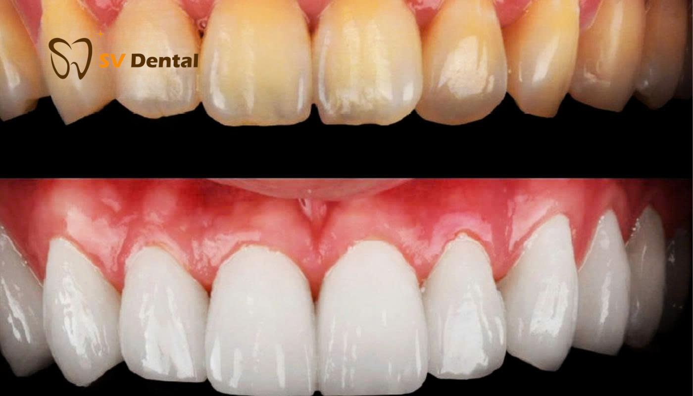
Có nên bọc răng sứ không? Những điều cần biết trước khi thực hiện

Bọc răng sứ hiện là một trong những phương pháp phục hình và thẩm mỹ nha khoa phổ biến nhất hiện nay, giúp cải thiện hình dáng, màu sắc và chức năng của răng thật. Tuy nhiên, việc mài răng và chụp mão sứ lên trên đòi hỏi cần được thực hiện cẩn trọng, bởi nếu không đúng kỹ thuật sẽ ảnh hưởng đến răng thật.
Vậy có nên bọc răng sứ không? Cùng Nha Khoa SV tìm hiểu chi tiết qua bài viết dưới đây nhé!
1. Bọc răng sứ là gì?

Bọc răng sứ là kỹ thuật mài một phần răng thật để tạo khoảng trống cho mão sứ chụp bên ngoài. Lớp sứ được chế tác riêng biệt cho từng người, có hình dáng và màu sắc như răng thật, giúp phục hồi chức năng ăn nhai và thẩm mỹ nụ cười.
Phương pháp này thường được chỉ định khi răng bị sứt, vỡ, xỉn màu nặng, mọc lệch nhẹ hoặc sau khi điều trị tủy. Với công nghệ hiện đại, mão răng sứ hiện nay có độ bền cao, tuổi thọ từ 10–20 năm nếu chăm sóc đúng cách.
2. Lợi ích của bọc răng sứ

-
Tăng tính thẩm mỹ: Che khuyết điểm răng hô, thưa, lệch nhẹ, răng xỉn màu, giúp nụ cười trắng sáng và đều đẹp.
-
Khôi phục chức năng ăn nhai: Răng sứ có độ cứng gấp 3–5 lần răng thật, giúp ăn nhai thoải mái.
-
Bảo vệ răng thật: Ngăn ngừa sâu răng, giảm mòn men và giữ chắc phần răng gốc đã yếu.
-
Tự tin giao tiếp: Màu sắc tự nhiên, hài hòa, tạo cảm giác thoải mái khi cười hoặc nói chuyện.
3. Những trường hợp nên bọc răng sứ

Bạn nên thực hiện bọc răng sứ trong các trường hợp sau:
-
Răng sau chữa tủy yếu, dễ gãy
-

-
Răng thưa, hở kẽ, mọc lệch nhẹ
-
Răng bị hô, móm nhẹ do răng
-

-
Răng bị nhiễm màu kháng sinh, xỉn màu, ố vàng
-

-
Men răng mòn, nhạy cảm, dễ ê buốt
-

-
Nhu cầu thẩm mỹ – mong muốn có nụ cười đều, sáng, tự nhiên
-

4. 6 điều cần lưu ý khi bọc răng sứ
Để đạt kết quả đẹp và bền lâu, bạn cần chú ý:
-
Khám và tư vấn với bác sĩ chuyên khoa: Xác định rõ tình trạng răng, chọn giải pháp phù hợp (bọc sứ hay dán sứ veneer).
-
Chọn nha khoa uy tín: Quy trình đúng kỹ thuật, có bác sĩ chuyên về phục hình thẩm mỹ.
-
Lựa chọn loại sứ phù hợp: Tùy nhu cầu và tài chính – các dòng sứ phổ biến: Zirconia, Cercon HT, Lisi, Emax…
-
Chăm sóc răng sứ đúng cách: Chải răng nhẹ, dùng chỉ nha khoa, tránh cắn vật cứng.
-
Chế độ ăn uống hợp lý: Hạn chế thực phẩm quá nóng, quá lạnh, có màu đậm (trà, cà phê, thuốc lá…).
-
Tái khám định kỳ 6 tháng/lần: Để bác sĩ kiểm tra khớp cắn, độ bền của sứ và vệ sinh tổng thể.
5. Bọc răng sứ có nên không?
Nếu bạn đang tìm kiếm một phương pháp giúp phục hồi răng hư tổn và cải thiện thẩm mỹ nhanh chóng, bọc răng sứ là lựa chọn rất đáng cân nhắc.
Phương pháp này giúp:
-
Tạo nụ cười đều, sáng, tự nhiên
-
Tăng khả năng ăn nhai
-
Bảo vệ răng thật khỏi vi khuẩn, sâu răng
Tuy nhiên, hãy thực hiện tại nha khoa uy tín, có bác sĩ tay nghề cao để đảm bảo độ chính xác, an toàn và độ bền răng sứ dài lâu.
6. Bọc răng sứ ở đâu tốt tại TP.HCM?
Tại TP.HCM, Nha Khoa SV là một trong những địa chỉ được nhiều khách hàng tin tưởng lựa chọn nhờ:
-
Đội ngũ bác sĩ chuyên môn cao, nhiều năm kinh nghiệm phục hình răng sứ thẩm mỹ
-
Hệ thống máy móc – thiết bị hiện đại, đảm bảo quy trình vô trùng tuyệt đối
-
Các dòng răng sứ cao cấp như: Emax, Lisi, Cercon HT, Zirconia, Nacera, Lava Plus
-
Chính sách bảo hành minh bạch, rõ ràng cho từng dòng sứ
-
Báo giá trọn gói, không phát sinh chi phí trong quá trình điều trị
Bọc răng sứ tại Nha Khoa SV giúp bạn sở hữu nụ cười trắng sáng – ăn nhai chắc khỏe – tự tin dài lâu.

✨ Liên hệ ngay để được tư vấn miễn phí:
🔹 TikTok: https://www.tiktok.com/@nha.khoa.sv
🔹 YouTube: https://www.youtube.com/@nhakhoasv7438/featured
🔹 Website: https://nhakhoasv.vn/
📍 Nha khoa SV – 99 Cao Thắng, P.3, Q.3, TP.HCM
📞 Hotline: 0933 381 675
#NhaKhoaSV #NhaKhoaQuan3 #NhaKhoaUyTin #RangDep #ChamSocRang #NhaKhoaTPHCM

.png)