Trong lĩnh vực nha khoa, các loại răng sứ phổ biến hiện nay đã trở thành một trong những giải pháp cải thiện thẩm mỹ và chức năng cho hàm răng. Với sự phát triển không ngừng của công nghệ nha khoa, ngày càng nhiều loại răng sứ được ra đời, mỗi loại đều có những đặc điểm riêng biệt. Việc lựa chọn loại răng sứ phù hợp không chỉ giúp khôi phục nụ cười mà còn ảnh hưởng đến sức khỏe răng miệng của bạn.
Các loại hình làm răng sứ thẩm mỹ
Răng sứ thẩm mỹ ngày càng trở nên phổ biến trong ngành nha khoa, nhờ vào khả năng cải thiện vẻ đẹp và chức năng của hàm răng. Dưới đây là các loại hình răng sứ thẩm mỹ phổ biến mà bạn có thể tham khảo:
Bọc răng sứ
Bọc răng sứ là một phương pháp phục hình răng được thực hiện bằng cách làm một lớp vỏ sứ bao quanh răng thật.
Đây là một phương pháp giúp che phủ toàn bộ một chiếc răng, giúp khôi phục lại hình dáng bình thường. Mục đích của quá trình bọc răng sứ thường là:
- Che đi răng đã bị mất đi hình dáng ban đầu do tai nạn hay răng bị xỉn màu
- Bảo vệ các răng bị yếu, lung lay
- Phục hồi những răng bị hỏng hoặc mòn răng
- Che phủ răng khi có một lỗ hổng quá lớn không thể trám
- Chụp lên trên trụ implant khi trồng răng
- Bao phủ răng đã được rút tủy
- Vật liệu dùng để làm mão răng thường là sứ. Ngoài ra, vẫn có những mão răng bằng kim loại, nhựa hoặc ceramic… Để chuẩn bị cho quy trình bọc răng sứ, bạn sẽ được tạo hình khuôn răng bằng những kỹ thuật nha khoa do nha sĩ thực hiện.

Hình ảnh minh họa về phương pháp bọc răng sứ
Dán răng sứ (Veneer)
Dán sứ Veneer là một phương pháp thẩm mỹ nha khoa, trong đó lớp sứ mỏng được chế tác riêng biệt và dán lên bề mặt của răng thật. Phương pháp này thường được sử dụng để cải thiện hình dáng, màu sắc và kích thước của răng, giúp tạo ra nụ cười hoàn hảo hơn.
.jpg)
Hình ảnh về phương pháp dán sứ Veneer
Đặc điểm của dán sứ Veneer:
- Chất liệu cao cấp: Veneer thường được làm từ sứ hoặc composite resin, đảm bảo tính thẩm mỹ và độ bền cao.
- Tính thẩm mỹ: Lớp veneer có thể được thiết kế và chế tác theo yêu cầu, giúp tạo ra màu sắc và hình dạng răng tự nhiên, phù hợp với khuôn mặt và tông da của từng người.
- Ít xâm lấn: Quy trình dán veneer thường không yêu cầu phải mài mòn nhiều răng thật, giữ cho cấu trúc răng nguyên vẹn, chỉ cần mài một lớp mỏng ở bề mặt răng.
- Bền lâu: Với sự chăm sóc đúng cách, các lớp veneer có thể kéo dài từ 10 đến 15 năm hoặc lâu hơn, tùy thuộc vào chất liệu và cách vệ sinh.
- Khả năng chống bám bẩn: Sứ có khả năng chống lại các tác nhân gây ố vàng, như cà phê, trà hay thuốc lá, giúp duy trì màu sắc sáng đẹp theo thời gian.
- Đơn giản trong quá trình thực hiện: Quá trình dán veneer khá nhanh chóng, thường chỉ cần từ 2 đến 3 lần hẹn với bác sĩ nha khoa để hoàn thành.
Với những đặc điểm nổi bật trên, dán sứ veneer đang trở thành lựa chọn phổ biến cho những ai muốn cải thiện nụ cười mà không cần đến các phương pháp niềng răng phức tạp.
Cầu răng sứ

