Bị Tụt Lợi Có Chữa Được Không? Giải Pháp Điều Trị An Toàn & Hiệu Quả Tại Nha khoa SV

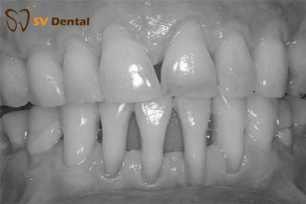
Một buổi sáng soi gương và nhận ra chân răng lộ dài, cảm giác ê buốt khi uống nước, hoặc thấy đường viền lợi thấp hơn bình thường?
Đó chính là những dấu hiệu đầu tiên của tụt lợi – một tình trạng răng miệng thường gặp nhưng lại dễ bị bỏ qua.
Để chị tiện theo dõi, dưới đây là video giải thích nhanh về tụt lợi:
Tụt lợi là gì?
Tụt lợi là hiện tượng mô nướu rút xuống thấp, làm lộ phần chân răng và thậm chí cả ngà răng. Khi lợi tụt, răng không chỉ yếu đi mà còn gây đau, ê buốt và mất thẩm mỹ.
Nguyên nhân gây tụt lợi

1. Do viêm răng miệng
– Xuất phát chủ yếu từ vôi răng tích tụ lâu ngày.
– Gây viêm lợi, chảy máu, hơi thở có mùi, sau đó tiến triển thành tụt lợi nặng.
2. Do cấu trúc răng – xương
– Xương mặt ngoài quá mỏng.
– Khớp cắn lệch, sang chấn răng làm lợi bị “đẩy” ra khỏi vị trí bình thường.
3. Do tác động cơ học
– Thường gặp ở người lớn tuổi.
– Dùng bàn chải cứng, chải ngang mạnh, mài mòn lợi từng ngày.
Hậu quả của tụt lợi nếu không điều trị
-
Mất men răng – lộ ngà → ê buốt khi ăn uống.
-
Mòn cổ răng – nhồi nhét thức ăn → viêm nặng hơn.
-
Răng trông dài – mất thẩm mỹ → kém tự tin khi giao tiếp.
Các phương pháp điều trị tụt lợi tại phòng khám
1. Điều trị bảo tồn – không phẫu thuật
• Bôi Fluoride/ thuốc ngậm Fluoride

Làm cứng bề mặt răng, giảm ê buốt nhanh nhưng không xử lý nguyên nhân tụt lợi.
• Laser kết hợp Fluoride
Bịt kín ~90% ống ngà ngay lần đầu, rút ngắn thời gian điều trị.
• Phủ cổ răng bằng Composite hoặc Glass Ionomer
– Bảo vệ ngà răng
– Tăng thẩm mỹ
– Giảm ê buốt rõ rệt
2. Điều trị phẫu thuật – ghép lợi

• Vạt trượt bên có chân nuôi
Thích hợp khi mô nha chu lân cận còn tốt.
• Ghép lợi tự do (tự thân)
Dùng mô ở hàm ếch để phủ chân răng.
• Ghép mô liên kết dưới biểu mô
Hiệu quả cao, phù hợp nhiều trường hợp tụt lợi phức tạp.
• Tái tạo mô có hướng dẫn bằng màng sinh học
Chi phí cao nhưng phục hồi mô nha chu rất tốt.
Cách điều trị tụt lợi tự nhiên tại nhà

Các phương pháp này chỉ hỗ trợ — không thay thế điều trị nha khoa.
-
Trà xanh – súc miệng giảm viêm tự nhiên.
-
Lô hội – giảm kích ứng, làm dịu nướu.
-
Chanh + dầu ô liu – tăng sức đề kháng mô nướu.
-
Dầu mè – làm sạch, giữ ẩm nướu.
Chăm sóc & phòng ngừa tụt lợi

-
Đánh răng đúng kỹ thuật, bàn chải lông mềm.
-
Dùng chỉ nha khoa mỗi ngày.
-
Hạn chế thực phẩm gây ê buốt.
-
Khám răng định kỳ 6 tháng tại cơ sở uy tín.
Xem thêm các ưu đãi & bài viết liên quan
🔗 Ưu đãi 30% Giáng Sinh – Nha khoa SV
https://nhakhoasv.vn/giang-sinh-ron-rang-uu-dai-giam-30-tat-ca-dich-vu-tai-nha-khoa-sv
🔗 Trang chủ Nha khoa SV
https://nhakhoasv.vn/
Vì sao nên điều trị tụt lợi tại Nha khoa SV?
-
Điều trị bởi đội ngũ bác sĩ Răng Hàm Mặt nhiều kinh nghiệm
-
Trang thiết bị hiện đại: Laser – máy chụp phim – hệ thống vô trùng chuẩn
-
Điều trị nhẹ nhàng, giảm ê buốt.
Nha khoa SV
📍 99 Cao Thắng, Phường Bàn Cờ, TP.HCM
📞 Hotline tư vấn: 0933 381 675

.png)