Trồng răng Implant All On 4 là một giải pháp hiện đại và hiệu quả cho những người mất răng, giúp phục hồi chức năng ăn nhai và thẩm mỹ. Tại Nha khoa SV quận 3, chúng tôi tự hào là địa chỉ uy tín chuyên cung cấp dịch vụ trồng răng Implant chất lượng cao. Với đội ngũ bác sĩ dày dạn kinh nghiệm và trang thiết bị hiện đại, chúng tôi cam kết mang đến cho khách hàng sự phục hồi hoàn hảo nhất. Hãy đến với Nha khoa SV để trải nghiệm dịch vụ chăm sóc răng miệng chuyên nghiệp và tận tâm!
Trồng răng Implant All On 4 là gì?
Trồng răng Implant All On 4 là một phương pháp phục hồi răng miệng tiên tiến, giúp phục hồi toàn bộ hàm răng chỉ với bốn trụ Implant. Phương pháp này đặc biệt phù hợp cho những người mất răng toàn bộ hoặc có tình trạng răng miệng không còn khả năng phục hồi. Với All On 4, bác sĩ sẽ cấy ghép bốn trụ Implant vào xương hàm, sau đó gắn một hàm răng giả cố định lên trên. Điều này không chỉ giúp cải thiện chức năng ăn nhai mà còn mang lại thẩm mỹ tự nhiên cho nụ cười của bệnh nhân.
Hiện nay có 2 loại phục hình Implant All On 4 đó là:
- Implant All On 4 cố định: Răng giả được gắn cố định trên 4 trụ Implant thông qua khóa cài dạng bi, người bệnh không thể tự tháo lắp tại nhà. Định kỳ 3 – 6 tháng bệnh nhân cần đến nha khoa để bác sĩ kiểm tra và vệ sinh bằng các biện pháp chuyên biệt.
- Implant All On 4 tháo lắp: Răng giả được gắn trên Implant thông qua thanh bar, cho phép người bệnh dễ dàng tháo lắp để vệ sinh tại nhà.

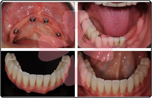
Hình ảnh giới thiệu phương pháp trồng răng Implant All On 4
Ưu điểm của phương pháp trồng răng Implant All On 4
Trồng răng Implant All On 4 là một trong những giải pháp phục hồi răng miệng tiên tiến và hiệu quả nhất hiện nay. Phương pháp này mang lại nhiều ưu điểm nổi bật, giúp bệnh nhân khôi phục chức năng ăn nhai và thẩm mỹ một cách nhanh chóng và tiết kiệm.
1. Thời gian thực hiện nhanh chóng
Một trong những ưu điểm lớn nhất của All On 4 tại quận 3 là thời gian thực hiện. Khác với các phương pháp trồng răng truyền thống, yêu cầu cấy ghép từng Implant riêng lẻ và có thể mất nhiều tháng để hoàn thành, All On 4 cho phép bệnh nhân có thể sở hữu một hàm răng mới chỉ sau một ngày. Điều này đặc biệt hữu ích cho những người có nhu cầu cao về thẩm mỹ hoặc muốn nhanh chóng trở lại cuộc sống bình thường.
2. Giải pháp tiết kiệm chi phí
Trồng răng Implant All On 4 không chỉ giúp tiết kiệm thời gian mà còn tiết kiệm chi phí điều trị. Thay vì cấy ghép từng răng một, phương pháp này chỉ cần bốn trụ Implant cho toàn bộ hàm răng. Điều này giúp giảm số lượng vật liệu sử dụng và chi phí phẫu thuật, mang lại hiệu quả kinh tế hơn cho bệnh nhân.

Trồng răng Implant All On 4
3. Tính ổn định và bền vững
Các trụ Implant được cấy ghép vào xương hàm theo một góc độ đặc biệt, giúp tăng cường tính ổn định và khả năng chịu lực. Phương pháp All On 4 tận dụng tối đa xương hàm hiện có, giảm thiểu nhu cầu ghép xương trước khi cấy ghép. Những trụ Implant này có thể tồn tại lâu dài, mang lại sự bền vững cho hàm răng mới.
4. Cải thiện chức năng ăn nhai
Một trong những vấn đề lớn mà những người mất răng thường gặp phải là khó khăn trong việc ăn uống. Với phương pháp All On 4, bệnh nhân có thể trở lại ăn uống bình thường chỉ sau một thời gian ngắn hồi phục. Thẩm mỹ và chức năng được cải thiện đáng kể, giúp bệnh nhân tự tin hơn trong giao tiếp và sinh hoạt hàng ngày.