Hình ảnh minh họa về cầu răng sứ tại Nha khoa SV quận 3
Cầu răng là một phương pháp dùng để thay thế một hoặc vài răng bị mất bằng răng giả. Chất liệu dùng để làm cầu răng có thể là sứ, kim loại hay vật liệu kết hợp nhưng phổ biến nhất vẫn là sứ vì nó mang lại màu sắc tự nhiên, tương thích với hàm răng thật nhất.
Trong quá trình làm cầu răng, bạn thường phải mài nhỏ răng hai bên để làm răng trụ. Mão răng sẽ chụp vào hai trụ hai bên và ở giữa nối một răng giả để thay thế răng bị mất. Đây là hình thức phục hình răng cố định, nếu bạn muốn tháo bỏ cầu răng, bạn cần phải đến nha khoa để thực hiện.
Cấy ghép implant
Cấy ghép implant là một hình thức nha khoa thẩm mỹ khá đắt tiền nhưng là giải pháp lâu dài trong trường hợp bạn muốn thay thế răng bị mất.
Một chiếc răng implant sẽ bao gồm 3 phần chính:
- Trụ implant: thường làm bằng hợp chất titanium không mòn, không rỉ và được gắn vào khung xương hàm. Trụ implant sẽ đóng vai trò như một chân răng.
- Abutment: là một chốt làm bằng kim loại với thiết kế hai đầu, đóng vai trò là khớp nối giữa trụ implant và mão răng. Abutment chỉ được gắn cố định vào implant khi quá trình tích hợp giữa xương và trụ implant thành công.
- Mão răng: là một thân răng rỗng được chụp vào đầu trên của abutment. Mão răng này được thiết kế dựa trên mẫu dấu răng lấy từ người bệnh với hình dạng, màu sắc và kích thước phù hợp với cả hàm răng thật. Mão răng cũng có thể làm từ nhiều chất liệu khác nhau nhưng phổ biến nhất vẫn là sứ.
Trụ implant có thể tồn tại vĩnh viễn trong xương hàm nếu bạn chăm sóc răng miệng sau khi trồng răng tốt. Nếu phần mão răng bị hư hại, bạn chỉ cần bọc răng lại mà không ảnh hưởng đến phần trụ hay abutment.

Hình ảnh minh họa phương pháp cấy ghép implant
Những loại răng sứ thẩm mỹ phổ biến hiện nay
Trên thị trường nha khoa hiện nay, có rất nhiều loại răng sứ khác nhau, mỗi loại mang lại những lợi ích và hạn chế nhất định. Việc hiểu rõ về các loại này sẽ giúp bạn đưa ra quyết định chính xác hơn cho bản thân.
Răng sứ kim loại
Răng sứ kim loại là sự kết hợp giữa vật liệu sứ và kim loại, trong đó phần bên trong là kim loại và lớp phủ bên ngoài là sứ. Loại răng này thường được sử dụng trong các trường hợp cần độ bền cao, chẳng hạn như răng hàm.

Hình ảnh giới thiệu về răng sứ kim loại
Ưu điểm:
- Độ bền cao: Răng sứ kim loại có khả năng chịu lực tốt, giúp chúng không dễ bị gãy hay hỏng khi nhai thức ăn.
- Chống mài mòn: Với thành phần kim loại bên trong, răng sứ kim loại ít bị mài mòn hơn so với các loại răng sứ thuần túy.
- Thẩm mỹ tương đối: Mặc dù không hoàn toàn đạt được độ tự nhiên như răng sứ nguyên chất, nhưng răng sứ kim loại vẫn có thể tạo ra vẻ ngoài khá thẩm mỹ.
- Chi phí hợp lý: So với một số loại răng sứ khác, răng sứ kim loại thường có chi phí thấp hơn, làm cho nó trở thành lựa chọn hấp dẫn cho nhiều người.
Nhược điểm:
- Độ trong suốt kém: Răng sứ kim loại không có độ trong suốt giống như răng thật, nên có thể không đạt được hiệu ứng thẩm mỹ tốt nhất.
- Lòng kim loại có thể lộ ra: Ở một số trường hợp, viền kim loại của răng có thể lộ ra ngoài, đặc biệt là ở vùng nướu, gây ảnh hưởng đến thẩm mỹ.
- Phản ứng dị ứng: Một số người có thể phản ứng dị ứng với các thành phần kim loại trong răng, điều này có thể gây khó chịu hoặc đau đớn.
- Kỹ thuật chế tác phức tạp: Việc sản xuất và lắp đặt răng sứ kim loại yêu cầu kỹ thuật cao, do đó, cần phải tìm kiếm nha sĩ có kinh nghiệm để đảm bảo kết quả tốt.
Nhìn chung, răng sứ kim loại là một sự lựa chọn hợp lý cho nhiều bệnh nhân, nhưng cũng cần cân nhắc kỹ lưỡng về nhu cầu và mong muốn cá nhân trước khi quyết định.
Răng sứ titan
Răng sứ loại này có phần sườn làm từ hợp kim titan và phủ bên ngoài là phần sứ. Trong y học, titan được sử dụng khá phổ biến vì ít gây phản ứng dị ứng, bệnh ung thư. Ngoài ra, hợp kim titan còn có thể gắn kết tốt với tổ chức xương, kể cả xương hàm ở miệng.

