Răng khôn mọc lệch: Dấu hiệu, biến chứng và khi nào cần nhổ an toàn?
Răng khôn mọc lệch là gì? Vì sao rất dễ gặp?

Răng khôn mọc lệch là tình trạng răng số 8 không mọc thẳng mà bị nghiêng, chen ngang hoặc nằm ngầm trong xương hàm. Đây là chiếc răng mọc cuối cùng (17–25 tuổi), khi xương hàm đã hết chỗ nên rất dễ bị lệch.
Các hướng mọc thường gặp của răng khôn mọc lệch gồm:
- Mọc nghiêng về phía răng số 7
- Mọc ngang trong xương
- Mọc ngầm dưới nướu
- Chỉ trồi lên một phần gây viêm
👉 Xem thêm tại:
NHA KHOA SV
Dấu hiệu nhận biết răng khôn mọc lệch

Khi răng khôn mọc lệch, bạn sẽ gặp các biểu hiện sau:
- Đau nhức vùng hàm sau, kéo dài nhiều ngày
- Sưng nướu, đỏ và dễ chảy máu
- Khó há miệng, đau khi nhai
- Hôi miệng, thức ăn mắc kẹt
- Có thể sốt nhẹ
👉 Đây là dấu hiệu cho thấy cần kiểm tra và cân nhắc nhổ răng khôn sớm.
Các dạng răng khôn mọc lệch phổ biến
Mọc lệch gần
Răng nghiêng về phía răng số 7 → dễ gây sâu răng kế bên
Mọc ngang
Răng nằm ngang trong xương → gây đau nhiều, bắt buộc nhổ răng khôn
Mọc lệch xa
Răng nghiêng ra sau → khó vệ sinh
Mọc ngầm
Răng không trồi lên → dễ gây u nang
Biến chứng nguy hiểm của răng khôn mọc lệch

Nếu không xử lý, răng khôn mọc lệch có thể gây:
- Sâu răng số 7
- Viêm lợi trùm tái phát
- Áp xe, nhiễm trùng
- U nang xương hàm
- Xô lệch toàn hàm
👉 Đây là lý do bác sĩ thường khuyên nhổ răng khôn sớm khi có chỉ định.
Khi nào cần nhổ răng khôn?
Bạn nên nhổ răng khôn trong các trường hợp:
- Răng khôn mọc lệch gây đau
- Viêm lợi trùm nhiều lần
- Gây sâu răng số 7
- Răng mọc ngầm có nguy cơ biến chứng
- Ảnh hưởng thẩm mỹ, khớp cắn
👉 Ngược lại, nếu răng mọc thẳng và không gây khó chịu thì có thể giữ lại.
Nhổ răng khôn có đau không?

Hiện nay, nhổ răng khôn không còn đáng sợ như nhiều người nghĩ:
- Gây tê hoàn toàn trước khi thực hiện
- Sử dụng máy siêu âm giảm sang chấn
- Không đau trong quá trình nhổ
Sau nhổ, chỉ ê nhẹ 1–3 ngày.
Quy trình nhổ răng khôn chuẩn y khoa

Tại NHA KHOA SV, quy trình gồm:
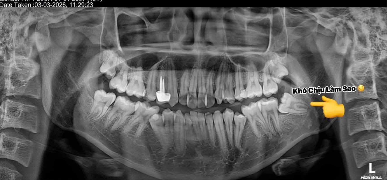
Bước 1: Thăm khám & chụp X-quang
Xác định hướng mọc của răng khôn mọc lệch
Bước 2: Tư vấn phương án
Bước 3: Gây tê
Bước 4: Tiến hành nhổ răng khôn
Bước 5: Hướng dẫn chăm sóc
⏱ Thời gian: 15–30 phút
Video thực tế nhổ răng khôn
Chi phí nhổ răng khôn bao nhiêu?
Chi phí phụ thuộc vào độ khó:
- Răng dễ: 800.000 – 1.500.000 VNĐ
- Răng khôn mọc lệch: 1.500.000 – 3.000.000 VNĐ
- Răng ngầm: 3.000.000 – 5.000.000 VNĐ
Sau khi nhổ răng khôn cần kiêng gì?
Để mau lành:
- Tránh ăn cứng, cay nóng
- Không hút thuốc
- Không súc miệng mạnh
- Ăn mềm 2–3 ngày đầu
👉 Xem chi tiết:
XEM THÊM
Câu hỏi thường gặp
Nhổ răng khôn bao lâu thì lành?
7–10 ngày lành mô mềm
Có nên nhổ răng khôn sớm không?
Nên, để tránh biến chứng
Nhổ răng khôn có nguy hiểm không?
Không, nếu làm đúng kỹ thuật
Vì sao nên chọn NHA KHOA SV?

NHA KHOA SV là địa chỉ uy tín với:
- Bác sĩ giàu kinh nghiệm
- Trang thiết bị hiện đại
- Quy trình vô trùng
- Theo dõi sau điều trị
📍 TikTok: https://www.tiktok.com/@nha.khoa.sv
📍 YouTube: https://www.youtube.com/@nhakhoasv7438/featured
📍 Website: https://nhakhoasv.vn/
📍 Nha khoa SV – 99 Cao Thắng, Phường Bàn Cờ, Thành phố Hồ Chí Minh
📞 Hotline: 0933 381 675

.png)