5. Tính thẩm mỹ cao
Hàm răng mới được thiết kế theo hình dáng và màu sắc tự nhiên, giúp bệnh nhân có nụ cười tự tin và đẹp hơn. Các vật liệu sử dụng trong quá trình chế tạo hàm răng giả rất giống với răng thật, từ đó tạo cảm giác thoải mái và tự nhiên nhất khi ăn nhai.
6. Duy trì sức khỏe xương hàm
Khi mất răng, xương hàm có thể bị tiêu biến do không còn kích thích từ răng. Trồng răng Implant All On 4 giúp kích thích xương hàm, ngăn ngừa tình trạng tiêu xương. Điều này không chỉ giữ cho cấu trúc khuôn mặt không bị biến dạng mà còn duy trì sức khỏe của xương hàm trong thời gian dài.
7. Dễ dàng chăm sóc và bảo trì
Hàm răng mới sau khi trồng răng Implant All On 4 rất dễ dàng trong việc chăm sóc. Bệnh nhân chỉ cần duy trì vệ sinh răng miệng hàng ngày như bình thường, từ đó giúp kéo dài tuổi thọ của hàm răng mới mà không cần thực hiện các quy trình phức tạp.
Tóm lại, Trồng răng Implant All On 4 không chỉ mang lại giải pháp phục hồi răng hiệu quả mà còn giúp cải thiện đáng kể chất lượng cuộc sống cho bệnh nhân. Với những ưu điểm vượt trội về thời gian, chi phí, tính ổn định và thẩm mỹ, phương pháp này ngày càng được ưa chuộng và trở thành lựa chọn hàng đầu cho những ai đang tìm kiếm giải pháp phục hồi răng miệng.
Nhược điểm của phương pháp trồng răng Implant All On 4
Mặc dù phương pháp trồng răng Implant All On 4 mang lại nhiều ưu điểm nổi bật, nhưng cũng không thể phủ nhận rằng nó có một số nhược điểm mà bệnh nhân cần cân nhắc trước khi quyết định thực hiện. Dưới đây là một số nhược điểm chính của phương pháp này.
Chi phí cao
Mặc dù All On 4 thường tiết kiệm hơn so với việc trồng từng răng riêng lẻ, nhưng chi phí ban đầu của phương pháp này vẫn có thể khá cao. Nhiều bệnh nhân có thể cảm thấy khó khăn trong việc chi trả, đặc biệt là những người không có bảo hiểm nha khoa hoặc không được hỗ trợ tài chính. Chi phí này bao gồm không chỉ việc cấy ghép Implant mà còn các dịch vụ liên quan khác như khám, chụp X-quang và chế tạo hàm răng giả.
Yêu cầu sức khỏe tốt
Phương pháp này yêu cầu bệnh nhân phải có sức khỏe tốt và có đủ xương hàm để cấy ghép. Nếu xương hàm bị tiêu biến nghiêm trọng, bệnh nhân có thể cần thực hiện các thủ thuật bổ sung như ghép xương, điều này có thể làm tăng thời gian và chi phí điều trị. Bệnh nhân mắc các bệnh lý như tiểu đường không kiểm soát, bệnh tim mạch hoặc các bệnh lý nghiêm trọng khác cũng có thể không đủ điều kiện để thực hiện.
Thời gian hồi phục
Dù thời gian thực hiện nhanh chóng, nhưng một số bệnh nhân có thể gặp phải thời gian hồi phục kéo dài sau khi cấy ghép. Sự khó chịu, sưng tấy và đau nhức là những triệu chứng thường gặp trong giai đoạn này. Trong trường hợp có biến chứng, bệnh nhân có thể cần thêm thời gian để phục hồi hoàn toàn.
Nguy cơ biến chứng
Như bất kỳ thủ thuật y tế nào, trồng răng Implant All On 4 cũng có nguy cơ biến chứng như nhiễm trùng, phản ứng dị ứng với vật liệu cấy ghép, hoặc sự thất bại trong quá trình cấy ghép. Mặc dù tỷ lệ thành công của phương pháp này cao, nhưng không thể loại bỏ hoàn toàn nguy cơ.
Khó khăn trong việc điều chỉnh
Trong một số trường hợp, nếu hàm răng giả không vừa khít hoặc không phù hợp, việc điều chỉnh có thể trở nên phức tạp hơn so với các phương pháp khác. Điều này đòi hỏi sự can thiệp của bác sĩ và có thể làm tăng thêm chi phí và thời gian điều trị.