Hình ảnh minh họa về răng sứ titan
Ưu điểm:
- Tuổi thọ của răng sứ titan cao hơn
- Ít nhạy cảm khi bạn dùng những món nóng, lạnh
- Ít làm chân răng xuất huyết và có viền nướu đen quanh cổ răng
Nhược điểm:
- Thân răng hơi đục, không có được vẻ trắng sáng tự nhiên như răng sứ không kim loại
- Vùng nướu cổ răng có thể bị thâm do lớp sườn kim loại ánh ra ngoài
- Độ bóng, độ trong của răng sứ titan không thể bằng loại răng toàn sứ
Răng sứ kim loại quý
Răng sứ kim loại quý là một trong những lựa chọn phổ biến trong ngành nha khoa, đặc biệt là trong việc phục hồi răng. Loại răng này được chế tạo từ sự kết hợp giữa sứ và các kim loại quý như vàng, bạch kim hoặc palladium. Dưới đây là chi tiết về ưu điểm và nhược điểm của răng sứ kim loại quý.

Hình ảnh về răng sứ kim loại quý
Ưu điểm
- Độ bền cao: Răng sứ kim loại quý có độ bền rất cao nhờ vào thành phần kim loại quý.
- Tính thẩm mỹ: Mặc dù phần kim loại bên trong có thể không đẹp như sứ nguyên chất, nhưng lớp sứ bên ngoài giúp mang lại vẻ tự nhiên cho răng. Với công nghệ hiện đại, răng sứ kim loại quý có thể được chế tạo để màu sắc gần giống với màu răng thật.
- Khả năng chống oxi hóa: Kim loại quý như vàng và bạch kim có khả năng chống oxi hóa tốt, giúp răng không bị ảnh hưởng bởi axit trong miệng và giảm nguy cơ bị gỉ sét.
- Thích nghi tốt với cơ thể: Các kim loại quý thường ít gây ra phản ứng dị ứng, do đó rất an toàn cho những người có cơ địa nhạy cảm. Điều này làm tăng tính an toàn cho người sử dụng.
- Giá trị lâu dài: Vì được làm từ kim loại quý, răng sứ kim loại quý thường có giá trị kinh tế hơn so với các loại răng khác. Điều này có nghĩa là nếu bạn cần phải thay thế, bạn có thể nhận lại một khoản tiền đáng kể từ việc bán lại.
Nhược điểm:
- Chi phí cao: Một trong những nhược điểm lớn nhất của răng sứ kim loại quý là chi phí. Do sử dụng kim loại quý nên giá thành của sản phẩm này thường cao hơn so với các loại răng nhân tạo khác, điều này có thể không phù hợp với ngân sách của nhiều người.
- Khó khăn trong việc sửa chữa: Khi răng sứ kim loại quý bị hỏng hoặc gặp vấn đề, việc sửa chữa có thể trở nên phức tạp và đắt đỏ hơn. Đôi khi, cần phải thay mới hoàn toàn, dẫn đến chi phí cao hơn.
- Vấn đề về sức khỏe răng miệng: Mặc dù răng sứ kim loại quý có độ bền cao, nhưng nếu không được chăm sóc đúng cách, chúng cũng có thể gây ra một số vấn đề như viêm nướu hoặc sâu răng xung quanh khu vực phục hồi.
- Không hoàn toàn tự nhiên: Mặc dù lớp sứ bên ngoài giúp cải thiện tính thẩm mỹ, nhưng phần kim loại bên trong vẫn có thể đôi khi gây ra hiện tượng "bóng đen" ở viền nướu, đặc biệt là khi nướu bị tụt.
Răng toàn sứ ( răng sứ không kim loại)
Răng toàn sứ là một trong những lựa chọn phổ biến trong phục hình răng miệng hiện đại. Chúng được làm hoàn toàn từ chất liệu sứ mà không chứa kim loại, mang lại nhiều lợi ích cho sức khỏe răng miệng và thẩm mỹ.

