vôi răng. Không chỉ đảm bảo duy trì hàm răng sạch khỏe cho trẻ mà còn giúp tầm soát tốt các vấn đề bất thường xảy ra ở răng miệng và kịp thời điều trị, tránh biến chứng.
Răng mọc lẫy ở trẻ em là một vấn đề phổ biến có thể gây ra nhiều hậu quả về mặt thẩm mỹ và chức năng răng miệng. Hiểu rõ nguyên nhân, từ di truyền đến các thói quen xấu, là bước đầu tiên để phụ huynh có thể giúp trẻ khắc phục tình trạng này. Việc đưa trẻ đến các cơ sở nha khoa uy tín như Nha khoa SV quận 3 sẽ giúp cha mẹ có được những giải pháp điều trị hiệu quả và an toàn. Tại đây, đội ngũ bác sĩ chuyên nghiệp sẽ không chỉ đánh giá đúng tình trạng của trẻ mà còn cung cấp các phương pháp điều trị phù hợp, từ niềng răng đến tư vấn về chăm sóc răng miệng.
Nha khoa SV quận 3 cam kết mang đến cho trẻ em một môi trường khám chữa bệnh thân thiện và thoải mái, giúp trẻ vượt qua giai đoạn khó khăn này một cách dễ dàng. Với sự quan tâm và chăm sóc đúng mức, phụ huynh có thể giúp trẻ phát triển răng miệng khỏe mạnh, tự tin hơn trong cuộc sống. Việc đầu tư vào sức khỏe răng miệng cho trẻ hôm nay sẽ mang lại những lợi ích lâu dài trong tương lai.
>>Xem thêm: Vì sao nên chọn niềng răng chỉnh nha? Nha khoa SV quận 3
>>Xem thêm: Răng khôn mọc ngang có cần nhổ không? Nha khoa SV quận 3
>>Xem thêm: Hàm duy trì sau khi niềng răng là gì? Nha khoa SV quận 3
Nha khoa SV Dental
Địa chỉ: 99 Cao Thắng, Phường 03, Quận 3, TP. Hồ Chí Minh
Hotline: 0933381675 - 02389292525
Email: nhakhoasv@gmail.com
Giờ làm việc:
Thứ 2-Thứ 6: 8h00 – 20h00
Thứ 7: 8h00 – 18h00
Chủ Nhật: 8h00 – 12h00

.png)