Tóm lại, trước khi quyết định thực hiện phương pháp trồng răng Implant All On 4, bệnh nhân cần thảo luận kỹ lưỡng với bác sĩ để hiểu rõ về những nhược điểm cũng như các rủi ro có thể gặp phải. Việc lựa chọn phương pháp điều trị phù hợp là rất quan trọng để đảm bảo sức khỏe răng miệng lâu dài.
Trường hợp nào có thể trồng răng Implant All On 4
Trồng răng Implant All On 4 là một giải pháp phục hồi răng miệng hữu hiệu dành cho những bệnh nhân mất răng toàn bộ hoặc có tình trạng răng miệng nghiêm trọng. Tuy nhiên, không phải ai cũng phù hợp để thực hiện phương pháp này. Dưới đây là một số trường hợp cụ thể mà bệnh nhân có thể xem xét khả năng trồng răng Implant All On 4.
Mất răng toàn bộ: Trường hợp bệnh nhân mất toàn bộ răng trên một hoặc cả hai hàm là điều kiện lý tưởng để áp dụng All On 4. Phương pháp này cho phép phục hồi toàn bộ hàm răng chỉ với bốn trụ Implant, giúp bệnh nhân có được một hàm răng mới với chức năng ăn nhai và thẩm mỹ hoàn hảo.

Trồng răng Implant All On 4 áp dụng cho bệnh nhân mất toàn bộ răng trên hoặc cả 2 hàm
Tình trạng xương hàm còn đủ sức khỏe: Bệnh nhân có đủ xương hàm để cấy ghép Implant là một yếu tố quan trọng. All On 4 được thiết kế để tận dụng tối đa xương hàm hiện có, nhờ vào việc cấy ghép các trụ Implant theo một góc độ đặc biệt. Nếu xương hàm bị tiêu biến nghiêm trọng, bệnh nhân có thể cần thực hiện thủ thuật ghép xương trước khi cấy ghép.
Bệnh nhân có sức khỏe tổng quát tốt: Sức khỏe tổng quát của bệnh nhân là một yếu tố quan trọng trong quy trình trồng răng. Những người mắc các bệnh lý như tiểu đường không kiểm soát, bệnh tim mạch hoặc các vấn đề về miễn dịch có thể không đủ điều kiện để thực hiện phương pháp này. Trước khi quyết định, bệnh nhân nên thực hiện các kiểm tra sức khỏe cần thiết để đảm bảo an toàn.
Mong muốn phục hồi nhanh chóng: Những bệnh nhân muốn có một hàm răng mới trong thời gian ngắn cũng là đối tượng phù hợp. Phương pháp All On 4 cho phép bệnh nhân có thể sở hữu hàm răng mới chỉ sau một ngày, giúp họ nhanh chóng trở lại cuộc sống bình thường.
Tâm lý sẵn sàng cho quy trình điều trị: Cuối cùng, bệnh nhân cần có tâm lý thoải mái và sẵn sàng cho quy trình điều trị. Việc hiểu rõ về quy trình, chăm sóc sau cấy ghép và cam kết duy trì vệ sinh răng miệng là rất quan trọng để đảm bảo thành công của phương pháp.
Quy trình trồng răng Implant All On 4
Quy trình trồng răng Implant thường gồm 5 bước chuẩn Y khoa như sau:
- Bước 1: Bác sĩ tiến hành thăm khám tổng quát khoang miệng, chụp X-quang để phân tích tình trạng răng miệng, tư vấn phác đồ và lựa chọn loại vật liệu cấy ghép phù hợp. Bên cạnh đó, bệnh nhân cũng được thực hiện xét nghiệm liên quan để chắc chắn đủ sức khỏe cắm trụ Implant.
- Bước 2: Người bệnh được gây tê ở vùng cần đặt trụ Implant để giảm đau nhức, khó chịu, sau đó bác sĩ cấy 4 trụ Implant vào xương hàm, tại vị trí đã được xác định từ trước.
- Bước 3: Bác sĩ lấy dấu hàm và gửi đến phòng Labo để chế tác răng sứ. Sau khi cấy ghép khoảng 3 – 5 ngày, người bệnh quay lại nha khoa để gắn răng tạm, đảm bảo thẩm mỹ và khả năng ăn nhai.
- Bước 4: Sau 7 – 10 ngày, bệnh nhân đến nha khoa để bác sĩ kiểm tra độ lành thương, xử lý vấn đề phát sinh nếu có, đảm bảo an toàn tuyệt đối.
- Bước 5: Khoảng 3 – 6 tháng khi trụ Implant tích hợp hoàn toàn vào xương, bác sĩ tiến hành gắn mão sứ cố định lên trụ Implant, kết thúc quá trình trồng răng.