Hình ảnh về răng toàn sứ
Ưu điểm:
- Thẩm mỹ cao: Răng toàn sứ có màu sắc tự nhiên, gần giống với răng thật, giúp cải thiện đáng kể vẻ ngoài của nụ cười. Không có phần kim loại nào, răng toàn sứ không bị xỉn màu hay gây ra hiện tượng "cổ răng đen" như một số loại răng có kim loại.
- Không gây kích ứng: Chất liệu sứ an toàn, không chứa kim loại, do đó giảm thiểu nguy cơ dị ứng hay kích ứng cho bệnh nhân, đặc biệt là những người nhạy cảm với các thành phần kim loại.
- Tính chịu lực tốt: Răng toàn sứ có khả năng chịu lực tốt, phù hợp với việc ăn uống hàng ngày. Một số loại sứ cao cấp còn có độ bền gấp nhiều lần so với răng tự nhiên, giúp kéo dài tuổi thọ của phục hình.
- Ít mài phá mô răng thật: Trong quá trình chế tác, răng toàn sứ thường yêu cầu ít sự mài phá răng thật hơn so với các loại phục hình khác, bảo vệ sự nguyên vẹn của cấu trúc răng ban đầu.
- Khả năng chống bám bẩn: Bề mặt sứ mịn màng, làm giảm khả năng bám dính của vi khuẩn và mảng bám, từ đó hạn chế tình trạng sâu răng và viêm nướu.
Nhược điểm:
- Chi phí cao: Răng toàn sứ thường có giá thành cao hơn so với các loại răng phục hình khác (như răng kim loại hoặc răng composite). Điều này có thể là một yếu tố quyết định với nhiều người.
- Độ bền thấp hơn so với răng kim loại: Mặc dù răng toàn sứ có tính chịu lực tốt, nhưng trong một số trường hợp (như với các răng hàm), chúng có thể không bền bằng răng kim loại. Răng toàn sứ có thể dễ bị nứt hoặc gãy nếu chịu áp lực quá lớn.
- Quá trình chế tạo phức tạp: Việc sản xuất răng toàn sứ đòi hỏi công nghệ cao và thời gian làm lâu hơn so với các loại phục hình khác. Người bệnh có thể phải chờ đợi lâu hơn để có được răng mới.
- Kỹ thuật đòi hỏi tay nghề cao: Việc lắp đặt răng toàn sứ cần sự chính xác và kỹ thuật cao từ bác sĩ nha khoa. Nếu không, răng có thể không khớp với răng thật hoặc không đạt được thẩm mỹ mong muốn.
Mặt dán sứ Veneer
Mặt dán sứ Veneer là một trong những giải pháp thẩm mỹ phổ biến trong ngành nha khoa. Nó thường được sử dụng để cải thiện ngoại hình của răng, mang lại nụ cười hoàn hảo cho nhiều người.

