Có nên niềng răng không?

Niềng răng là phương pháp chỉnh nha giúp khắc phục tình trạng răng lệch lạc, chen chúc, hô – móm hoặc khớp cắn sai. Tuy nhiên, không phải ai cũng phù hợp với phương pháp này.
Theo các bác sĩ tại Nha Khoa SV, việc quyết định có nên niềng răng hay không phụ thuộc vào nhiều yếu tố như:
-
Tình trạng răng miệng: Răng mọc lệch, chen chúc, hô – móm, răng thưa.
-
Độ tuổi: Trẻ em có xương hàm mềm dễ chỉnh hơn người lớn.
-
Sức khỏe răng miệng: Xương hàm, nướu, tủy phải khỏe mạnh.
-
Khả năng tài chính và thời gian theo đuổi điều trị.
8 điều cần biết trước khi quyết định niềng răng
1. Xác định tình trạng răng cụ thể

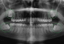
Bước đầu tiên là thăm khám tại nha khoa uy tín để chụp phim, đo khớp cắn và đánh giá độ lệch của răng.
Các trường hợp cần niềng thường là:
-
Răng lộn xộn, chen chúc.
-
Răng thưa hoặc lệch khớp cắn.
-
Hô, móm, lệch hàm gây mất thẩm mỹ.
👉 Bác sĩ SV sẽ dựa trên hình ảnh X-quang để lập phác đồ chỉnh nha cá nhân hóa cho từng bệnh nhân.
2. Nắm rõ các phương pháp niềng răng hiện nay

Hiện tại có 3 loại niềng răng phổ biến:
-
Niềng mắc cài kim loại/sứ: Hiệu quả cao, chi phí hợp lý.
-
Niềng mắc cài tự buộc: Giảm đau, rút ngắn thời gian chỉnh nha.
-
Niềng răng trong suốt Invisalign: Thẩm mỹ, tiện lợi, dễ tháo lắp.
Tùy vào mong muốn và ngân sách, bác sĩ sẽ tư vấn phương pháp phù hợp nhất.
3. Giai đoạn đau và xấu nhất khi niềng răng

3 tháng đầu là thời gian khó chịu nhất do răng bắt đầu dịch chuyển. Người niềng có thể thấy ê buốt nhẹ, khó ăn uống và ngại khi cười.
Tuy nhiên, cảm giác này sẽ giảm dần khi răng ổn định và khuôn mặt bắt đầu thay đổi rõ rệt.
4. Có thể phải nhổ răng trước khi niềng

Một số trường hợp hàm hẹp, răng chen chúc nhiều, bác sĩ sẽ chỉ định nhổ răng số 4 hoặc 5 để tạo khoảng trống.
Việc này hoàn toàn an toàn nếu được thực hiện tại nha khoa uy tín có trang thiết bị hiện đại.
5. Thời gian niềng răng kéo dài bao lâu?

Thời gian trung bình 18 – 24 tháng, tùy vào mức độ lệch và phương pháp chỉnh nha.
Một số trường hợp phức tạp (hô – móm nặng) có thể kéo dài từ 30 – 36 tháng.
6. Chi phí niềng răng

Chi phí niềng răng tại Nha Khoa SV dao động từ 25 – 120 triệu đồng, tùy loại mắc cài hoặc khay niềng.
Giá này đã bao gồm:
-
Chụp phim X-quang,
-
Tư vấn – theo dõi định kỳ,
-
Bảo hành và chăm sóc sau niềng.
7. Rủi ro có thể gặp khi niềng răng

Nếu chọn cơ sở không uy tín, có thể gặp rủi ro như:
-
Răng dịch chuyển sai hướng,
-
Viêm lợi, tụt nướu,
-
Ảnh hưởng tủy hoặc khớp cắn.
Vì vậy, hãy niềng răng tại phòng khám có bác sĩ chuyên sâu chỉnh nha, có trang thiết bị và hợp đồng điều trị rõ ràng.
8. Cách chăm sóc sau khi niềng

-
Sử dụng bàn chải kẽ, máy tăm nước để vệ sinh sạch.
-
Ăn thức ăn mềm, cắt nhỏ.
-
Tránh đồ quá cứng hoặc dính.
-
Tái khám đúng lịch để theo dõi tiến triển.
Lời khuyên từ bác sĩ Nha Khoa SV
Niềng răng không chỉ thay đổi nụ cười mà còn giúp khớp cắn chuẩn, cải thiện gương mặt và chức năng nhai.
Tuy nhiên, nên bắt đầu hành trình này tại địa chỉ nha khoa uy tín – có bác sĩ chuyên môn cao và trang thiết bị chuẩn quốc tế để đạt kết quả tốt nhất.

📍 Liên hệ ngay để được thăm khám và tư vấn miễn phí:
👉 TikTok: https://www.tiktok.com/@nha.khoa.sv
👉 YouTube: https://www.youtube.com/@nhakhoasv7438/featured
👉 Website: https://nhakhoasv.vn/
🏠 Nha khoa SV – 99 Cao Thắng, P.3, Q.3, TP.HCM
📞 Hotline: 0933 381 675
#NhaKhoaSV #NhaKhoaQuan3 #NhaKhoaUyTin #RangDep #ChamSocRang #NhaKhoaTPHCM

.png)