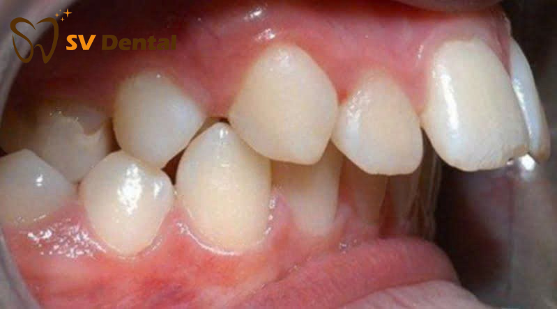
Răng hô nặng là gì?

Răng hô nặng (hay còn gọi là răng vẩu nặng) là tình trạng răng hàm trên chìa ra quá mức so với hàm dưới, khiến khuôn mặt mất cân đối và khó khép môi tự nhiên. Người bị răng hô nặng thường có biểu hiện gương mặt nhô ra phía trước, môi trên đưa ra nhiều và ảnh hưởng lớn đến giao tiếp hàng ngày.
Với trường hợp nặng, khoảng cách giữa hai hàm rất rõ, có thể nhìn thấy ngay cả khi miệng ở trạng thái nghỉ. Răng hô nặng thường cần kết hợp niềng răng và phẫu thuật hàm để đạt hiệu quả tối ưu.
Nguyên nhân gây răng hô nặng
Răng hô nặng có thể do nhiều nguyên nhân khác nhau, trong đó phổ biến nhất là:
-
Do di truyền: Cấu trúc xương hàm hô hoặc răng mọc lệch có thể di truyền từ cha mẹ.
-
Do thói quen xấu: Ngậm ti giả, mút tay, đẩy lưỡi ra trước hoặc cắn môi trên thường xuyên.
-
Do sai lệch khớp cắn: Khi hai hàm không khớp tự nhiên, dẫn đến răng trên chìa ra nhiều hơn.
-
Do xương hàm phát triển bất thường: Hàm trên phát triển quá mức hoặc hàm dưới kém phát triển.
Dấu hiệu nhận biết răng hô nặng
-
Khó khép môi khi ở trạng thái nghỉ.
-
Hàm trên nhô ra rõ rệt so với hàm dưới.
-
Cằm bị tụt vào trong, khuôn mặt mất cân đối.
-
Khi cắn lại, hai hàm không khớp nhau.
-
Môi trên dày hoặc trề ra hơn bình thường.
Tác hại của răng hô nặng

Răng hô nặng không chỉ gây mất thẩm mỹ mà còn để lại nhiều hậu quả:
-
Ảnh hưởng chức năng nhai, khiến tiêu hóa kém.
-
Tăng nguy cơ sâu răng, mòn men và viêm nướu do răng không đều.
-
Gây đau khớp thái dương hàm khi cắn, nhai lâu ngày.
-
Tự ti, ngại giao tiếp do nụ cười kém hài hòa.
Răng hô nặng có niềng được không?
👉 Hoàn toàn có thể!
Niềng răng là giải pháp phổ biến giúp điều chỉnh vị trí răng, khắc phục tình trạng hô mà không cần can thiệp phẫu thuật trong đa số trường hợp. Tuy nhiên, với mức độ hô nặng do xương hàm, bác sĩ có thể chỉ định niềng kết hợp phẫu thuật chỉnh hàm để đạt kết quả tối ưu.
Các phương pháp điều trị răng hô nặng tại Nha Khoa SV
1. Niềng răng mắc cài
Phù hợp với răng hô do sai lệch khớp cắn.
-
Dùng mắc cài kim loại hoặc sứ để kéo răng về đúng vị trí.
-
Thời gian trung bình: 2 – 3 năm.
-
Chi phí hợp lý, hiệu quả cao.
2. Niềng răng trong suốt Invisalign
-
Sử dụng khay niềng trong suốt, gần như vô hình khi đeo.
-
Mang lại tính thẩm mỹ tối đa, dễ tháo lắp.
-
Phù hợp với người bận rộn, thường xuyên giao tiếp.
3. Phẫu thuật chỉnh hàm hô
-
Áp dụng khi hô do xương hàm trên phát triển quá mức.
-
Giúp cân đối khuôn mặt và cải thiện khớp cắn.
-
Bác sĩ SV có chuyên môn phẫu thuật hàm – chỉnh nha kết hợp, đảm bảo an toàn tối đa.
4. Bọc răng sứ cho răng hô nhẹ
-
Dành cho trường hợp hô nhẹ, không do xương.
-
Rút ngắn thời gian, cải thiện thẩm mỹ nhanh chóng.
(Không khuyến khích với răng hô nặng vì phải mài nhiều răng thật.)

Yếu tố ảnh hưởng đến hiệu quả điều trị
-
Độ tuổi: Niềng răng ở tuổi 10–16 cho kết quả nhanh hơn người trưởng thành.
-
Tình trạng xương hàm và khớp cắn.
-
Tay nghề bác sĩ và công nghệ điều trị.
-
Mức độ hợp tác của bệnh nhân (đeo khay đúng giờ, tái khám đúng hẹn).
Lưu ý khi điều trị răng hô nặng
-
Giữ vệ sinh răng miệng sạch sẽ trong quá trình niềng.
-
Tuân thủ lịch hẹn siết niềng của bác sĩ.
-
Hạn chế đồ ăn cứng, dai hoặc dính.
-
Lựa chọn nha khoa có đội ngũ bác sĩ chuyên chỉnh nha.
Điều trị răng hô nặng tại Nha Khoa SV
💛 Nha khoa SV – 99 Cao Thắng, P.3, Q.3, TP.HCM là địa chỉ uy tín hàng đầu trong điều trị răng hô nặng và chỉnh nha chuyên sâu.
-
Bác sĩ chuyên khoa chỉnh nha nhiều năm kinh nghiệm.
-
Công nghệ niềng răng 3D và Invisalign tiên tiến.
-
Phác đồ điều trị cá nhân hóa cho từng bệnh nhân.
-
Không đau – không xâm lấn – hiệu quả thẩm mỹ cao.
✨ Răng hô nặng không còn là nỗi lo! Hãy để Nha Khoa SV giúp bạn lấy lại nụ cười tự tin và khuôn mặt cân đối tự nhiên chỉ sau một liệu trình điều trị chuyên sâu.
Liên hệ ngay Nha Khoa SV
-
🌐 Website: https://nhakhoasv.vn
-
🎥 TikTok: https://www.tiktok.com/@nha.khoa.sv
-
▶️ YouTube: https://www.youtube.com/@nhakhoasv7438/featured
📍 Địa chỉ: Nha khoa SV – 99 Cao Thắng, P.3, Q.3, TP.HCM
📞 Hotline: 0933 381 675
#NhaKhoaSV #NhaKhoaQuan3 #NhaKhoaUyTin #RangDep #ChamSocRang #NhaKhoaTPHCM

.png)