Hình ảnh mặt dán sứ Veneer
Ưu điểm:
- Tính thẩm mỹ cao: Mặt dán sứ Veneer có bề mặt bóng loáng và màu sắc tự nhiên, giúp phục hồi lại vẻ đẹp của răng. Chúng có khả năng phản chiếu ánh sáng tương tự như răng thật, do đó rất khó nhận biết được sự khác biệt giữa veneer và răng tự nhiên.
- Khả năng chống mảng bám: Sứ Veneer không có độ xốp, nên ít bị bám bẩn hơn so với răng thật. Điều này giúp chúng giữ được độ trắng sáng lâu dài và dễ dàng vệ sinh.
- Bền và lâu dài: Nếu được chăm sóc đúng cách, mặt dán sứ Veneer có thể tồn tại từ 10 đến 15 năm hoặc lâu hơn. Chúng có khả năng chịu lực tốt và không dễ bị mài mòn.
- Thủ tục đơn giản: Quá trình thực hiện mặt dán sứ thường nhanh chóng và ít đau đớn. Bác sĩ chỉ cần mài một phần nhỏ bề mặt răng để gắn veneer, không cần phải điều trị tủy răng như khi làm răng sứ toàn phần.
- Cải thiện tính năng ăn nhai: Ngoài việc mang lại vẻ đẹp cho nụ cười, mặt dán sứ còn có thể cải thiện khả năng ăn nhai cho những bệnh nhân có vấn đề về răng miệng nhẹ.
Nhược điểm:
- Dễ bong ra khi keo dán dần thoái hóa hay cắn phải vật rắn
- Răng vẫn có thể sâu trong khi đã được dán bằng một lớp veneer
- Giá thành cao
Nha khoa SV quận 3: Địa chỉ làm răng sứ uy tín tại quận 3
Khi quyết định làm răng sứ, việc tìm kiếm địa chỉ nha khoa uy tín là vô cùng quan trọng. Nha khoa SV quận 3 được biết đến là một trong những địa chỉ làm răng sứ uy tín tại quận 3, cung cấp đa dạng dịch vụ nha khoa, đặc biệt là trong lĩnh vực làm răng sứ.

Nha khoa SV: địa chỉ làm răng sứ uy tín, chất lượng tại quận 3
Chất lượng dịch vụ tại Nha khoa SV quận 3
Nha khoa SV quận 3 cam kết mang đến cho khách hàng những dịch vụ nha khoa chất lượng nhất. Đội ngũ bác sĩ tại đây đều có chuyên môn cao và kinh nghiệm dày dạn trong lĩnh vực làm răng sứ.
Khách hàng sẽ được tư vấn nhiệt tình về các loại răng sứ phổ biến hiện nay, từ đó lựa chọn được loại răng sứ phù hợp nhất với nhu cầu và điều kiện tài chính của mình.

Hình ảnh khách hàng dán sứ Veneer tại Nha khoa SV quận 3
Công nghệ tiên tiến
Nha khoa SV quận 3 áp dụng những công nghệ tiên tiến nhất trong quá trình làm răng sứ. Trang thiết bị hiện đại giúp quy trình thực hiện nhanh chóng, an toàn và hiệu quả.
Thông qua việc sử dụng công nghệ 3D trong thiết kế và chế tác răng sứ, Nha khoa SV đảm bảo rằng sản phẩm cuối cùng sẽ vừa khít và tự nhiên nhất có thể.
Chăm sóc khách hàng tận tâm
Tại Nha khoa SV quận 3, chăm sóc khách hàng luôn được đặt lên hàng đầu. Từ khâu tư vấn ban đầu đến quá trình theo dõi sau khi thực hiện, khách hàng sẽ nhận được sự hỗ trợ tận tình và chu đáo.
Đội ngũ nhân viên luôn sẵn sàng giải đáp mọi thắc mắc của khách hàng, đồng thời hướng dẫn cách chăm sóc răng miệng một cách tốt nhất để bảo vệ sức khỏe lâu dài.