Nha khoa SV quận 3 – Địa chỉ cấy ghép Implant All On 4 uy tín, chất lượng bền vững
Nha khoa SV quận 3 đã khẳng định được vị thế là một trong những địa chỉ uy tín hàng đầu trong lĩnh vực cấy ghép Implant All On 4 tại khu vực TP.HCM. Với đội ngũ bác sĩ chuyên khoa dày dạn kinh nghiệm, Nha khoa SV không chỉ cung cấp dịch vụ chất lượng mà còn mang lại sự an tâm cho bệnh nhân trong suốt quá trình điều trị.

Nha khoa SV quận 3: địa chỉ trồng răng Implant All On 4 uy tín tại quận 3
trong những yếu tố làm nên uy tín của Nha khoa SV quận 3 chính là công nghệ hiện đại và trang thiết bị tiên tiến được áp dụng trong cấy ghép Implant. Phòng khám sử dụng các vật liệu chất lượng cao, đảm bảo an toàn và độ bền lâu dài cho các trụ Implant. Quy trình thực hiện được tuân thủ nghiêm ngặt theo tiêu chuẩn quốc tế, từ khâu khám và chẩn đoán đến cấy ghép và chăm sóc sau điều trị, giúp tối ưu hóa kết quả phục hồi cho bệnh nhân.
Bên cạnh đó, Nha khoa SV còn nổi bật với dịch vụ chăm sóc khách hàng tận tâm. Mỗi bệnh nhân đều được tư vấn kỹ lưỡng về quy trình cấy ghép, những lợi ích và rủi ro có thể gặp phải. Đội ngũ nhân viên thân thiện và chuyên nghiệp luôn sẵn sàng hỗ trợ, giải đáp mọi thắc mắc, giúp bệnh nhân cảm thấy thoải mái và an tâm hơn khi quyết định thực hiện cấy ghép Implant.
Nha khoa SV cũng chú trọng đến việc cập nhật các công nghệ mới nhất trong ngành nha khoa, giúp nâng cao hiệu quả điều trị và tiết kiệm thời gian cho bệnh nhân. Với phương pháp All On 4, bệnh nhân sẽ có cơ hội sở hữu hàm răng mới chỉ sau một ngày, giúp họ nhanh chóng trở lại với cuộc sống sinh hoạt bình thường.
Cuối cùng, sự thành công của Nha khoa SV còn được thể hiện qua những phản hồi tích cực từ phía bệnh nhân. Nhiều người đã trải nghiệm dịch vụ tại đây và hài lòng với kết quả điều trị, nhờ đó mà Nha khoa SV ngày càng được biết đến rộng rãi hơn trong cộng đồng.

Trồng răng Implant All On 4 tại Nha khoa SV quận 3
Tóm lại, Nha khoa SV quận 3 là địa chỉ cấy ghép Implant All On 4 uy tín và chất lượng, cam kết mang đến sự phục hồi bền vững cho sức khỏe răng miệng của bệnh nhân.
Kết luận
Dịch vụ trồng răng Implant All On 4 tại Nha khoa SV quận 3 không chỉ đảm bảo chất lượng cao mà còn mang lại sự an tâm cho bệnh nhân. Với đội ngũ bác sĩ chuyên môn giỏi, công nghệ tiên tiến và quy trình thực hiện nghiêm ngặt, Nha khoa SV đã khẳng định được uy tín trong lĩnh vực cấy ghép Implant. Bệnh nhân sẽ nhanh chóng sở hữu hàm răng mới, cải thiện chức năng ăn nhai và thẩm mỹ, từ đó nâng cao chất lượng cuộc sống. Nha khoa SV là lựa chọn lý tưởng cho những ai tìm kiếm giải pháp phục hồi răng miệng bền vững.
>>Xem thêm: Hàm giả tháo lắp-Ưu điểm và nhược điểm: Nha khoa quận 3
>>Xem thêm: Niềng răng trong suốt có tốt hay không? Nha khoa SV quận 3
>>Xem thêm: Niềng răng hô nhẹ tại Nha khoa SV quận 3 đường Cao Thắng
Nha khoa SV Quận 3
Địa chỉ: 99 Cao Thắng, Phường 03, Quận 3, TP. Hồ Chí Minh
Hotline: 0933381675 - 02389292525
Email: nhakhoasv@gmail.com
Giờ làm việc:
Thứ 2-Thứ 6: 8h00 – 20h00
Thứ 7: 8h00 – 18h00
Chủ Nhật: 8h00 – 12h00

.png)