Điều Trị Viêm Nha Chu Hiệu Quả – Bảo Vệ Răng Chắc Khỏe Lâu Dài | Nha Khoa SV

Hotline: 0933 381 675 - 0933 381 675

Địa chỉ: 99 Cao Thắng, Phường 03, Quận 3, TP. Hồ Chí Minh
Đặt lịch khám
logo

Điều Trị Viêm Nha Chu Hiệu Quả – Bảo Vệ Răng Chắc Khỏe Lâu Dài | Nha Khoa SV
13/01/2026 09:11 AM 197 Lượt xem

Viêm nha chu là gì?

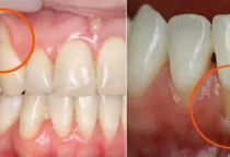
Sưng, chảy máu nướu, tụt nướu, răng lung lay, hôi miệng – Biểu hiện ở viêm nha chu

Viêm nha chu là tình trạng viêm nhiễm mô nâng đỡ răng, bao gồm nướu, dây chằng nha chu và xương ổ răng.
Bệnh thường khởi phát từ viêm nướu – giai đoạn sớm với biểu hiện nướu sưng đỏ, chảy máu khi đánh răng.

Nếu không được điều trị kịp thời, viêm nha chu sẽ tiến triển âm thầm, phá huỷ xương quanh răng, khiến răng lung lay và rụng dần theo thời gian.


Dấu hiệu nhận biết viêm nha chu

Người bệnh viêm nha chu thường có các biểu hiện sau:

  • Nướu sưng đỏ, dễ chảy máu

  • Hơi thở có mùi hôi kéo dài

  • Tụt nướu, lộ chân răng

  • Răng lung lay, đau khi nhai

  • Có mủ quanh răng (ở giai đoạn nặng)

👉 Đây là những dấu hiệu không thể tự khỏi, cần được thăm khám nha khoa sớm.


Nguyên nhân gây viêm nha chu

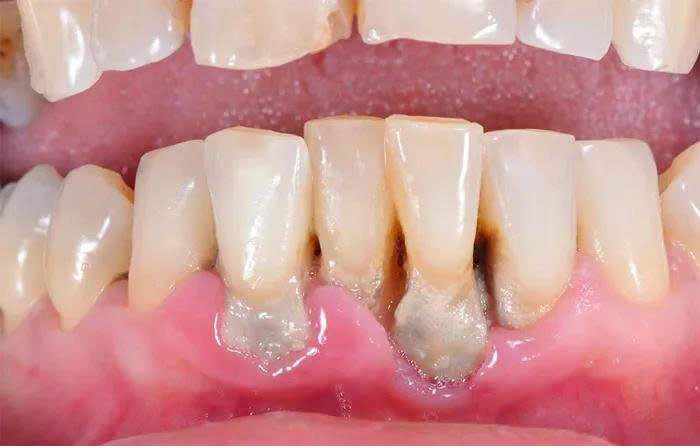
Nguyên nhân chính là do cao răng và mảng bám vi khuẩn tích tụ lâu ngày không được làm sạch.
Ngoài ra, một số yếu tố nguy cơ làm tăng khả năng mắc bệnh:

  • Vệ sinh răng miệng kém

  • Hút thuốc lá

  • Bệnh lý toàn thân như tiểu đường, tim mạch

  • Yếu tố di truyền

📌 Cao răng chính là “ổ chứa vi khuẩn”, càng để lâu càng gây viêm nặng.


Viêm nha chu có nguy hiểm không?

Viêm nha chu rất nguy hiểm nếu không điều trị:

  • Tiêu xương ổ răng → răng lung lay, rụng sớm

  • Ảnh hưởng nghiêm trọng đến ăn nhai

  • Gây rối loạn tiêu hoá do ăn uống kém

  • Làm suy giảm sức khỏe toàn thân do viêm nhiễm mạn tính


Các phương pháp điều trị viêm nha chu hiệu quả

1. Cạo vôi răng và làm sạch túi nha chu

Đây là bước điều trị cơ bản và bắt buộc.
Bác sĩ sẽ loại bỏ toàn bộ cao răng, mảng bám dưới nướu – nguyên nhân chính gây viêm.


2. Điều trị bằng thuốc (khi cần)

Áp dụng cho trường hợp viêm nha chu mức độ trung bình – nặng.
Thuốc kháng sinh giúp kiểm soát vi khuẩn, giảm viêm theo chỉ định của bác sĩ.


3. Phẫu thuật nha chu (trường hợp nặng)

Khi xương và mô nha chu bị phá huỷ nghiêm trọng, bác sĩ có thể chỉ định:

  • Phẫu thuật lật vạt làm sạch sâu

  • Ghép xương phục hồi vùng xương bị tiêu

  • Ghép mô mềm tái tạo nướu


4. Chăm sóc và theo dõi định kỳ

Sau điều trị, người bệnh cần tái khám định kỳ để:

  • Ngăn ngừa tái phát

  • Duy trì răng chắc khỏe lâu dài


Cách phòng ngừa viêm nha chu

Cạo vôi răng, ngăn ngừa và điều trị viêm nha chu hiệu quả
  • Chải răng đúng cách ít nhất 2 lần/ngày

  • Dùng chỉ nha khoa và nước súc miệng

  • Cạo vôi răng định kỳ 6 tháng/lần

  • Không hút thuốc lá

  • Khám răng định kỳ dù không đau


Xem thêm bài viết liên quan

👉 8 nguyên nhân gây đau nhức răng và cách điều trị hiệu quả
https://nhakhoasv.vn/8-nguyen-nhan-gay-dau-nhuc-rang-va-cach-dieu-tri-hieu-qua


Điều trị viêm nha chu tại Nha Khoa SV

Điều trị viêm nha chu đòi hỏi chuyên môn cao, sự tỉ mỉ và hệ thống trang thiết bị hiện đại, đặc biệt với các ca tiêu xương nặng.

Tại Nha Khoa SV, bệnh nhân được:

  • Loại bỏ triệt để vi khuẩn gây viêm

  • Điều trị nhẹ nhàng, an toàn

  • Phục hồi nướu và xương giúp răng chắc khỏe bền lâu


Video: Tác hại của viêm nha chu