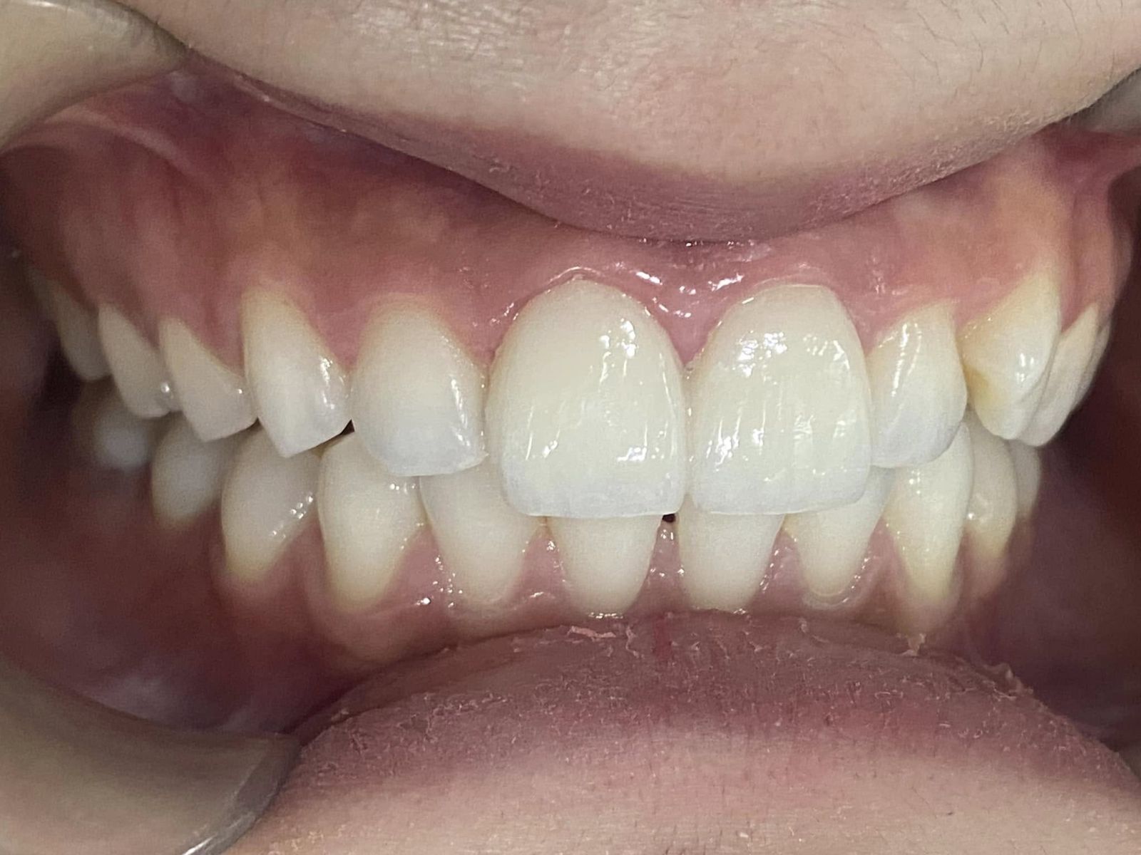
Hình ảnh khách hàng sau khi làm răng sứ tại Nha khoa SV quận 3
Kết luận
Việc lựa chọn các loại răng sứ phổ biến hiện nay là một quyết định quan trọng và cần được cân nhắc kỹ lưỡng. Mỗi loại răng sứ đều có những đặc điểm riêng, từ đó tác động đến sức khỏe răng miệng và thẩm mỹ của bạn. Hãy đến Nha khoa SV quận 3 để được tư vấn và trải nghiệm dịch vụ làm răng sứ uy tín, chất lượng, giúp bạn sở hữu nụ cười rạng rỡ và tự tin hơn trong cuộc sống.
>>Xem thêm: Điều trị tủy phục hình răng sứ diễn ra như thế nào?
>>Xem thêm: Nha khoa SV quận 3: địa chỉ Nha khoa uy tín, chất lượng
>>Xem thêm: Niềng răng mắc cài kim loại tại quận 3: Chi phí, Ưu và nhược điểm
Nha khoa SV Quận 3
Địa chỉ: 99 Cao Thắng, Phường 03, Quận 3, TP. Hồ Chí Minh
Hotline: 0933381675 - 02389292525
Email: nhakhoasv@gmail.com
Giờ làm việc:
Thứ 2-Thứ 6: 8h00 – 20h00
Thứ 7: 8h00 – 18h00
Chủ Nhật: 8h00 – 12h00

.png)